Introducción
La tenosinovitis de los tendones peroneos es una manifestación clínica frecuentemente relacionada con la hipertrofia del tubérculo lateral del calcáneo.
El tubérculo lateral calcáneo tiene una inclinación de 45° en relación con la cara lateral del mismo. En general, no hay una medición estándar del tubérculo a partir de la cual se considera como hipertrofia. Sin embargo, un tamaño superior a 2,59 mm tiene mayor riesgo de provocar sintomatología(1,2). Está situado entre el tendón peroneo lateral largo y el corto. Puede ser plano, prominente, cóncavo o formar un canal óseo envolviendo al tendón. Se ha asociado a microtraumatismos de repetición, aumenta con la edad y los trabajos manuales pesados, pies planos y cavos, osteocondromas y fracturas de calcáneo(3).El osteocondroma es una excrecencia ósea recubierta de cartílago que se localiza en la superficie externa de un hueso. Suelen presentarse en la infancia y se detiene su desarrollo con el final del crecimiento. Son los tumores óseos benignos más frecuentes. La localización habitual es la metáfisis de los huesos largos, presentando una prevalencia del 10% en huesos pequeños de mano y pie. En el pie son más frecuentes en los metatarsianos, siendo muy rara su presencia en calcáneo(4). El riesgo de malignización es bajo(4,5). La exéresis del mismo está indicada en caso de sintomatología.
El objetivo de este trabajo es recordar y advertir al cirujano del pie y tobillo la posibilidad de un tumor benigno (o maligno) como causa de una patología relativamente frecuente en consulta como es la tenosinovitis de los peroneos.
Caso clínico
Se trata de un paciente de 48 años que acude por dolor en el tobillo izquierdo de larga evolución sin traumatismo previo que ha aumentado en los últimos meses provocando cojera. A la exploración física se aprecia tumefacción en el trayecto de los tendones peroneos a nivel inframaleolar y dolor intenso en el canal calcáneo para dichos tendones, donde se palpa una tumoración dura (Figura 1).
Figura 1. Aspecto clínico de la tumoración.

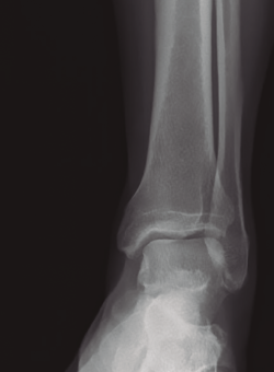
Figura 2. Radiografía preoperatoria. Se aprecia la exóstosis a nivel submaleolar peroneal.

Se realizan los estudios complementarios mediante radiografías, en las que se observa una lesión ósea en la cara lateral del calcáneo con bordes irregulares (Figura 2). La resonancia magnética nuclear informa de “hipertrofia del tubérculo lateral del calcáneo que conlleva severa afectación de los tendones peroneos apreciando signos de tenosinovitis y afectación mayor del tendón peroneo lateral largo con rotura parcial del mismo” (Figuras 3A y 3B). La tomografía computarizada muestra una “exóstosis en cara externa de calcáneo de 12 × 9 × 8 mm” (Figuras 4A y 4B).
Figura 3. Imágenes de resonancia magnética nuclear donde podemos ver la tumoración con edema óseo asociado y tenosinovitis de los tendones peroneos.

Figura 4. Imágenes de tomografía axial computarizada donde se ve la tumoración de 12 × 9 × 8 mm.

Se inició tratamiento rehabilitador sin apreciar mejoría, por lo que se decidió realizar tratamiento quirúrgico. Mediante un abordaje lateral siguiendo un trayecto inframaleolar, se accedió a la vaina tendinosa de los tendones peroneos. Se realizó incisión longitudinal sobre los mismos emergiendo abundante líquido sinovial, se resecó la sinovial hipertrófica y se remitió al Servicio de Anatomía Patológica. Del mismo modo, se identificó y resecó una cresta osteocartiloginosa de gran tamaño y se remitió al Servicio de Anatomía Patológica (Figuras 5A y 5B). El estudio anatomopatológico informó de “sinovitis crónica hipertrófica papilomatosa” en la muestra de sinovial remitida. En cuanto a la muestra osteocartilaginosa, indicó “lesión osteocondromatosa con la presencia de 3 capas: externa que es una lámina fibrosa que continúa con el periostio del hueso huésped, cartílago con condrocitos superiores agrupados e inferiores en cordones y osificación encondral en crecimiento, sin evidencia de signos de malignidad” (Figuras 6A y 6B).
Figura 5. Imágenes intraoperatorias. Arriba vemos el aspecto macroscópico de la lesión y abajo la exéresis completa de la misma.

Figura 6. Imágenes histopatológicas a 20× (A) y 200× (B) (tinción hematoxilina-eosina), donde se aprecia la distribución en capas fibrosa, cartilaginosa y ósea.

A los 2 meses el paciente se encontraba asintomático, realizando vida normal. Fue revisado 2 años después y continuaba sin sintomatología.
Discusión
Hasta el momento el osteocondroma se ha considerado una entidad infrecuente en el calcáneo. Además de asociarse a la hipertrofia del tubérculo peroneo lateral, se han descrito otros casos en el tubérculo medial, simulando un espolón(6), y en la zona posterosuperior, simulando a una enfermedad de Haglund(7). Cuando el osteocondroma se presenta al nivel del tubérculo lateral del calcáneo, los pacientes sintomáticos reflejan cuadros de tenosinovitis de los tendones peroneos, bursitis o compresión vasculonerviosa. En nuestro caso clínico se realizó un estudio radiológico inicial para el diagnóstico, incluyendo la proyección axial. En él podemos observar una protrusión ósea de diferente tamaño con una calcificación irregular. Un dato que nos debe llevar a sospechar que se trata de un osteocondroma y no de una exóstosis es la disposición perpendicular de las trabéculas al hueso.
Además, algunos autores recomiendan completar el estudio con tomografía axial computarizada y resonancia magnética nuclear para caracterizar más la lesión y, sobre todo, apreciar la extensión de la misma(8).
Las lesiones asintomáticas no se tratan; sin embargo, las sintomáticas requieren de la exéresis desde la base, asegurándonos de no dejar fragmentos de cartílago por el riesgo de recidiva.
En nuestro caso clínico se realizó una resección de la lesión y se remitió al Servicio de Anatomía Patológica, que informaba de osteocondroma. En general, las características macroscópicas que presentan son una capa de cartílago hialino de 2-3 mm que puede llegar a alcanzar los 10 mm sobre todo en niños. A nivel microscópico el cartílago hialino es similar al cartílago de crecimiento.
Aunque suele tratarse de tumoraciones benignas, se han descrito en 2 artículos tasas de malignización a condrosarcoma del 3,2 y del 4,2%(8,9). Masato Sugawara et al. publicaron otro caso en 2009(5). Debe sospecharse si se inicia de nuevo el crecimiento tras la pubertad y si en la resonancia magnética nuclear la capa de cartílago supera los 2 cm en adultos y los 3 cm en adolescentes(5).
Conclusiones
Ante un paciente con tenosinovitis peronea dolorosa y un tubérculo lateral de calcáneo aumentado de tamaño hay que valorar la posibilidad de que se trate de un osteocondroma. La resección quirúrgica del mismo podría solucionar la tenosinovitis y además evitar la posterior malignización de la tumoración.