Introducción
La disfunción del tendón tibial posterior (STP) o deformidad en pie plano (PP) adquirido del adulto es la entidad clínica más comúnmente encontrada por el cirujano de pie y tobillo. Han sido descritos 4 estadios(1)(2)(3)(4): 1) estadio I: el pie presenta una alineación normal con dolor e inflamación a lo largo del STP; 2) estadio II: pie con deformidad flexible, incluyendo valgo de retropié, disminución de la altura del arco interno y variable grado de abducción y supinación del antepié; 3) estadio III: deformidad similar al estadio II, pero la deformidad es más severa y llega a ser rígida; 4) estadio IV: es un pie con deformidad rígida como el estadio III pero con valgo de tobillo.
Hay muchos estudios de las opciones de tratamiento del PP flexible estadio II, pero pocas publicaciones informan sobre el tratamiento del estadio III. Por definición, el estadio III es una deformidad fija de retropié en valgus con supinación y abducción de antepié sin afectación de tobillo. La triple artrodesis es considerada el tratamiento clásico con fusión de ST (subastragalina), TN (astrágalo-escafoidea) y CC (calcáneo-cuboidea). La vía de abordaje tradicionalmente se ha realizado a través de una gran incisión con amplia disección de tejidos blandos o usando 2 incisiones, una en la cara medial y otra en la lateral. Esto conlleva una alta incidencia de problemas de herida, publicándose hasta un 25% de dehiscencia y un 16% de infección, especialmente en casos de grave deformidad en valgus, cuya corrección determina un gran incremento de la tensión en el lado lateral(5)(6)(7)(8)(9)(10). Simultáneamente, a largo plazo la triple artrodesis determina artritis de las articulaciones adyacentes en un rango del 30 al 50%(7)(8)(9)(11)(12)(13)(14)(15)(16)(17)(18). Por ello, se ha desarrollado la artrodesis TN y ST por una simple vía de abordaje medial, obteniendo una adecuada corrección de la deformidad, reduciendo las complicaciones de la cara lateral y con menor riesgo de artritis de las articulaciones vecinas al no realizar la artrodesis CC(13)(19)(20)(21). Otra alternativa para evitar estas complicaciones es el uso de técnicas artroscópicas(22)(23)(24)(25)(26).
Pero, adicionalmente, muchos pacientes con indicación de doble artrodesis presentan malas condiciones generales de tejidos blandos, secundarias a cirugías previas, diabetes y otras alteraciones inmunológicas que predisponen a complicaciones postoperatorias. Esto lleva al interés de desarrollar una técnica quirúrgica mínimamente invasiva (MIS) sin isquemia previa. El propósito de este estudio fue analizar una serie consecutiva de pacientes afectos de STP grado III sometidos a doble artrodesis (TN y ST) mediante una técnica original mínimamente invasiva, con los siguientes objetivos: 1) describir la técnica quirúrgica de reducción de la deformidad y estabilización mediante doble artrodesis; 2) comprobar la corrección radiográfica de la deformidad de forma equivalente a las series de triple o doble artrodesis estándar; 3) analizar la fusión ósea, el resultado funcional, la calidad de vida y el grado de satisfacción de los pacientes.
Material y método
Un total de 51 pies en 46 pacientes (5 bilaterales) fueron sometidos a doble artrodesis entre julio de 2007 y diciembre de 2014. Se llevó a cabo un protocolo de seguimiento mínimo de 12 meses. La indicación para la cirugía fue PP rígido o deformidad severa que no responde a un mínimo de 6 meses de tratamiento conservador, sin evidencia de degeneración de la articulación CC.
Se recopiló la información clínica de los pacientes (edad, sexo, lateralidad, cirugías previas), los resultados de la exploración clínica inicial usando el sistema de evaluación de la AOFAS (American Orthopaedic Foot and Ankle Society)(27), y radiografía (Rx) en carga en proyección anteroposterior (AP) y lateral (L).
La evaluación radiográfica consistió en la medición en Rx AP en carga del ángulo talo-calcáneo, talo-primer metatarsiano y cobertura del talo, y en Rx L en carga del ángulo talo-calcáneo, talo-primer metatarsiano e inclinación (pitch) de calcáneo. Todos los ángulos fueron medidos como describió Sangeorzan et al.(28) por un cirujano ortopédico especialmente dedicado a la cirugía del pie y tobillo, pero sin relación directa con el aspecto clínico del estudio.
El estudio radiográfico fue realizado 1, 3, 6, 12, 24 y 36 meses tras la intervención. El éxito de la artrodesis fue definido como ausencia de dolor junto a inequívoco puente óseo con ausencia de radiolucencia en el área de fusión, igualmente constatado por un cirujano ortopédico especialmente dedicado a la cirugía del pie y tobillo, pero sin relación directa con el aspecto clínico del estudio. Se consideró la realización de tomografía axial computarizada (TAC) solo en los casos de sospecha de pseudoartrosis.
Al final del seguimiento se valoró el resultado mediante la aplicación de la escala AOFAS(27) (dolor, función y alineación con 94 puntos, eliminando los ítems correspondientes a movilidad tarsal), el grado de satisfacción del paciente (extremadamente satisfecho y se volvería a operar; muy satisfecho, pero no se volvería a operar; insatisfecho, pero se volvería a operar; insatisfecho y no se volvería a operar), así como las complicaciones posquirúrgicas.
Técnica quirúrgica
Los pacientes fueron colocados en decúbito lateral, sin torniquete de isquemia preventiva, en una mesa operatoria radiotransparente para facilitar el control fluoroscópico durante la cirugía. Esta posición permite la visión en proyección L y por rotación externa de la cadera y flexión de la rodilla igualmente permite la visión en AP.
Inicialmente se realiza alargamiento percutáneo del tendón de Aquiles si es necesario.
En primer lugar, se aborda la articulación TN como indican Carranza et al.(29); para ello, se marca en la piel el paquete neurovascular dorsal, se chequea la articulación por control fluoroscópico con una aguja intramuscular colocada entre el tendón tibial anterior (TA) y el extensor largo (EHL). Se realiza una incisión solo cutánea de 1 cm sobre la línea articular como el portal artroscópico dorsomedial descrito por Lui(24). Para evitar lesionar la arteria pedia o el nervio peroneal profundo, se realiza disección roma y penetración de la articulación astrágalo-escafoidea lo más cerca posible del TA. Finalmente, se cruenta la articulación bajo control fluoroscópico hasta tejido subcondral con escoplos y brocas motorizadas (Figura 1).
En segundo lugar, se aborda la articulación ST como indican Carranza et al.(30), se penetra la ST anterior y media por una incisión solo cutánea de 1 cm sobre el seno del tarso y la ST posterior por un portal posterolateral justo lateral al tendón de Aquiles, similar al portal artroscópico posterolateral descrito por van Dijk(31). Por estos 2 portales, finalmente se cruenta la articulación bajo control fluoroscópico hasta tejido subcondral con escoplos y brocas motorizadas (Figura 2).
En tercer lugar, una vez realizada la tenotomía de alargamiento del tendón de Aquiles y la liberación y cruentación de las articulaciones TN y ST, se consigue una gran flexibilidad del retropié, previamente rígido, lo que permite realizar la reducción de la deformidad multiplanar, mediante la corrección de la subluxación peritalar propia del estadio III, presionando la cabeza del astrágalo dorsal y lateralmente, al mismo tiempo que el retropié es rotado internamente alrededor del astrágalo y la rotación del antepié corrige la supinación del mismo. La TN es fundamental reducirla perfectamente en posición neutra en ambas proyecciones Rx AP y L.
Finalmente, se realiza la osteosíntesis a compresión con un tornillo (ICOS® 6,5 mm; un caso con tornillo HCS® Synthes 6,5) primero de la TN (Figura 3) y después de la ST (Figura 4)(29)(30).
Tras el cierre cutáneo, se aplicó un vendaje compresivo y una férula de yeso en descarga durante 2 semanas y, posteriormente, un yeso de carga durante 6-8 semanas.
Figura 1. Cruentación de la articulación astrágalo-escafoidea, bajo control fluoroscópico, hasta tejido subcondral, con escoplos (A) y brocas motorizadas (B).
Figura 1. Cruentación de la articulación astrágalo-escafoidea, bajo control fluoroscópico, hasta tejido subcondral, con escoplos (A) y brocas motorizadas (B).

Figura 2. Cruentación de la articulación subastragalina, bajo control fluoroscópico, hasta tejido subcondral, con escoplos (A) y brocas motorizadas (B y C).
Figura 2. Cruentación de la articulación subastragalina, bajo control fluoroscópico, hasta tejido subcondral, con escoplos (A) y brocas motorizadas (B y C).

Figura 3. Reducción y fijación con aguja guía de la articulación astrágalo-escafoidea bajo control fluoroscópico en lateral (A) y anteroposterior (B) y osteosíntesis a compresión con un tornillo (C; ICOS® 6,5 mm).
Figura 3. Reducción y fijación con aguja guía de la articulación astrágalo-escafoidea bajo control fluoroscópico en lateral (A) y anteroposterior (B) y osteosíntesis a compresión con un tornillo (C; ICOS® 6,5 mm).

Figura 4. Fijación con aguja guía de la articulación subastragalina bajo control fluoroscópico en lateral (A) y anteroposterior (B) y osteosíntesis a compresión con un tornillo (C; ICOS® 6,5 mm).
Figura 4. Fijación con aguja guía de la articulación subastragalina bajo control fluoroscópico en lateral (A) y anteroposterior (B) y osteosíntesis a compresión con un tornillo (C; ICOS® 6,5 mm).

Resultados
De los 46 pacientes que fueron revisados, el 69,56% (32/46) eran mujeres y el 30,43% (14/46) hombres, con una edad media de 63,8 años (37-78). El 36,95% (17/46) de los sujetos presentaron lateralidad derecha, el 52,7% (24/46) lateralidad izquierda y 5 (10,86%) pacientes fueron intervenido de ambos pies. El 8,69% de la serie (4/46) habían sido intervenidos previamente. El tiempo de hospitalización medio fue de 4,7 ± 2,4 días.
El ángulo AP talo-calcáneo presentó una mejoría media de 13,42° desde 28,96° en preoperatorio a 15,54° en el postoperatorio. El ángulo AP talo-primer metatarsiano mejoró 15,87° desde una media preoperatoria de 24,37° a 8,5° de media en el postoperatorio. El ángulo AP de cobertura de astrágalo presentó una mejoría media de 35,28° desde 36,35° en preoperatorio a 1,07° en el postoperatorio. El ángulo lateral talo-calcáneo mejoró 19,74° desde una media preoperatoria de 52,54° a 32° de media en el postoperatorio. El ángulo lateral talo-primer metatarsiano presentó una mejoría media de 23,71° desde 25,37° en preoperatorio a 1,66° en el postoperatorio. El ángulo calcaneal pitch mejoró 3,72° desde una media preoperatoria de 12° a 15,72° de media en el postoperatorio.
Se observó consolidación radiológica a las 12 semanas de la intervención en el 100% de la articulación ST y 2 casos (3,9%) presentaron retraso de consolidación de la articulación TN sin repercusión clínica.
En 3 casos (5,8%) se observó la evolución a IV grado a los 4, 3 y 1 año, respectivamente.
La media preoperatoria del test AOFAS fue 29,82 y la media posquirúrgica 81,78. En la escala de satisfacción del paciente, solo 1 (2,1%) se mostró insatisfecho y consideró que no se volvería a operar.
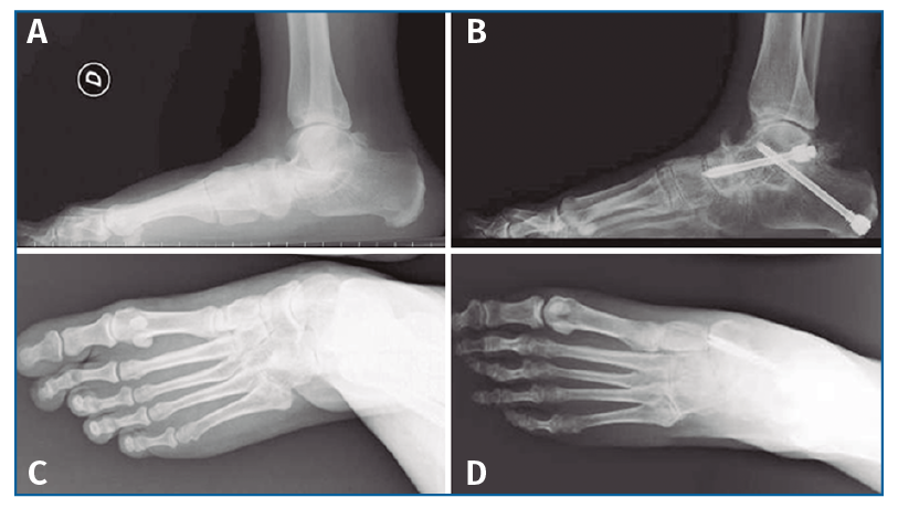
No se pudo realizar una valoración completa del resultado de la corrección clínica por no disponer de fotografías pre- y postoperatorias de todos los pacientes (Figura 5), aunque, como hemos comentado anteriormente, se valoró la evolución radiológica en la totalidad de los pacientes (Figura 6).
Figura 5. Aspecto clínico pre- (A y C) y postoperatorio (B y D) mostrando la corrección del valgo del pie izquierdo, así como la convexidad de la cara medial y el hundimiento del arco interno.
Figura 5. Aspecto clínico pre- (A y C) y postoperatorio (B y D) mostrando la corrección del valgo del pie izquierdo, así como la convexidad de la cara medial y el hundimiento del arco interno.

Figura 6. Aspecto radiográfico pre- (A y C) y postoperatorio (B y D) mostrando la corrección de las mediciones angulares.
Figura 6. Aspecto radiográfico pre- (A y C) y postoperatorio (B y D) mostrando la corrección de las mediciones angulares.

Discusión
El estadio III es definido como la deformidad fija del retropié en valgus con supinación y abducción de antepié sin afectación del tobillo. El éxito del tratamiento incluye la cirugía reconstructiva para obtener un pie plantígrado, eliminar el dolor y limitar la progresión de la artritis en las articulaciones adyacentes. Existe controversia tanto en la vía de abordaje como en el número de articulaciones que se precisa artrodesar, por lo que las complicaciones pueden variar según la técnica utilizada. Mediante este estudio, se presenta una técnica original mínimamente invasiva para el pie plano del adulto estadio III, con una tasa de fusión y corrección de la deformidad similar a los estudios publicados hasta la fecha, pero con menor número de complicaciones. Solamente se ha publicado un estudio similar, pero sin aportación de casos clínicos(32).
La triple artrodesis clásica que incluye la TN, la ST y la CC es la más frecuentemente indicada, pero se observan determinados problemas secundarios:
1. La vía de abordaje tradicionalmente se ha realizado a través de una gran herida con amplia disección de tejidos blandos o usando 2 incisiones, una en la cara medial y otra en la lateral. Esto conlleva una alta incidencia de problemas de herida, publicándose hasta un 25% de dehiscencia y un 16% de infección, especialmente en casos de grave deformidad en valgus, cuya corrección determina un gran incremento de la tensión en el lado lateral(5)(6)(7)(8)(9)(10)(33). Por ello, se ha desarrollado la artrodesis TN y ST por una simple vía de abordaje medial, obteniendo una adecuada corrección de la deformidad, reduciendo las complicaciones de la cara lateral(13)(19)(20)(21).
2. Se ha publicado hasta un 38% de progresión de la artritis en las articulaciones adyacentes, aunque el grado de artritis radiológica no se correlacione exactamente con los síntomas(11)(18)(27)(34)(35). Ello se relaciona con que una pequeña cantidad de movimiento remanente en la columna lateral puede proteger a las articulaciones adyacentes de las fuerzas de compresión durante la deambulación, porque estudios biomecánicos demuestran que alrededor de 2 grados se reduce el movimiento de la CC por la artrodesis TN, del mismo modo que la fusión de la TN reduce dramáticamente el movimiento de la ST; en cambio, la fusión aislada de la CC provoca mínima diferencia de movilidad de ST y 33% de TN(36).
3. La fusión CC provoca acortamiento de la columna lateral, lo que determina aumento de la abducción del antepié, por lo que diversos autores no realizan dicha fusión(37).
4. La triple artrodesis conduce en un 20% de los casos a pseudoartrosis de CC, lo que justifica que no se realice su artrodesis si no está afectada(5)(16)(38).
Kelly y Easley describieron el concepto de “fusión limitada”, proponiendo la fusión de solo 1 o 2 de las 3 clásicas para corregir la deformidad, evitar el dolor y preservar el movimiento de las articulaciones adyacentes(39). Pero la adecuada corrección del PP valgo rígido no es posible solo con la artrodesis TN y, por tanto, es necesario corregir y fusionar la ST para conseguir un pie plantígrado en buena posición(40).
La doble artrodesis como combinación de TN y ST proporciona resultados similares a la triple artrodesis sin los inconvenientes de la fusión de la CC, si esta no está afectada, y permite realizar un abordaje simple por cara medial evitando los riesgos cutáneos de la cara lateral(11)(19)(22)(37)(41).
La artrodesis por vía artroscópica igualmente reduce las complicaciones de la triple artrodesis clásica(23)(24)(25)(26).
El presente estudio afecta a una serie de pacientes afectos de síndrome de insuficiencia del STP en grado III tratados mediante doble artrodesis (TN y ST) con una técnica original MIS, con unos resultados similares a los conseguidos con las técnicas abiertas(19)(20)(21)(22)(37)(41). En nuestro conocimiento, solo existe un estudio previo que describa esta específica técnica quirúrgica para realizar la doble artrodesis, pero sin aportación de casos clínicos(32).
Toda la cirugía fue realizada directamente o supervisada por el sénior. Los autores creen que la deformidad se debe a mala alineación de los huesos en el pie más que a la deformidad individual del hueso(37) y, por lo tanto, la forma normal de pie puede ser obtenida por una apropiada reposición de los huesos, no siendo necesario el aporte de injerto(42); por ello, no hemos utilizado injerto óseo ni concentrado de plaquetas en este grupo de pacientes.
Como hemos descrito en la técnica quirúrgica, con la realización de la tenotomía de alargamiento del tendón de Aquiles y la liberación y cruentación de las articulaciones TN y ST se consigue una gran flexibilidad del retropié, previamente rígido, lo que permite realizar la reducción de la subluxación TN propia del estadio III, presionando la cabeza del astrágalo dorsal y lateralmente, y rotado internamente, al mismo tiempo, el retropié alrededor del astrágalo. Como en otros estudios, consideramos que la apropiada posición de la articulación TN es la llave de la alineación del medio pie o corrección multiplanar de la deformidad(5)(11)(37)(43).
Lo ideal de la preparación de las superficies articulares para la fusión es la cruentación hasta el hueso subcondral vascularizado(23). Muchos autores han mostrado que no es necesaria la preparación de toda la superficie articular para conseguir una adecuada 4 corner fusion de las 2 articulaciones del retropié(23)(24(26). Nosotros, por MIS, evidentemente no podemos tener una visualización directa de las superficies articulares, pero bajo control fluoroscópico observamos la desintegración de la línea densa subcondral y podemos realizar múltiples perforaciones del hueso subcondral. La acción combinada de escoplos y gubias motorizadas permite la creación de una papilla osteocartilaginosa que creemos que es extremadamente beneficiosa para la fusión ósea(29)(30).
Si la deformidad es corregida, las articulaciones inmovilizadas y fijadas a compresión con tornillos, placas, grapas o una combinación de ellas, la fusión estará conseguida(23). Nuestros resultados están de acuerdo con la revisión de la bibliografía que muestra un índice de pseudoartrosis de 0 a 17% en doble y triple artrodesis(19)(23)(37)(38)(41)(42), con un caso de rotura del tornillo astrágalo-escafoideo sin repercusión clínica(41).
En 3 casos la deformidad evolucionó del grado III al grado IV, presentando artrosis de tobillo. Otros autores(19) consideran que es posible que el abordaje medial comprometa la estabilidad de la articulación del tobillo por daño a la porción anterior del ligamento deltoideo, pero con nuestra técnica no es posible la lesión del ligamento deltoideo, por lo que consideramos que esta evolución puede formar parte de la historia natural de la enfermedad y que es necesario explorar clínica y radiográficamente la articulación del tobillo antes de realizar una doble o triple artrodesis por STP.
Como hemos comentado, un problema añadido en la cirugía convencional es el riesgo de daño cutáneo y de las estructuras neurovasculares asociado a la disección de tejidos blandos. La técnica que mostramos en este estudio asocia muy bajo riesgo neurovascular siempre que mantengamos el instrumental de cruentación articular dentro del espacio articular bajo control fluoroscópico. No hemos tenido ningún caso de lesión cutánea ni dehiscencia de heridas ni de lesión vasculonerviosa.
Esta técnica permite realizar la cirugía sin necesidad de colocar manguito de isquemia, lo que representa una gran ventaja, sobre todo en pacientes con riesgo vascular como los diabéticos. La ausencia de isquemia también reduce la posibilidad de necrosis ósea por la hipertermia provocada por las fresas motorizadas y facilita la creación de la papilla osteocartilaginosa que hemos comentado, que representa un gran beneficio para la fusión ósea.
La artroscopia tiene la ventaja de que permite la visualización directa de las superficies articulares sin irradiación, pero presenta otras posibles complicaciones como la extravasación de agua con riesgo de provocar un síndrome compartimental.
En cuanto a la corrección radiográfica de la deformidad, hemos obtenido unos resultados similares a las series de triple o doble artrodesis estándar, como se detalla a continuación.
Anand et al.(19) encuentran mejoría de 10° en el ángulo AP talo-calcáneo, 20° en el AP talo-segundo metatarsiano, 5° en el lateral talo-calcáneo y 13° en el lateral talo-primer metatarsiano.
El trabajo de Knupp et al.(41) muestra una mejoría del ángulo AP de cobertura de astrágalo de un 32° a un 12°. La media del ángulo AP talo-primer metatarsiano de 16° a 7°. La media del ángulo lateral talo-primer metatarsiano de 19 a –8. La media del ángulo lateral talo-calcáneo de 41° a 30°. La media del calcaneal pitch es de 18°.
En el trabajo de Mehta et al.(37), se produce mejoría de AP talo-calcáneo de 8°, AP talo-primer metatarsiano de 9°, ángulo de cobertura de 33°, lateral talo-calcáneo de 16°, lateral talo-primer metatarsiano 25°, calcaneal pich de 3°. El L talo-calcaneal y talo-primer metatarsiano fue totalmente corregido en el 91% de los pies. El ángulo de cobertura fue totalmente corregido en el 100% de los casos.
En cuanto al resultado funcional, la calidad de vida y el grado de satisfacción de los pacientes, igualmente, hemos obtenidos unos resultados similares a las series de triple o doble artrodesis estándar, como puede verse a continuación.
Para Anand et al.(19) el porcentaje de satisfacción fue del 78%. Fortin et al.(8) muestran una mejoría de la escala AOFAS de 36 puntos. Para Knupp et al.(41) los resultados fueron excelente en 16 pacientes (53%), bueno en 9 (30%), regular en 4 (13%) y malo en 1 (3%).
Las limitaciones de este estudio son el relativamente corto número de pacientes que incluye la serie, la ausencia de resultados de la corrección clínica por la falta de fotografías pre- y postoperatorias de todos los pacientes y, por tanto, la imposibilidad de correlacionar la corrección clínica con la radiológica. No obstante, se midieron los principales ángulos de las articulaciones del tarso antes y después de la corrección quirúrgica.
Conclusión
Este estudio demuestra que se puede conseguir la corrección de la deformidad del PP secundario del adulto debido a insuficiencia del STP en grado III, mediante una técnica original de doble artrodesis por MIS, sin isquemia preventiva, consiguiendo la reducción mediante una maniobra de multiplanar de rotación. Comparados con la literatura, los datos obtenidos en este estudio muestran una corrección radiográfica de la deformidad de forma equivalente a las series de triple o doble artrodesis estándar, con una tasa similar de fusión ósea y un semejante resultado funcional y grado de satisfacción de los pacientes. Todo ello, con menor índice de complicaciones, por lo que pueden beneficiarse los pacientes de alto riesgo quirúrgico.