Introducción
Las lesiones de los nervios periféricos dependientes del ciático poplíteo externo (CPE) y del nervio peroneo profundo son entidades poco frecuentes y la afectación exclusiva de la rama que inerva al extensor hallucis longus (EHL) es todavía más rara. Presentamos mediante videotécnica el tratamiento quirúrgico de esta secuela neurológica mediante una transposición tendinosa al hallux.
Caso clínico
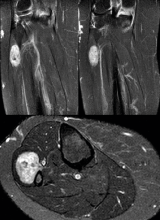
Se trata de una mujer de 78 años que consulta por imposibilidad para la extensión y limitación de la movilidad del hallux del pie derecho de 2 años de evolución desde una intervención quirúrgica en la rodilla derecha por un schwannoma al nivel del CPE (Figura 1).
Figura 1. Schwannoma en el ciático poplíteo externo intervenido en marzo de 2017 (realizan neurectomía con disección intraneural y resección intralesional-marginal).

En la exploración física se evidencia imposibilidad para la extensión al nivel de la articulación metatarsofalángica (MTF) e interfalángica (IF) del hallux, fuerza 0/5.
La paciente fue remitida al Servicio de Rehabilitación en un primer momento para su tratamiento, sin mejoría de su sintomatología.
Se solicita estudio de electromiografía (EMG), que informa de ausencia de actividad voluntaria y denervación activa del nervio peroneo profundo selectiva y exclusiva para el EHL
La radiografía anteroposterior y lateral en carga objetiva un buen eje, una correcta divergencia astrágalo-calcáneo y un ángulo de Meary intacto, con artrosis de la IF proximal (IFP) del segundo dedo con deformidad en martillo del mismo.
Técnica quirúrgica
Se realiza previo bloqueo anestésico poplíteo e isquemia en la región gemelar, asepsia y antisepsia del área. Localizamos la “zona donante” al nivel de la proximal del segundo metatarsiano (MTS) y de la articulación de Lisfranc, donde palpamos el tendón extensor digitorum longus (EDL) del segundo dedo, y la “zona receptora” en la región MTF del hallux en el tendón EHL.
Realizamos una incisión proximal a nivel del segundo MTT (A) más un abordaje transversal en la articulación IFP y la región MTF (B), localizando el EDL (C) para liberar expansiones (D), procedemos a la disección y la sección del tendón EDL del segundo dedo, obteniendo así entre 6 y 8 cm de longitud tendinosa. A continuación, se realiza una incisión dorsal sobre la articulación MTF del hallux (E) y con una pinza mosquito recuperamos de forma subcutánea el tendón “donante” EDL hacia la zona “receptora” (F). Identificamos el tendón EHL (G) y posteriormente procedemos a la sección del EHL aproximadamente 3-4 cm proximal a la cabeza del primer MTT (H).
En un siguiente paso, con los 2 cabos tendinosos procedemos a realizar la técnica de Pulvertaft (I) de tal forma que pasamos el EDL del segundo dedo hasta 3 veces a través del EHL. Luego realizamos una sutura término-terminal de refuerzo (J) con monofilamento no absorbible del “2/0” en el cabo distal del tendón EDL y en los distintos planos de ambos tendones entrecruzados (K), de manera que el cabo distal del EHL abrazará a nuestro tendón donante EDL. Por último, realizamos la artrodesis de IFP del segundo dedo con aguja de Kirschner y cerramos por planos (L) (Figura 2).
Figura 2. Paso a paso de la transferencia tendinosa del extensor digitorum longus al extensor hallucis longus mediante técnica de Pulvertaft más sutura término-terminal.

Resultados
En el postoperatorio inmediato colocamos una férula suropédica durante 3 semanas con el hallux en extensión manteniendo la descarga; posteriormente, permitimos carga progresiva con muletas y zapato de tacón inverso, empezando la rehabilitación al mes de la intervención quirúrgica, alcanzando una movilidad a la extensión activa 20° (casi completa) del hallux a los 3 meses tras la cirugía.
Discusión
La parálisis del nervio CPE puede presentarse como complicación de una lesión tumoral, de una fractura de tobillo(1,2,3) (el mecanismo de inversión forzada por el cual se produce puede provocar la lesión de los vasa nervorum formando un hematoma entre el epineuro y el perineuro) o, como es nuestro caso, posterior a una intervención quirúrgica donde se realizó una resección intralesional de un schwannoma.
El schwannoma es el tumor benigno más frecuente, pero su localización en los miembros inferiores (MMII) es menor del 1% de los casos(4). La lesión selectiva de una de las ramas del CPE, como es el nervio peroneo profundo, es menos frecuente, y, a su vez, la afectación exclusivamente de la rama que inerva al EHL es todavía más rara y no existen referencias en la literatura al respecto.
El tratamiento de la lesión de la rama motora del CPE que inerva al EHL va desde la reparación directa del nervio en fase aguda, lo ideal dentro de las 3 primeras semanas, hasta la utilización de injertos nerviosos o bien transferencias tendinosas versus técnicas óseas en fase crónica. En general, a mayor tiempo transcurrido, menor grado de recuperación y peor pronóstico funcional. Cuando existe pérdida de sustancia o cuando los cabos se han retraído y no es posible realizar una sutura término-terminal, se recurre a los injertos fasciculares, siendo los más utilizados los autoinjertos. Desde el punto de vista de las secuelas instauradas, se han descrito técnicas artrodesantes, osteotomías para corregir ejes de determinados segmentos esqueléticos y facilitar la función(5), así como transferencias tendinosas. En el caso que nos ocupa, se ha descrito en la literatura la técnica que presentamos para el hallux, pero no por lesión neurológica exclusiva del EHL(6); por esta razón, decidimos comunicar este caso.
La evolución del paciente ha sido muy satisfactoria, por lo que consideramos que es una adecuada técnica quirúrgica para la lesión neurológica periférica crónica con afectación exclusiva del EHL.
Videotécnica
Esta videotécnica recibió el 2.º Premio en el Congreso de la Sociedad Española de Medicina y Cirugía del Pie y Tobillo (SEMCPT) de 2019. Los datos adicionales relacionados con este artículo (videotécnica) pueden ser encontradon en el siguiente enlace: https://youtu.be/UAiWTRiaiD0