Introducción
La braquimetatarsia se define como un acortamiento anormal de uno o más metatarsianos que terminan 5 mm o más proximales a la parábola metatarsiana(1). Afecta con mayor frecuencia al cuarto radio del pie. La mayor serie publicada en la bibliografía describe una incidencia entre 0,02 y 0,05% con un predominio femenino de 25:12. Se observa una afectación bilateral en el 72% de los casos congénitos y un 14% asocia un acortamiento de los metacarpianos cuarto o quinto. Se ha relacionado con varios síndromes (síndromes de Turner, Down, osteocondromatosis múltiple, entre las más frecuentes)(2) y, aunque puede presentarse con dolor y deformidad, el motivo de consulta más frecuente es estético.
La braquimetatarsia se produce como consecuencia de una fusión prematura de la fisis del metatarsiano. Puede ser de origen congénito, adquirido o iatrogénico. Se manifiesta clínicamente a los 10 años de edad como un radio más corto con un dedo que se desplaza dorsalmente.
El tratamiento inicial de la braquimetatarsia sintomática es conservador, mediante plantillas. En caso de fracaso, se opta por una corrección quirúrgica, cuyos resultados son mejores después del cierre fisario entre los 14 y los 21 años(2). Dada la baja prevalencia de la braquimetatarsia congénita, existen pocos estudios que analicen la eficacia de distintas técnicas quirúrgicas para su tratamiento. La cirugía debe resultar en una alineación y una función adecuadas del antepié para evitar problemas como la metatarsalgia de transferencia debida a la alteración de la fórmula metatarsiana(3).
El objetivo de este estudio es analizar los resultados obtenidos tras el tratamiento quirúrgico de 10 metatarsianos con braquimetatarsia congénita (6 pacientes, 9 pies) mediante 2 técnicas quirúrgicas, el alargamiento gradual por callotasis mediante fijador externo monorraíl y el alargamiento en un tiempo con injerto autólogo de peroné y fijación con placa atornillada.
Material y métodos
Se trata de un estudio observacional, descriptivo y retrospectivo realizado en un hospital de tercer nivel. Se revisaron todos aquellos pacientes con braquimetatarsia que fueron intervenidos quirúrgicamente en un periodo de tiempo comprendido entre 2016 y 2022. Se excluyeron aquellos pacientes cuyo origen de la patología no fue congénito. Se incluyeron en el estudio un total de 10 metatarsianos (6 pacientes/9 pies). Se definieron 2 grupos en función de la técnica quirúrgica de elongación realizada: en el grupo A (5 metatarsianos) se realizó elongación mediante fijador externo y en el grupo B (5 metatarsianos), el alargamiento se realizó en un solo tiempo con aporte de autoinjerto óseo.
Para obtener los datos del estudio se realizó una revisión de las historias clínicas digitalizadas de los pacientes, así como de sus pruebas de imagen complementarias. Se recogieron los siguientes datos: sexo, edad en el momento del tratamiento, antecedentes médicos y familiares, asociación con acortamiento congénito de metacarpianos, lateralidad, si es unilateral o bilateral, tratamiento realizado, resultados radiográficos, clínicos y complicaciones. Todos los datos se recopilaron en una base de datos en Microsoft Excel 2011 versión 14.0.0. y posteriormente se procesaron con IBM SPSS Statistics 22. Las variables cuantitativas se expresaron como valor medio, mínimo y máximo, y desviación estándar con un intervalo de confianza del 95%. El test t de Student para variables independientes se utilizó para determinar si había diferencias estadísticamente significativas entre ambas técnicas quirúrgicas con un valor de p < 0,05. Las variables cualitativas se presentaron en forma de frecuencias relativas y absolutas.
En todos los casos se realizó una radiografía simple en proyección anteroposterior en carga para valorar el grado de acortamiento metatarsiano (mm) y la longitud deseada.
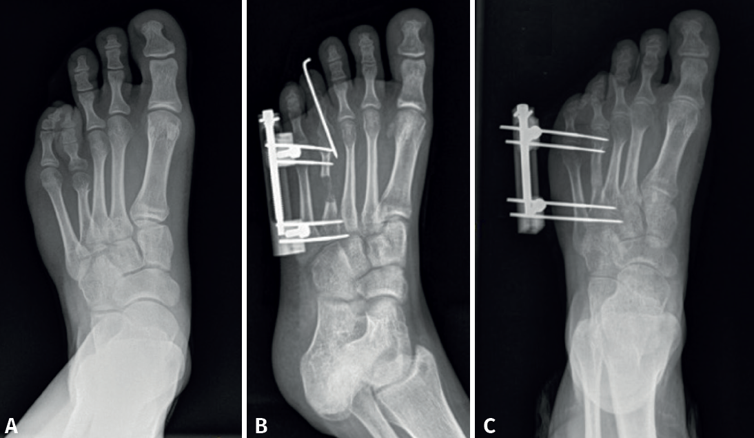
En el grupo A se realizó un alargamiento gradual mediante callotasis con fijador externo. Generalmente, se trataba de aquellos pacientes en los que se necesitaba alargar más de 15 mm debido a la potencial limitación de las partes blandas en el caso de alargamiento en un tiempo. Para ello se utilizó un minifijador externo monorraíl (MiniRail® Orthofix MBA). La técnica quirúrgica consistió en realizar una incisión dorsal sobre el metatarsiano afectado, seguida de un alargamiento del tendón extensor largo mediante Z-plastia y tenotomía del extensor corto. Posteriormente, se introdujeron 2 o 3 agujas roscadas de 2 mm proximales y otras 2 o 3 distales al sitio planificado para la osteotomía, con una angulación de 45° con respecto al plano del suelo para el segundo al cuarto metatarsiano y una angulación de 0° con respecto al plano del suelo en el caso de que se tratara del primer o quinto metatarsiano. La osteotomía se realizó en la zona más proximal posible mediante perforaciones con agujas de Kirschner, que se completaron con escoplos. A continuación, se implantó el cuerpo del fijador externo y se realizó la distracción para comprobar la apertura de la osteotomía. Posteriormente, el fijador se colocó en posición de compresión y se introdujo una aguja de Kirschner a través de la falange distal hacia la cabeza del metatarsiano con el fin de fijar temporalmente la articulación metatarsofalángica y evitar así posibles luxaciones/subluxaciones articulares durante el alargamiento.
Tras la cirugía, el fijador externo se mantuvo en la posición de compresión durante 7-10 días como periodo de latencia. Pasado este tiempo, se inició el alargamiento en la consulta externa mediante la distracción de la osteotomía con el fijador externo a razón de 0,25 mm cada 12 horas (un cuarto de vuelta del fijador) que continuó el paciente en su domicilio (Figura 1). El pie intervenido se mantuvo en descarga inicialmente y protegido con un zapato posquirúrgico de suela invertida hasta la visualización de osificación en la zona de alargamiento. Al alcanzar la longitud de alargamiento deseada, se detuvo el alargamiento, se retiró la aguja de Kirschner y se mantuvo el fijador externo hasta la visualización de callo óseo radiográfico con corticalización de este.

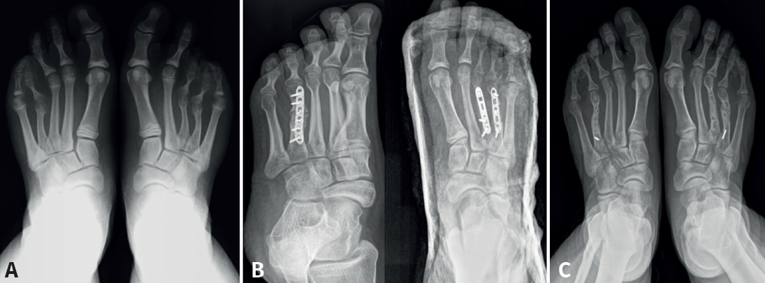
En el grupo B se optó por un alargamiento en un solo tiempo con injerto autólogo de peroné y fijación con placa según la técnica de Waizy(4). Se trataba de aquellos pacientes en los que hubiese que ganar menos de 15 mm o no toleraran el tratamiento con fijador externo. Para ello, se realizó una incisión dorsal sobre el metatarsiano afecto. Los pasos quirúrgicos fueron: alargamiento del tendón extensor largo, sección del tendón extensor corto, capsulotomía dorsal y osteotomía con sierra. Mediante una incisión de 3 cm por encima de la sindesmosis tibioperonea distal se obtuvo un cilindro de la mitad anterior del peroné como injerto autógeno con una longitud adecuada en función del acortamiento que se fuera a corregir, sin producir una pérdida de continuidad de este, puesto que se respetaba la cortical posterior. El injerto se interpuso en el plano de la osteotomía y se fijó a este con una placa Compact® de ángulo variable de 2,0 mm del sistema LCP Forefoot/Midfoot de Synthes. La primera articulación metatarsofalángica también se fijó temporalmente con una aguja de Kirschner que se mantuvo hasta 6 semanas (Figura 2). Tras la cirugía se indicaron 6 semanas de yeso en descarga y posteriormente 6 semanas más de carga protegida con ortesis Cam-Walker.

En el caso del alargamiento gradual, se programó un control radiográfico semanal para controlar la alineación articular y el ritmo de alargamiento. Se determinaron las siguientes variables: alargamiento logrado (en mm y en porcentaje, midiendo la longitud del metatarsiano preoperatorio y postoperatorio), duración de la fijación externa (tiempo en semanas entre la colocación del fijador externo y su retirada), índice de fijación externa (IFE, dividiendo la duración de la fijación externa entre el alargamiento logrado, días/cm), fecha de consolidación (momento en que radiológicamente eran visibles 3 corticales), tiempo de consolidación (tiempo entre la intervención quirúrgica y la fecha de consolidación), índice de curación (IC, dividiendo el tiempo de consolidación entre el alargamiento logrado en días/cm).
El presente trabajo se ha realizado conforme a las normas oficiales vigentes y de acuerdo con la Asociación Médica Mundial y en consonancia con el código ético de la Organización Mundial de la Salud (Declaración de Helsinki). Se ha respetado el anonimato de los pacientes incluidos en el estudio, así como la confidencialidad de los datos.
Resultados
Se incluyeron en el estudio un total de 10 metatarsianos intervenidos (6 pacientes/9 pies) con diagnóstico de braquimetatarsia congénita. Todos los pacientes fueron mujeres y la edad media en el momento de la cirugía fue de 14,60 ± 1,57 [13-18] años. Presentaron braquimetatarsias bilaterales 3 pacientes (60%). Una de ellas además presentaba 2 metatarsianos (tercer y cuarto) afectados en el mismo pie. El cuarto metatarsiano fue el más frecuentemente afectado (80%), mientras que los 2 casos restantes correspondían a un acortamiento del tercer metatarsiano.
Los síntomas más frecuentes fueron metatarsalgia de transferencia con hiperqueratosis plantar (todos los casos) y dolor por elevación dorsal del dedo afectado (2 pacientes).
El grupo A (5 metatarsianos) fue tratado mediante osteogénesis por distracción con fijador externo y el grupo B (5 metatarsianos) con alargamiento en un tiempo con injerto autólogo de peroné y fijación con placa bloqueada. La duración media del seguimiento posquirúrgico fue de 2 años.
La ganancia media de alargamiento en el grupo A fue de 16,82 ± 1,48 mm [15,10-18,40] (38,80% ± 7,69 [32-51%]), mientras que en el grupo B fue de 14,16 ± 2,41 mm [12-17,20] (29,60% ± 7,92 [22-39%]), sin que existieran diferencias estadísticamente significativas (p = 0,06 y p = 0,10, respectivamente).
El periodo medio de alargamiento (grupo A) fue de 6,74 semanas ± 2,26 [4-10,14]. La duración media del fijador externo, desde que se implantó hasta su retirada, fue de 25,12 ± 13,03 semanas [13-47]. El IFE medio fue de 107,21 ± 64,31 días/cm [58,33-217,88]. El tiempo medio de consolidación fue de 38,00 ± 16,38 semanas [21-63] en el grupo A y de 15,42 ± 3,52 semanas [12,85-19,28] en el grupo B. En este caso sí que existieron diferencias estadísticamente significativas (p = 0,017). Por último, el IC fue de 160,10 ± 78,46 días/cm [94,23-292,05] en el grupo A y de 75,72 ± 5,17 días/cm [69,23-82,82] en el grupo B, siendo las diferencias estadísticamente significativas (p = 0,043) (Tabla 1).

De los 10 metatarsianos, 5 (50%) desarrollaron complicaciones. En el grupo A, una paciente presentó una deformidad en flexión del 4.º dedo en ambos pies, que se solucionó con tenotomía percutánea del flexor. Otra paciente de dicho grupo sufrió una fractura sobre el regenerado óseo de la zona de alargamiento con rotura de los pines proximales del fijador. Requirió una nueva cirugía para reposicionamiento de unos nuevos pines, lo que alargó la duración de la fijación externa y el tiempo de consolidación.
En el grupo B, en un caso se produjo la rotura de la placa sin afectación de la osteointegración del injerto, que requirió la extracción de esta por molestias. Otra paciente intervenida de ambos pies desarrolló una pseudoartrosis asintomática asociada a rigidez de la 4.ª articulación metatarsofalángica en el pie izquierdo.
El resto de los casos lograron un alargamiento y una consolidación ósea satisfactorios.
Todas las pacientes del grupo A estaban satisfechas con el resultado obtenido, dejaron de tener dolor y pudieron realizar una actividad normal. Todas las pacientes del grupo B obtuvieron buenos resultados excepto una, ya que en ocasiones tenía molestias en la zona de la toma de injerto y de alargamiento y rigidez de la movilidad de la articulación metatarsofalángica.
Discusión
Dada la baja prevalencia de la braquimetatarsia congénita, existen pocos estudios que analicen los resultados de distintas técnicas quirúrgicas. La corrección quirúrgica tiene 3 objetivos principales, eliminar el dolor, corregir las deformidades limitantes y restaurar una parábola metatarsiana funcional. Se deben evaluar variables como el número de radios afectados, la técnica de alargamiento indicada, la longitud de alargamiento teórica, el tipo de injerto óseo y el papel de los tejidos blandos y de la piel(1). Las numerosas técnicas quirúrgicas de alargamiento óseo descritas tradicionalmente se dividen en 2 grandes grupos: alargamiento en un solo tiempo y alargamiento gradual.
El alargamiento metatarsiano en un tiempo fue descrito por primera vez en 1969 por McGlamry y Cooper(5) que utilizaron injerto autólogo de calcáneo. Desde entonces, se han descrito diferentes alternativas: osteotomía de alargamiento sin injerto y osteotomía con interposición de hueso autólogo, sustitutos sintéticos o aloinjerto. Shecaira(6) realiza una osteotomía de deslizamiento en Z sin injerto óseo, asociado a acortamiento de los metatarsianos adyacentes, sobre todo en braquimetatarsias postraumáticas. En nuestra serie se prefirió utilizar como autoinjerto el peroné para evitar la morbilidad asociada a la obtención de injerto de cresta ilíaca, por la morfología curvilínea del peroné y el tipo de tejido óseo más similar al del metatarsiano, evitando así la necesidad de moldeado, y por la proximidad quirúrgica al pie. Esta es la técnica que utilizó Wayzy(4) en 8 pies de 5 pacientes, consiguiendo una elongación media de 9,01 mm (20,3%), siendo menor que la alcanzada en nuestra serie (14,16 mm, 29,6%). En nuestra serie, en 2 metatarsianos se realizó un alargamiento en un tiempo mayor de 15 mm sin que se produjeran complicaciones importantes, excepto la rotura de la placa que se solucionó retirándola por molestias. Los resultados fueron buenos, aunque observó una disminución de la movilidad de la articulación metatarsofalángica. Sin embargo, el tiempo de consolidación fue más corto, con resultados similares radiográfica y clínicamente a la distracción gradual. En el presente estudio, el tiempo de consolidación en los casos tratados con injerto también fue menor que en los de fijación externa (15,42 vs. 38 semanas).
En general, las técnicas en un tiempo se ven limitadas por la distensión de los tejidos blandos por lo que tienen menor capacidad para alargar, requieren de inmovilización prolongada y existe riesgo de resorción del injerto. Por el contrario, tienen menor incidencia de infección y de pseudoartrosis o no unión, y duración del tratamiento más corta. También se puede obtener el autoinjerto del metatarsiano adyacente(7,8) y asociar un acortamiento de este(7). Otra opción es el uso de aloinjertos, aunque su capacidad de cicatrización puede no ser tan buena(9).
El alargamiento gradual por callotasis fue la técnica de elección en este estudio en los casos de acortamiento mayor de 15 mm, aunque hubo pacientes que rechazaron el tratamiento con fijador externo y finalmente se realizó un alargamiento agudo. Su ventaja principal es el alargamiento simultáneo de tejidos blandos y estructuras neurovasculares. Además, cuando está completamente curado, el hueso regenerado es anatómica e histológicamente indistinguible de los metatarsianos adyacentes(10). Las posibles complicaciones incluyen rigidez o subluxación de la articulación metatarsofalángica, deformidad en flexión del dedo, mayor tiempo para la consolidación ósea, fusión precoz del callo, fractura del regenerado, cicatrización hipertrófica e infección o rotura de los pines(11). La rigidez articular y la subluxación/luxación de la metatarsofalángica pueden evitarse limitando el alargamiento al 40% o menos de la longitud original(12). En un caso de nuestra serie, se alargó un metatarso hasta un 51% mediante callotasis sin complicaciones. Por el contrario, una paciente con alargamientos del 41 y el 33% en cada pie, respectivamente, desarrolló un flexo del 4.º dedo bilateral que requirió tenotomía percutánea del flexor.
Lamm(13) describe una osteotomía percutánea con alargamiento posterior con fijador externo, lo que reduce los problemas de cicatrización y mejora la regeneración ósea gracias a las partículas de médula ósea producidas. En nuestro estudio, la osteotomía se realizó de forma abierta en todos los casos, dada la escasa longitud del metatarsiano a alargar.
En el estudio de Sanpera(14) se presentan los resultados obtenidos en 8 metatarsianos tratados mediante alargamiento por callotasis. Consigue un alargamiento de 16,5 mm de media y un 47%, resultados similares a los de nuestra serie. Describe como complicaciones 2 casos de elongación insuficiente, angulación del metatarsiano durante la fase de alargamiento y un caso de pseudoartrosis por rotura de los tornillos del fijador externo que requirió injerto óseo. Los resultados globales fueron muy buenos o buenos clínicamente en 6 casos. García Paños(15) también presenta una serie de 8 pies con braquimetatarsia tratados con osteogénesis por distracción con fijador externo a una velocidad de 0,5 mm al día (un cuarto de vuelta cada 12 h), consiguiendo un alargamiento medio de 21 mm y un 46,1%, mayor que en nuestro estudio, con un IC de 71,2 días/cm, mucho menor que en nuestra casuística (160,10 días/cm). Esto podría ser debido a que la osteotomía en nuestra serie se realizó mediante un abordaje abierto, mientras que García-Paños realiza una miniincisión, y a que en un caso se produjo la rotura de los pines, por lo que se tuvo que realizar una segunda cirugía para implantar unos nuevos y se alargó mucho el IC (292,05 días/cm). Describe como complicaciones la rigidez de la metatarsofalángica (33,3%), un caso de infección de los pines, otro caso de fractura del regenerado sin rotura de los pines y un retardo de consolidación.
Según Machado(16), alargamientos con una velocidad mayor de 1 mm al día resultan dolorosos, excesiva tensión de tejidos blandos y luxación articular, por lo que realiza un alargamiento de 0,5 mm al día, al igual que en nuestra serie. Fuiano(17) recomienda prestar especial atención a alargamientos de mas de 20 mm por el riesgo de rigidez de la articulación metatarsofalángica y enfatiza que son fundamentales los ejercicios de movilización precoz, así como evitar la carga inicial para evitar la fractura del callo. En nuestra serie se evitó la carga inicial y aun así se produjo un caso de fractura del regenerado y de los pines a los 3 meses de la cirugía.
Fuiano(17) presenta una serie de 13 pies con un alargamiento medio de 16,8 mm, similares a los de nuestro trabajo, aunque con una duración del fijador externo menor (75,4 días), probablemente debido a que el caso de fractura del regenerado y de los pines del fijador alargó mucho el tiempo medio de consolidación. Song(18), en su serie de 22 casos tratados mediante elongación con osteogénesis por distracción, consigue también una longitud media de 16,5 mm y 38,9%, similar a la de nuestra serie, aunque con un IC también menor de 72,9 días/cm, con unos resultados excelentes y buenos en todos los casos excepto uno. Tuvo 3 casos de deformidad angular asintomática y 2 de infección superficial de los pines. Recalca que en los pacientes menores de 15 años se obtuvieron mejores resultados funcionales con menores IC (67,4 días/cm), lo que no ocurrió en nuestras pacientes. Este autor permite la carga parcial tan pronto como sea posible por el dolor. Concluye que con alargamientos mayores del 40% se obtienen peores resultados y son la principal causa de subluxación metatarsofalángica, por lo que es importante los procedimientos preventivos como alargamientos tendinosos, capsuloplastia y fijación temporal articular, como se realizaron en la presente serie.
Barik(19) consigue una media de elongación de 15,9 mm con una duración total del alargamiento de entre 53 y 173 días, con un IC de 36-127 días/cm, menor que en nuestro estudio (94,23-292,05 días/cm), un índice de consolidación de 26-111 días, también menor (147-441 días en nuestra serie), y una tasa de complicaciones de un 19,5%, menor también.
Es interesante el trabajo de Kitabata(20), que utiliza para el alargamiento un distractor interno (NAVID System) que se coloca bajo la piel, en el periostio y canalizado interdigitalmente, de manera que solo está expuesto el eje para el alargamiento y, al acabar la distracción, se corta la parte expuesta de la varilla y se mantiene 6 meses. Las ventajas son que los pacientes pueden llevar zapatos durante el periodo de consolidación y previene el reacortamiento tras la retirada, pero los inconvenientes son el riesgo de infección de la parte canalizada y la intervención adicional para extraerlo.
Hay pocas series que comparen ambas modalidades. Lee(9) compara 3 enfoques quirúrgicos para la corrección de la braquimetatarsia en un análisis retrospectivo de 106 pacientes (153 pies). Concluye que el alargamiento gradual mediante osteogénesis por distracción proporciona los resultados más fiables, de forma que recomienda el alargamiento en un tiempo en aquellos pacientes que requieran un alargamiento menor del 25%. Giannini(21) evalúa el resultado de la interposición de injerto óseo autólogo en una etapa en 29 pacientes. Concluye que es un buen método, ya que la morbilidad postoperatoria es baja y el tiempo de recuperación es corto, tal y como se demuestra también en nuestra serie.
Kim(1) considera que una longitud objetivo de más de 15 mm puede requerir asociar un acortamiento del/los metatarsiano/s adyacente/s minimizando la cantidad de alargamiento requerido. También recomienda que la cantidad de alargamiento debe limitarse a menos del 40% de la longitud original del hueso y que el alargamiento en un tiempo se puede realizar de forma segura cuando la longitud objetivo es inferior a 15 mm. Emplea la técnica de callotasis en aquellos pacientes en los que se estima un alargamiento superior al 50%. En nuestro caso, se alargó en un tiempo 16 y 17 mm en 2 pies sin presentar complicaciones.
Jones(22) realiza una revisión sistemática de 61 estudios donde muestra que la distracción progresiva tiene una mayor tasa de complicaciones que el alargamiento en un tiempo o el tratamiento combinado. La tasa general de complicaciones con la distracción fue del 51,80% en comparación con el 19,48% con el alargamiento en una sola etapa y el 44,44% para el tratamiento combinado. La distracción permitió ganar más longitud, pero se tardó casi el doble de tiempo en sanar. Concluye que el alargamiento en una sola etapa con injerto óseo reduce la incidencia de complicaciones con una curación más rápida que la distracción del callo, pero con menor longitud ganada. Estos resultados concuerdan con nuestros hallazgos, puesto que se encontraron más complicaciones en los pacientes tratados con alargamiento gradual con fijador (60%) que con el alargamiento agudo con injerto (40%).
La limitación principal de este estudio es que se trata de una muestra de tamaño pequeño, de carácter retrospectivo y de tipo serie de casos, por lo que ante la ausencia de un grupo control no se puede evaluar una asociación estadística. Sería recomendable realizar un estudio con un mayor número de casos, a más largo plazo, para concretar mejor las indicaciones de cada técnica quirúrgica y la tasa de complicaciones de cada una.
En conclusión, el alargamiento mediante injerto autólogo y placa atornillada es una técnica con escasas complicaciones que se puede utilizar de forma segura cuando el objetivo del alargamiento es conseguir una longitud menor al 30% de la inicial. En cambio, la técnica de alargamiento por callotasis mediante fijador externo permite corregir mayor longitud, pero presenta una incidencia más alta de complicaciones y un periodo más largo de recuperación.
Conflicto de intereses: ninguno.
La presente investigación no ha recibido ayudas específicas provenientes de agencias del sector público, del sector comercial o entidades sin ánimo de lucro.