Introducción
El pie plano valgo (PPV) constituye uno de los principales motivos de consulta en ortopedia infantil. En el 90% de los casos es idiopático y un 10% es secundario a patologías como síndromes malformativos, coaliciones tarsianas o enfermedades neuromusculares.
EL PPV genera mucha preocupación en las familias por la deformidad y el desgaste del calzado, lo que lleva a múltiples visitas al especialista en ortopedia infantil, al podólogo infantil, a atención primaria y a la búsqueda de tratamientos ortésicos, muchas veces innecesarios, que generan un gasto excesivo(1) y con una evidencia científica muy limitada(2).
Se han descrito multitud de técnicas quirúrgicas. La elección de una u otra no está bien establecida y depende del tipo de pie plano, de la localización anatómica de la deformidad y de las preferencias del cirujano.
Anatomía
El PPV se define como una pérdida o hundimiento del arco longitudinal interno del pie, asociado a una deformidad en valgo del retropié en carga. Este retropié pronado se asocia con una supinación del antepié, que permite hacer el apoyo plantígrado.
Por su parte, el bloque tibio-peroneo-astragalino (BTPA) gira en rotación interna (RI) con respecto al bloque calcáneo-pedio (BCP). Esto se corrige clínicamente con rotación externa (RE) pasiva de la pierna (BTPA) con respecto al pie (BCP).
Figura 1. Esquema de los tipos anatómicos del pie plano. PPV: pie plano valgo.

Hay varios tipos anatómicos(3)(Figura 1):
- PPV subtalar: el astrágalo se desplaza hacia adelante, abajo y adentro. Este desplazamiento rotatorio ocurre dentro del complejo articular subtalar y talonavicular (TN). El ápex de la deformidad está en la articulación TN.
- PPV mediotarsiano: se caracteriza por presentar una forma anormal del BCP con abducción mediotarsiana (MT) y ápex de la deformidad en la articulación naviculocuneiforme. El complejo articular talocalcáneo contribuye poco en este patrón de PPV.
- PPV mixto: combinación de los 2 anteriores.
- Pie plano-cavo: la columna medial está aplanada y la lateral presenta una concavidad anormal. Existe una abducción MT con un ápex variable. La pérdida de la cobertura TN es menor.
Fisiopatología
En el pie en descarga, el retropié y el antepié son solidarios en inversión y eversión. En el pie en carga, el antepié se desplaza en sentido inverso a los movimientos del retropié. Cuando el BTPA gira en RI, el calcáneo se cae en valgo, mientras que el antepié se desvía en supinación recuperando los 3 puntos biomecánicos de apoyo.
Un PPV puede asociarse a un desequilibrio en favor de los músculos pronadores (peroneos, extensor común de los dedos y tríceps) con respecto a los supinadores (tibial anterior, tibial posterior y extensor propio del hallux). Un acortamiento del músculo peroneo corto puede estar en el origen del pie plano-cavo.
La aponeurosis plantar es el elemento clave de la resistencia mecánica durante la fase de apoyo, contrarrestando la compresión dorsal y tensión plantar de las articulaciones.
El desequilibrio de estos factores se asocia a la subluxación del BCP con respecto al astrágalo, produciendo incongruencia al nivel de la coxa pedis (articulación talocalcaneonavicular).
Etiología
En función de su etiología, el pie plano se puede clasificar en:
- PPV infantil o fisiológico: todos los niños hasta los 3-4 años tienen un PPV debido a la grasa plantar medial y la laxitud capsuloligamentosa. A partir de esta edad, este subtipo decrece progresivamente (14% al año en los grupos de edades más jóvenes)(4) al desarrollarse el arco plantar (se pierde la grasa subcutánea, disminuye la laxitud capsuloligamentosa y aumenta la potencia muscular). El arco plantar puede no hacerse evidente hasta los 10 años.
- PPV idiopático: es un pie flexible, reductible en descarga y plano en carga. Este subtipo, a diferencia del PPV infantil, tiende a persistir en la edad adulta(5).
- Pie plano secundario a patologías:
- Neuromusculares: en este subgrupo se incluyen patologías neurológicas (como parálisis cerebral infantil, mielomeningocele o poliomielitis) y miopatías (como distrofia muscular) que pueden ocasionar pies planos severos sintomáticos y evolutivos.
- Síndromes que favorecen la hiperlaxitud como el síndrome de Down, el síndrome de Ehlers-Danlos, el síndrome de Marfan o la osteogénesis imperfecta.
- Malformaciones congénitas: la causa más frecuente es la coalición tarsal, que es, a su vez, la causa mas frecuente de PPV rígido y doloroso. Otras etiologías, menos frecuentes, son el astrágalo vertical y el pie en serpentina(6)
- Inflamatoria: se asocia a enfermedades de tipo reumático que afecta a los ligamentos y las articulaciones que sostienen el arco interno del pie, como la artritis reumatoide juvenil.
Anamnesis y exploración
Clínicamente, la mayoría de los pies planos son asintomáticos y se pueden considerar variantes de la normalidad. El motivo de consulta más habitual es la deformidad, que preocupa a los padres.
También pueden consultar por desgaste asimétrico del calzado. Únicamente un 10% consulta por dolor localizado en el arco interno del pie, con limitación funcional de las actividades físicas. En ocasiones, pueden referirlo como cansancio en los pies.
Exploración física
• Exploración neuro-ortopédica: marcha de talones y de puntas, salto monopodal sobre la punta del pie, test de Gowers para valorar posible hipotonía de los miembros inferiores y reflejos osteotendinosos para valorar el pie plano secundario a problemas neuromusculares. También debemos descartar síndromes de hiperlaxitud y obesidad.
• Exploración del pie en descarga: es importante valorar la flexibilidad subastragalina y del antepié. La primera da idea de la reductibilidad del BCP y la segunda de la capacidad de pronación de la columna interna. Este requisito es importante para determinar la capacidad de compensación de la supinación del antepié, si nos planteamos realizar técnicas de corrección del valgo subtalar.
Figura 2. Prueba para determinar la flexibilidad del pie plano. A: posición original del valgo en descarga; B: al varizar el retropié, se supina automáticamente el antepié.

Para determinar la flexibilidad del pie plano se valora la reductibilidad pasiva del BCP en RI-varo. Al realizar la maniobra, se observa la varización del retropié y la supinación del antepié (Figura 2). Bloqueamos el retropié y valoramos la reductibilidad del antepié con maniobra de pronación.
Se debe palpar la zona del arco interno en busca de puntos dolorosos y queratosis en zonas de hiperapoyo (en pies planos severos se puede ver debajo de la articulación TN).
Figura 3. Grados de pie plano valorados en el podoscopio.
• Exploración del pie en carga: en bipedestación se observa un aumento del valgo fisiológico del retropié (normal: 5-10°) y un aplanamiento del arco interno en el podoscopio. Se clasifica en 3 grados según su severidad (Figura 3):
– Pie plano de grado I: apoyo de 2/3 del istmo.
– Pie plano de grado II: apoyo total del istmo.
– Pie plano de grado III: arco interno convexo.
En caso de una deformidad en abducto mirando el pie desde posterior se aprecia el signo de too many toes, pudiendo ver más allá del 4° dedo (Figura 4).
Figura 4. Exploración del pie en carga. A y B: test de Rodríguez Fonseca. Las flechas señalan el signo de too many toes; C y D: test de Jack.

En el test de Rodríguez Fonseca o heel rise test(6)(Figura 4) se pide al paciente que se ponga de puntillas. En caso de un pie plano flexible, aparece el arco plantar y el talón se variza. Si el retropié se mantiene en valgo y no aparece arco, se debe pensar en un pie plano rígido.
En el test de Jack se realiza una flexión dorsal máxima de la primera metatarsofalángica del hallux que producirá un acortamiento de la fascia plantar media y la consiguiente elevación del arco (mecanismo de cabrestante) junto a corrección del valgo del retropié.
- Valoración del sistema aquíleo-calcáneo-plantar: el tríceps sural juega un papel importante en la etiopatogenia y es el primer elemento dinámico a evaluar. La flexión dorsal se considera normal a partir de 15°.
Aplicando el test de Silfverskiöld valoramos el grado de retracción y la localización. Si la amplitud en flexión dorsal aumenta más de 10° con la rodilla flexionada, la retracción orienta sobre todo al gastrocnemio (biarticular). En caso contrario, se atribuye al sóleo o al Aquiles(6)
Diagnóstico radiológico
En caso de pie plano flexible asintomático, no está justificado el estudio radiológico. En los casos sintomáticos o de duda diagnóstica, se debe solicitar inicialmente una radiografía dorsoplantar (DP) y lateral de ambos pies en carga.
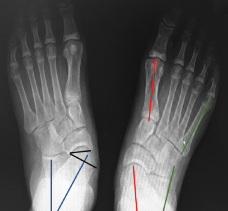
Radiografía dorsoplantar en carga (Figura 5)
Figura 5. Radiografía dorsoplantar en carga. Ángulo Kite (azul). Ángulo C5M (verde). Ángulo del eje del astrágalo y el eje del primer metatarsiano (rojo). Ángulo de descobertura talonavicular (negro).

- Ángulo astrágalo-calcáneo (AC) o de Kite (normal entre 20 y 30°): su aumento es el reflejo de la divergencia AC aumentada en el PPV de componente subtalar.
- Ángulo entre el borde lateral del calcáneo y el eje longitudinal del quinto metatarsiano (C5M): su alteración se correlaciona con la abducción del antepié, siendo su valor normal 0°.
- Ángulo entre el eje del astrágalo y el eje del primer metatarsiano (valores normales de 0 a 5°). Este ángulo es útil para determinar el componente de metatarso aducto. Asociado a una divergencia AC aumentada, orienta a un pie en serpentina o en Z.
- Valoramos la cobertura TN con el ángulo de descobertura TN (valores normales de 10°) o con el porcentaje de descobertura de la cabeza del astrágalo (si > 40%, indica deformidad en abducción severa)(7).
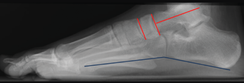
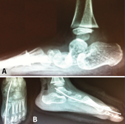
Radiografía lateral del pie en carga (Figura 6)
Figura 6. Radiografía lateral del pie en carga. A: pie normal; B: pie plano. Ángulo de Meary (rojo). Ángulo de Costa-Bartani (azul). Calcaneal pitch angle (negro).

- Ángulo de Costa-Bartani: mide el arco longitudinal medial y está definido por 2 líneas que unen respectivamente los puntos más bajos del calcáneo, el astrágalo y la cabeza del primer metatarsiano, siendo normal entre 125 y 135°. Aumentado en PPV, es una medida del aplanamiento del arco interno.
- Ángulo de Meary (ángulo lateral del astrágalo-primer metatarsiano): su valor normal es entre 0 y 10°. Este ángulo también es una medida del aplanamiento del arco interno y está alterado en los diferentes patrones de pie plano (media de 35°).
- Calcaneal pitch angle (ángulo de inclinación del calcáneo): es normal entre 20 y 30°. Está disminuido en todos los patrones de pie plano, excepto en el patrón de pie plano cavo, que está aumentado.
Para determinar el patrón anatómico del pie plano(3), se valora en la radiografía lateral en carga dónde está el vértice de la deformidad mediante los siguientes ángulos (Figura 7):
Figura 7. Radiografía lateral en carga de un pie normal. Ángulos utilizados para determinar el patrón anatómico del pie (rojo). El ángulo entre los puntos inferiores del calcáneo y el quinto metatarsiano (azul), si está disminuido, nos orienta para el diagnóstico de pie plano cavo.

• Ángulo entre el eje longitudinal del astrágalo y la superficie articular navicular (normal: 90°).
• Ángulo entre las superficies articulares del navicular y la superficie articular distal del primer cuneiforme (N1C) (normal: 0°).
• Ángulo entre los puntos inferiores del calcáneo y el 5° metatarsiano (normal: 160°).
Correlación radiológica de los patrones anatómicos con su orientación quirúrgica(3)
• PPV subtalar: se caracteriza por valgo subtalar sin abducción del antepié. En la radiografía lateral (Figura 8) el vértice del pie plano está en la articulación TN (ángulo eje astrágalo-superficie navicular disminuido). En este patrón, si el pie es flexible y con más de 2 años de crecimiento residual, está indicado realizar un procedimiento de limitación de la movilidad subastragalina.
Figura 8. Pie plano valgo (PPV) subtalar. Ángulo eje astrágalo-superficie navicular disminuido y C5M normal.

En caso de PPV subtalar rígido, valorar osteotomías de varización del retropié, como la medialización del calcáneo, asociadas a pronación del antepié o artrodesis correctora en caso de paciente con dolor asociado.
La osteotomía de alargamiento del calcáneo no se indica en este patrón de PPV, ya que daría lugar a la convexidad del borde lateral del pie con ángulo C5M negativo
En cambio, en caso de PPV rígido por coalición TC irresecable, la osteotomía de alargamiento del calcáneo de tipo Mosca(8) ha mostrado buenos resultados.
• PPV mediotarsiano: abducción y horizontalización del mediotarso sin evidencia radiológica de valgo subtalar, con acortamiento relativo de la columna externa del pie (Figura 9). El vértice del pie plano en la vista lateral está en la articulación naviculocuneiforme (ángulo N1C aumentado) y la abducción se mide en la radiografía DP por el ángulo C5M. La osteotomía de alargamiento del calcáneo (columna externa) es el procedimiento de elección.
Figura 9. Pie plano valgo (PPV) mediotarsiano. Ángulo N1C y C5M alterado.

• Patrón PPV mixto: combinación de valgo subtalar y mediopié en abducción. El vértice del pie plano en la vista lateral es compartido por las articulaciones TN y naviculocuneiforme. En la radiografía DP está aumentada la divergencia AC (subtalar) y el ángulo C5M (MT). La osteotomía de alargamiento del calcáneo corrige la abducción MT y el valgo subtalar.
• Patrón del pie plano cavo: combina una deformidad en cavo del arco lateral (columna lateral con arco aumentado) y hundimiento del arco medial. En la radiografía lateral en carga, el vértice del pie plano es variable y el ángulo entre los puntos inferiores del calcáneo y el quinto metatarsiano estará disminuido. La vista DP muestra una abducción moderada del mediopié.
En este patrón estaría indicado realizar osteotomía de pronación del antepié, como la osteotomía cuneoescafoidea de cierre plantar y medial, para corregir la abducción y el hundimiento del arco longitudinal medial. En cambio, está contraindicada la osteotomía de alargamiento de columna externa del calcáneo, debido a que agravaría la deformidad del cavo de la columna lateral.
En el pie plano neurológico, la presentación radiológica es más compleja, con participación de las articulaciones subtalar y mediotarsianas en la deformidad; esto provoca que, generalmente, se deban realizar gestos quirúrgicos combinados.
Si hay un valgo clínico del retropié sin aumento de la divergencia radiológica astragalocalcánea, se debe sospechar valgo global del pie de origen en el tobillo.
Tratamiento
Para poder transmitir tranquilidad a los padres, se debe explicar la historia natural del pie durante la infancia. El niño, hasta los 4 años, presenta un PPV infantil o fisiológico autorresolutivo, que no suele necesitar ningún tratamiento.
A partir de esta edad, el PPV idiopático flexible tiene una prevalencia alta (44% entre los 3 y los 6 años)(5), que disminuye de forma progresiva con la edad (54% a los 3 años, 24% a los 6 años)(5). En la adolescencia, solo en un 6% de los casos persiste la deformidad(9), viéndose un mayor porcentaje entre los niños con laxitud articular, sobrepeso u obesidad(10). En general, el pie tiende a cavizarse con el crecimiento, a medida que aumenta la RE del miembro inferior y disminuye la laxitud.
En el PPV idiopático flexible asintomático, el tratamiento consiste en observación, sin necesidad de ortesis ni limitación física. Se recomienda un calzado cómodo. Los ejercicios pautados de refuerzo de la musculatura intrínseca como caminar de puntillas tienen sentido teórico, pero no práctico.
En los casos de PPV idiopático sintomático, si existe retracción del tríceps sural, están indicados los estiramientos asociados a ortesis plantares. La finalidad de las ortesis es ayudar a posicionar el pie durante la marcha para mejorar la sintomatología y evitar el desgaste excesivo del calzado, aunque su eficacia en la corrección no está demostrada(1,2,11).
En el PPV secundario, la indicación depende de la etiología, la sintomatología y la historia natural. Suele requerir tratar la causa (como en las coaliciones tarsales) y necesita gestos más complejos para restaurar la anatomía y el equilibrio. Esto es especialmente importante en los pacientes con patología neuromuscular, donde la deformidad asociada al desequilibrio muscular causa pies planos muy severos con progresión rápida y con afectación global importante.
Tratamiento quirúrgico
El tratamiento quirúrgico se indica en PPV sintomático con limitación funcional significativa, cuando fracasa el tratamiento conservador.
Aunque hay que individualizar el tratamiento de cada paciente, hemos establecido un algoritmo de tratamiento a realizar en función de la anatomía del pie(3) y el grado de rigidez del pie plano sintomático (Figura 10).
Figura 10. Algoritmo quirúrgico para el tratamiento de pie plano infantil sintomático.

Procedimientos de limitación de la movilidad subastragalina
Este tratamiento está indicado para PPV flexible con patrón subtalar.
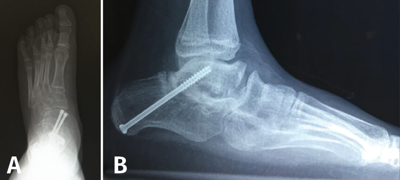
El calcáneo stop es un procedimiento mínimamente invasivo que consiste en limitar la RE-valgo del BCP y, por tanto, la subluxación del astrágalo en medial(12). Se hace mediante reducción en varo y colocación de un tornillo en el surco del calcáneo (fondo del ángulo de Gissane), cuya cabeza crea impingement con el proceso lateral del astrágalo en valgo (Figura 11).
Figura 11. Técnica de calcáneo stop. A: mínima incisión (1,5 cm), liberación del seno del tarso; B y C: colocación de aguja de Kirschner en el surco del calcáneo delante de la parte anterior del proceso lateral del astrágalo, con el pie en varo; D: posición de la cabeza del tornillo que hace impingement con el proceso lateral del astrágalo en valgo; E y F: imágenes radiológicas intraoperatorias, visualizando la orientación del tornillo de 30° en el plano sagital y 10° en el plano coronal.

La artrorrisis extraarticular consiste en corregir la subluxación del astrágalo manteniendo la reducción con una endoprótesis de tipo Giannini en el seno del tarso que bloquea la RE-valgo. Se pueden asociar gestos sobre las partes blandas como alargamiento de Aquiles o retensado de las partes blandas mediales.
Osteotomías
En función de la alteración anatómica del pie, realizamos diferentes tipos de osteotomías; las principales son:
- Osteotomía de alargamiento del calcáneo (columna externa).
- Osteotomía de deslizamiento medial del calcáneo.
- Osteotomías de pronación del antepié:
- Osteotomía cuneoescafoidea de cierre plantar.
- Osteotomía percutánea de verticalización de la primera cuña o del primer metatarsiano.
Osteotomía de alargamiento del calcáneo (columna externa)
Esta técnica fue descrita por Evans con modificación posterior por Mosca(13).
Es el tratamiento de elección para el PPV flexible mediotarsiano o mixto, donde hay abducción y horizontalización del mediotarso con acortamiento relativo de la columna externa del pie. De este modo, la osteotomía de alargamiento calcáneo produce tensión de las estructuras plantares, reduciendo el astrágalo en su coxa pedis, lo que restaura la cobertura TN. Se rectifica la pérdida de concavidad plantar y se equilibran las columnas medial y lateral, teniendo también cierto poder de corrección del valgo.
Otra indicación de esta osteotomía es en el caso de PPV secundarios a coalición talocalcánea (TCC) irresecable(8).
Técnica quirúrgica (Figura 12)
Figura 12. Osteotomía de alargamiento del calcáneo. A: osteotomía transversal de la tuberosidad anterior de calcáneo; con la ayuda del distractor, se hace la apertura, donde se rellena con injerto estructural; B: tendón peroneo (flecha), injerto óseo estructurado (◊), musculo pedio (•); C: control radiológico intraoperatorio (límite del injerto estructurado marcado con líneas discontinuas).

Se realiza una incisión longitudinal en la zona lateral del calcáneo, con precaución con el nervio sural y la rama cutánea del nervio fibular superficial y se separan los tendones peroneos hacia plantar. Se realiza una osteotomía transversal de apertura de la tuberosidad anterior del calcáneo a 1,5 cm de la articulación calcaneocuboidea y se rellena con auto- o aloinjerto estructural de 8-10 mm. Una aguja de Kirschner (AK) calcaneocuboidea evita la subluxación del cuboides y ayuda a estabilizar el injerto.
En ciertos casos, es necesario alargar el tendón peroneo lateral corto, que es valguizante y queda muy tenso tras la intervención. El peroneo lateral largo se debe conservar por ser cavizante (pronador del antepié).
Esta técnica genera frecuentemente una supinación residual del antepié que puede necesitar corrección mediante osteotomía de pronación.
Osteotomía de deslizamiento medial del calcáneo
Se utiliza para el PPV subtalar rígido, donde predomina la deformidad en valgo del retropié.
Técnica quirúrgica (Figura 13)
Figura 13. Osteotomía de deslizamiento medial del calcáneo. Escopia intraoperatoria lateral y axial de retropié donde se visualiza la osteotomía de deslizamiento medial del calcáneo.

La osteotomía es perpendicular a la cara lateral del calcáneo y oblicua hacia anterior desde el borde dorsal de la tuberosidad mayor hasta su borde plantar. Aunque clásicamente se realiza esta osteotomía de forma abierta, actualmente se puede realizar de forma percutánea. Mediante maniobra externa realizamos una medialización de al menos 1 cm, más osteosíntesis con AK o tornillos canulados de esponjosa(11).
Osteotomía de pronación del antepié
Describimos dos de las técnicas que utilizamos en función del tipo de deformidad.
Osteotomía cuneoescafoidea de cierre plantar y medial
Su principal indicación es el tratamiento del pie plano cavo, así como la corrección de la supinación del antepié.
La resección de una cuña medial con una base plantar cuneoescafoidea corrige el hundimiento longitudinal del arco medial acortando la columna medial con aducción del BCP, corrigiendo también el valgo de retropié.
La técnica quirúrgica consiste en realizar un abordaje medial, seguido de osteotomía en cuña de sustracción medial de la unión naviculocuneiforme de unos 10 mm de ancho. La cuña a cerrar es más ancha en plantar y en medial, corrigiendo la pronación y la abducción.
Osteotomía percutánea de verticalización de la primera cuña o del primer metatarsiano
Esta técnica está indicada cuando, tras corregir la deformidad del retropié, existe una supinación fija del antepié.
La técnica quirúrgica (Figura 14) es la siguiente: se realiza una osteotomía percutánea de sustracción plantar en el tercio proximal del primer metatarsiano con osteoclasia dorsal, consiguiendo una verticalización de este, que conducirá a una pronación del antepié.
Figura 14. Osteotomía percutánea de verticalización del primer metatarsiano. A: imagen clínica donde se aprecia supinación del antepié; B: osteotomía percutánea de sustracción plantar en el tercio proximal del primer metatarsiano, más osteosíntesis con aguja de Kirschner; C: imagen clínica, tras la osteotomía, donde se aprecia la corrección de la supinación del antepié.

De la misma manera, se puede realizar esta osteotomía a nivel de la primera cuña con cierre plantar. La osteosíntesis en el niño se puede realizar con una AK entre el primer metatarsiano y tarso que se retira en consulta.
Artrodesis del tarso
Las técnicas de artrodesis están indicadas en pies planos severos y en recidivas o cirugías de salvamento y, a ser posible, cerca de la madurez esquelética, debido a la progresión artrósica y al deterioro de sus resultados con el tiempo, especialmente al realizar triple artrodesis.
Son especialmente útiles en pies planos neuromusculares severos, en pies planos por artritis inflamatorias, en secuelas de astrágalo vertical congénito o en algunos pies rígidos por coaliciones tarsianas irresecables y con evidencia de cambios degenerativos.
Describimos a continuación algunas de las principales técnicas que se realizan.
Artrodesis talonavicular
La artrodesis parcial TN se utiliza principalmente para tratar, de forma aislada o combinada con otras técnicas(14), los pies planos neuromusculares severos. Al artrodesar la articulación TN, la movilidad de las articulaciones restantes de la coxa pedis es de aproximadamente 2°(15).
Se realiza por un abordaje medial, evitando lesionar la arteria pedia y el nervio peroneo profundo. Tras realizar una cuña de base plantar y medial, se realiza la artrodesis parcial correctora en aducción y pronación de la columna medial (Figura 15A).
Figura 15. Artrodesis del tarso. A: artrodesis talonavicular; B: artrodesis subastragalina.

Artrodesis subastragalina
La artrodesis subastragalina aislada tiene indicación en casos de pie plano rígido con deformidad predominantemente en valgo o en coaliciones tarsianas irresecables.
Al bloquear la articulación subastragalina, permanece un 26% de movilidad TN y del 56% en la calcaneocuboidea(15). Esta técnica es de elección en pacientes con menor demanda mecánica, debido a la potencial degeneración de las articulaciones adyacentes.
Esta artrodesis permite la restauración de la relación anatómica entre astrágalo y calcáneo. La fijación se suele realizar mediante tornillos calcáneo-astragalinos desde plantar a dorsal, en la posición corregida (Figura 15B).
Triple artrodesis del tarso
Esta artrodesis comprende la articulación subastragalina, la calcaneocuboidea y la TN. Es también conocida como “doble artrodesis” por la escuela francesa, que considera que las articulaciones TN y calcaneocuboidea constituyen una única unidad funcional.
Esta técnica se indica principalmente para deformidades muy severas en pacientes con baja demanda funcional y consiste en restablecer la correcta relación anatómica, fijando las articulaciones astragalocalcánea, calcaneocuboidea y TN.
Procedimientos sobre las partes blandas y tratamientos asociados
Normalmente, los procedimientos de partes blandas se emplean combinados con otras técnicas, ya que no suelen ser eficaces de forma aislada.
El más frecuente es el alargamiento del tríceps sural. El test de Silfverskiöld determinará la elección de la técnica quirúrgica(6):
- Positivo: técnicas de alargamiento de la aponeurosis del gastrocnemio de tipo Strayer o Baumann.
- Negativo: alargamiento al nivel del tendón de Aquiles. Se realizan alargamientos en Z abiertos o tenotomía escalonada percutánea con aguja, en función de la severidad del acortamiento.
Estudios recientes(16) han evaluado la eficacia del retensado del tibial posterior y la capsulorrafia medial-plantar TN. Han demostrado que el resultado es insuficiente de forma aislada y está en discusión si aporta algún beneficio asociada a las técnicas óseas.
El escafoides accesorio es una anomalía congénita que se asocia frecuentemente a PPV. En el caso de persistencia de los síntomas tras el tratamiento ortopédico, se han utilizado diversos procedimientos quirúrgicos con buenos resultados, entre ellos la resección del fragmento y la reinserción del tibial posterior. Además, las deformidades del PPV deben abordarse concomitantemente.
Pie plano rígido secundario a malformación congénita
Coalición tarsiana
La coalición tarsiana es una deformidad del pie causada por la unión fibrosa, cartilaginosa u ósea entre huesos del tarso. La incidencia estimada es del 1-2% en la población general, siendo la coalición calcaneonavicular (CNC) la forma más frecuente (53%), seguida de cerca por la TCC.
La forma de presentación es un PPV rígido doloroso con historia de esguinces de repetición, con predominio de dolor al nivel del seno del tarso en supinación si es CNC y de dolor medial con deformidad en valgo más acusada en caso de TCC.
El tratamiento quirúrgico consiste en realizar la exéresis de la coalición de forma abierta con interposición de tejido. El tratamiento moderno consiste en resecar por vía endoscópica la CNC(17) o la TCC(18), sin interposición de tejido. La rápida movilización evita la recidiva. En caso de PPV de más de 20° se puede asociar el tratamiento del calcáneo stop, tras la resección de la coalición(18)(Figura 16).
Figura 16. A: valgo severo de retropié secundario a coalición talocalcánea; B: tras resección completa por vía artroscópica de la coalición, se verifica la movilidad subastragalina, al realizar varo-valgo del talón; C: colocación de calcáneo stop, para corregir el valgo del retropié; D: tomografía axial computarizada de control, donde se visualiza resección de la coalición y corrección del valgo del retropié.

En el caso de PPV secundarios a TCC irresecables, se puede realizar una osteotomía de alargamiento del calcáneo (columna externa)(8).
Como última opción, en sinostosis irresecables y/o con signos radiológicos de degeneración articular, se puede plantear realizar artrodesis subastragalina o una triple artrodesis.
Astrágalo vertical congénito
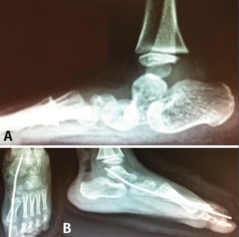
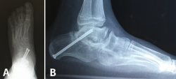
El astrágalo vertical congénito es una deformidad rara que consiste en un pie plano rígido, dando aspecto de pie en mecedora. En casos severos, el astrágalo llega a estar alineado verticalmente con la tibia, pudiendo evolucionar a pie en piolet. Se caracteriza por valgo y equino del retropié, con dorsiflexión al nivel del mediopié y abducción del antepié causada por una luxación dorsal y lateral del navicular respecto a la cabeza del astrágalo, que se mantiene posicionado en flexión plantar rígida.
El manejo es casi siempre quirúrgico y se basa en una liberación periastragalina extensa, corrección del equino del retropié, liberación de las fuerzas pronadoras y trasplante del TA sobre la cabeza del astrágalo. Dobbs(19) describió un tratamiento miniinvasivo basado en yesos seriados “antiponseti” reduciendo progresivamente la articulación TN llevando el pie en equino y aducción. Finalmente, se procede a una fijación temporal de la alineación TN con AK y corrección del equino mediante tenotomía de Aquiles (Figura 17). En caso de reducción insuficiente, se añade una liberación TN para permitir la reducción completa, que se mantiene temporalmente mediante AK retrógrada.
Figura 17. Astrágalo vertical congénito. A: diagnóstico radiológico; B: técnica Dobbs percutánea.

Pie en serpentina (skewfoot)
El pie en serpentina o en Z constituye una deformidad rara en el pie, que combina valgo del retropié con aducción del antepié (Figura 18).
Figura 18. Pies en serpentina. A: radiografía dorsoplantar de la deformidad en serpentina; B: imágenes radiológicas postoperatorias inmediatas, donde se aprecia osteotomía de Mosca y técnica de Cahuzac percutánea; C y D: imagen clínica y radiológica un año tras la intervención.

A menudo infradiagnosticado, suele presentarse como un metatarso aducto resistente al tratamiento. En la radiografía se manifiesta con signos de valgo del retropié con divergencia AC aumentada y aducción del antepié al nivel de la articulación de Lisfranc.
En caso de indicación quirúrgica se debe corregir el doble componente de la Z con osteotomía de alargamiento de la columna externa (para corregir el valgo) más corrección del antepié mediante técnica de Cahuzac (apertura de la cápsula C1M y osteotomía de los metatarsianos centrales) modificada en percutánea(20).