Introducción
La prevalencia de la diabetes mellitus (DM) es cada vez mayor: se estima que, en 2018, el número de diabéticos a nivel global es de unos 500 millones(1), cerca de 400 millones más que en 1980(2), y cuya tendencia es a incrementarse con el paso del tiempo. El aumento de los pacientes diabéticos unido a un ascenso en la tasa de complicaciones justifica que algunos autores consideren esta patología como una pandemia(3). El pie diabético es una de las complicaciones más temidas de esta enfermedad, ya que no solo supone un reto para su manejo, sino que es la causa más frecuente de hospitalización en estos pacientes. Además, las úlceras plantares que se desarrollan hasta en el 25% de los diabéticos(4) preceden a un 84% de las amputaciones a las que son sometidos(5).
El desarrollo de las úlceras, localizadas bajo la cabeza de los metatarsianos (MTT), se produce por combinación de la neuropatía sensitiva junto con una excesiva presión a nivel plantar. Si bien el tratamiento inicial debe ser conservador con descarga, este solo es efectivo en algunos casos y gran parte se cronifica y presenta una evolución tórpida con sobreinfecciones(6). Por ello, intervenciones destinadas a reducir la hiperpresión en puntos de apoyo (condilectomías plantares y osteotomías con o sin fijación(5) abiertas o percutáneas) pueden contribuir a la curación de estas úlceras.
El propósito de nuestro estudio fue valorar la efectividad de la osteotomía metatarsiana de tipo Weil realizada de forma percutánea como tratamiento para las úlceras plantares por presión recurrentes o resistentes al tratamiento conservador en pacientes con DM.
Se pretende evaluar la evolución clínica de la lesión intervenida tras completar el protocolo de cuidados de tipo conservador y estudiar la situación funcional del paciente después de la intervención.
Material y método
Se llevó a cabo un estudio retrospectivo donde se revisaron todos los pacientes diagnosticados de DM con presencia de úlceras plantares en los que había fracasado el tratamiento conservador mediante descarga y que finalmente fueron tratados mediante osteotomías metatarsianas percutáneas en nuestro centro desde enero de 2016 hasta mayo de 2018. Todos los pacientes fueron valorados inicialmente por el Servicio de Cirugía Vascular, donde se aplicó un protocolo de manejo conservador con plantillas de descarga y curas semanales con desbridamiento químico, y posterior remisión al Servicio de Cirugía Ortopédica y Traumatología si no existía mejoría con un estudio vascular actualizado y siempre con presencia de pulsos periféricos. Se establecieron como criterios de exclusión aquellos que presentaban infección activa en el momento de la cirugía y/o ausencia de pulsos distales en el miembro afecto. En total se recogieron 15 pacientes, 5 de ellos con cirugía bilateral.
Se valoró el tipo de DM y los años de evolución, la localización de las úlceras, el tiempo de curación de la úlcera tras la intervención y las complicaciones en el postoperatorio.
Cada paciente fue valorado preoperatoriamente clasificando las úlceras según la clasificación de la Universidad de Texas(7) y registrando la localización y presencia de amputaciones previas, así como helomas plantares asociados. Desde la consulta se evaluaron las posibles anomalías biomecánicas que podían haber contribuido a la ulceración plantar específica, como dedo en martillo, acortamiento del sistema gastrosóleo, sesamoideos prominentes y/o MTT largo con cabeza prominente. Además de la exploración clínica, se completó el examen con radiografías preoperatorias en carga para valorar la fórmula metatarsiana y el stock óseo preoperatorio. Posteriormente, se realizaron controles radiográficos postoperatorios para evaluar si existía consolidación de la osteotomía con ascenso de la cabeza.
Todos los pacientes fueron intervenidos por la misma cirujana. Bajo condiciones asépticas, con bloqueo anestésico del miembro a intervenir y sin manguito neumático, se realizó una incisión dorsal de 3 mm aproximadamente sobre el MTT a intervenir guiada por fluoroscopia. Se llevó a cabo disección roma y se realizó una osteotomía corta de tipo Weil en el cuello de los MTT con una fresa de tipo Shannon desde dorsal a plantar con una inclinación de 45°, completando la osteotomía de forma manual buscando la elevación de la cabeza del MTT y comprobando con fluoroscopia la osteotomía realizada. Se suturó la piel con sutura de monofilamento reabsorbible y se permitió la carga inmediata con zapato posquirúrgico de suela plana. En ningún caso fue preciso asociar técnicas de alargamiento del sistema gastrosóleo o gestos sobre dedos menores. Al nivel de la úlcera plantar, en los casos donde existía un heloma con hiperqueratosis exuberante se realizó una quiropodia del tejido inerte dejando a plano la úlcera, que se desbrida y cura con apósito impregnado en cicatrizante y antibacterianos. Se realizaron controles semanales en consultas externas, manteniendo el uso del zapato posquirúrgico plano hasta la curación de la úlcera. Posteriormente, se aconsejó el uso de un zapato preventivo con plantillas de confort.
Resultados
Se llevaron a cabo 20 cirugías en 15 pacientes (3 mujeres y 12 hombres) con una edad media de 60 años (rango: 44-75), de los cuales 12 presentaban factores de riesgo cardiovascular asociados. Todos ellos seguían un tratamiento mediante fármacos hipoglucemiantes orales y 10 combinaban esta medicación con insulinoterapia. Cinco pacientes presentaban una amputación previa del 1.er MTT y 1 paciente del 5.º MTT.
El seguimiento medio desde el diagnóstico de la úlcera plantar hasta la intervención quirúrgica fue de 14,95 meses (rango: 2-36). Dos pacientes presentaban úlceras clasificadas según la clasificación de la Universidad de Texas como IA, 6 como IIA y 12 como IIIA.
Tabla 1. Localización de las úlceras plantares y osteotomías realizadas

La localización de las úlceras y las osteotomías realizadas se exponen en la Tabla 1.
Figura 1. Úlcera plantar al nivel del tercer metatarsiano y estado a las 3 semanas de la osteotomía.

Figura 2. Úlcera plantar al nivel de la cabeza del 5.º metatarsiano y control a las 5 semanas de la osteotomía de Weil.

El tiempo medio de curación de la úlcera tras la intervención quirúrgica fue de 3,3 semanas (rango: 2-5 semanas) con una tasa de curación del 100% (Figuras 1 y 2). En los controles radiográficos postoperatorios se objetivó una consolidación ósea de la osteotomía en el 100% de los casos con un ascenso de la cabeza y un acortamiento medio de 2,7 mm (Figuras 3 y 4). Sin embargo, dado que 6 de los 15 pacientes incluidos en el estudio presentaban amputaciones metatarsianas previas, la fórmula metatarsiana postoperatoria no pudo ser objeto de nuestro estudio.
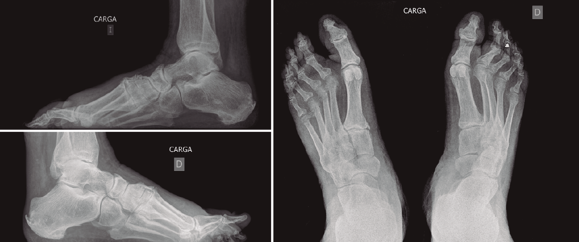
Figura 3. Imágenes radiológicas preoperatorias en carga. Pie derecho con lesión.

Dos pacientes sufrieron como complicación una infección superficial de la herida quirúrgica que no precisó hospitalización y que fue tratada y resuelta mediante antibioterapia oral en ambos casos. No se produjo ninguna recurrencia durante el seguimiento de los pacientes intervenidos y no se observaron casos de no unión.
Figura 4. Imágenes radiológicas postoperatorias en carga. Se visualiza la consolidación de la osteotomía del 2.º al 5.º metatarsianos con acortamiento y elevación de la cabeza.

Discusión
Las úlceras plantares del pie diabético presentan una elevada tasa de morbilidad, con complicaciones que pueden ir desde la sobreinfección y la cronicidad hasta la amputación, con tasas de hasta el 36,3% a los 2 años tras la aparición de la úlcera(8), o incluso la muerte(9). Por tanto, es prioritario prevenir esta patología y, en el caso de que se haya establecido, actuar de forma precoz. Estas úlceras, localizadas bajo la cabeza de los MTT, se suelen producir por una excesiva presión a nivel plantar como resultado de una disminución de las estructuras de protección por migración distal de la almohadilla plantar junto con un descenso de la cabeza metatarsiana(10).
El manejo inicial de los pacientes con úlceras plantares se debe hacer con tratamiento conservador mediante plantillas de descarga durante un periodo de tiempo no inferior a 6 semanas y, en el caso de establecerse una cronicidad o una recurrencia, abogar por la cirugía que permita una redistribución de las cargas del pie(5).
Es fundamental, antes de la cirugía, la valoración del estado vascular del miembro a intervenir y descartar la insuficiencia vascular ya que, en caso de detectarse, sería necesaria la cirugía de revascularización(11). Asimismo, consideramos necesario el tratamiento de la infección, si la hubiese, antes de la cirugía, ya que podría aumentar la tasa de complicaciones y dificultar la cicatrización. Fleischli et al. presentan una tasa de complicaciones del 68%, interviniendo a 2 pacientes con osteomielitis en los sesamoideos del hallux; en nuestra serie, tratando preoperatoriamente a los pacientes con infección activa mediante antibioterapia, únicamente se produjo una complicación consistente en la infección superficial de la herida quirúrgica, que se pudo resolver con antibioterapia oral.
Se han descrito múltiples opciones quirúrgicas abiertas para el tratamiento de las úlceras plantares, cuyo fin es la redistribución de la presión a nivel plantar. Entre estas opciones, encontramos desde cirugías sobre los MTT como osteotomías abiertas(11) o resecciones de la cabeza de los MTT(12), hasta el alargamiento del tendón de Aquiles(13) o incluso la amputación(14). Sin embargo, si bien estas técnicas pueden contribuir a la curación de las úlceras plantares, presentan una elevada tasa de complicaciones, como la dehiscencia de la herida quirúrgica o la infección. Fleischli et al. presentan en su estudio 20 pacientes en 22 cirugías, realizando osteotomías abiertas y fijación con agujas de Kirschner en 20 casos y con tornillos canulados en 2 casos, con una tasa de curación de las úlceras del 95%. Pese a ello, el 68% de las cirugías sufrieron complicaciones, entre las que describen transferencias de lesiones, infecciones profundas o enfermedad de Charcot aguda(11).
La osteotomía metatarsiana de tipo Weil es una técnica quirúrgica que permite un acortamiento predecible del MTT y una redistribución de las cargas plantares. Si bien se puede realizar de forma abierta con la colocación de la cabeza metatarsiana en la posición adecuada y su fijación mediante diversas alternativas (agujas de Kirschner, tornillos de tipo Herbert u otros sistemas de fijación)(15), el uso de implantes en estos pacientes no estaría recomendado ante la elevada probabilidad de complicación posquirúrgica(16).
Con la popularización y el aumento del número de intervenciones mediante cirugía percutánea mínimamente invasiva, se plantea una nueva forma de tratamiento para este tipo de patología. Mediante el uso de instrumental que permite un fresado óseo a bajas revoluciones por minuto y una menor agresión a los vasos y nervios, junto a una mínima incisión quirúrgica, se permite disminuir de forma significativa las complicaciones en los pacientes diabéticos(5). Además, al permitir la carga inmediata mediante un zapato posquirúrgico, se logra la elevación de la cabeza con la consecuente disminución de la presión a nivel plantar que, junto a la activación del sistema de retorno venoso, facilita la curación de las úlceras(17). En nuestro caso, mediante la realización de esta técnica, conseguimos la curación de la totalidad de las úlceras plantares en un tiempo medio de 3,3 semanas.
Algunos autores han descrito tasas de no unión tras la osteotomía metatarsiana percutánea. Tamir et al. presentan 20 cirugías en 17 pacientes, de los cuales el 30% presenta no unión en la unión cervicodiafisaria. Sin embargo, esta complicación no presenta repercusión clínica(5). En un estudio más reciente, Biz et al. presentan 30 pacientes y 35 intervenciones en las cuales no observaron casos de no unión(16), de igual manera que ocurre en nuestro estudio.
Conclusión
En función de nuestros resultados, consideramos que la osteotomía metatarsiana percutánea representa una alternativa sencilla y eficaz en el tratamiento de las úlceras plantares persistentes o recurrentes en los pacientes con DM, ya que minimiza la agresión en las partes blandas, disminuyendo las posibles complicaciones asociadas a las cirugías abiertas, y permite una carga inmediata que facilita la curación de las úlceras al disminuir la presión en la zona. Aconsejamos intervenir solo a los pacientes que no presenten una infección activa y que tengan pulsos distales presentes, con el fin de disminuir la aparición de posibles complicaciones posquirúrgicas, que pueden tener consecuencias devastadoras.