Introducción
Como ya se ha comentado en otros capítulos de esta monografía, la gran mayoría (en torno al 90%) de las coaliciones tarsales son calcaneonaviculares o talocalcáneas. Pero existen coaliciones menos frecuentes, que llamaremos “atípicas”, que merecen también una consideración en su diagnóstico y su tratamiento. A efectos de este capítulo, entenderemos como “coaliciones atípicas” aquellas que no son ni calcaneonaviculares ni talocalcáneas. Las coaliciones tarsales atípicas pueden presentarse como estructuras no convencionales de manera aislada o, de manera más habitual, como parte de síndromes malformativos(1). Casi cualquier combinación de unión de un hueso del pie con otro es posible, si bien las coaliciones atípicas representan menos del 10% de todas las coaliciones tarsales, con incidencia ligeramente mayor del 1% para cada subtipo de coalición atípica(2). En este capítulo trataremos los aspectos mecánicos, clínicos y radiológicos de las coaliciones atípicas. También ofreceremos algunos detalles de las más frecuentes y de las líneas generales del tratamiento conservador y quirúrgico. Esperamos poder dotar al lector con un mayor índice de sospecha hacia estas coaliciones “atípicas” cuando tengan un paciente con dolores “atípicos” en un pie.
De la patomecánica al tratamiento
Las coaliciones tarsales atípicas, de modo similar a las típicas, causan generalmente una deformidad en pie plano valgo(3). Creemos que la aparición de la sintomatología se encuentra generalmente relacionada con la pérdida de compensación que se produce con el paso del tiempo en unas estructuras que trabajan de manera forzada hasta la sobrecarga. La teoría de estrés tisular de McPoil y Hunt explicaría perfectamente este contexto, con la coalición siendo un factor predisponente(4). El dolor proviene de las estructuras de partes blandas que sufren deformidad y daño tisular, como puede comprobarse habitualmente en las pruebas de imagen que muestran edema y daño en las partes blandas y, rara vez, en el hueso o en la articulación afectada. Con el paso del tiempo, la articulación o articulaciones implicadas en la coalición pueden sufrir cambios degenerativos o fracturas de estrés, pero estos cambios suelen ir precedidos de una larga historia de daño tisular y dolor en las partes blandas vecinas. El tratamiento, tanto conservador como quirúrgico, debe enfocarse desde la comprensión de la patomecánica de las coaliciones atípicas.
Presentación clínica
La mayoría de las coaliciones tarsales atípicas son, como en el caso de las típicas, asintomáticas, lo que hace pensar que su incidencia sea mucho mayor(5). La clínica más habitual en una coalición tarsal es un dolor sordo que aumenta con la actividad física. Algunos autores han comunicado casos de inestabilidad lateral del tobillo asociados a coaliciones tarsales(6).
La exploración en consulta debería empezar con el análisis visual de la marcha. En la mayoría de las coaliciones típicas y de las atípicas se observa un patrón de marcha con un pie plano valgo. La clínica en estos casos suele ir referida a los mismos dolores que se manifiestan en un pie plano valgo no asociado a una coalición tarsal. El dolor medial es atribuible al estrés tisular que se produce con la sobrecarga de las estructuras mediales del tobillo y el pie, consecuencias de la pronación tarsiana. Los dolores laterales suelen ser compresivos en la región más lateral de la articulación subastragalina. Si existe deterioro articular, el dolor artrósico puede sumarse a los dolores de las partes blandas. Es infrecuente encontrar coaliciones asociadas a un pie cavovaro o a secuelas de un pie zambo(3). En estático, pedimos al paciente que se siente en la camilla de exploración con las dos piernas y los pies colgando hacia el suelo. Al observar la “caída de los pies”, podemos sospechar un diagnóstico de coalición tarsal porque el pie no asume la posición de descanso normal con el tobillo/pie en flexión plantar e inversión, presentando una posición en ligera dorsiflexión y abducción por la rigidez del retropié.
Las coaliciones atípicas pueden presentarse asociadas con otras anomalías congénitas en síndromes con otras malformaciones(7,8,9,10,11,12). Ejemplos de estas asociaciones serían la hipoplasia en los miembros inferiores, como la hemimelia de peroné (aplasia o hipoplasia del peroné, frecuentemente asociada a otras malformaciones de la tibia, del fémur o del pie), el pie zambo, los síndromes de Apert (acrocefalosindactilia con malformaciones en el cráneo, la cara, las manos y los pies), de Crouzon (disostosis craneofacial congénita con malformaciones del cráneo y de la cara), de Nievergelt-Pearlman (displasia ósea primaria con grave acortamiento mesomélico, especialmente de las extremidades inferiores, con tibias y peronés triangulares o romboides distintivos, acompañado de protuberancias óseas y hoyuelos cutáneos) y de sinostosis múltiples (coaliciones tarsales, interfalángicas, antebrazo, y columna cervical). En las coaliciones atípicas complejas es fundamental evaluar qué efectos mecánicos resultantes se producen condicionantes del dolor para poder planificar el tratamiento corrector adecuado.
Pruebas de imagen en coaliciones atípicas
La mayoría de las coaliciones atípicas se diagnostican como hallazgos casuales al solicitar radiografías simples en pacientes con dolores en los pies, generalmente con deformidad en plano valgo. Las proyecciones convencionales –dorsoplantar y lateral– de ambos pies en carga suelen poner ya de manifiesto coaliciones atípicas como las talonaviculares y las calcaneocuboideas. Las proyecciones oblicuas son importantes porque suelen mostrar algunas coaliciones como las naviculocuboideas, las cuneometatarsianas y las coaliciones tarsales masivas. Las radiografías de ambos tobillos en carga suelen mostrar la consecuencia de algunas coaliciones tarsales masivas en forma de tobillo en cúpula (ball-and-socket)(13). Se han descrito varios signos radiológicos asociados a las coaliciones atípicas, como el “signo de la seta” en las talonaviculares, aunque algunas coaliciones atípicas presenten signos ya conocidos en las típicas, como el talar beak en las calcaneocuboideas o el del “oso hormiguero” en las naviculocuboideas(14)(Figura 1).

La resonancia magnética nos permite el diagnóstico cuando la coalición es fibrosa o cartilaginosa y la tomografía cuando es ósea. Ambas pruebas nos ayudan a cuantificar el grado de daño articular. Si existieran dudas sobre la participación de la coalición atípica en el dolor que presenta el paciente, la gammagrafía con tomografía computarizada por emisión de fotón único (SPECT)-tomografía axial computarizada (TAC) se ha mostrado como una prueba diagnóstica de utilidad en algunos pacientes y de ayuda en el diagnóstico diferencial de patologías cercanas anatómicamente a una coalición asintomática(15). Esta prueba es especialmente útil en pacientes con implantes de fijación interna, ya que es capaz de diferenciar estructuras causantes del dolor, incluyendo la interfaz del implante.

Tipos de coaliciones atípicas
Podemos considerar “atípicas” las siguientes coaliciones tarsianas:
- Talonavicular: la mayoría de las coaliciones talonaviculares son congénitas, con herencia autosómica dominante, pero en algunos casos pueden formarse durante la preadolescencia(16). En el estudio radiológico es característico el “signo de la seta”, visible en las radiografías en carga en proyección dorsoplantar, donde los contornos de la fusión ósea remedan la forma de un hongo(14)(Figura 2). Es frecuente la existencia de este tipo de coalición en síndromes malformativos como el de Nievergelt-Pearlman(17). Cuando una coalición talonavicular es sintomática, suele serlo de manera leve, con molestia más que dolor(18,19,20,21,22). En la mayoría de los casos el tratamiento conservador suele ser suficiente para mejorar la sintomatología(23,24). Cuando es necesaria una cirugía, suele realizarse una corrección de la deformidad con una osteotomía(25).
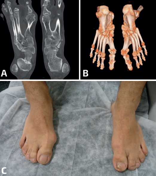
- Calcaneocuboidea: las coaliciones calcaneocuboideas suelen encontrarse en combinación con otras coaliciones (Frost y Pensieri) y también en el contexto de cuadros sindrómicos como el de Crouzon(26,27,28). Revisando nuestra casuística de coaliciones, los autores encontraron un caso de una paciente no sindrómica con una coalición aislada calcaneocuboidea bilateral que cursó con un pie plano valgo muy sintomático. La cirugía, consistente en una osteotomía varizante de calcáneo, mejoró la deformidad en valgo y la clínica hasta conseguir que la paciente estuviera asintomática (Figura 3).
- Naviculocuneana: revisando la literatura, llama la atención el alto número de coaliciones naviculocuneanas (navicular y primera cuña) recogidas en algunas series(29,30,31,32,33,34). Algunas radiografías en estos estudios nos recuerdan a artrosis primarias de esta articulación. El tamaño de las indentaciones articulares y de los quistes subcondrales parecen relacionarse directamente con la sintomatología(35). El tratamiento quirúrgico de las coaliciones naviculocuneanas, en un número bajo de casos, muestra resultados controvertidos. Algunos autores abogan por la resección simple con o sin interposición de partes blandas con buenos resultados(31) y otros recomiendan el tratamiento conservador por no obtener buenos resultados, independientemente de si se opta por una resección o por una artrodesis(29).
- Naviculocuboidea: en la literatura se encuentran publicaciones de casos aislados(36). La coalición naviculocuboidea no bloquea o afecta la mecánica de la subtalar ni del resto de las articulaciones vecinas, lo que explicaría que en la mayoría de las ocasiones son oligosintomáticas o asintomáticas. En escasas ocasiones el paciente se queja de dolor en la zona tras esfuerzos prolongados(37). Cuando son sintomáticas, es habitual que exista una deformidad en plano-valgo. El tratamiento conservador con plantillas suele resolver la mayoría de los casos(38). En los raros casos de sintomatología limitante a pesar del tratamiento conservador, la cirugía consistiría en la resección de la coalición y la interposición de músculo extensor brevis digitorum (pedio)(39,40). Las coaliciones naviculocuboideas se comportan, en la clínica y en la respuesta al tratamiento, de manera similar a las coaliciones calcaneonaviculares(41).
- Cuneocuboidea: la cuña lateral puede crecer unida al cuboides. Algunas publicaciones con casos aislados sugieren la mayor incidencia de naturaleza fibrosa frente a ósea, su predominio en mujeres y la necesidad de una resonancia para el diagnóstico(42,43). El tratamiento conservador suele mejorar al paciente sintomático y la literatura no presenta resultados claros sobre el tratamiento quirúrgico(44).
- Intercuneanas: son las más infrecuentes en la literatura. Se ha descrito la coalición de la cuña medial con la intermedia en una atleta que precisó de una cirugía de artrodesis sin mejoría de su dolor(45).
- Cuneometatarsiana: se han descrito casos aislados de coaliciones fibrosas de la primera cuña con el primer metatarsiano(46) y de la cuña lateral con el tercer metatarsiano(47,48). En ambos casos, la sintomatología no era limitante y el tratamiento conservador fue suficiente para el control del dolor. También se ha publicado un caso de coalición ósea de la tercera cuña con la base del tercer metatarsiano en un paciente asintomático(49).
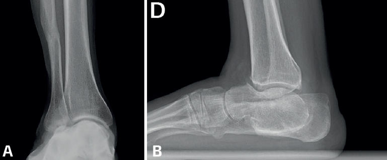
- Múltiples/Masivas: las coaliciones tarsales múltiples/masivas (dos o más de dos en el mismo pie) pueden presentarse como casos aislados no sindrómicos o asociados a otros problemas dentro de un síndrome (Figura 4). Se han descrito casos no sindrómicos de coaliciones combinadas calcaneonavicular, talonavicular y talocalcánea, con frecuencia bilaterales(26,50), y también afectando a la articulación tarsometatarsal(51). La mayoría son asintomáticas y algunas cursan con inestabilidad y entorsis de repetición en el paciente adolescente(50). En algunos casos observamos que la clínica depende del desarrollo de reacciones de estrés en los huesos limítrofes, como en el caso de un paciente con coaliciones tarsales talocalcáneas y naviculocuboideas y con dolor en la cuña intermedia(52). Aunque la mayoría mejoran con tratamiento conservador, existen casos publicados con cirugía de resección con mejoría de los síntomas(50,53,54,55,56,57). En muchas coaliciones múltiples/masivas del tarso, el tobillo (tibiotalar) tiene que adaptarse para poder trabajar como una tibiotalar y una subtalar a la vez, lo que conlleva un crecimiento adaptado a la función, formándose un tobillo cóncavo-convexo (ball and socket en la literatura anglosajona)(58)(Figura 5). En la mayoría de los casos, el hallazgo es casual y el paciente está asintomático. En línea con otras coaliciones, en los pacientes sintomáticos la clínica deriva de un pie plano-valgo. Las soluciones mecánicas consisten en el uso de plantillas con un buen gradiente supinador o en una cirugía de realineación mediante una osteotomía supramaleolar de cierre con base medial(59,60). En algunos pacientes con artrosis subtalar o tibiotalar avanzadas, los procedimientos de realineación pueden combinarse con artrodesis(61,62).

Tratamiento
Aproximadamente el 75% de las coaliciones tarsales son asintomáticas(2). La mera presencia de una coalición no es indicación de tratamiento, ni conservador ni quirúrgico. Cuando son sintomáticas, el dolor de una coalición tarsal suele deberse a causas mecánicas, luego los tratamientos deben ir orientados a soluciones mecánicas.

Conservador
La mayoría de los pacientes con coaliciones tarsales atípicas tienen escasa sintomatología y mejoran con tratamientos conservadores. El tratamiento por instaurar dependerá de la clínica y de la deformidad asociada. En ausencia de deformidad, muchos pacientes responden bien a tratamientos rehabilitadores convencionales(2,3). Cuando existe una deformidad asociada a la coalición, el tratamiento con plantillas mejora a la mayoría de los pacientes. Las plantillas funcionales deben buscar limitar las fuerzas de reacción del suelo hacia las estructuras que soportan un mayor estrés tisular. En la mayoría de los casos, en el escenario de un pie plano valgo, unas plantillas con un buen gradiente supinador en el retropié y con soporte de arco longitudinal interno conseguirán mejorar la mecánica en torno al pie y el tobillo. Incluso en el caso de coaliciones óseas, en las que obviamente no puede producirse una movilidad local, las plantillas consiguen actuar en las articulaciones perianquilóticas con una modificación de la posición del pie y de los ejes de carga, lo que suele traducirse en un alivio sintomático. Cuando existe una consecuencia mecánica asociada a la coalición, otros tratamientos conservadores como los fármacos antiinflamatorios, las infiltraciones con corticoides u otras sustancias, etc., tienen habitualmente un efecto muy limitado y efímero(2).

Quirúrgico
Los pacientes que no mejoran lo suficiente con las plantillas y que tienen una limitación notable de su calidad de vida pueden ser candidatos a una cirugía. En muy pocos casos de coalición atípica el objetivo de la cirugía es la coalición en sí misma, salvo que exista un normoeje, la coalición sea fibrosa o en forma de sinostosis, y no haya una consecuencia mecánica. También en raras ocasiones la articulación presenta una degeneración que nos haga plantear una artrodesis. En nuestra experiencia y de acuerdo con la literatura(63,64), las posibilidades de tratamiento quirúrgico de las coaliciones atípicas pueden resumirse en:
- Resección aislada con o sin interposición: en coaliciones fibrosas con un normoeje, con clínica local y sin repercusión mecánica en el resto del pie. Un ejemplo sería la coalición naviculocuboidea.
- Resección con o sin interposición y con corrección de la alineación: en el supuesto anterior, pero con deformidad y repercusión mecánica.
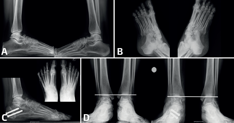
- Corrección de la alineación, sin actuar sobre la coalición: en coaliciones óseas con deformidad (habitualmente en plano valgo). La osteotomía más habitual es la varizante de calcáneo, en coaliciones óseas talonaviculares, calcaneocuboideas y múltiples/masivas. Este tratamiento es el más frecuente en nuestra experiencia (Figura 6). Pero si existe un abducto del pie, una osteotomía de alargamiento de la columna lateral con una osteotomía de tipo Evans puede corregir la deformidad y mejorar el dolor. La supinación residual del antepié en coaliciones múltiples/masivas puede precisar de una plantarización del primer radio con una osteotomía de tipo Cotton. En pies con coaliciones tarsales masivas que originen tobillos cóncavo-convexo, las osteotomías supramealeolares permiten mejorar la valguización del retropié y la sintomatología dolorosa. El cambio de paradigma del tratamiento mediante cirugías de realineación sin actuar sobre la coalición ha derivado del tratamiento de las coaliciones talocalcáneas. De hecho, recientemente hemos formulado y publicado una nueva clasificación de coaliciones talocalcáneas con unas indicaciones de tratamiento que son extensibles a la mayoría de las coaliciones atípicas con una desaxación(64).
- Artrodesis modelante: en los pocos casos en los que una artrosis secundaria es limitante.
Los resultados de los diferentes tratamientos quirúrgicos en la literatura están obviamente sesgados por la escasa casuística estudiada y deben ser tomados con precaución. La individualización de cada paciente en la indicación quirúrgica debe ser especialmente meticulosa en el caso de las coaliciones atípicas.

Conclusiones
Las coaliciones atípicas son un diagnóstico infrecuente en nuestra experiencia clínica y la mayoría pasan desapercibidas por ser asintomáticas.
La exploración clínica y radiológica, con pruebas de imagen convencionales, y un índice de sospecha elevado, nos permite el diagnóstico de la mayoría de ellas.
Una vez diagnosticadas, la mayoría son asintomáticas u oligosintomáticas. Las que son sintomáticas mejoran habitualmente con tratamientos conservadores. Las coaliciones atípicas que se asocian con una deformidad, generalmente en pie plano valgo, suelen ser más sintomáticas, pero responden bien al tratamiento con plantillas.
La indicación de cirugía es infrecuente, pero responde a unas directrices que hemos aprendido de las típicas: resecar e interponer cuando hay dolor local y normoeje, alinear con osteotomías sin tocar la coalición cuando hay dolor mecánico en las partes blandas y deformidad. Los resultados de la cirugía suelen ser buenos, pero con el sesgo de series heterogéneas y con números muy limitados.