Introducción
El objetivo de esta publicación es estudiar las alteraciones morfológicas y/o posicionales que pueden presentar el cuneiforme medial (CM) y la primera articulación tarsometatarsiana (1.ª ATMT) en las 2 patologías más frecuentes de la bóveda plantar: el pie plano y el pie cavo(1,2).
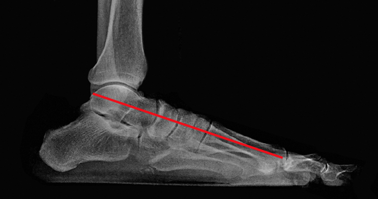
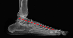
Para ello, se han estudiado radiografías de ambas entidades clínicas. Mediante la línea de Meary(3), que en un pie normal es rectilínea y atraviesa el talus, el navicular y el primer metatarsiano, se ha buscado el punto de rotura o inflexión de dicha línea en pies planos y pies cavos (Figura 1).
Figura 1. Radiografía de perfil en carga. La línea de Meary atraviesa el talus, el navicular, el cuneiforme medial y el primer metatarsiano.

La línea de Meary es una referencia de gran utilidad en la práctica clínica diaria, pero tiene un valor relativo, ya que ambas deformidades son tridimensionales y, al hundimiento o ascenso de la bóveda plantar, se asocia habitualmente un valgo o varo de talón y otras deformidades complejas, especialmente en el pie cavo(4).
Morfología del cuneiforme medial y de la primera articulación tarsometatarsiana en el pie plano y el pie cavo
La morfología del CM y de la 1.ª ATMT en el pie plano no presenta diferencias significativas con referencia a un pie normal, sea cual sea el tipo de pie plano a que nos estemos refiriendo. Solamente cuando se trata de un pie plano postraumático que afecta a la articulación de Lisfranc, la morfología del CM puede estar alterada.
Figura 2. A: la supinación del pie plano obliga al desplazamiento del primer metatarsiano a dorsal; B: en el pie cavo, por el aumento de la bóveda plantar, el primer radio se desplaza a plantar.

Siguiendo las ideas de Paparella(5), el pie plano presenta en todos los casos una anatomía patológica uniforme: existe un doble movimiento helicoidal o rotatorio en sentido inverso, el retropié está pronado y el antepié supinado, por lo que el primer radio se encuentra en flexión dorsal (Figura 2A). A ello contribuye la pérdida de potencia del peroneo largo, el cual debido al valgo de talón tiene disminuido su brazo de palanca y, por ello, menor fuerza para la flexión plantar del primer metatarsiano. El talus está desplazado hacia abajo, delante y dentro.
M. Núñez-Samper ha estudiado un grupo de pies cavos de diversas etiologías y no encuentra tampoco diferencias morfológicas del CM y de la oblicuidad de la 1.ª ATMT, con relación a un pie normal. Al aumentar la bóveda plantar, el primer metatarsiano se sitúa en flexión plantar, es decir, verticalizado (Figura 2B).
Figura 3. A: pie plano astrágalo vertical. Inflexión en la articulación talonavicular; B: pie plano paralítico. Inflexión en la articulación navículo-cuneiforme medial; C: inflexión en todas las articulaciones del arco interno: talonavicular, navículo-cuneiforme medial, primera articulación tarsometatarsiana.

En el pie plano, el doble movimiento de rotación en sentido inverso que se produce conlleva que en la columna interna del pie se produzca algún tipo de subluxación o luxación. La localización de esta tendrá relación con la etiología de cada pie plano(6): en el pie plano astrágalo vertical se produce a nivel de la talonavicular, en el pie paralítico (secuelas de poliomielitis) a nivel de la articulación navículo-cuneiforme y, en los pies planos laxos infantiles, en todas las articulaciones de la columna interna del pie: talonavicular, navículo-cuneiforme y 1.ª ATMT (Figura 3).
Rotura de la línea de Meary
Pie plano
En el pie plano, la rotura de la línea de Meary se puede producir, como ya se ha indicado, a diferentes niveles según el tipo de etiología.
Hay que resaltar que en el pie plano adquirido del adulto por disfunción del tendón del tibial posterior, podemos encontrar diferentes formas anatomopatológicas.
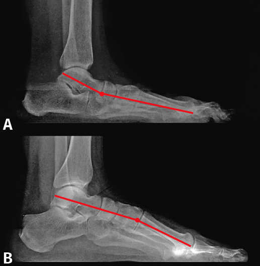
Figura 4. Pie plano por disfunción del tibial posterior. La flecha señala: A: subluxación talonavicular; B: subluxación navículo-cuneiforme medial.

Ello fue motivo de una presentación el año 1996 en la Societat Catalana de Cirurgia Ortopèdica i Traumatologia por A. Viladot Voegeli et al.(7), que estudiaron este tema: se analizaron las radiografías de perfil en carga de 30 pies planos secundarios a una disfunción del tibial posterior. Se pudo observar que 10 pies (33%) presentaban una subluxación talonavicular. En 11 pies (37%) la subluxación se encontró entre el navicular y el CM (Figura 4) y 2 pies (7%) presentaban una pequeña subluxación mixta entre el talus, el navicular, el CM y el primer metatarsiano. Por último, 7 pies (23%) no presentaban ningún tipo de alteración en la congruencia articular.
Figura 5. A: ligamento en hamaca o spring ligament, su misión es mantener la cabeza del talus frente al navicular; B: inserciones distales del tibial posterior al nivel del calcáneo, cuboides y cuneiformes, que contribuyen a mantener la bóveda plantar. Imágenes cedidas por cortesía de Soledad Álvarez.

La explicación que damos a estas diferentes formas de presentación es la siguiente: en el suelo de la coxa pedis se encuentra el ligamento calcaneonavicular plantar (spring ligament), cuya principal función es mantener la cabeza del talus en posición frente al navicular. Justo por debajo de este ligamento, en situación más plantar, encontramos las expansiones distales del tibial posterior que se insertan en calcáneo, cuboides y cuneiformes, contribuyendo también a mantener la bóveda plantar (Figura 5).
Cuando el tibial posterior claudica, si el ligamento calcaneonavicular plantar resiste, el arco longitudinal se colapsa distalmente a nivel de la articulación navículo-cuneiforme medial y/o 1.ª ATMT. En estos casos, la línea de Meary se rompe habitualmente en la articulación navículo-cuneiforme medial. Cuando el ligamento calcaneonavicular plantar también cede, falla el suelo de la coxa pedis y la cabeza del talus cae hacia abajo, produciéndose la subluxación al nivel de la talonavicular. En estos pacientes, la línea de Meary se rompe a este nivel.
Los pies que no presentaban ningún tipo de incongruencia articular se explican porque son pies con una corta evolución de la disfunción, por lo que la deformidad es predominantemente dinámica y la radiografía es estática.
Pie cavo
En el pie cavo, la rotura puede producirse en la articulación talonavicular, navículo-cuneiforme medial y, en ocasiones, con mucha menor frecuencia, en la 1.ª ATMT, ya que por lo general el metatarsiano se desplaza juntamente con el CM.
Desde el punto de vista electromiográfico, la musculatura plantar en situación estática tiene un comportamiento semejante a la del pie plano, para mantener la bóveda plantar, actuando conjuntamente con las estructuras pasivas a modo de reserva funcional dinámica, siendo los músculos aductor del dedo gordo, peroneo lateral y tibial posterior los que tienen una mayor actividad electromiográfica, con un 30% de término medio(8).
El punto de rotura de la línea de Meary se encuentra en los pies cavos esenciales y en los pies cavos que vemos en los deportistas y bailarines al nivel de la articulación naviculocuneana; en los pies cavos de origen paralítico o neuropático va a depender de los grupos musculares afectados, por lo que las deformidades serán el resultado de los desequilibrios musculares que se produzcan.
Las alteraciones tridimensionales en el pie cavo son muy variables, lo que condiciona formas clínicas muy diversas. No tiene nada que ver, ni desde un punto de vista clínico ni radiológico, el aspecto de un pie cavo hipertónico de un deportista con el que presenta un pie neurológico con marcado varo de talón, o un pie cavo secundario a una secuela de poliomielitis o a una enfermedad de Charcot-Marie-Tooth. Por ello, es muy difícil asegurar que existe o no una alteración en la forma del primer CM la primera cuña o en qué articulación se produce la rotura de la línea de Meary (Figuras 6A y 6B).
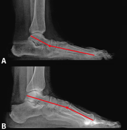
Figura 6. Rotura de la línea de Meary en diferentes tipos de pie cavo (A, B, C, D y E), en los que puede observarse una gran variabilidad de la misma. En F y G, debido a la alteración tridimensional, es difícil trazar la línea de Meary.

Recordemos que todos los músculos cortos y largos del pie mantienen una actividad electromiográfica escasa, pero persistente, en el pie plano y cavo, interviniendo con los elementos pasivos a modo de reserva funcional dinámica, duplicando su actividad en posición unipodal en el pie cavo y triplicándose en el pie plano(8,9).
Los músculos tibial anterior y abductor del quinto dedo muestran muy poca participación, por el contrario; el peroneo largo y el tibial posterior en situación bipodal no sobrepasan el 10% y en situación monopodal responden con una actividad entre un 30 y un 40%.
Ninguno de los músculos cortos o largos alcanza el 100% de su actividad muscular teórica en situación estática, para mantener la bóveda plantar.
Conclusiones
No se observan ni en el pie plano ni en el pie cavo alteraciones morfológicas, en general, ni en el CM, ni en la 1.ª ATMT.
La bóveda plantar se mantiene por el encaje recíproco de los huesos entre sí y por la acción de los ligamentos(10). La actividad muscular es escasa, pero mantenida, no llegando al 10%, actuando estos a modo de reserva funcional dinámica. Cuando estas estructuras fallan, se produce la rotura de la línea de Meary por el punto de inflexión más débil.