Introducción
A diferencia de la cadera o la rodilla, la artrosis de tobillo es postraumática en la gran mayoría de los casos, afectando a una población comparativamente más joven y activa que la población afecta de gonartrosis o coxartrosis, de ahí que los requerimientos funcionales y las expectativas de los pacientes supongan que su tratamiento represente un auténtico reto para el cirujano de pie y tobillo(1).
En la literatura actual se han descrito distintas opciones de tratamiento quirúrgico para las diferentes etapas de la artrosis de tobillo. En general, los procedimientos se pueden dividir en 2 grupos principales: procedimientos de preservación de las articulaciones y procedimientos sin preservación o con sacrificio de las articulaciones(2). La artrodesis de tobillo y la artroplastia total de tobillo pertenecen a los procedimientos que no conservan las articulaciones y se ha demostrado que ambas opciones tienen resultados fiables a corto y medio plazo, incluido un alivio significativo del dolor, además de resultados funcionales aceptables(3,4). Sin embargo, especialmente en pacientes jóvenes con artrosis de tobillo moderada y buena movilidad, los procedimientos que sacrifican la articulación original pueden no ser el tratamiento de elección debido a la posibilidad de complicaciones tardías, alta tasa de reintervenciones, aflojamiento protésico y/o desarrollo de artrosis secundaria en las articulaciones vecinas(5,6,7,8,9).
Por tanto, ante un paciente joven y activo que rechace la artrodesis de tobillo y que no sea candidato a artroplastia total de tobillo, debe indicarse en primer lugar una técnica que siga la filosofía de la preservación articular(5,6), como la artroscopia, osteotomías periarticulares (supramaleolares o calcáneas) y la distracción articular o artrodiastasis.
La artrodiastasis o artroplastia de distracción articular no es un método nuevo en el tratamiento de la osteoartritis del tobillo; fue Judet quien la desarrolló en esta articulación en los años setenta(8,10,11), aunque fue a partir de los estudios de van Valburg cuando esta técnica se retomó posteriormente, con resultados satisfactorios en el seguimiento a medio plazo(7,8). La artrodiastasis puede suponer una alternativa válida en pacientes que quieran preservar la movilidad, entendida como un último esfuerzo antes de recurrir a otros tratamientos que sí sacrifican la articulación del tobillo original.
Biomecánica de la artrodiastasis
Como su nombre indica, artro significa articulación, dias a través y tasis distracción, es decir, distracción articular. Son múltiples las teorías que explican el efecto beneficioso de la distracción articular sobre el cartílago tibioastragalino. Por un lado, las variaciones de la presión intraarticular producidas por la carga parcial cíclica parecen promover los fenómenos reparativos en el cartílago, todo ello favorecido por el movimiento tibioastragalino que permite la fijación externa articulada, de ahí los beneficios de los fijadores externos articulados; además, la esclerosis subcondral disminuye durante la distracción, al disminuir el estrés mecánico sobre el cartílago durante la carga(7,11,12). Por otro lado, las bases bioquímicas detrás de los efectos positivos de la distracción articular son complejas. Es bien conocido que el cartílago de la articulación del tobillo tiene diferente espesor y propiedades biomecánicas que la rodilla y la cadera. Por lo tanto, el cartílago del tobillo puede tener una mayor capacidad de reparación que la observada en la rodilla y la cadera bajo los efectos de la descarga articular y la carga cíclica mediante fijación externa articulada(1,13,14).
En resumen, la literatura parece demostrar que la distracción articular favorece que tengan lugar fenómenos reparativos en el cartílago articular del tobillo, explicando la mejoría de los parámetros funcionales de los pacientes sometidos a este procedimiento(15,16,17,18,19,20,21).
Indicaciones y contraindicaciones para la distracción articulación del tobillo
Tabla 1. Indicaciones ideales para la artrodiastasis de tobillo

Las indicaciones (Tabla 1) para la artrodiastasis de tobillo son: la existencia de una articulación tibioastragalina congruente (de lo contrario, la distribución de cargas no es simétrica), dolor refractario a medidas conservadoras, existencia de movilidad articular funcional (la anquilosis de tobillo no se beneficia de esta técnica), así como un grado de artrosis moderada, esto es, grado igual o inferior a 2 de la clasificación de van Dijk (Tabla 2).
Tabla 2. Clasificación radiológica de van Dijk de la artrosis de tobillo

Las principales contraindicaciones (Tabla 3) incluyen, pero no se limitan a las siguientes: infección aguda o crónica, osteomielitis, insuficiencia arterial/venosa, neuropatía, artropatía de Charcot, problemas psicosociales que limitan la capacidad de mantener un dispositivo de fijación externa en el miembro inferior. Como contraindicaciones relativas para este procedimiento se incluyen una diabetes no controlada, tabaquismo activo, insuficiencia venosa con dermatitis venosa crónica, edema crónico, deformidad o malalineación no resuelta del tobillo (si bien esta puede corregirse y aplicarse posteriormente la artrodiastasis), anquilosis severa de la articulación del tobillo sin movimiento del tobillo, síndrome compartimental anterior con desequilibrio muscular-tendinoso residual e importante pérdida de reserva ósea. De esta forma, la literatura ha demostrado que los candidatos ideales son aquellos pacientes que tienen artrosis postraumática evolucionada y son menores de 45 años(11,12,13,15,16), y podríamos definir que el caso ideal sería un paciente joven no fumador, con buena movilidad del tobillo y normoeje (Tabla 4).
Tabla 3. Contraindicaciones para la artrodiastasis de tobillo

Tabla 4. Candidato ideal para artrodiastasis
Tabla 4. Candidato ideal para artrodiastasis

Técnica quirúrgica
Se realiza bajo anestesia espinal o general, profilaxis antibiótica e isquemia preventiva del miembro inferior, y con el paciente en decúbito supino.
Primer tiempo o tiempo articular
Antes de aplicar la artrodiastasis se procede a realizar una artroscopia anterior de tobillo para lavado articular, sinovectomía, cualquier técnica que se requiera en las lesiones del cartílago (técnicas de estimulación de médula ósea como perforaciones osteocondrales, técnicas de inducción de membrana, mosaicoplastias en lesiones localizadas, etc.) y extracción de cuerpos libres; además, en casos de impingement anterior óseo se procede a la regularización del margen anterior tibial o astragalino. En caso de que el osteofito sea lo suficientemente grande como para dificultar su tratamiento artroscópico, ampliamos el portal anteromedial y realizamos una miniartrotomía.
Segundo tiempo
Figura 1. Alargamiento percutáneo del Aquiles.

Evaluación del complejo gastrosóleo. Realizamos intraoperatoriamente el test de Silfverskiöld (es importante hacerlo tras la eliminación de osteofitos anteriores para evitar falsos positivos). Entonces realizaremos bien alargamiento del Aquiles (Figura 1) bien alargamiento del gastrocnemio medial (en nuestra experiencia realizamos el mismo mediante la técnica de Strayer modificada, pues nos resulta más sencilla al estar el paciente en decúbito supino).
Figura 2. A y B: radioscopia e imagen clínica del uso de la guía radiotransparente para fijación articulada con pines en talus y calcáneo.

Tercer tiempo: distracción articular
Figura 3. Detalle de la pieza de distracción calibrada.

Utilizamos el fijador articulado monolateral (de tipo X-Caliber®, Orthofix). En un primer paso procedemos a colocar los pines en astrágalo y calcáneo mediante la guía radiotransparente (Figura 2), para posteriormente colocar los pines tibiales en la superficie anteromedial de la misma (a ser posible 3). Al acabar el procedimiento procedemos a realizar progresivamente una distracción de entre 7 y 8 mm (se dispone de un calibrador en el fijador que nos permite visualizar la distracción que estamos realizando) (Figura 3) bajo control radioscópico, dejando finalmente la pieza articulada totalmente libre para la movilidad tibioastragalina desde el principio. Aplicamos un vendaje compresivo de la extremidad y retiramos la isquemia (Figuras 4 y 5).
Figura 4. A y B: radiografías anteroposterior y lateral del fijador implantado con la distracción conseguida a nivel articular.

Tratamiento postoperatorio
Figura 5. Imagen final clínica.

El cuidado de los pines comienza el día siguiente de la cirugía hasta que estos estén secos. Los pacientes pueden asearse con precaución manteniendo bien secos los pines. La movilidad tibioastragalina es libre desde el principio y la fisioterapia comienza inmediatamente. Respecto a la carga, mantenemos una carga parcial de 20 kg con apoyo de muletas durante 10 días, para ir progresando según la tolerancia y la disminución del dolor hasta una carga completa, si bien el uso de muletas es aconsejable durante todo el tratamiento. Abogamos por mantener el fijador al menos 3 meses según propugnan van Valburg et al.(7,8) (los autores afirman que los condrocitos necesitan de 12 a 20 semanas de descarga para ser capaces de regenerar la matriz cartilaginosa); en caso de aflojamiento o intolerancia precoz de alguno de los pines, debemos adelantar la retirada del mismo (Figuras 6 a 8).
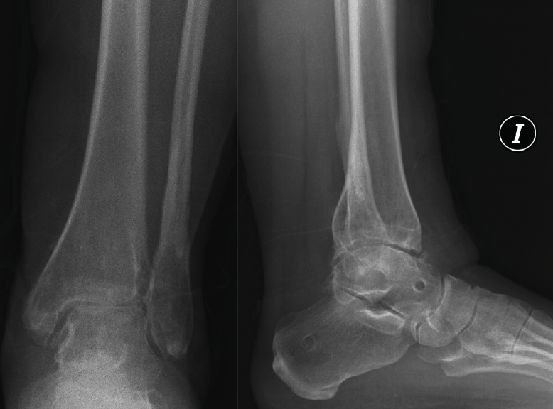
Figura 6. Artrosis postraumática de tobillo tras fractura bimaleolar hace 15 años.

Revisión bibliográfica
El tratamiento ideal para la artrosis postraumática de tobillo en la población joven y activa sigue siendo controvertido debido a los altos requisitos funcionales y la esperanza de vida de este grupo de edad(1,3,5). La distracción articular de tobillo ha ganado popularidad en Europa y Estados Unidos como un tratamiento efectivo para la artrosis de tobillo en términos de reducción del dolor y mejora funcional(21,22,23).
Figura 7. Caso de la Figura 6 con distracción articulada.

En el primer estudio retrospectivo sobre artrodiastasis de tobillo que se publicó en 1995(7), 11 pacientes con una edad media de 35 años, que eran candidatos a artrodesis, fueron tratados con un fijador externo circular de Ilizarov con distracción de 5 mm durante 3 meses. A los 20 meses de seguimiento, todos los pacientes refirieron una disminución del nivel de dolor, 5 no presentaron dolor, la movilidad mejoró en más del 50% y 3 pacientes informaron un aumento en el espacio articular. Posteriormente, los mismos investigadores realizaron una serie prospectiva y descubrieron que más de dos tercios de los pacientes presentaron una mejora funcional significativa en la visita de seguimiento de 2 años(8). Marijnissen et al.(18) publicaron un estudio prospectivo multicéntrico de 57 pacientes menores de 40 años que fueron seguidos durante 2,8 años. Registraron una mejora significativa en los parámetros funcionales en 38 pacientes, aunque 10 se perdieron durante el seguimiento, 8 requirieron fusión de tobillo y 1 requirió artroplastia total de tobillo debido a una evolución desfavorable. Ploegmakers et al.(12) publicaron sus resultados de 27 pacientes con artrosis postraumática de tobillo, una edad media de 37 años y un seguimiento de 7 años: el 73% refirió una mejoría significativa en todos los parámetros, mientras que 6 pacientes requirieron artrodesis. Sin embargo, la mejora funcional proporcionada por esta técnica no solo se ha demostrado a corto plazo. Paley y Lamm(17) afirman en su estudio que 16 de los 22 pacientes de su serie (un 73% del total) presentaban una mejora persistente a los 7 años de seguimiento después del tratamiento.
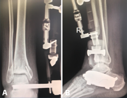
Figura 8. Caso de la Figura 6 a los 3 años de la distracción articulada. Obsérvese el mantenimiento del espacio articular a nivel de la articulación del tobillo.

Con respecto al tipo de fijación externa, se ha demostrado que la fijación externa circular, aunque técnicamente más compleja, es biomecánicamente superior a la fijación monolateral como abogan los autores de este capítulo, ya que esta última aplica una distracción desigual en la articulación y es difícil de implementar correctamente en el eje del tobillo. Sin embargo, hay varios trabajos, entre los que incluimos nuestra propia experiencia(15,16) que presentan una gran serie de pacientes en los que este tipo de fijación se utilizó con resultados satisfactorios(5,12).
Otro punto de controversia es si usar distracción fija o articulada, como usamos en nuestra serie y en otras publicaciones de nuestro grupo(15,16). En este sentido, Saltzman et al. demostraron que la distracción articulada ofrece resultados clínicos superiores y más duraderos que los resultados de la distracción fija(22).
En términos de la cantidad de distracción requerida, inicialmente seguíamos las recomendaciones de van Valburg et al. de 5 mm de distracción intraoperatoria(7,8). Sin embargo, otros investigadores, como Fragomen et al.(24), han declarado que tal cantidad es insuficiente y se necesitan al menos 5,8 mm de distracción para garantizar que las superficies articulares no entren en contacto al caminar o levantarse. Actualmente, nuestro grupo aboga por una distracción de unos 7-8 mm de entrada.
Con respecto al uso del desbridamiento abierto versus el desbridamiento artroscópico, varios autores informaron mejores resultados con este último(18,25), pero en nuestra experiencia no observamos una diferencia estadísticamente significativa a este respecto(16).
Con respecto a la selección de pacientes y, como ocurre en el uso de la fijación externa para otros fines, la cooperación del paciente en el cuidado de los pines y en el cumplimiento de las órdenes postoperatorias, resultó esencial para obtener un buen resultado, como señalaron Nguyen et al.(18).
Otro aspecto importante, que ya se ha discutido en la literatura, es el tiempo de recuperación; los efectos de esta técnica pueden ser evidentes a partir de los 5 meses y, en algunos casos, 1 año después de la cirugía (22). En nuestro último estudio publicado, se ha demostrado claramente cómo los pacientes que evolucionan favorablemente comienzan a experimentar una mejora funcional 6 meses después de la distracción (las diferencias en la escala de la American Orthopaedic Foot and Ankle Society –AOFAS– son significativos después de 6 meses)(16). En función de este hecho, alentamos a nuestros pacientes a esperar aproximadamente 1 año antes de decidir someterse a modalidades de tratamiento que sacrifiquen su articulación nativa (artrodesis o artroplastias). Por lo tanto, la distracción articular no es una técnica que se realice en pacientes o cirujanos que deseen un resultado rápido, en cuyo caso sería mejor la artrodesis o la artroplastia(16,22).
Respecto a la edad de los pacientes, los peores resultados de los propios autores en el grupo de distracción se obtuvieron en pacientes mayores de 50 años y en aquellos que se habían sometido a 2 o más procedimientos previos y, a pesar de no presentar significación estadística, parece lógico que la edad y el número de intervenciones previas puedan tener una influencia negativa en el resultado final(15).
Smith et al.(21) analizaron los niveles actuales de evidencia científica que existen con respecto a la técnica de artrodiastasis de tobillo mediante la revisión de un total de 171 artículos. Informaron que todavía no hay pruebas suficientes para apoyar o refutar su uso como una alternativa válida a la artrodesis o la artroplastia (la mayoría de los artículos publicados son opiniones de expertos, nivel V). Por lo tanto, es necesario implementar estudios científicos, prospectivos y comparativos de mayor calidad para definir la efectividad de esta técnica. Barg et al.(23) publican una opinión similar en su revisión en 2013. Por último, una publicación de 2016 presentó una excelente revisión de los resultados recientes obtenidos con esta técnica, confirmando que está particularmente indicada para pacientes jóvenes con artrosis severa y movilidad preservada, que los resultados empeoran con el tiempo y que se trata de un procedimiento en constante desarrollo que ofrece resultados prometedores.
Conclusiones
En función de la evidencia disponible en la actualidad, la literatura apoya el uso de la distracción articular de tobillo especialmente en pacientes menores de 45-50 años con artropatía postraumática en estadio final y movilidad preservada, con buenos resultados en lo que a la mejoría del dolor se refiere. Por otro lado, los resultados funcionales se deterioran con el tiempo, si bien es un procedimiento que no cierra puertas a cirugías que sacrifiquen la articulación del tobillo, como la artrodesis o la artroplastia.