Introducción
La lesión de Lisfranc es una patología poco común –supone un 0,2% de todas las fracturas– pero potencialmente grave y hasta en un tercio de las veces puede pasar desapercibida, ocasionando consecuencias devastadoras a largo plazo, como dolor crónico, inestabilidad y discapacidad severa. Estos hechos hacen imprescindible el conocimiento por parte del facultativo del mecanismo de producción más frecuente, así como la clínica más habitual que presentan los pacientes y las pruebas complementarias necesarias para su diagnóstico, generalmente radiografías en carga, resonancia magnética (RM) o tomografía axial computarizada (TAC). Este tipo de lesiones implica fracturas, lesiones ligamentosas o una combinación de ambas(1,2).
Las lesiones puras ligamentosas, llamadas lesiones sutiles de Lisfranc, son lesiones graves que resultan en inestabilidad articular sin fractura y pueden provocar cambios artrósicos. Son comunes en deportistas, tras caídas de poca altura o traumatismo de baja energía, aunque también se asocian a pacientes politraumatizados. El tratamiento puede ser conservador con yeso sin carga, quirúrgico mediante reducción con tornillos de primera cuña (C1) a segundo metatarsiano (M2) que estrechen el espacio o mediante artrodesis primaria según el tipo. Generalmente, estas lesiones puras ligamentosas, al ser infradiagnosticadas, presentan peores resultados a pesar de la reducción anatómica y la fijación interna rígida en comparación con las combinadas con lesión ósea(2).
En la literatura está descrita la técnica quirúrgica mediante fijación flexible con sutura intraósea con botón que evita la rotura por fatiga y no necesita posterior extracción del material, ya que no limita el movimiento en esta articulación, mejorando la cicatrización del ligamento.
Objetivos
En el presente trabajo se muestran los resultados clínicos, radiológicos y funcionales de 2 casos de lesión sutil de Lisfranc tratada de forma quirúrgica mediante sutura intraósea flexible con botón.
Material y métodos
Se presentan 2 casos de pacientes intervenidos mediante técnica con sutura intraósea flexible con botón de C1 a M2 utilizando dispositivo con 2 hebras de sutura que se fijan con 2 botones alargados de acero inoxidable para la fijación cortical.
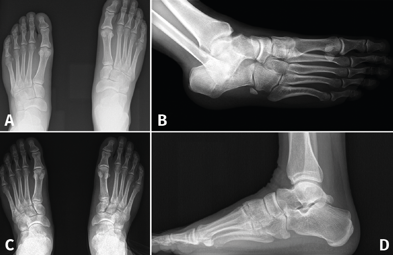
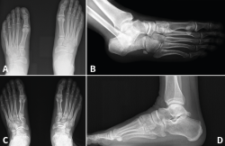
Figura 1. Caso 1. A: radiografía anteroposterior (AP) sin carga; B: radiografía oblicua sin carga; C: radiografía AP con carga con diástasis en la articulación de Lisfranc; D: radiografía lateral con carga.

La técnica quirúrgica se realizó mediante doble abordaje, uno medial de 1 cm aproximadamente sobre borde medial de C1 y el otro abordaje de 1 cm también a nivel del borde lateral de la base de M2. Tras la reducción articular con una pinza externa, se inserta un alambre guía desde M2 a C1 y se verifica la posición bajo fluoroscopio. A continuación, se pasa una broca canulada de 3,0 mm sobre el alambre guía que crea el túnel para la sutura intraósea que se introduce de medial a lateral y una vez anclado el botón lateral se tensa la sutura hasta conseguir una reducción satisfactoria y se asegura con un nudo. En caso de detectar inestabilidad a pesar de esta fijación, se puede insertar otro dispositivo desde el primer metatarsiano (M1) a la segunda cuña (C2).
Caso 1
Se trata de un varón de 32 años diagnosticado de lesión sutil de Lisfranc en urgencias tras un traumatismo deportivo sin especificar el mecanismo. Se realiza estudio radiográfico y tomográfico objetivando diástasis de 2 mm articular en el pie derecho sin lesión ósea (Figuras 1A y 1B). Se decide realizar tratamiento conservador con férula y descarga. Se hace una revisión a las 2 semanas, manteniendo la diástasis previa, pero en la revisión a las 6 semanas se confirma diástasis de 5 mm en la radiografía en carga, por lo que se indica tratamiento quirúrgico (Figuras 1C y 1D).
Se realiza la intervención quirúrgica a las 8 semanas con reducción abierta mediante abordaje dorsomedial confirmando la inestabilidad articular y realizando una estabilización con sutura intraósea con botón de C1-M2. Se comprueba que aún persistía cierta inestabilidad en el plano frontal, por lo que se decide poner otro dispositivo de C2 a M1. Se inmoviliza con una férula suropédica y se indica descarga (Figura 2).
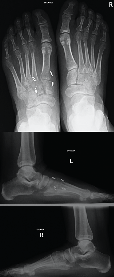
Figura 2. Caso 1. Resultados radiográficos posquirúrgicos.

Se hizo la primera revisión a los 10 días, comprobando buen estado de la herida y se insistió en la descarga. A las 6 semanas postoperatorias se realizó radiografía en carga que fue satisfactoria y se autorizó carga parcial de peso con bota de termoplástico. A las 8 semanas, se permitió la carga completa con calzado cómodo con plantilla con soporte del arco longitudinal interno, que llevó durante un año.
Caso 2
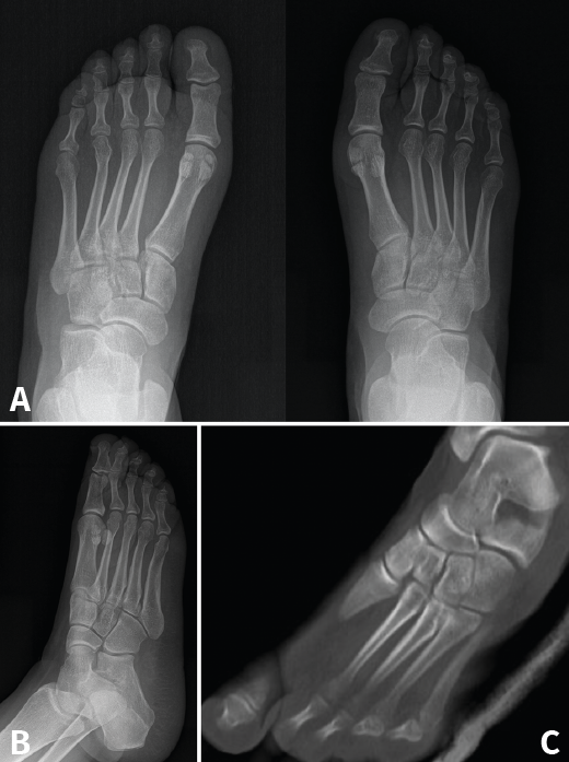
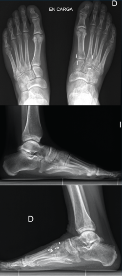
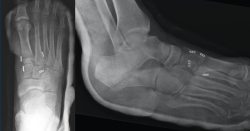
Se trata de una mujer de 26 años atendida en urgencias tras un traumatismo con torsión del pie. Se realiza radiografía y TAC, objetivando diástasis de 9 mm sin lesión ósea (Figura 3) y diagnosticando, por tanto, lesión sutil de Lisfranc.
Figura 3. Caso 2. A: radiografía preoperatoria anteroposterior con diástasis en la articulación de Lisfranc; B: radiografía oblicua preoperatoria; C: corte de tomografía computarizada oblicuo.

Se realiza cirugía con 2 suturas intraóseas C1-M2 y C2-M1 mediante la técnica descrita anteriormente (Figura 4). Se siguió un protocolo posquirúrgico igual al del caso anterior: revisión de la herida a los 10 días, descarga hasta las 6 semanas, carga parcial hasta las 8 semanas con bota y comenzar la carga completa con calzado cómodo con plantilla con soporte de arco longitudinal interno hasta un año postoperatorio.
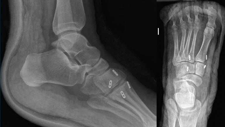
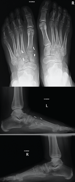
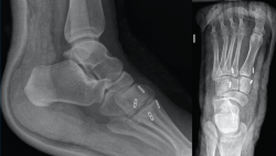
Figura 4. Caso 2. Radiografías lateral y anteroposterior sin carga de control tras la cirugía con fijación no rígida.

Los procedimientos utilizados en los pacientes y controles posteriores han sido realizados tras la obtención de un consentimiento informado.
Resultados
La revisión a los 3 meses mostró resultados satisfactorios en ambos casos, con tolerancia de la carga completa. Además, las imágenes radiológicas demostraron el mantenimiento de la reducción conseguida en el quirófano, sin movilización del material (Figuras 5 y 6).
Figura 5. Resultados radiográficos posquirúrgicos en el caso 1.

En el primer caso, la incorporación laboral fue a los 4 meses y, en el segundo caso, a los 6 meses; los pacientes no presentaron dolor. A los 10 meses postoperatorios el examen clínico no reveló evidencia de dolor en la zona quirúrgica y los pacientes habían reanudado todas sus actividades regulares, incluida la práctica deportiva, sin complicaciones. Además, las radiografías en ese momento revelaron una reducción anatómica de la lesión.
Discusión
Las lesiones sutiles de Lisfranc son lesiones raras que se tratan bien conservadoramente, con inmovilización y descarga, bien quirúrgicamente, mediante reducción abierta y osteosíntesis con tornillos, placas o sutura flexible(1,2), o mediante artrodesis primaria según el tipo de lesión.
J. Crates et al.(3) evaluaron el tratamiento quirúrgico de las lesiones sutiles de Lisfranc después del fracaso del tratamiento conservador y su estudio llegó a la conclusión de que, utilizando tanto tornillos como sutura, las puntuaciones de los resultados de la escala de la American Orthopaedic Foot and Ankle Society (AOFAS) mejoraron significativamente tras la cirugía. La mayoría de las veces estas lesiones se tratan con reducción abierta y fijación interna, pero no hay criterios claros sobre cuánto debe ser la diástasis para indicar la cirugía. También sigue existiendo controversia sobre el método de fijación o la configuración y la secuencia más adecuada para realizarla. Hay cirujanos que abogan incluso por realizar directamente una artrodesis primaria de esta articulación debido a las secuelas de artrosis, inestabilidad y dolor que a menudo presentan. Otro de los problemas en este tipo de intervenciones es que el paciente no tolera el material y debe retirarse varios meses después de la implantación.
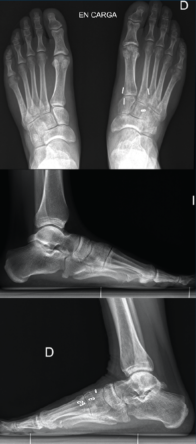
Figura 6. Resultados radiográficos posquirúrgicos en el caso 2.

Debido a las complicaciones descritas que genera la intervención clásica de las lesiones sutiles de Lisfranc, los autores proponemos la fijación flexible con sutura intraósea con botón como una técnica sencilla y rápida que produce una fijación no rígida más parecida a la fijación ligamentosa natural, que soportaría mejor la fatiga y, por tanto, haría menos probable la rotura del implante, siendo también lo suficientemente fuerte como para permitir un apoyo del peso(1,4,5,6). Este dispositivo está fabricado con 2 botones conectados entre sí por 4 hilos de alambre de fibra; esto resulta en una construcción que tiene la fuerza de las 4 hebras, pero también tiene una flexibilidad que no da la fijación con tornillo, aportando ventajas como permitir tensiones y compresiones en la región de Lisfranc con graduación, corrección manual del área y a menudo sin necesidad de compresión externa de una pinza(4).
Como desventajas de esta técnica, se encuentra el precio, pues es un dispositivo más caro que los clásicos tornillos; sin embargo, al evitar una segunda cirugía, hace que el dispositivo sea rentable. Actualmente, no hay información de seguimiento a largo plazo disponible, ya que es una técnica relativamente nueva(5).
V. Panchbhavi et al.(7), en su estudio para comparar la estabilidad proporcionada mediante técnica con sutura y tornillo, dan como resultado una estabilidad similar sin encontrar diferencias estadísticamente significativas en el desplazamiento entre las muestras. En cambio, S. Ahmed et al.(8), en su estudio en cadáver, concluyen que la fijación con tornillo tuvo menos desplazamiento que la sutura con botón en lesiones aisladas del ligamento de Lisfranc, recomendando que el tratamiento clásico con tornillo debe continuar siendo el tratamiento aceptado.
Aunque esta lesión es extremadamente rara en niños, también se ha descrito la utilización de este dispositivo en pacientes pediátricos, llegando a la conclusión de que es un método prometedor y eficaz, ya que combina las ventajas de una técnica percutánea con un tipo de fijación menos rígido y buenos resultados a corto plazo, aunque se necesita más investigación para confirmar su uso rutinario en niños(9).
K. Jain et al.(10) muestran su experiencia con este método en jugadores de élite, de fútbol profesional y de rugby, destacando sus ventajas al proporcionar una estabilización fisiológica y clínicamente robusta, incluso en atletas de élite de alta demanda, permitiendo un retorno más temprano a la competición y evitando la necesidad de una segunda intervención, lo que hace que su uso sea extremadamente rentable.
En el estudio de 2019, N. Heyrani et al.(11) concluyen que esta técnica permite una menor pérdida de hueso por la perforación, un mayor crecimiento de colágeno y que se puede usar junto con placas puentes.
Por su parte, los autores del presente artículo concluyen que los pacientes toleraron la carga del pie operado y regresaron a sus actividades regulares, incluidas las actividades deportivas, de manera más precoz que lo experimentado por los pacientes intervenidos con los métodos tradicionales de fijación con tornillo. Además, el uso de la sutura intraósea evitó la molestia del material a medio plazo y, por tanto, la necesidad de una posterior cirugía para la extracción.
Conclusiones
Según nuestros resultados y aceptando nuestra escasa serie de casos, los autores consideramos que la utilización de la sutura intraósea flexible en el tratamiento de las lesiones ligamentosas puras de Lisfranc representa una alternativa terapéutica válida a tener en cuenta, siendo una técnica fácil, rápida y que permite una fijación no rígida más fisiológica que permite micromovimiento, evita la rotura por fatiga y no necesita posterior extracción del material.
Por otro lado, debido a la poca bibliografía publicada respecto al tema, concluimos que son necesarios más estudios, preferiblemente prospectivos comparativos y con un tiempo de seguimiento más largo, para avalar los buenos resultados con la utilización de esta técnica.