Introducción
Las fracturas triplanares se caracterizan por producirse después del cierre parcial del plato epifisario tibial(1). Se definen por trazos de fractura en los planos coronal, sagital y axial y, habitualmente, son una combinación de varios tipos de epifisiolisis según la clasificación de Salter y Harris(2).
La radiografía simple muestra una fractura de tipo III de Salter y Harris en la proyección anteroposterior y una de tipo II en la lateral con fragmento metafisario posterior. Pueden existir fracturas de peroné asociadas en un 24-50% de los casos(3)(4). Se han descrito numerosas variaciones incluyendo 2, 3 y 4 fragmentos.
Lo prioritario en toda fractura de tobillo durante el crecimiento es la reducción anatómica evitando manipulaciones repetidas. En el planteamiento terapéutico debemos considerar 3 aspectos fundamentales: el tipo de lesión según Salter y Harris, el mecanismo de producción y el crecimiento remanente del paciente. Se recomienda la realización de una tomografía computarizada (TC) en la que se visualiza la típica configuración en estrella de Mercedes-Benz(5) con reconstrucción multiplanar para realizar una buena planificación quirúrgica(6)(7).
Caso clínico
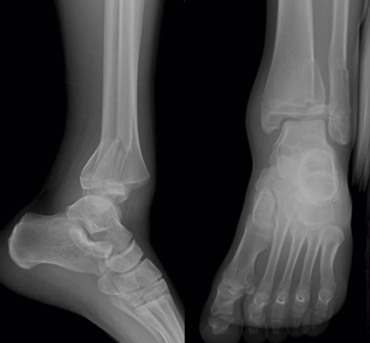
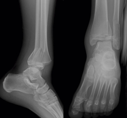
Se trata de un varón de 13 años de edad que acude a urgencias tras sufrir una caída y con eversión forzada del tobillo jugando al fútbol. A la exploración, presentaba inflamación en todo el tobillo izquierdo (región anterior y ambos maléolos) sin déficit neurovascular. En la radiografía simple se observó una fractura epifisiolisis de tipo IV (Figura 1).
Se realizó una TC del tobillo que confirmó el diagnóstico de fractura triplanar en 3 fragmentos con fractura de peroné con ligero desplazamiento (Figura 2).
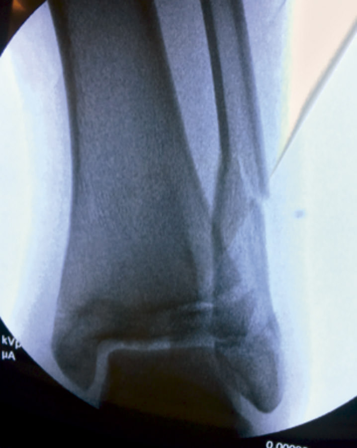
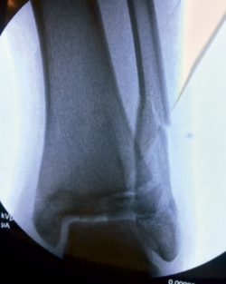
Bajo anestesia general se intentó la reducción cerrada de las fracturas, sin éxito (Figura 3).
Por ello, realizamos reducción abierta mediante abordaje anterior ligeramente lateral: incisión recta de aproximadamente 8 cm, seccionando el retináculo extensor y rechazando a medial el tendón del músculo tibial anterior y extensor hallucis longus y hacia lateral el paquete vasculonervioso (vena y arteria dorsal del pie y nervio peroneo profundo). Apertura de la cápsula articular para obtener un mejor acceso a la zona articular y fisaria, donde procedimos a la colocación de agujas de Kirschner para ayudar a mantener la reducción de la fractura (Figura 4).
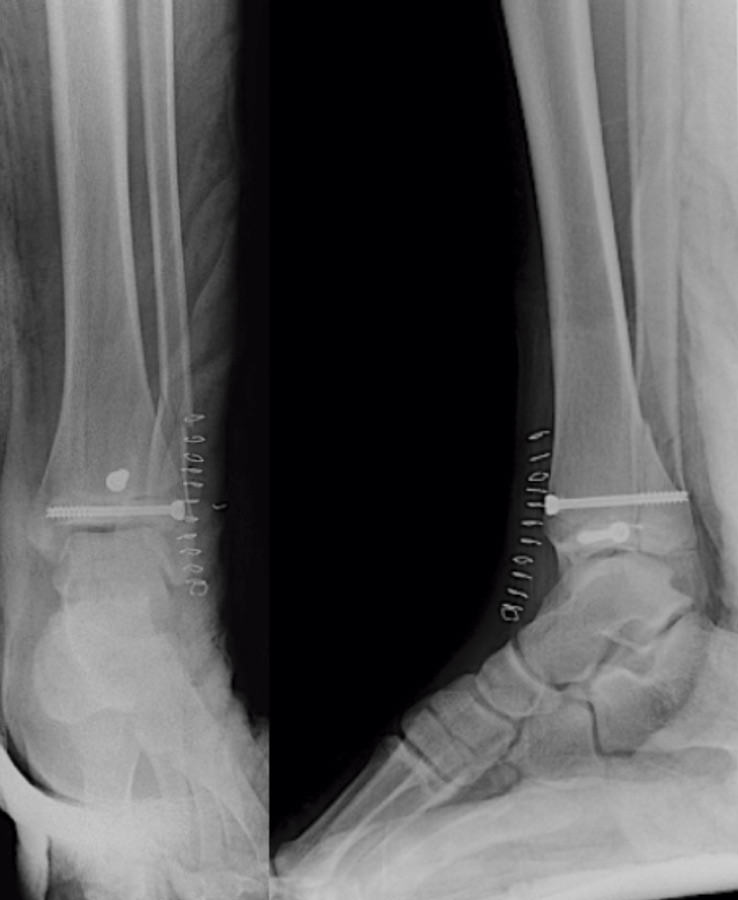
Tras conseguir una adecuada reducción de la fractura, realizamos fijación interna con 2 tornillos canulados de rosca parcial de 16 mm (un tornillo epifisario de lateral a medial y otro metafisario anteroposterior) comprobando bajo fluoroscopio la reducción de la fractura (Figura 5).
A continuación, realizamos un cierre por planos meticuloso de la cápsula articular, retináculo extensor, subcutáneo y piel, inmovilizando con un yeso suropédico. El paciente presenta una evolución inmediata favorable con dolor controlado, exploración neurovascular normal y control radiológico inmediato correcto (Figura 6).
Se permitió la movilidad del tobillo a la segunda semana y se mantuvo en descarga durante 6 semanas, seguido de carga parcial progresiva, permitiendo la carga competa a la 8.ª semana. Las fracturas consolidaron a las 8-9 semanas.
Figura 1. Radiografía: epifisiolisis de tipo IV asociada a fractura de tercio distal de peroné.
Figura 1. Radiografía: epifisiolisis de tipo IV asociada a fractura de tercio distal de peroné.

Figura 2. Tomografía computarizada + reconstrucción 3D: signo de Mercedes-Benz. Fractura Salter-Harris de tipo III en anteroposterior y de tipo II en proyección sagital + fractura de peroné.
Figura 2. Tomografía computarizada + reconstrucción 3D: signo de Mercedes-Benz. Fractura Salter-Harris de tipo III en anteroposterior y de tipo II en proyección sagital + fractura de peroné.

Figura 3. Radiografía intraoperatoria después de reducción cerrada.
Figura 3. Radiografía intraoperatoria después de reducción cerrada.

Figura 4. Reducción abierta, fijación temporal con agujas de Kirschner.
Figura 4. Reducción abierta, fijación temporal con agujas de Kirschner.

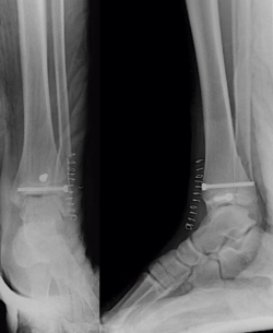
Figura 5. Control radiológico intraoperatorio: fijación con tornillos canulados.
Figura 5. Control radiológico intraoperatorio: fijación con tornillos canulados.

Figura 6. Control radiológico postoperatorio.
Figura 6. Control radiológico postoperatorio.

Discusión
Las fracturas distales de tibia con afectación intraarticular durante la infancia son lesiones con complicaciones potencialmente graves si no se tratan con prontitud. Las fracturas triplanares no desplazadas (< 2 mm de desplazamiento) y las fracturas extraarticulares se pueden tratar con bota de yeso y descarga durante 4-6 semanas. Para las fracturas desplazadas, se intenta la reducción cerrada con anestesia general (debemos evitar más de 2 intentos de reducción: cada intento causa traumas y hemorragias adicionales y, posiblemente, más lesiones en la placa de crecimiento tibial distal). Obtenemos una reducción cerrada adecuada de la fractura en todos los planos en entre un 30 y un 50% de los casos. Las indicaciones para el tratamiento quirúrgico son la imposibilidad para conseguir una reducción incruenta, una fractura intraarticular desplazada, una fractura desplazada a través del cartílago de crecimiento, las fracturas abiertas y una fractura asociada a lesión vascular. Cuando el desplazamiento de los fragmentos es mayor de 2 mm(8), se recomienda reducción, osteosíntesis con agujas o tornillos e inmovilización con escayola durante un mes. Pocos son los casos en los que existe asociada una fractura transindesmal de peroné y, en general, los adolescentes sanos y jóvenes suelen tener una buena evolución clínica(9) a pesar de que es una lesión grave.
El caso que aportamos es un varón de 13 años que presenta una fractura triplanar típica con un desplazamiento en el que no fue posible la reducción cerrada, como se describe en otras publicaciones(10), y tuvimos que realizar una reducción abierta y fijación interna. En nuestro caso, utilizamos tornillos canulados, los cuales, desde el punto de vista biomecánico, proporcionan mayor estabilidad que las agujas de Kirschner utilizadas en los niños.
Son excepcionales las secuelas secundarias a la fusión prematura del cartílago de crecimiento debido a la proximidad de la madurez esquelética, a diferencia de los cambios degenerativos que pueden aparecer a largo plazo si no se consigue una adecuada reducción. Las posibles complicaciones incluyen las siguientes: retraso del crecimiento de la longitud de la tibia o deformidad del tobillo secundaria a lesión de la placa de crecimiento epifisario y desplazamiento residual de la fractura después de la reducción, que se asocia a cierre prematuro fisario y artrosis postraumática(11).
Conclusiones
Debemos tener en cuenta que la indicación de tratamiento quirúrgico en estas fracturas es frecuente debido a que en pocas ocasiones conseguimos una reducción correcta. Este tratamiento requiere un conocimiento detallado de la anatomía y de las diferentes técnicas de reducción abierta y fijación interna para obtener buenos resultados funcionales.