Introducción
Las luxaciones aisladas del mediopié son poco frecuentes y habitualmente se producen en su parte medial (lesiones tarsometatarsianas o lesiones de Lisfranc). La luxación completa del cuboides es una entidad poco común y, si realizamos una revisión de la bibliografía, observamos que hay pocos casos publicados(1,2,3,4,5,6,7,8,9). Además, pueden pasar desapercibidas en muchas ocasiones, pues en la radiografía simple pueden ser difíciles de apreciar por la compleja configuración ósea del pie.
Lo inusual de esta lesión se debe a la marcada estabilidad del cuboides debido a su anatomía, inserciones ligamentosas (proximalmente: ligamentos plantares corto y largo, calcaneocuboideo y bifurcado; medialmente: ligamentos dorsales plantares e interóseos; distalmente: ligamentos tarsometatarsianos dorsal y plantar), así como los tendones (peroneos corto, largo y tertius, tibial posterior y flexor corto de los dedos)(6,10,11). En este artículo se describe un caso de luxación completa sin fractura del cuboides.
Caso clínico
Paciente varón de 42 años, bombero de profesión, que acude a nuestro servicio de urgencias tras ser atendido en otro centro y diagnosticado mediante tomografía computarizada (TC) de fractura de base del 4.º metatarsiano (MTT), de la tercera cuña y del margen lateral del astrágalo, tras un accidente de esquí. Se trata de un esquiador experto que, en un giro, sufrió aparentemente una inversión del pie izquierdo teniendo la fijación posterior del esquí rota.
En la exploración destaca una inflamación y dolor en el borde externo del pie que no impide la deambulación. En la revisión de las pruebas complementarias (radiografía simple y TC) se confirman las lesiones previamente diagnosticadas, junto con una luxación del cuboides plantomedial (Figuras 1 y 2).
Figura 1. Radiografía prequirúrgica a la semana de evolución del traumatismo. Obsérvese el desplazamiento medial del cuboides.

Figura 2. Imágenes de la tomografía computarizada (TC) que ponen en evidencia la fractura de la base del 4.º metatarsiano con la luxación plantar del cuboides.

Es intervenido a la semana de la lesión realizándose, bajo anestesia raquídea e isquemia del miembro, una incisión dorsolateral desde la articulación calcaneocuboidea hasta la base del 4.º MTT. Se expuso el cuboides reflejando el extensor corto a dorsal y peroneo corto a plantar y se evidenció la desalineación del cuboides con el 4.º y 5.º MTT y el calcáneo creada por la luxación. Se realizó una reducción manual del mismo y una fijación con 2 agujas de Kirschner (agujas K) metatarsocuboideas, 1 aguja cuboideocalcánea y 1 calcaneocuboidea, realizándose al mismo tiempo una fijación de la apófisis lateral del astrágalo con un tornillo canulado (Figuras 3, 4 y 5). Se mantuvo 6 semanas inmovilizado, momento en el que se retiraron las agujas K. A la 6.ª semana, se inicia la carga con ortesis de carga hasta la 8.ª semana.
Figura 3. Abordaje quirúrgico longitudinal dorsal sobre el 4.º radio. Exposición del músculo extensor corto de los dedos.

Figura 4. Imagen intraoperatoria de la luxación del cuboides. Se visualizan las carillas articulares de la base del 4.º y el 5.º metatarsianos.

Figura 5. Imagen intraoperatoria de la reducción del cuboides y fijación con 2 agujas de Kirschner metatarsocuboideas, 1 aguja cuboideocalcanea y 1 calcaneocuboidea.

La evolución clínica y radiológica ha sido satisfactoria, permitiendo un aumento progresivo de las actividades (Figuras 6 y 7). A los 2 años de seguimiento el paciente no refiere limitaciones, con una puntuación en la escala de la American Orthopaedic Foot and Ankle Society (AOFAS) de 90.
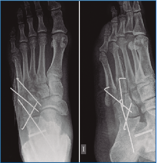
Figura 6. Radiografía al mes de la cirugía con la correcta reducción ósea.
Figura 6. Radiografía al mes de la cirugía con la correcta reducción ósea.

Figura 7. Imagen de tomografía computarizada al año de la cirugía.
Figura 7. Imagen de tomografía computarizada al año de la cirugía.

Discusión
Las luxaciones puras o aisladas del cuboides son muy poco frecuentes, lo que explica los escasos artículos existentes en la literatura. Existen casos descritos en el síndrome de Ehlers-Danlos(12) y bailarinas(13,14) pero lo más frecuente es la causa traumática asociada a fracturas(3,4,5,6,7,8,15,16).
El mecanismo de producción no está aclarado y se han descrito la flexión plantar-inversión(14), la abducción(15) y la pronación(13) como causas. El desplazamiento del cuboides más frecuente referido en la literatura es el plantomedial, que es el mismo que se objetiva en el caso que se expone.
El diagnóstico de la luxación del cuboides se retrasa en muchos casos, por lo que se requiere de un alto índice de sospecha y un examen cuidadoso de la radiología simple. Una hinchazón y dolor a nivel externo en el mediopié debe ponernos en alerta. El diagnóstico radiográfico debe incluir proyección anteroposterior (AP), lateral y oblicua del pie. En la proyección oblicua el borde medial del 4.º MTT debe estar alineado con el borde medial del cuboides, en condiciones normales. En las proyecciones AP y lateral se deben mantener las relaciones metatarsocuboideas y calcaneocuboideas(9). Generalmente, es necesaria la TC para confirmar la sospecha y valorar lesiones asociadas(6,15).
La reducción cerrada como tratamiento de la luxación de cuboides se ha publicado en casos no asociados a fracturas (en años previos al uso de la TC)(1,2). Trabajos posteriores defienden la necesidad de la reducción abierta(1,6,7,8,9,16) mediante abordaje dorsolateral sobre el cuboides, desplazando a dorsal el extensor corto de los dedos y a plantar los tendones peroneos. Esto permite valorar el desplazamiento y las posible partes blandas interpuestas(17). Se ha descrito la interposición del tendón peroneo largo entre la base del 5.º MTT y el cuboides impidiendo la reducción(7).
La maniobra de reducción más repetida en la literatura es la inversión del pie para aumentar el espacio entre las articulaciones pericuboideas y poder movilizar el cuboides en sentido inverso a la luxación, es decir, hacia lateral y dorsal(1,6,16) de manera similar a lo realizado en nuestro caso. Otros autores se valen de sistemas de distracción para conseguir la reducción(7,9).
Los métodos de fijación que se han usado han sido múltiples, aunque lo más descrito son las agujas K(1,6,7,8,16). El número de agujas utilizadas varía según los autores de 2 a 4, si bien los autores compartimos la opinión de Littlejohn et al.(8) de que la fuerza de los ligamentos del cuboides y la estabilidad lateral del pie demanda una fijación más estable que la que pueden aportar simplemente 2 agujas K y preferimos implantar más de 2 agujas. Otros métodos que se han utilizado son tornillos(7,17) y técnicas de reconstrucción de ligamentos(10).
En relación con el tratamiento postoperatorio, los diferentes autores publican diferencias en el tiempo de inmovilización, la carga protegida con férula y el momento de la retirada del material de osteosíntesis(1,5,6,7,8,9,16). Dicha variabilidad puede deberse a las diferentes lesiones asociadas a la luxación del cuboides que se exponen en los artículos. Todos mantienen un periodo de inmovilización de 6-8 semanas, en consonancia con el tratamiento postoperatorio de nuestro caso.
Los escasos artículos que existen sobre la luxación del cuboides son todos casos clínicos que utilizan como escala de valoración la capacidad del paciente para volver a sus actividades previas, incluso deportivas(1,6,7,9). Por ello, es difícil establecer una comparativa del resultado funcional de nuestro paciente con el de la bibliografía.
En conclusión, el presente caso contribuye a ampliar la escasa información disponible sobre estas lesiones y presenta la reducción abierta anatómica y la fijación provisional con agujas K como una opción de tratamiento válida en esta lesión poco frecuente pero fácilmente desapercibida.