Introducción
La coalición tarsal consiste en la unión anormal de dos o más huesos del pie, como resultado de la falta de segmentación mesenquimal durante el desarrollo embrionario en el primer trimestre del embarazo(1).
La incidencia exacta en la población pediátrica es desconocida debido a que muchas veces son asintomáticas o no diagnosticadas, pero se estima que puede estar entre el 1 y el 13%. No existe una clara predilección por sexo y son bilaterales en aproximadamente el 50% de los casos(2). Más del 90% de las coaliciones se encuentran en las articulaciones calcaneoescafoidea (CE) o calcáneoastragalina (CA).
Evolutivamente, estas coaliciones pueden causar una deformidad del pie en plano valgo(3)(Figura 1), aunque también se han descrito, con menor frecuencia, casos de pie cavo varo(4). Este tipo de deformidad es también conocida como pie plano rígido o pie plano espástico peroneo.

Etiología
La causa exacta aún no está bien esclarecida. Se han propuesto:
- Factores genéticos. Se ha identificado un componente hereditario, con transmisión autosómica dominante y baja penetrancia. Los estudios han demostrado que los familiares de primer grado de pacientes afectados tienen una mayor prevalencia de coaliciones tarsales, siendo a menudo asintomáticas. La alteración genética no produce una manifestación al nacer, sino que se va desarrollando con el crecimiento del niño, dando lugar a síntomas generalmente en la adolescencia.
- Asociación con síndromes derivados de mutaciones genéticas: puede asociarse con varios síndromes como el síndrome de Apert, caracterizado por sinostosis del tarso y los huesos del cráneo, hipoplasia facial y sindactilia de los dedos de manos y pies, o el síndrome de Nievergelt-Pearlman, que presenta sinostosis radiocubital y del tarso con múltiples alteraciones en las manos.
- Asociación con anomalías congénitas de los miembros inferiores: puede ocurrir como parte de la deficiencia femoral focal proximal, la hemimelia de tibia o la de peroné. Estas condiciones están presentes desde el nacimiento y suelen asociar sinostosis tarsales y una deformidad en el tobillo denominada ball-and-socket, donde el astrágalo presenta una forma convexa y la tibia una cóncava. Al existir una coalición tarsal, el movimiento de inversión y eversión no se realiza en la articulación subastragaliana, sino en el tobillo, lo que lleva a cambios adaptativos y deformidades en el tobillo alrededor de los 4-5 años de vida.
Patogenia
La unión entre los huesos del tarso en el recién nacido y niños pequeños es fibrosa o cartilaginosa, permitiendo cierto movimiento. Estos tejidos no contienen estructuras nerviosas que transmitan dolor, lo que explica que los pacientes en la primera infancia rara vez presenten síntomas. A medida que el niño crece, estas uniones comienzan a osificarse (Tabla 1). Cuando la unión se osifica, se forma un periostio y una cápsula alrededor de la coalición, con estructuras nerviosas capaces de transmitir dolor. Además, la falta de movimiento en esta zona concentra mayores presiones, lo que puede llevar a fenómenos de estrés y microfracturas, siendo otra causa potencial de dolor(2).

La osificación de la coalición restringe los movimientos rotacionales normales en la articulación subastragalina, lo que obliga a las articulaciones vecinas a soportar mayores cargas. Con el tiempo, esto puede alterar la morfología del pie durante el crecimiento, un fenómeno que ocurre con mayor frecuencia en la CA. Este proceso puede resultar en el desarrollo gradual de un pie plano valgo con limitación de la movilidad en la articulación subastragalina, típicamente a partir de los 8-9 años. Aunque menos comunes, también se han descrito casos de pacientes con retropié neutro o varo.
La razón exacta por la cual unos pacientes desarrollan síntomas y otros no sigue siendo desconocida. Se ha sugerido que el estrés mecánico, con microfracturas alrededor de la coalición, y el desarrollo de un valgo aumentado del retropié podrían ser factores desencadenantes. Los cambios degenerativos debidos al estrés mecánico en las articulaciones adyacentes son raros en niños y adolescentes, siendo más comunes en la población adulta(5).
Por todo ello, la coalición tarsal se considera tanto una malformación, por la falta de segmentación de los huesos en el periodo embrionario, como una deformidad, por el desarrollo secundario de alteraciones en el pie (sobre todo plano valgo).
Clasificación
Según la localización
- Coalición CE: es la más frecuente (53-73%). Se caracteriza por la unión entre el proceso anterior del calcáneo y el borde lateral del escafoides. En aproximadamente el 60% de los casos, la coalición es bilateral, aunque el inicio de los síntomas suele ser asincrónico. Clínicamente, los pacientes suelen presentar dolor significativo a nivel del seno del tarso, siendo raro que esta coalición produzca importantes deformidades del pie(2).
- Coalición CA: es la segunda en frecuencia y en el 50% de los casos es bilateral. La mayoría de las uniones se encuentran en la carilla articular media de la articulación subastragalina, lo que hace fundamental evaluar el valgo del retropié en estos casos. Las coaliciones que afectan a la carilla posterior producen con más frecuencia pie cavo varo.
Estas dos localizaciones, CE y CA, representan el 90% de las coaliciones en el pie. Aunque no es frecuente que ambas ocurran simultáneamente, siempre hay que descartar la presencia de múltiples coaliciones cuando se diagnóstica una de ellas.
Son menos frecuentes y generalmente asintomáticas la coalición astragaloescafoidea, calcaneocuboidea y escafocuneana.
En niños con síndromes asociados, a menudo aparecen múltiples coaliciones.
Según el tejido de la coalición(5)
- Coalición fibrosa (también denominada sindesmosis). Es una unión fibrosa entre dos huesos, lo que permite cierta movilidad en las primeras etapas del desarrollo. Tienden a aparecer en edades tempranas.
- Coalición cartilaginosa (sincondrosis). También se presenta en la niñez, permitiendo cierto grado de movimiento hasta que eventualmente se osifican.
- Coalición ósea (sinostosis). Aparece en niños más mayores y resulta en la pérdida total de movilidad en la articulación afectada.
Presentación clínica
Varía significativamente entre los pacientes, desde aquellos que permanecen asintomáticos hasta aquellos que desarrollan síntomas graves, principalmente durante la adolescencia, cuando se osifica la coalición.
Síntomas comunes(2)
El síntoma más común es el dolor, presente en aproximadamente el 25% de los casos. Suele aparecer de manera insidiosa y, generalmente, empeora con la actividad física, con deportes o ejercicios que involucren movimientos repetitivos o prolongados, y mejora con el reposo. En muchas ocasiones, el niño no es capaz de localizar el dolor de forma precisa en el pie y su ubicación puede variar dependiendo del tipo de coalición:
- En el seno del tarso, manifestándose como dolor dorsolateral, por debajo del maléolo peroneo, es sugestivo de la CE.
- En el sustentáculo tali, debajo del maléolo medial, es típico de la CA.
- En la zona medial y plantar, especialmente si asocia un pie plano grave por impronta de la cabeza del astrágalo.
- En el tobillo, debido a la restricción en la movilidad de la articulación subastragalina, lo que produce movimientos compensatorios anómalos en el tobillo.
Los pacientes con un pie plano valgo grave suelen experimentar más síntomas que aquellos con una morfología normal del pie. Además del dolor, algunos pacientes pueden presentar esguinces de repetición o dificultad para caminar en terreno irregular, debido a la limitación en la movilidad de la articulación subastragalina, más común en la CA, donde la movilidad está completamente ausente, y menos frecuente en otras coaliciones, donde la movilidad puede estar limitada pero no abolida.
Edad de presentación y progresión de los síntomas
Los síntomas de la coalición tarsal suelen aparecer durante la segunda década de la vida, coincidiendo con la osificación de la coalición (Tabla 1). No obstante, no es raro que los pacientes presenten síntomas más tarde, incluso en la tercera década de la vida.
En niños pequeños, el aspecto clínico del pie puede ser normal. A medida que la coalición se osifica, el valgo del retropié puede ir aumentando y es frecuente la aparición de un pie plano valgo con antepié en abducción (aspecto de “muchos dedos”) y en supinación.
Exploración física
En la evaluación de un niño, especialmente un adolescente, que presenta un pie plano valgo hay que descartar que sea rígido, mediante el test de Jack (ausencia de formación del arco plantar al realizar flexión dorsal del hallux) (Figura 2A) y el test de Fonseca (ausencia de varización del retropié con las puntillas) (Figura 2B)(3).

La movilidad de la articulación subastragalina se evalúa con el pie en dorsiflexión neutra, realizando movimientos de inversión y eversión del retropié. Una falta de movilidad en esta articulación sugiere la presencia de una coalición tarsal, siendo menor la restricción en los pacientes con CE que con CA. Es importante considerar que algunos pacientes, sobre todo niñas, pueden mostrar una movilidad aparentemente normal debido a una laxitud ligamentosa del tobillo, lo que puede enmascarar la presencia de una coalición.
En ocasiones, el pie plano valgo se asocia a contractura de los gastrocnemios o tendón de Aquiles. También pueden presentar una contractura de los tendones peroneos, lo que provoca dolor en la zona externa del pie y la parte lateral de la pierna, de ahí el nombre de pie plano espástico peroneo. Aunque el espasmo muscular es más común en los peroneos, también puede observarse en los músculos tibial anterior y posterior.
Algunos niños presentan el signo del doble maléolo medial, que consiste en una prominencia palpable debajo del maléolo tibial, indicativo de un agrandamiento de la carilla media en casos de CA(6).
Aunque es poco común, también pueden aparecer pies cavovaros, frecuentemente asociados a coaliciones que involucran la faceta posterior subastragalina(4).
Es frecuente que los niños con coalición tarsal presenten una deambulación en rotación externa, debido a la restricción de la movilidad subastragalina. Esta adaptación postural busca una posición de menor dolor y mayor estabilidad con un ángulo de progresión de la marcha hacia externo. Si existe contractura del tendón de Aquiles, puede adquirir una postura en equino . En ocasiones, puede aparecer una marcha antiálgica, con disminución en la fase de apoyo por dolor.
Diagnóstico por imagen
Radiografía simple(5)
Es la primera prueba complementaria indicada en un paciente con sospecha de coalición tarsal. Las proyecciones básicas incluyen la dorsoplantar y lateral de los pies en carga, una oblicua a 45° y la proyección de Harris-Beath. Además, es importante realizar una radiografía en carga del tobillo. La mayoría de las coaliciones tarsales se pueden diagnosticar mediante radiografías simples, con la excepción de la CA, que precisa realizar una tomografía computarizada (TC) o una resonancia magnética (RM) para una visualización adecuada.
Proyección dorsoplantar del pie en carga
Esta proyección permite identificar coaliciones astragaloescafoidea, calcaneocuboidea o escafocuneana. Sin embargo, es más difícil visualizar la CE. En esta proyección se pueden medir:
- El ángulo calcaneoastragalino. Valora la posición del retropié. En casos de pie plano valgo, el ángulo está aumentado (> 25°).
- El ángulo astrágalo-primer metatarsiano. Se encuentra aumentado en casos de abducción del antepié.
Proyección lateral del pie en carga
En la CE se puede observar una prolongación tubular de la zona anterior del calcáneo hacia el escafoides, conocida como “signo del hocico del oso hormiguero”.
La CA no suele ser visible en las proyecciones dorsoplantar, lateral u oblicua, debido a las características de la articulación subastragalina. No obstante, existen signos indirectos en la proyección lateral que pueden hacer sospecharla:
- Pico en el cuello del astrágalo (talar beak). Se debe a la tracción capsuloligamentosa y el pinzamiento del escafoides contra el astrágalo, resultado de la restricción de los movimientos de inversión y eversión en la articulación subastragalina. No indica artrosis, sino que refleja una adaptación mecánica del pie. Tiene una sensibilidad del 48% y una especificidad del 91% para CA.
- Estrechamiento en la carilla articular posterior. Indicativo de una coalición en la zona más posterior de la articulación.
- Signo de la “C”. Característico de coaliciones de la carilla media del astrágalo, este signo consiste en una línea esclerosa circular formada por la cabeza del astrágalo y el sustentáculo tali. Aunque es muy específico de CA, también puede aparecer en pies planos sin coalición.
Proyección oblicua del pie a 45° (Figura 3A).
La CE se visualiza mejor en esta proyección, que presenta una sensibilidad del 90-100%. En condiciones normales, estos huesos no articulan entre sí, por lo que cualquier unión es altamente sugestiva de coalición. En las coaliciones óseas, se objetiva una unión completa con una prolongación del escafoides hacia el calcáneo, mientras que en las coaliciones fibrocartilaginosas se aprecia una disminución del espacio entre ambos huesos con bordes esclerosos e irregulares (pseudoarticulación).
Proyección axial del calcáneo o de Harris
Proyección radiológica a 45° del retropié que puede revelar una CA. Se sospecha por la oblicuidad de la carilla articular media, que en condiciones normales es horizontal. Una inclinación mayor de 25° se considera patognomónica de CA.
Tomografía computarizada y resonancia magnética
En todos los casos de sospecha de coalición tarsal, incluso cuando se diagnostican con radiografía simple, se recomienda realizar una prueba de imagen avanzada para confirmar el diagnóstico, caracterizar anatómicamente la coalición, identificar posibles coaliciones adicionales y ayudar a planificar el tratamiento quirúrgico.
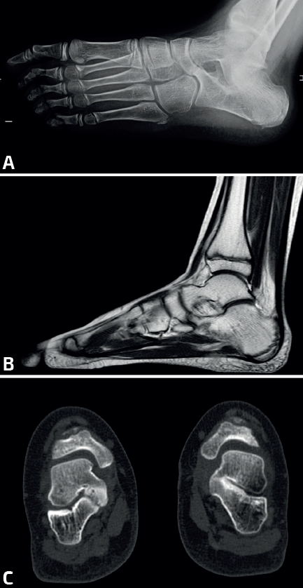
La RM se está utilizando cada vez con mayor frecuencia, sobre todo en pacientes más jóvenes, en los que las coaliciones suelen ser fibrocartilaginosas. Esta técnica evita la exposición a radiaciones ionizantes, pero puede requerir anestesia general en niños pequeños debido al mayor tiempo necesario para su realización. Permite visualizar edema de la médula ósea, orientación anómala de la articulación y aplanamiento de la superficie articular. En coaliciones óseas se objetiva una imagen de la medular continua entre ambos huesos (Figura 3B)(7).
La TC ofrece imágenes en los planos sagital, coronal y transversal, así como reconstrucciones en 3D, siendo las proyecciones coronales las más informativas. Cualquier irregularidad en la carilla articular media entre el calcáneo y el astrágalo es sugestiva de coalición. Además, la TC permite medir el valgo del retropié, evaluando el ángulo formado entre la línea perpendicular del eje de la articulación del tobillo y la línea del eje del calcáneo. Un ángulo mayor de 16° se considera indicativo de un valgo aumentado (Figura 3C)(8).

Tratamiento
En la población pediátrica, las coaliciones tarsales asintomáticas, diagnosticadas de manera incidental, no precisan tratamiento, lo que representa casi el 75% de los casos. Los niños están completamente asintomáticos y pueden realizar actividades deportivas sin restricciones. Se aconseja a los padres acudir a revisión si el niño comienza a presentar síntomas, como dolor o esguinces de repetición que dificulten su actividad deportiva(9).
Tratamiento conservador
El tratamiento de una coalición sintomática es escalonado, comenzando con tratamiento conservador, cuyo principal objetivo es disminuir la movilidad de la articulación subastragalina. Se aconseja:
- Modificar las actividades físicas del niño, disminuyendo o evitando de forma temporal las actividades que desencadenan el dolor.
- Antiinflamatorios no esteroideos (AINE) o incluso infiltración de corticoides en la zona de la coalición.
- Plantillas ortopédicas con soporte del arco longitudinal y con cuña supinadora, evitando aquellas demasiado rígidas que podrían aumentar el dolor al intentar elevar la cabeza del astrágalo en un pie rígido.
- En los casos donde los síntomas no mejoran, se puede inmovilizar con un botín de escayola en posición neutra o con una bota walker durante 3 a 6 semanas para deambular. Este tratamiento se puede repetir si es necesario.
El tratamiento conservador solo es efectivo en aproximadamente un tercio de los pacientes sintomáticos, con una mejoría del dolor más pronunciada en la CA, especialmente en niños jóvenes y en aquellos con síntomas de corta duración.
Tratamiento quirúrgico
Cuando los síntomas, como dolor o esguinces recurrentes, persisten a pesar de un tratamiento ortopédico prolongado (6 a 8 meses), se indica el tratamiento quirúrgico. La indicación de la cirugía depende más de los síntomas que de la edad del paciente. No existe una edad pediátrica límite inferior ni superior para indicar el tratamiento quirúrgico.

Es importante una valoración precisa de las pruebas de imagen para planificar la cirugía e individualizar cada caso según el tipo de coalición y la presencia de deformidades asociadas del pie. El objetivo es restaurar la movilidad normal del pie, garantizando su funcionalidad y la ausencia de dolor. Algunos autores sugieren que la resección quirúrgica puede prevenir futuras complicaciones como esguinces, fracturas y artrosis del tobillo.

En todos los casos se debe valorar, mediante el test de Silfverskiöld, si es preciso realizar alargamiento de los gastrocnemios o del tendón de Aquiles, así como el alargamiento del peroneo lateral corto en casos de espasticidad o cuando se realiza un alargamiento de la columna externa.

Cirugía de la coalición calcaneoescafoidea(10)
La resección suele ofrecer buenos resultados (78-90%), sobre todo en pacientes esqueléticamente inmaduros(9). Las coaliciones óseas tienden a tener peores resultados que las fibrocartilaginosas. Según Mosca(10,11), las coaliciones se consideran resecables si son fibrocartilaginosas, mientras que las coaliciones óseas son consideras irresecables, aunque existe controversia. Por otro lado, hay que valorar si existe un pie plano valgo que sea la causa de dolor del pie. Teniendo esto en cuenta, se describen 3 posibilidades terapéuticas:
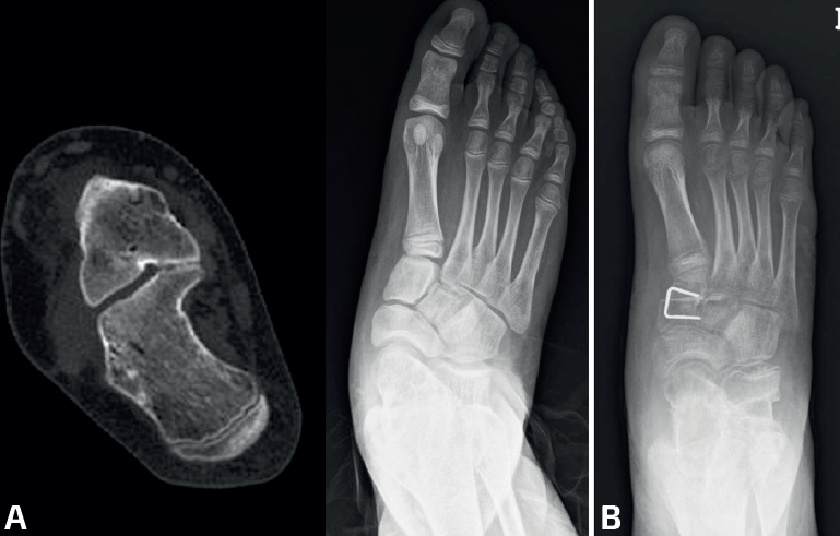
- Resección aislada de la coalición. Se indica en casos de dolor localizado en la coalición sin aumento del valgo del retropié. Se realiza a través de un abordaje de Ollier sobre la coalición, guiado por radioscopia, teniendo cuidado de no lesionar el nervio peroneo superficial, se separa el extensor digitorum brevis hacia distal y se accede a la coalición. Se resecan aproximadamente 10-15 mm entre los huesos, con la interposición de grasa para disminuir el riesgo de recidiva, aunque puede usarse también músculo o cera(12). La osteotomía del escafoides se realiza en línea con el cuello del astrágalo, mientras que la del calcáneo se realiza en línea con el cuboides, debiendo llegar hasta una profundidad de aproximadamente 25 mm, para resecar bien la zona plantar. Las técnicas de resección endoscópica están ganando popularidad, ofreciendo resultados similares a la cirugía abierta(13,14)(Figura 4).
- Resección de la coalición asociada a corrección del pie plano valgo(10,15). Indicada en casos de pie plano valgo grave. La mayoría de los autores recomiendan realizar la resección de la coalición y la corrección del pie plano (mediante alargamiento de la columna externa, osteotomía de deslizamiento del calcáneo, artrorrisis o técnica de calcáneo-stop) en la misma cirugía. Sin embargo, otros sugieren realizar ambas cirugías en tiempos separados (primero la resección de la coalición y segundo la cirugía correctora del pie), dado que las pautas postoperatorias son diferentes y porque algunos pacientes mejoran la sintomatología tras la resección sin necesidad de realizar la cirugía del pie plano.
Nuestras opciones terapéuticas en este tipo de coalición van a depender del grado de deformidad del pie; si no existe deformidad en valgo preferimos realizar la resección aislada de la coalición. En casos con valgo aumentado realizamos resección de la coalición asociada a osteotomía del calcáneo de tipo Mosca/Evans en el mismo acto quirúrgico. En edad pediátrica preferimos este tipo de osteotomía a la de deslizamiento del calcáneo, para evitar lesionar la fisis de crecimiento del calcáneo.

Cirugía de la coalición calcaneoastragalina(10)
La resección de la CA es más compleja, los resultados tras la cirugía de resección son difíciles de estimar debido a que estas coaliciones son muy variables en términos de localización, tamaño y grado de deformidad del pie(9,16). Se consideran resecables las coaliciones que afectan menos del 50% de la superficie de la carilla media en relación con el área de superficie de la carilla posterior y sin datos radiográficos de artrosis, mientras que se consideran irresecables las coaliciones que afectan a más del 50% de la superficie articular. Las opciones terapéuticas son:
- Resección aislada de la coalición: indicada en casos de CA resecable y valgo del retropié menor de 16°. Mediante un abordaje medial sobre el sustentáculo tali se resecan aproximadamente 10 mm entre ambos huesos. Es importante respetar el sustentáculo tali, resecando más superficie del astrágalo que del calcáneo. A veces, es difícil identificar la coalición, sobre todo si es completamente ósea. La proyección radioscópica intraoperatoria de Harris puede ayudar a su localización, mientras que la TC intraoperatoria, las guías de corte con impresiones 3D o las técnicas de navegación están en desarrollo. La resección se considera completa cuando se consigue movilizar la articulación subastragalina y se visualiza la carilla articular posterior. Es importante interponer algún material como grasa para evitar reosificaciones. Las técnicas endoscópicas también están ganando popularidad, porque se visualiza y se reseca mejor la coalición que afecta a la carilla posterior, pero tienen una importante curva de aprendizaje y no se recomiendan en las coaliciones que afectan a la carilla media y anterior(13,14)(Figuras 5, 6 y 7).
- Resección de la coalición asociada a corrección del pie plano valgo: indicada en casos de CA resecable y valgo del retropié mayor de 16°. La resección de la coalición no restaura la morfología del pie, incluso puede empeorar el valgo del retropié. Se emplean técnicas como el alargamiento de la columna externa u osteotomía de deslizamiento medial del calcáneo, mejorando de forma significativa la función, la sintomatología y las imágenes radiográficas del pie. Si tras la corrección del valgo se objetiva supinación del antepié se asocia una osteotomía de flexión plantar de la primera cuña (Figura 8). La mayoría de los autores realizan ambos procesos simultáneamente. Otros autores recomiendan realizar ambos procedimientos en dos tiempos quirúrgicos separados en el tiempo, por las mismas razones que se han comentado anteriormente. Al igual que en las coaliciones CE, si existe una deformidad en valgo aumentada, preferimos realizar la cirugía simultáneamente.
- Cirugía correctora del pie plano valgo sin resección: indicada en coaliciones amplias (> 50% de la superficie articular) o con signos de artrosis, asociadas a valgo del retropié > 16° y dolor en la zona medial del pie por impronta de la cabeza del astrágalo. En estos pacientes, no está indicada la resección de la coalición, pero sí una cirugía del pie plano mediante las técnicas expuestas en el apartado anterior.
- Artrodesis subastragalina, doble o triple artrodesis(17): indicada en casos de múltiples coaliciones o coaliciones muy extensas asociadas a dolor constante, con el objeto de mejorar el valgo del retropié. Generalmente en adultos, siendo inusual en adolescentes (debe evitarse en niños menores de 13 años para no alterar el crecimiento del pie).

En nuestra experiencia, las coaliciones astragaloescafoidea y calcaneocuboidea en la edad pediátrica son asintomáticas y no han precisado tratamiento quirúrgico.