Introducción
Las fracturas por avulsión de la tuberosidad posterior del calcáneo son entidades poco frecuentes, que representan menos del 3% del total de las fracturas del calcáneo y que habitualmente se producen en mujeres por encima de los 60 años de edad. Se trata de lesiones que habitualmente requieren de una intervención quirúrgica y que tienen un alto índice de complicaciones y reintervención que se han relacionado ampliamente con las comorbilidades médicas presentes en este tipo de pacientes. El hipotiroidismo, la vasculopatía periférica y la suma de 2 o más comorbilidades se han descrito como factores asociados a la necesidad de cirugías secundarias. Además, recientemente se ha documentado el desplazamiento de la lesión como un factor pronóstico, siendo aquellas fracturas desplazadas más de 20 mm aquellas que tienen más riesgo de desarrollar cualquier tipo de complicación(1).
A continuación, se ilustra un caso con la intención de representar la relevancia de los factores pronósticos descritos actualmente, incluyendo la nueva clasificación antes mencionada y que se refiere al desplazamiento de la lesión.
Material y métodos
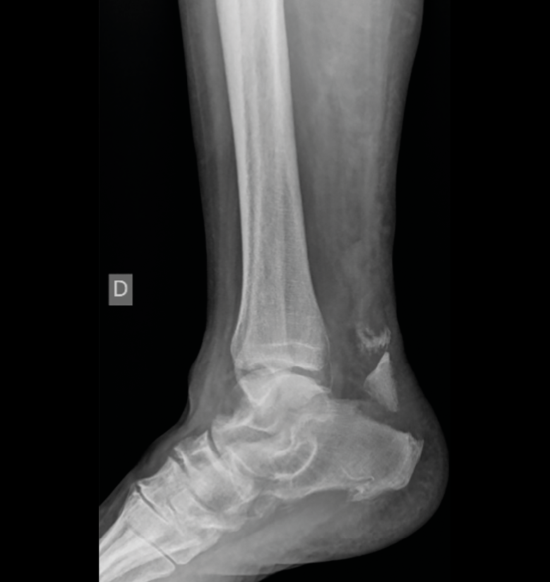
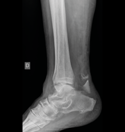
Figura 1. Radiografía de perfil que muestra una fractura avulsión de la tuberosidad posterior del calcáneo desplazada.

Presentamos el caso de una mujer de 69 años de edad que, en enero de 2019, sufre una fractura por avulsión de la tuberosidad posterior del calcáneo derecho (Figura 1) tras un mecanismo de flexión dorsal forzada del tobillo mientras sube unos escalones. Basándonos en la clasificación morfológica de Beavis (Figura 2), se trata de una fractura de tipo II. Según las mediciones realizadas sobre las radiografías simples y la tomografía computarizada, el desplazamiento resultó de 30 mm.
Figura 2. Clasificación morfológica de Beavis de las fracturas avulsión de la tuberosidad posterior del calcáneo.

Entre las comorbilidades médicas de la paciente, destacan: insuficiencia venosa crónica, hipertensión arterial, fibrilación auricular (recibe tratamiento anticoagulante oral con acenocumarol), hipotiroidismo, insuficiencia cardiaca e insuficiencia renal crónica.
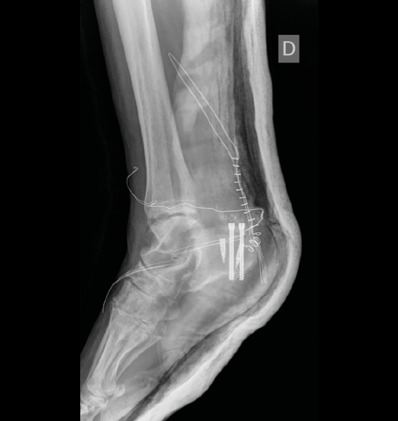
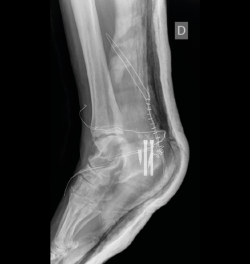
El tratamiento aplicado, 3 días después de la lesión, consistió en la reducción abierta y osteosíntesis con tornillos canulados. Se asoció una reinserción aquílea con 2 arpones tras observar también una desinserción parcial del tendón respecto al fragmento de tuberosidad (Figura 3). Finalmente, se colocó una botina de yeso en equino.
Figura 3. Resultado radiológico final. Se aprecia la osteosíntesis con tornillos canulados y arpones para la reinserción tendinosa.

Resultados
La evolución de la paciente en el postoperatorio inmediato y en los primeros días tras la cirugía resulta satisfactoria, con una adecuada tolerancia a la inmovilización y sin aparición de complicaciones que retrasen el alta al domicilio desde la planta de hospitalización.
La osteosíntesis se mantiene estable y el tendón, conservado, por lo que la recuperación funcional se lleva a cabo según lo previsto, inicialmente con inmovilización con botina de yeso en equino de 30° durante 3 semanas. Posteriormente, se pasa a bota Walker con cuñas en su interior que se van retirando progresivamente, autorizándose el inicio de la deambulación parcial con la bota a las 6 semanas de la cirugía.
Sin embargo, ya a partir de la retirada del yeso se evidencia un sufrimiento cutáneo alrededor de la herida quirúrgica que finalmente acaba con una dehiscencia de la misma, precisando curas periódicas (2 veces por semana) y desbridamientos de esfacelos. Dada la evolución tórpida de la herida quirúrgica pese a los intentos de cierre secundario, finalmente se procede a la realización de un colgajo rotacional, que hasta el momento muestra un seguimiento satisfactorio.
Discusión
Este caso es un ejemplo más de la elevada probabilidad de sufrir complicaciones que tienen los pacientes que sufren este tipo de fracturas, especialmente si padecen ciertas comorbilidades médicas y, como sugiere la literatura reciente, un desplazamiento significativo del fragmento.
No existe en la literatura un amplio conocimiento sobre este tipo de fracturas y sus factores pronósticos, probablemente porque se trata de lesiones poco frecuentes en la población. Sin embargo, es sencillo deducir que el escaso grosor de las partes blandas existente sobre estas lesiones y la pobre vascularización de la zona predisponen a la aparición de contratiempos. Al parecer, el primero que describió este tipo de fractura fue Hipócrates, que ya advertía de las posibles consecuencias graves si la lesión se pasaba por alto o no se trataba adecuadamente(2).
Recientemente, se han hecho algunos intentos por averiguar cuáles son los factores epidemiológicos y las comorbilidades implicados en la evolución de estas fracturas. La edad, la vasculopatía, el hipotiroidismo y la diabetes se han descrito como factores de mal pronóstico(3). Asimismo, el grado de desplazamiento del fragmento es el único factor asociado a la fractura que se ha relacionado con la aparición de cualquier complicación en general y, específicamente, con complicaciones en torno a las partes blandas(1). De este modo, se ha considerado que aquellas fracturas con un desplazamiento igual o mayor a 2 cm tienen mayor probabilidad de generar problemas secundarios.
No hay que confundir las fracturas articulares y del cuerpo del calcáneo, mucho más frecuentes, con las lesiones que afectan a la tuberosidad posterior. Existen publicaciones que ilustran la importancia de una actuación rápida, en las primeras horas, ante este tipo de fracturas, por el riesgo de necrosis cutánea que producen, como la de Hess et al.(4).
Por otra parte, existe muy escasa literatura que documente una rotura concomitante de las fibras del tendón de Aquiles. Prabhakar et al.(5) reportan un caso en una paciente con similares características y mecanismo, para la que se realiza también una fijación con tornillos del fragmento avulsionado y una reinserción tendinosa.
Conclusiones
El caso expuesto contribuye a resaltar la importancia de evaluar tanto de forma específica como integral a los pacientes que sufren fracturas por avulsión de la tuberosidad posterior del calcáneo. La valoración de las comorbilidades médicas y del grado de desplazamiento del fragmento es crucial, no solamente para determinar el tratamiento a realizar, sino también para inferir el pronóstico de la lesión y la probabilidad de necesitar cirugías secundarias. Es necesario distinguir este tipo de lesiones de las fracturas del cuerpo del calcáneo, debido al importante riesgo de necrosis cutánea que representan y que hace que requieran un tratamiento quirúrgico precoz.