Introducción
Como ya se ha referido en capítulos previos de esta monografía, la articulación tibioperonea distal está formada por la superficie articular tibial cóncava y la epífisis distal del peroné convexa. Existen diferencias entre individuos, pero son escasas entre ambos tobillos de la misma persona(1).
Las lesiones de la sindesmosis ocurren en el 20% de todas las lesiones del tobillo(2). Hasta un 11% de todas las lesiones traumáticas del tobillo, en ausencia de fractura, son lesiones de la sindesmosis(3). Entre un 10 y un 25% de todas la fracturas de tobillo tratadas quirúrgicamente presentan algún tipo de lesión sindesmal(4), llegando a aparecer en el 50% de las fracturas de tipo Weber B y en todas las de tipo Weber C(5).
Las lesiones de la sindesmosis se han correlacionado, además, con fracturas transversas del maléolo medial y fracturas bimaleolares(6,7), de tal manera que la presencia de una fractura del maléolo es equivalente a una lesión del ligamento tibiofibular posteroinferior (LTFPI).
Además de las estructuras que forman la sindesmosis, el fascículo profundo del ligamento deltoideo también contribuye, de forma importante, a la estabilidad de la sindesmosis tibioperonea y debe valorarse tanto en las lesiones agudas como en las crónicas del tobillo(8). Cualquier lesión de la sindesmosis asocia una lesión del fascículo superficial del ligamento deltoideo, pero la lesión del fascículo profundo se asocia siempre a una lesión completa de la sindesmosis(2,9). Hay que señalar que los ligamentos tibiofibular anteroinferior (LTFAI) y LTFPI, y el fascículo profundo del ligamento deltoideo pueden ser visualizados artroscópicamente(10).
La sindesmosis es una articulación muy estable, pero no rígida, ya que movimientos de acomodación del peroné con respecto al astrágalo son necesarios durante la marcha. La movilidad de la articulación incluye movimientos de traslación y rotación del peroné respecto a la tibia en situaciones de dorsiflexión o flexión plantar del tobillo, para acomodar la asimetría del astrágalo manteniendo la congruencia articular(11). Los estudios de Beumer(12) demuestran cómo, al aplicar una fuerza en rotación externa de 7,5 N sobre el pie, el peroné rota externamente entre 2 y 5°, y se desplaza hasta 2,5 mm medialmente y entre 1 y 3,1 mm posteriormente.
Mecanismo lesional
Una gran variedad de mecanismos, aislados o combinados, pueden causar la lesión de la sindesmosis. El mecanismo exacto de lesión no está bien definido, debido a las diferentes estructuras anatómicas involucradas y la manera en que estas están sometidas a tensión en los 3 planos del movimiento. Además, en muchos casos, la descripción del mecanismo lesional se basa en percepciones clínicas tras la entrevista con los pacientes(13) y estos no suelen recordar con claridad el momento de la lesión, al contrario que en los típicos esguinces de tobillo donde describen una inversión y flexión plantar con cierta precisión.
Las lesiones de la sindesmosis pueden ocurrir aisladas o asociadas a fracturas. Pueden asociarse a cualquier tipo de fractura, pero lo hacen con mayor frecuencia a la fracturas por pronación rotación externa (tipo C de Weber), supinación rotación externa (tipo B de Weber) y las fracturas del peroné proximal (Maisonneuve)(1), aunque los mecanismos exactos de producción de estas fracturas han sido puestos en entredicho en los últimos años(14). Como hemos dicho con anterioridad, la existencia de una fractura del maléolo posterior equivale a una lesión del LTFPI.
Figura 1. Esquema del mecanismo lesional de la sindesmosis.

Los mecanismos de lesión más frecuentes de la sindesmosis tibioperonea, tanto de forma independiente como especialmente en combinación, son la rotación externa y la dorsiflexión(1)(Figura 1). Según Doughtie(15), más del 70% de las lesiones de la sindesmosis implican un movimiento de rotación externa. Durante la producción de estas lesiones, el pie está fijo en el suelo; la rotación interna de la pierna y el cuerpo con respecto a este da como resultado una rotación externa relativa del astrágalo dentro de la mortaja y del peroné con respecto a la tibia. A medida que el astrágalo se desplaza en rotación externa dentro de la mortaja, esta se ensancha(16). La eversión forzada del astrágalo también la ensancha. La dorsiflexión forzada, además, introduce en la mortaja la cara anterior más ancha de la cúpula astragalina en el espacio articular, abriéndola. En todos los casos, el peroné distal se aleja lateralmente de su articulación con la tibia distal(14), dando lugar, según estudios biomecánicos(16), a un fallo secuencial con un patrón predecible: el LTFAI (el más débil) y el ligamento deltoideo superficial son los primeros en sufrir lesiones. Según progrese la fuerza, se producirá la ruptura del ligamento interóseo (LIO) y de la membrana interósea (MIO). El LTFPI y el fascículo profundo del ligamento deltoideo son los últimos en romperse por completo, lo que lleva a una mayor inestabilidad y/o luxación de la articulación tibiotalar. La severidad de la fuerza aplicada y su duración determina la extensión proximal de la lesión (MIO o peroné proximal). La diástasis completa tibioperonea inferior puede conllevar la luxación superior del astrágalo(17)(Figura 2).
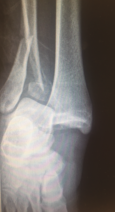
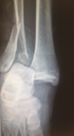
Figura 2. Luxación superior del astrágalo por lesión completa de la sindesmosis tibioperonea inferior (lesión de log splitter).

Los deportistas que más frecuentemente se lesionan la sindesmosis son los esquiadores y jugadores de fútbol y rugby. Los factores que contribuyen a esta lesión entre los esquiadores de élite(18,19) pueden ser los giros extremadamente rápidos y la rotación externa repentina y enérgica del pie, quizás causada por el relativo largo brazo de palanca en rotación externa que produce el esquí. Los jugadores de fútbol o rugby presentan 2 posibles escenarios para sufrir lesión de la sindesmosis: por un lado, golpes laterales en la pierna causando rotación interna mientras el pie esta fijo en el césped; por otro lado, golpes laterales en la rodilla con el pie fijo en rotación externa y el cuerpo girado internamente.
Una vez lesionada la sindesmosis, con la rotación externa del peroné se permite que el astrágalo gire externamente, lo que conduce al desplazamiento lateral del mismo. Ramsey y Hamilton(20)demostraron que 1 mm de desplazamiento lateral del astrágalo respecto a la tibia resulta en un 42% de reducción del área de contacto en un paciente de 70 kg. La disminución del área de contacto resultante aumentará la carga (presión) por cm2, aumentando el riesgo de daño articular, especialmente en las zonas más vulnerables, como son la anteromedial y la posteromedial del astrágalo. Esto se traduce clínicamente en la aparición de lesiones osteocondrales del astrágalo precisamente en estas zonas, así como la franca predisposición al desarrollo de artrosis de tobillo(11).
Estudios biomecánicos en cadáver
Los estudios con cadáveres han proporcionado información valiosa para comprender las lesiones en la sindesmosis y sus implicaciones clínicas, ayudándonos a guiar el tratamiento de estas lesiones.
Boden(21) demostró que piezas anatómicas con el ligamento deltoideo íntegro, fracturas de maléolo tibial osteosintetizadas o fijaciones de la tibia distal daban una gran estabilidad a la sindesmosis cuando se sometía a fuerzas de rotación externa al pie.
Michelson y Waldman(22) concluyeron que la lesión aislada del LIO no tuvo un efecto significativo en la estabilidad del tobillo en su estudio. Sin embargo, la sección de los fascículos superficial y profundo del ligamento deltoideo produjo un aumento de la rotación externa del pie cuando el tobillo se colocó en flexión plantar o dorsal. La mortaja del tobillo demostró una importante inestabilidad también con el peroné fracturado. Debido a estos resultados, los autores proponen que la estabilización sindesmótica quirúrgica solo es necesaria con una lesión completa (fascículos superficial y profundo) del ligamento deltoideo y si no se puede reparar la fractura del peroné.
El estudio de Mait(2) pretende demostrar que la posición del tobillo en el momento de la rotación externa forzada influye en la incidencia de la lesión de la sindesmosis. Así, en su muestra, se produjo una lesión sindesmótica en más del 50% de los tobillos colocados en posición neutra, 0% en flexión plantar y 100% en dorsiflexión.
Conclusión
El mecanismo de lesión más frecuente de la sindesmosis tibiofibular distal de tobillo, especialmente en aquellas lesiones moderadas y severas, es el producido durante la carga axial con rotación externa, especialmente con el tobillo en dorsiflexión. Esta situación clínica se da con cierta frecuencia en determinados deportes, como el esquí, el fútbol o el rugby, por lo que en estas circunstancias debemos sospecharlas y descartarlas, debido a sus potencialmente graves consecuencias (como la artrosis) a medio-largo plazo.