Introducción
El hallux valgus (HV) es una deformidad progresiva que afecta a la primera articulación metatarsofalángica (MTF). Suele afectar a mujeres y asocia una deformidad en varo del primer metatarsiano que aumenta el primer ángulo intermetatarsiano (AIM). De manera asociada, el primer dedo sufre desviación en valgo y pronación(1). Respecto a los valores angulares radiológicos de la normalidad, es en general aceptado que el AIM es igual o menor de 9° y el ángulo MTF (AMTF) del primer dedo es menor de 15°(2). Se define el HV severo como aquel cuyo AIM ≥ 15°y cuyo AMTF > 40°(1).
Las osteotomías metatarsianas o la artrodesis de Lapidus se han propuesto para corregir la varización del primer dedo(3,4) en el tratamiento del HV. La artrodesis MTF es una técnica principalmente indicada para el tratamiento del hallux rigidus, si bien es una técnica también aceptada en el tratamiento del HV severo(5,6).
En el tratamiento quirúrgico del HV severo y considerando los conceptos expuestos previamente, unos autores promulgan la práctica de la artrodesis MTF aislada(7,8,9)(Figura 1A) y otros la práctica de la artrodesis MTF asociada a osteotomía para disminuir el AIM(10)(Figura 1B). Aparentemente, la artrodesis MTF aislada y la artrodesis MTF más una técnica que disminuya el AIM son 2 tratamientos quirúrgicos diferentes que, ante pacientes con HV severo, tienen el mismo resultado radiológico.
Figura 1. A: artrodesis metatarsofalángica; B: artrodesis metatarsaofalángica asociada a una osteotomía de cierre del ángulo intermetatarsiano.

Los autores que defienden la artrodesis MTF aislada le atribuyen un efecto de cierre del AIM por razones no bien conocidas. Pero, aunque reconocen que el objetivo radiográfico es que tras la cirugía el AIM sea de 9° o menor, solamente en 9 de los 20 pacientes de la serie de Cronin(7) es conseguido este objetivo en las radiografías (Rx) realizadas a las 6 semanas. Igualmente, solo se consigue dicho objetivo radiológico en 7 de los 19 pacientes de la serie de Mckean(9) en las Rx realizadas a los 3 meses. Sin embargo, el citado objetivo se cumple en el 100% de los pacientes de Rippstein(10) tratados mediante artrodesis MTF más técnica de disminución del AIM. A la vista de estas observaciones, cabe preguntarse si en realidad la artrodesis MTF aislada o la asociada al cierre del AIM son técnicas equiparables respecto a su capacidad de corregir el AIM.
El objetivo del presente estudio es comparar la artrodesis MTF acompañada de una técnica que corrija el AIM frente a la artrodesis MTF aislada en pacientes con HV severo. Nuestra hipótesis conceptual es que la técnica combinada (artrodesis MTF más cierre del AIM) tiene mayor capacidad de cerrar el AIM que la artrodesis MTF aislada.
Material y método
Estudio retrospectivo de pacientes intervenidos en nuestro centro mediante artrodesis MTF asociada a osteotomía para corrección del AIM. El criterio de inclusión ha sido presentar HV severo (AIM prequirúrgico ≥ 15°) durante el periodo 2016-2017 en ausencia de cirugías previas. Se sumó a esta serie a los pacientes de la serie de Rippstein(10) tratados con los mismos conceptos. La muestra resultante (grupo A) representa en este estudio a los pacientes tratados mediante la artrodesis MTF más osteotomía para corrección del AIM. El grupo B estaba formado por los pacientes con HV severo tratados con artrodesis MTF aislada. Es el sumatorio de los pacientes de las series de Cronin(7) y Mckean(9).
Se lleva a cabo un análisis comparativo de los parámetros radiológicos conseguidos mediante 2 técnicas quirúrgicas tras la aprobación por el Comité de Ética del centro.
Técnica quirúrgica
Todas las cirugías fueron realizadas por el primer autor. En 11 de los casos se realizó inicialmente, tras un abordaje medial, una osteotomía de scarf (osteosíntesis mediante 2 tornillos canulados de 3 mm de diámetro). A continuación, se realizó una artrodesis MTF (osteosíntesis con placa dorsal fijada con tornillos de 2,7 mm de diámetro previa compresión interfragmentaria con un tornillo canulado de 3 mm de diámetro). En 3 casos se realizó inicialmente para corregir el AIM una artrodesis de Lapidus mediante abordaje y placa dorsal fijada con tornillos de 3,5 mm de diámetro. A continuación, se practicó idéntica artrodesis MTF que en el resto de los pacientes.
Todos los pacientes del estudio tenían Rx pre- y postoperatorias (obtenidas en el momento de la valoración para este estudio) en carga y con visión dorsoplantar en las condiciones convencionales del Servicio de Radiología del hospital. Con la herramienta “medidor digital de ángulos” del programa informático que reproduce las Rx, la segunda y la tercera autoras realizaron las mediciones, obteniéndose la media entre ambas.
En cuanto a las variables: el AIM prequirúrgico (AIM preQ) se ha obtenido trazando líneas en el centro de los ejes del primer y segundo metatarso (Figura 2A). En el AIM posquirúrgico (AIM posQ), se ha considerado distalmente el punto medio de la cabeza del metatarsiano en el nivel de la artrodesis. Tanto en el caso del cierre del AIM asociado (Figura 2B) como en el de la artrodesis aislada (Figura 2C).
Figura 2. A: medición del ángulo intermetatarsiano prequirúrgico; B: medición del ángulo intermetatarsiano posquirúrgico del tratamiento combinado: artrodesis metatarsofalángica asociada a una osteotomía de cierre del ángulo intermetatarsiano; C: medición del ángulo intermetatarsiano posquirúrgico de la artrodesis metatarsofalángica aislada.

Análisis estadístico
Como en ambos grupos de comparación el número de pacientes fue superior a 30 (n > 30), se ha utilizado un test paramétrico (T de Student) para el análisis bidireccional. Un valor de p < 0,05 se consideró significativo para todas las comparaciones. El análisis estadístico se realizó utilizando el software estadístico de SPSS v 17 (IBM Inc., Armonk, NY).
Resultados
El número total de pacientes operados durante el periodo 2016-2017 mediante artrodesis MTF asociada al cierre del AIM es de 21, de los cuales 19 son mujeres y 2 hombres. Los pacientes que cumplieron los criterios de inclusión fueron 14 (8 pies derechos y 6 izquierdos). La serie incluye a 13 mujeres y 1 hombre (una de las pacientes es bilateral), cuya edad media es de 70 años (rango: 60-81). El seguimiento medio fue de 15 meses (rango: 6-25).
Tabla 1. Tabla descriptiva

El grupo A (cierre del AIM asociado a la artrodesis MTF) lo componen 32 pacientes. El grupo B (artrodesis MTF aislada) lo componen 35 pacientes. En la Tabla 1 se exponen los valores de los ángulos preQ, posQ, la diferencia preQ – posQ y el cociente preQ/posQ de cada serie. Tanto el grupo A como el B no presentan diferencias respecto al ángulo AIM preQ (Tabla 2). Los valores de los ángulos posQ del grupo de tratamiento combinado (grupo A) son menores, con significación estadística, que los de los pacientes con la artrodesis aislada (grupo B) (Tabla 3). La capacidad media de cierre del AIM de la técnica combinada es de 14,25°, mientras que la capacidad media de la artrodesis aislada es de 8,48° (Tabla 4).
Tabla 2. Comparación ángulos prequirúrgicos

Respecto a la potencia de la corrección (expresada por el cociente ángulo preQ/ángulo posQ), la técnica combinada es capaz de reducir el ángulo preQ al menos a la cuarta parte aproximadamente, mientras que con las técnicas con artrodesis MTF aislada la media de la potencia de corrección es cercana a la mitad (Tabla 5).
Tabla 3. Comparación ángulos posquirúrgicos

Discusión
Clásicamente, se ha sugerido que en casos de HV severo, la artrodesis MTF es una opción quirúrgica que podría ser complementada con una osteotomía de la base del primer metatarsiano para cerrar el AIM(11). En la actualidad, es frecuente encontrar recurrencias del HV en pacientes tratados previamente con técnicas quirúrgicas que no han logrado la corrección del AIM. En pacientes con HV severo sin tratamiento previo y pacientes con recidivas de la deformidad tras cirugía, existe el dilema de cómo deben ser tratados. Una propuesta quirúrgica es la artrodesis MTF aislada(7,9,12) y, frente a este tratamiento, ha sido propuesto un tratamiento combinado (artrodesis MTF más osteotomía para reducción del AIM) (Figura 3).
Figura 3. Radiografía prequirúrgica (izquierda) de una paciente con hallux valgus severo. Radiografía posquirúrgica (derecha) de la misma paciente tratada mediante artrodesis metatarsofalángica asociada con una técnica de cierre del primer ángulo intermetatarsiano (osteotomía distal).

Bajo el punto de vista cuantitativo, a la artrodesis MTF aislada, aunque por un mecanismo desconocido, se le ha atribuido capacidad de reducción del AIM. El valor medio de esa capacidad de reducción es de 8,22° en la serie de Cronin(7) y de 8,4° en la serie de McKean(9). Pero hay que resaltar que esa reducción del AIM se hace sobre una población que tiene unos ángulos preQ menores que los de la serie de Rippstein y los del presente estudio. El valor medio de la capacidad de corrección de la artrodesis MTF asociada al cierre del AIM es superior a 14° en estas 2 últimas series citadas. Bajo el punto de vista cuantitativo, en pacientes con HV severo, practicar de manera aislada la artrodesis MTF aislada es asumir un tratamiento quirúrgico con una limitada capacidad de corrección. En el mejor de los casos y en palabras de los propios autores, permite normalizar el AIM en el 40% de los casos y conseguir un “aceptable” ángulo AIM en el resto(9). Los/as autores/as del presente estudio entienden que bajo el punto de vista cuantitativo, la artrodesis MTF asociada al cierre del AIM normaliza el AIM en todos los casos de HV severo. En pacientes con un antepié ensanchado con un primer metatarso varo y con un tratamiento quirúrgico previo que no ha cerrado el AIM, asociar el cierre del primer AIM a la artrodesis MTF asegura el estrechamiento del antepié en todos los casos.
Tabla 4. Comparación de diferencia ángulos pre- y posquirúrgicos

El mecanismo de acción por el que la artrodesis MTF aislada es capaz de reducir el AIM es desconocido. Se ha hipotetizado que el juego de tracciones tendinosas tras la fijación MTF pueda ser el factor que reduzca el AIM en un plazo de tiempo variable durante los meses del postoperatorio(7,9). Y frente a estas creencias, se anteponen los riesgos quirúrgicos generales de la cirugía del pie para desaconsejar una técnica de cierre del AIM asociada. Los/as autores/as de este estudio entienden que el tratamiento asociado (artrodesis MTF + cierre del AIM) representa una planificada modificación estructural del antepié cuya finalidad es su estrechamiento. Permite conseguir normalizar los valores del AIM de manera previsible y no incierta en todos los pacientes. Y, por tanto, asegurar mejor la compatibilidad del pie final con el calzado convencional.
Tabla 5. Comparación de cociente ángulos pre- y posquirúrgico

En la búsqueda bibliográfica realizada, no se han encontrado referencias recientes acerca de la posible conveniencia de añadir una osteotomía de cierre del primer AIM a la artrodesis MTF. Sin centrar el estudio sobre la capacidad de cierre del AIM de la artrodesis MTF y aplicado sobre pacientes con parálisis cerebral, se recomienda la artrodesis MTF frente a otras técnicas en el tratamiento del HV(13). Por último, Mckean et al. defienden que la artrodesis MTF aislada corrige suficientemente el primer AIM sin lugar a discusión(14).
Sin embargo, para los/as autores/as de este trabajo y en función de su capacidad de reducción del AIM, la artrodesis MTF y el tratamiento combinado son en realidad tratamientos diferentes y, por lo tanto, deberían aplicarse en situaciones diferentes. Según los datos de este estudio, en casos con
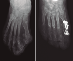
HV severo y/o en recidivas de un tratamiento previo insuficiente (sin corrección del AIM) (Figura 4), el tratamiento combinado (artrodesis MTF más reducción del primer AIM) podría garantizar mejor un estrechamiento del antepié.
Figura 4. Radiografía prequirúrgica (izquierda) de una paciente con hallux valgus severo tratada previamente sin cierre del primer ángulo intermetatarsiano. Radiografía posquirúrgica (derecha) de la misma paciente tratada mediante artrodesis metatarsofalángica asociada con una técnica de cierre del primer ángulo intermetatarsiano (Lapidus).

Este estudio tiene limitaciones. En primer lugar, es un estudio retrospectivo que valora los ángulos del primer AIM pero no otros valores radiológicos de posible interés, como los tiempos de consolidación o la presencia de pseudoartrosis. Aunque, en general, en la serie presentada no hubo complicaciones fuera de lo común (infecciones superficiales, úlceras de la herida quirúrgica, etc.). En segundo lugar, no se presentan escalas de valoración funcional asociadas a las mediciones. Pero esta consideración está ausente también en la bibliografía de la que se obtienen los datos utilizados en las comparaciones de las mediciones.
Conclusión
Según los resultados de este estudio, el tratamiento combinado (artrodesis MTF más reducción del primer AIM) es una técnica quirúrgica con una capacidad de corrección radiológica del AIM superior a la artrodesis MTF aislada. Aunque, conceptualmente, se puede afirmar que ambas disminuyen el AIM, la potencia de la reducción de cada una es diferente con significación estadística. Esta previsible capacidad permite considerarlo un tratamiento esencialmente diferente a la artrodesis MTF aislada. En el tratamiento del HV severo o en las recidivas de la cirugía, la artrodesis MTF asociada a una técnica que disminuya el AIM podría ser el tratamiento de elección.