Introducción
La aparición de la impresión en 3 dimensiones (3D), también llamada prototipado rápido, proporciona una herramienta muy avanzada con un modelo fabricado en 3D intuitivo y tangible, que va más allá de una simple visualización en una pantalla plana en 2D. En la práctica clínica, la rapidez en el procesamiento de la imagen médica a la impresión 3D ha acelerado la tendencia actual hacia tratamientos “personalizados” o “específicos para cada paciente”(1). Por todo ello, las máquinas de impresión en 3D se han utilizado desde principios de la década de los 2000 en una variedad de aplicaciones médicas, desde la docencia o la simulación quirúrgica hasta la creación de dispositivos implantables e incluso bioimpresión de órganos(2).En el campo de la cirugía ortopédica y traumatología se ha utilizado principalmente para aplicaciones de tejido duro, debido a la dureza de la mayoría de los materiales imprimibles en 3D(3).
Las guías personalizadas consisten en el diseño y la manufacturación de modelos únicos y personales para cada paciente(3). El uso de guías quirúrgicas ha demostrado aumentar la precisión en diferentes cirugías ortopédicas, como la oncológica o la de columna, entre otras(4,5,6,7). Tienen el potencial de optimizar el tratamiento, así como de reducir el tiempo operatorio(5) y de guiar una sierra para realizar una osteotomía o guiar una broca, para conseguir cortes precisos y una óptima colocación de una prótesis o implante(8,9,10). La guía impresa en 3D reduce además la radiación intraoperatoria (para el paciente y para el equipo quirúrgico), puesto que al estar diseñada para el paciente no haría falta la comprobación escópica intraoperatoria de la broca o sierra(11).
Los implantes impresos en 3D se han usado en diversos campos de la cirugía ortopédica(12,13,14). La ventaja de imprimir un implante de forma personalizada para cada paciente es que encaja exactamente, disminuyendo la presión ejercida sobre el hueso cuando se compara con un implante convencional. Además, el implante puede ser creado con poros osteoconductores para facilitar el crecimiento óseo natural.
Impresión de implantes o guías
Cómo obtener una guía o implante en 3D
El primer paso es obtener la imagen del paciente, mediante tomografía computarizada (TC) o resonancia magnética (RM). Aunque pueden usarse ambas herramientas, suele ser más frecuente la TC, puesto que el molde a imprimir suele ser óseo, además de que la calidad de la imagen es superior. Para una correcta precisión, se recomiendan cortes de 0,5 mm y máximo de 1 mm, y las RM más comúnmente utilizadas obtienen cortes más gruesos. Todas las imágenes médicas se almacenan en formato DICOM® (Digital Imaging and Communications in Medicine); sin embargo, la mayoría de las impresoras 3D solo reconocen ciertos formatos de archivo, habitualmente STL (Standard Triangle Language) o archivos en el estándar OBJ de Wavefront. El formato STL es el estándar más aceptado para interactuar entre el software 3D y las impresoras 3D, por lo que se debe procesar de DICOM® a este formato.
Una vez obtenidas las imágenes, se procede a la segmentación para obtener el modelo 3D de las imágenes, con el que se puede trabajar para diseñar con el médico lo que se haya planificado (guía quirúrgica, osteotomías, implante a medida, modelo 3D, etc.). La segmentación es un procedimiento crucial para mejorar la precisión global y evitar la colocación incorrecta de la guía si la anatomía ósea real no está bien representada. Hasta la fecha, no existen algoritmos de segmentación totalmente automatizados, por lo que la segmentación manual o semiautomática es la que se usa habitualmente, lo que aumenta la importancia del operador. Aunque existen diversos softwares de segmentación, actualmente el único con permiso de uso médico es Mimics® (Materialise, Bélgica).
Una vez tenemos la imagen virtual tridimensional, podemos planificar la guía o implante mediante otro software (con uso médico autorizado: 3-matic®, Materialise, Bélgica). Y, por último, imprimir el material para la cirugía. Todo ello en un tiempo que dependerá mucho de lo planificado y del uso, pero puede variar desde 24 h para una guía estándar hasta 7-10 días para los implantes específicos. En general, la precisión del objeto 3D depende de la combinación de la precisión de la imagen médica, que debe ser lo más fina posible, del proceso de imagen apropiado para el modelaje 3D y de la precisión de impresión 3D del sistema.
La tecnología 3D se divide en 2 técnicas de impresión. La técnica de sinterizado es una técnica de adición de material capa por capa donde un láser va quemando las partículas de titanio, poliamida u otro material, y estas se van solidificando hasta conseguir la geometría final. Por otro lado, el fresado es una técnica de sustracción de material donde, a partir de un disco, del grosor necesario para poder fabricar el material que se requiera, las herramientas de la máquina van eliminando material hasta conseguir la geometría necesaria. En cuanto a los materiales disponibles, aunque cada vez son más, nos centraremos en los esterilizables disponibles en las empresas autorizadas. El titanio para los implantes puede ser impreso por fresado o sinterizado. Para la poliamida, útil para guías y modelos 3D, se usa la técnica de sinterizado. Otros materiales, más utilizados en otras especialidades como la cirugía maxilofacial, son el poliéter éter cetona (PEEK, útil para imprimir volúmenes), el polietileno de ultra alto peso molecular (UHMWPE), utilizado por maxilofacial, y resina dental. Existen diferentes impresoras dependiendo del material a imprimir, aunque no entraremos en detalle.
Requisitos legales
Los implantes y guías quirúrgicas en 3D están definidas como producto sanitario a medida, por lo que debemos familiarizarnos con los requisitos legales que ello conlleva. Existen más de 15.000 tipos diferentes de productos sanitarios, que incluyen los últimos avances en software sanitarios e incluso aplicaciones (apps), lo que revela el grado de innovación de este sector que evoluciona de forma constante. Los productos sanitarios están regulados por Real Decreto 1591/2009, del 16 de octubre, y su clasificación pasará a ser sustituida por el nuevo reglamento europeo, que retrasa su entrada hasta 2021 debido a la pandemia de la COVID-19.
De modo práctico, los productos sanitarios están clasificados según su grado de riesgo, siendo de menor a mayor riesgo productos sanitarios de clase I, IIa, IIb y III (con mayor regulación y auditoría a mayor riesgo), como detallamos en la Tabla 1.
Tabla 1. Clasificación de productos sanitarios

La gestión de la calidad está regulada por el certificado ISO 13485, siendo la empresa de fabricación auditada para conseguir el certificado. La ISO 13485 es la norma que da las directrices para la fabricación de productos sanitarios. Aunque la empresa tenga el certificado ISO 13485, también debe disponer de una licencia de fabricación, que otorga el departamento de salud de la comunidad autónoma y la Agencia Española de Medicamentos y Productos Sanitarios.
Guías do-it-yourself: ¿puedo tener una impresora 3D en mi despacho?
Figura 1. Fractura conminuta de la cúpula del astrágalo.

Es una de las primeras preguntas que nos realizamos cuando entramos en el mundo de la impresión 3D. Definiremos los posibles escenarios que podemos encontrar, sin olvidarnos de que cada comunidad autónoma tiene unas características diferentes:
- Convertirse en empresa con los derechos legales para diseñar y fabricar el material. Debe pasar auditorías tanto para el software de diseño como para la fabricación.
- Tener el software con permiso de uso médico para diseñar personalmente lo que se desee y enviar el producto a la empresa con certificado sanitario para la fabricación.
- Delegar en la empresa autorizada tanto el diseño como la fabricación. En este caso, el médico diseña conjuntamente con el equipo de ingenieros de la empresa lo que haya planificado y recibe en poco tiempo el producto sanitario.
- Tener una impresora y un software sin permiso médico solo para uso docente. En tal caso, no requiere regulación.
Figura 2. Modelo 3D del defecto del astrágalo.

Casos clínicos
La realización de implantes o guías quirúrgicas con modelos en 3D nos permite ofrecer a nuestros pacientes soluciones específicas. La realización de estas guías es aplicable casi a cualquier situación en el campo de la traumatología y de la cirugía ortopédica, pero adquieren un valor añadido cuando nos enfrentamos a casos poco frecuentes o con la anatomía alterada.
Figura 3. Impresión de la guía 3D con el defecto del astrágalo y guía para su colocación.

Presentamos 3 ejemplos de la utilidad de los implantes o guías quirúrgicas en impresión 3D en la cirugía de pie y tobillo.
Fracturas
Figura 4. Tallado intraoperatorio con ayuda de la guía 3D.

La impresión de modelos 3D para el tratamiento de pacientes con fracturas del miembro inferior puede ser de gran utilidad como ayuda en la planificación quirúrgica, ya que podemos imprimir un modelo de la fractura como ayuda visual para comprender la distribución espacial de los fragmentos. Sin embargo, en algunos casos el tipo de fractura puede ser tan conminuto que no sea posible su reconstrucción. En este tipo de situaciones excepcionales, la impresión de un modelo 3D puede ayudarnos intraoperatoriamente a reconstruir el defecto óseo.
Figura 5. Control por radioscopia del aloinjerto.

Caso 1. Fracturas estallido del cuerpo del astrágalo
Figura 6. Coalición tarsiana.

Se trata de un paciente varón de 35 años que, tras una precipitación, presenta impotencia funcional en el miembro inferior. Tras la valoración clínica y radiológica, se observa un estallido de la parte posterior de la cúpula astragalina (Figura 1).
Figura 7. Guía 3D para la resección de la coalición tarsiana.

Utilidad de la impresión 3D: debido a la complejidad de la lesión, se decide tratarla con un aloinjerto estructural. Se decidió imprimir un modelo 3D del defecto óseo para poder tallar el injerto con la forma más parecida al defecto original.
Figura 8. Resección intraoperatoria de la coalición tarsiana con guía 3D.

Pasos:
- Obtención de la forma real del defecto combinando el astrágalo con una imagen especular del astrágalo contralateral (Figura 2).
- Impresión 3D del defecto del astrágalo y guía para la colocación de las agujas (Figura 3).
- Esterilización con gas.
- Tallado del injerto de manera intraoperatoria (Figuras 4 y 5).
Figura 9. Pseudoartrosis subastragalina.

Cirugía ortopédica
El uso de la planificación virtual y la impresión 3D en el ámbito de la cirugía ortopédica es cada vez más frecuente. En la cirugía de pie y tobillo podemos realizar diferentes guías para la realización de osteotomías de manera precisa que se ajusten a las necesidades de nuestros pacientes. También se pueden realizar guías de corte para deformidades que nos permitan ahorrar tiempo intraoperatorio y reducir la exposición a los rayos X en el quirófano.
Figura 10. Identificación del plano de la pseudoartrosis con una nube de puntos.

Caso 2. Coalición tarsal
Se trata de un caso de Dr. Sobrón, publicado en Foot Ankle International(9), que presenta a un paciente varón de 17 años con pie plano valgo doloroso. Tras la valoración clínica y radiológica, se observa una coalición astragalocalcánea (Figura 6).
Figura 11. Modelo tridimensional del plano de la pseudoartrosis.

Utilidad de la impresión 3D: se decidió imprimir una guía 3D de corte como ayuda intraoperatoria. La guía permite la resección de la coalición de manera completa y reducir la necesidad de guía con fluoroscopia.
Figura 12. Guía 3D para la resección de la pseudoartrosis.

Pasos:
- Obtención de las imágenes.
- Diseño de la guía de corte guiada por aguja de Kirschner (Figura 7).
- Esterilización con gas.
- Resección intraoperatoria (Figura 8).
Cirugía de revisión
Figura 13. Guía intraoperatoria de la pseudoartrosis.

Las deformidades complejas tridimensionales suponen un reto para el tratamiento quirúrgico. En estos pacientes, la impresión de modelos 3D para la planificación preoperatoria y de guías 3D para su uso intraoperatorio nos puede permitir mejorar la precisión de las correcciones tridimensionales.
Caso 3. Pseudoartrosis subastragalina
Se trata de un caso del Dr. Cuervas-Mons, publicado en Techniques in Orthopedics(15), acerca de un paciente varón de 54 años que acude a la consulta con dolor del retropié y deformidad en varo. Tras la valoración, se evidencia pseudoartrosis sintomática (Figura 9), por lo que se decide llevar a cabo tratamiento quirúrgico.
Figura 14. Control por fluoroscopia de la resección del plano de la pseudoartrosis.

Se presenta un problema: la identificación del plano de pseudoartrosis es fácil de manera preoperatoria con el uso de imágenes; sin embargo, la identificación del plano de pseudoartrosis completo de manera intraoperatoria puede ser difícil, siendo necesario una resección ósea amplia y en ocasiones insuficiente.
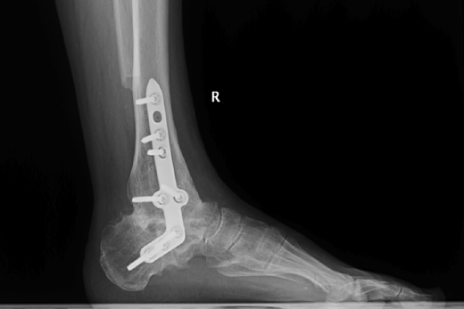
Figura 15. Control posquirúrgico tras la corrección de la pseudoartrosis en varo.

Utilidad de la impresión 3D: se decidió imprimir una guía 3D de corte como ayuda intraoperatoria. La guía permite la resección de la coalición de manera completa y reducir la necesidad de guía con fluoroscopia.
Pasos:
- Obtención de las imágenes (Figura 10).
- Identificación del plano de pseudoartrosis (Figura 11).
- Diseño de la guía de corte guiada por aguja de Kirschner (Figura 12).
- Colocación de la guía intraoperatoria sobre relieves óseos (Figura 13).
- Resección intraoperatoria (Figura 14).
- Control posquirúrgico tras la corrección de la pseudoartrosis en varo (Figura 15).