Introducción
Las fracturas de tobillo son las más comunes de una articulación de carga(1,2). La sindesmosis tibiofibular distal se lesiona en aproximadamente el 20 al 45% de todas las fracturas de tobillo tratadas quirúrgicamente(3,4).
El mecanismo más frecuente de producción de las fracturas Danis Weber de tipo C es la pronación-rotación externa, el cual lleva a una lesión secuencial de las estructuras mediales, ligamentos de la sindesmosis, y se puede asociar con fracturas del maléolo posterior(5).
Estudios biomecánicos han demostrado que la traslación lateral de 1 a 2 mm, el acortamiento de 2 mm y la rotación externa de 5° de la fíbula distal genera una distribución no fisiológica de las cargas en la articulación del tobillo(6,7,8). Una inestabilidad sindesmal con una diástasis mayor de 2 mm en comparación con el tobillo sano podría ser considerada una deformidad preartrósica(9). El desarrollo de artrosis postraumática y pobres resultados funcionales son más comunes en pacientes con diástasis tibiofibular(10).
Existe evidencia de que la reducción anatómica de la fíbula dentro de su incisura es el factor pronóstico aislado más importante en el tratamiento de las fracturas de tobillo con disrupción de la sindesmosis(11,12,13,14).
La restauración de la longitud y la rotación adecuadas de la fíbula puede lograrse con la reducción abierta y la fijación estable. Sin embargo, en fracturas proximales o mediodiafisarias, la fijación interna aumenta el riesgo de complicaciones, entre ellas la lesión del nervio peroneo, la infección, la intolerancia y el fallo del implante, y la tendinitis de los peroneos. Por tal motivo, el restablecimiento de la longitud y la rotación de la fíbula puede lograrse sin fijación interna de la fractura, indirectamente, mediante la fijación estable de la sindesmosis(15).
A pesar de que existe un consenso general en tratar de manera quirúrgica las fracturas suprasindesmales del tobillo, existe escasa evidencia publicada en el manejo de las fracturas Weber C altas(16), es decir, las diafisarias y del tercio proximal. Las Weber C bajas o fracturas de Dupuytren, que ocurren de 4 a 7 cm por encima de la articulación del tobillo, son tratadas mediante osteosíntesis(17).
El objetivo primario que nos planteamos en el siguiente trabajo fue evaluar radiológicamente la reducción de la mortaja tibiofibular en aquellas fracturas Weber C altas en donde se llevó a cabo la fijación sindesmal aislada. Nuestra hipótesis fue que esto es posible sin necesidad de abordar el foco de la fractura independientemente del nivel de este.
Secundariamente, determinar las lesiones asociadas y su tratamiento, la aparición de complicaciones, entre ellas cambios degenerativos en el seguimiento a corto-mediano plazo y registrar los resultados obtenidos con la puntuación de la American Orthopaedic Foot and Ankle Society (AOFAS) al final del seguimiento.
Material y métodos
Llevamos a cabo un estudio retrospectivo descriptivo en el que evaluamos una serie de casos de pacientes con fracturas de tobillo Weber C operados por el equipo de tobillo y pie de nuestra institución en el periodo comprendido entre junio de 2018 y junio de 2021.
Incluimos:
- Mayores de 18 años.
- Fracturas de peroné diafisarias y del extremo proximal con disrupción de la sindesmosis tibiofibular.
- Fracturas agudas (menos de 15 días de evolución).
- Reducción y fijación sindesmal aislada (sin osteosíntesis de la fractura del peroné).
- Fijación rígida con placa y tornillos suprasindesmales.
- Al menos 1 año de seguimiento.
Excluimos:
- Aquellos pacientes con comorbilidades que contraindicaban la cirugía (diabetes mal controlada, enfermedad vascular periférica).
- Lesiones sindesmales puras.
- Reducción abierta y fijación interna de la fractura fibular (Weber C bajas).
- Fractura de tobillo previa.
- Fractura de tobillo contralateral.
- Fracturas expuestas.
- Fractura extraarticular de la tibia distal y/o del pilón tibial asociada.
- Diagnóstico tardío (más de 15 días de evolución).
Del total de 46 pacientes con fracturas Weber C operados en el periodo mencionado, 19 cumplieron con los criterios de inclusión del trabajo y conformaron nuestra población de estudio.
Registramos el sexo, la edad y las comorbilidades de los pacientes.
Desde el punto de vista epidemiológico, dividimos la muestra en fracturas Weber C diafisarias y fracturas de Maisonneuve (fracturas de la cabeza de la fíbula o subcapitales según Michal Tuček et al.)(5)(Figura 1).

Documentamos el lado afectado y la presencia de lesiones asociadas, así como también el tipo de fijación interna utilizado.
En todos los pacientes se realizaron radiografías de frente y perfil del tobillo y la pierna afectados y mortaja comparativa en carga de ambos tobillos.
El manejo inicial en todos los casos consistió en la reducción cerrada y la colocación de una bota corta de yeso, seguidas de radiografías de frente y perfil del tobillo para constatar la reducción articular y una tomografía axial computarizada comparativa para evaluar lesiones asociadas, diástasis tibiofibular y la posición de la fíbula en su incisura. Utilizamos la clasificación de Bartoníček y Rammelt(18) para definir los distintos tipos de fracturas de maléolo posterior.
Una vez constatado el signo de la arruga en el tobillo y el buen estado de las partes blandas, se realizó el procedimiento quirúrgico.
Técnica quirúrgica
La cirugía se lleva a cabo con el paciente en decúbito supino, previo bloqueo nervioso periférico del miembro afectado y/o raquídeo, y la colocación de manguito hemostático en el muslo. Se constata la inestabilidad sindesmal bajo intensificador de imágenes mediante las maniobras de estrés en rotación externa y el test de Cotton.
En caso de necesitar reducir y fijar una fractura del maléolo posterior, el primer paso de la cirugía consiste en realizar la osteosíntesis de este a través de un abordaje posterior con el paciente en decúbito prono. Evaluamos nuevamente la estabilidad de la sindesmosis y, de persistir inestable o asociarse a otras lesiones, pasamos al decúbito supino y proseguimos con la cirugía.
Si coexiste una fractura del maléolo medial, se realiza la reducción abierta y la fijación interna mediante tornillos canulados de rosca parcial de 4,0 mm según el tamaño del fragmento.
En los casos de lesión del ligamento deltoideo, se lleva a cabo la reparación de este con 1 o 2 arpones de 5 mm de doble sutura anclados al maléolo medial.
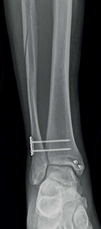
Posteriormente, se realiza una incisión lateral de tobillo de 4 a 5 cm centrada en la sindesmosis tibiofibular. Se confirma la lesión sindesmal bajo visión directa y mediante el test del gancho. Se efectúa el desbridamiento de posibles fragmentos óseos interpuestos entre la tibia y la fíbula. La maniobra de reducción consiste en la tracción en el eje y la rotación interna de la fíbula mediante una pinza Backhouse, manteniendo en posición con un clamp óseo entre la tibia y la fíbula distal exactamente en el eje de la articulación tibiotalar. La posición correcta de la fíbula en su incisura se logra al alinear el tubérculo de Tillaux-Chaput con el tubérculo de Le Fort-Wagstaffe en el plano axial bajo visión directa. Se constata la reducción tibiofibular bajo intensificador de imágenes. Se realiza la fijación sindesmal con una placa de 3,5 mm con 2 tornillos tricorticales de posición (Figura 2).

Manejo postoperatorio
Utilizamos una bota corta de yeso durante las primeras 2 o 3 semanas para el control de la herida y las partes blandas. Solicitamos de manera rutinaria radiografías de frente y perfil del tobillo operado en el postoperatorio inmediato.
Realizamos controles semanales de la herida hasta la retirada de los puntos de sutura a las 3 semanas aproximadamente, momento en el cual retiramos el yeso y colocamos una venda elástica y una bota plástica. Aconsejamos la retirada de esta para iniciar ejercicios de movilidad de tobillo y fisioterapia.
Indicamos el inicio de la carga parcial progresiva con bota plástica y muletas según la evolución clínico-radiológica. En promedio a la quinta o sexta semana.
Retiramos los tornillos suprasindesmales entre la semana 8 y la 12 postoperatorias una vez constatada la consolidación de las fracturas, momento en el cual alternamos el uso de la bota plástica.
Solicitamos radiografías de frente y perfil de tobillo en carga al mes, a los 2, 3, 6 y 12 meses. A partir del tercer mes, radiografías de frente y perfil de tobillo con carga comparativas. Se continúa el seguimiento con controles anuales.
Exceptuando casos puntuales, recomendamos retomar una actividad de bajo impacto a partir del tercer mes y de contacto a partir de los 6 meses.
Evaluación radiológica
Realizamos las siguientes mediciones radiológicas en la proyección de mortaja del tobillo (rotación interna de 20°) antes de la cirugía, en el tobillo afectado y en el sano, y al final del seguimiento (Figura 3):
- Espacio claro medial (ECM).
- Espacio claro tibiofibular (ECTF).
- Ángulo cruromaleolar (ACM).
Todas las mediciones fueron llevadas a cabo por un único examinador, el becario del equipo, entrenado en cirugía de tobillo y pie. Se utilizó un programa computarizado (Synapse® Picture Archiving and Communication System). Todas las imágenes fueron digitales. Se midió el ECM y el ECTF en mm y el ACM en grados, siendo sus valores normales(19):
- ECM ≤ 4 mm.
- ECTF < 6 mm.
- ACM = 12 a 14°.
Se registró el promedio en mm de la medición del ECM y el ECTF, y en grados del ACM, en el tobillo sano y en el tobillo fracturado antes de la cirugía y al final del seguimiento.

Evaluamos los resultados funcionales a través de la puntuación de la AOFAS de tobillo y retropié(20) al final del seguimiento, que valora el dolor (40 puntos), la función (50 puntos) y la alineación (10 puntos). A mayor puntuación, mejor resultado obtenido.
Por último, tomamos nota de las complicaciones derivadas del tratamiento, entre ellas la aparición de signos degenerativos a corto-mediano plazo.
Se realizó el análisis estadístico descriptivo para todas las variables.
Para las variables de tipo categórico el análisis se efectuó mediante tablas de frecuencia observada y porcentual. En el caso de las variables cuantitativas se verificó que los datos cumplan con los requerimientos paramétricos (prueba de Levene y Shapiro-Wilk, ambas p mayores de 0,05). Para la comparación de medias entre las variables cuantitativas de interés se utilizó el método estadístico test T de Student para muestras independientes utilizando un valor alfa de 0,05. Se realizaron pruebas bilaterales. Para el análisis de los datos se utilizó el programa Infostat/E, versión 2020.
Resultados
Del total de la muestra (19 pacientes), 15 (79%) eran varones y 4 (21%) mujeres. La edad promedio al momento del procedimiento quirúrgico fue de 46,7 años (19-81). El 63% (12 pacientes) no tenían comorbilidades asociadas. Entre las patologías más prevalentes, se encontraban la hipertensión arterial, la obesidad, el hipotiroidismo y la dislipidemia.
En cuanto al tipo de fractura fibular, 10 (52,6%) fueron diafisarias y 9 (47,4%) de Maisonneuve. Un total de 9 pacientes presentaban fracturas del lado derecho y 10 del izquierdo.
La lesión asociada más frecuente fue la rotura del ligamento deltoideo en 13 casos (68,4%), seguido del maléolo posterior en 11 (57,9%), el maléolo medial en 5 (26,3%) y el tubérculo de Tillaux-Chaput en 1. Tuvimos 6 casos de fracturas del maléolo posterior de tipo 1 de la clasificación de Bartoníček y Rammelt(3), 3 de tipo 2, 2 de tipo 3 y ninguna de tipo 4. La mayoría fueron del tipo avulsivo (tipo 1 y 2) en concordancia con el mecanismo de producción más frecuente de las fracturas suprasindesmales (rotacional).
En todos los pacientes de esta serie utilizamos el mismo método de fijación sindesmal, 1 placa de 3,5 mm con 2 tornillos tricorticales de posición según la técnica quirúrgica descrita previamente. En tan solo 2 casos se utilizó 1 arpón de doble sutura; en el resto de las lesiones del ligamento deltoideo se emplearon 2. Todas las fracturas de maléolo medial de fijaron con 2 tornillos de rosca parcial de 4,0 mm. Tres fracturas (15,7%) de tipo 2 del maléolo posterior requirieron ser fijadas a través de un abordaje posterolateral al hallarse desplazadas más de 3 mm en la tomografía preoperatoria.
En cuanto a la evaluación radiológica, comparamos los datos obtenidos del ECM en el tobillo sano (CM TS) con el ECM del tobillo fracturado (CM TF) en las radiografías preoperatorias en carga. Encontramos una evidencia estadísticamente significativa (p = 0,000303184), es decir, las medias CM TS (mm) y CM TF (mm) fueron distintas.
Respecto al CM TS comparado con el ECM postoperatorio (CM PO), las medias fueron, respectivamente, 2,85 y 3,00 mm. No existió evidencia estadísticamente significativa (p > 0,05), las medias de CM TS (mm) y CM PO (mm) fueron iguales (Tabla 1).

Comparamos el ECM preoperatorio con el postoperatorio y observamos una disminución estadísticamente significativa en este último (p = 0,000422669) (Tabla 2).

Al analizar el ECTF en el tobillo sano (CTF TS) versus el ECTF en el tobillo fracturado (CTF TF), la diferencia fue estadísticamente significativa (p = 0,02363472).
Al comparar el CTF TS con el ECTF postoperatorio (CTF PO), notamos que la diferencia no fue estadísticamente significativa (4,31 y 4,38 mm, respectivamente) (p > 0,05) (Tabla 3). Por otro lado, al comparar el CTF TF con el CTF PO, no evidenciamos diferencias estadísticamente significativas (p > 0,05).

El ACM promedio en el tobillo sano fue de 12,37°, en el fracturado de 10,68° y en el postoperatorio de 12,16° (Figura 4).

El seguimiento promedio fue de 22,5 meses (12-36). Al finalizar este, se realizó la valoración funcional a través de la puntuación de la AOFAS de tobillo y retropié(20), siendo en promedio de 85,7 puntos (65-100). En el 95% de los pacientes registramos un AOFAS por encima del 70% (Figura 5).

El 78,9% de los casos (15 pacientes) cursaron su postoperatorio sin mediar intercurrencias.
Tuvimos 1 caso (caso 7) de fatiga del material de osteosíntesis, el cual evolucionó de manera favorable después de su extracción.
Otro paciente (caso 11) sufrió una pérdida de reducción de la fractura del maléolo medial desarrollando signos de degeneración articular en el seguimiento; se trataba de un paciente de 72 años, hipertenso y cardiópata, con una mala calidad ósea. A pesar de ello, se encuentra asintomático.
Una paciente de 69 años (caso 14) con antecedentes de hipertensión arterial y distrofia muscular, con una fractura de Maisonneuve asociada con fractura del maléolo medial, del maléolo posterior y fractura de Tillaux evolucionó con signos degenerativos a 2 años de seguimiento. Casualmente, fue el caso que registró el peor AOFAS postoperatorio (65 puntos). Dada su baja demanda funcional, no requirió una cirugía de revisión.

Por último, observamos 1 solo caso (caso 15) (Figura 6) de diástasis tibiofibular tras la retirada del material de osteosíntesis a las 8 semanas postoperatorias, en un varón de 55 años con una fractura segmentaria diafisaria. Revisando minuciosamente los controles postoperatorios, pudimos advertir que la fractura no estaba completamente consolidada al momento de la extracción de los tornillos suprasindesmales. Se planteó realizar una cirugía de revisión para evitar una artrosis futura, pero el paciente no accedió, al encontrase prácticamente asintomático.
Discusión
Las fracturas suprasindesmales son consideradas las fracturas de tobillo de peor pronóstico. Por tal motivo, restaurar la relación tibiofibular adecuada es fundamental para obtener buenos resultados clínicos(21).
Una inestabilidad sindesmal con una diástasis mayor de 2 mm en comparación con el tobillo sano podría ser considerada una deformidad preartrósica(9). En nuestra serie no encontramos diferencias significativas entre el ECTF del tobillo fracturado y del postoperatorio. Al ser el valor de p muy cercano al valor de alfa, pensamos que pudo haber sido por el tamaño de la muestra de nuestra serie, lo que nos motiva a aumentar la cantidad de casos que evaluar en un futuro.
Existe consenso entre los cirujanos ortopédicos en el manejo quirúrgico de las fracturas Weber C. Sin embargo, hay escasa evidencia y protocolos estandarizados de tratamiento. En general las fracturas suprasindesmales bajas son tratadas con reducción abierta y fijación interna. Las fracturas diafisarias o proximales conllevan el riesgo de complicaciones, principalmente la lesión del nervio peroneo. Por tal motivo, es posible restaurar la longitud y la rotación adecuada de la fíbula a través de la fijación estable de la sindesmosis tibiofibular distal(1,22). Recalcamos la importancia de realizar la reducción sindesmal bajo visión directa a través de un abordaje lateral. De esta manera, podemos alinear el tubérculo de Tillaux-Chaput con el tubérculo de Le Fort-Wagstaffe, tal como sugieren Rammelt y Zwipp(23). Por otro lado, evitamos un abordaje adicional y disminuimos el riesgo de complicaciones, entre ellas la mala reducción de la fíbula en su incisura.
Los 3 métodos de medición radiográfica más empleados para evaluar la sindesmosis tibiofibular distal son el ECM, el ECTF y el solapamiento tibiofibular. Sus valores normales son; ≤ 4, < 6 y ≥ 6 mm, respectivamente. Como los 2 últimos son indirectamente proporcionales, en nuestra serie no incluimos el solapamiento y sí consideramos añadir el ACM para valorar la longitud fibular.
Numerosas publicaciones han demostrado que la evaluación exacta de la reducción sindesmal es difícil de determinar con la fluoroscopia o las radiografías. Los porcentajes de mala reducción con las radiografías postoperatorias son de entre un 0 y un 16%. Estos aumentan sustancialmente, entre el 22 y el 52%, cuando utilizamos como método de diagnóstico la tomografía postoperatoria(22,23,24,25). A pesar de que es una limitación de nuestro trabajo no haber utilizado el control tomográfico postoperatorio, consideramos que haber reducido bajo visión directa la sindesmosis fue el factor determinante en los buenos resultados obtenidos con las mediciones radiográficas.
En un trabajo publicado en el año 2010 en la Foot and Ankle International, Pelton et al.(26) evaluaron 12 fracturas desplazadas de la fíbula proximal con lesión sindesmal asociada. A 8 las trataron mediante reducción cerrada y fijación percutánea de la sindesmosis, y a 4 les realizaron la fijación interna con placa de la fractura proximal más la fijación percutánea de la sindesmosis con tornillos. Los autores encontraron un porcentaje inaceptable de malas reducciones en el grupo cerrado con fijación percutánea, por lo que decidieron abandonar dicha práctica. A su vez, el autor principal recomienda realizar la reducción sindesmal bajo visión directa, tal como hemos descrito previamente en nuestro trabajo. Asimismo, los autores reportan un aumento del ángulo talocrural en el grupo abierto versus el grupo cerrado, sugiriendo una sobrecorrección de la longitud de la fíbula. Cabe destacar que no utilizaron radiografías del tobillo sano para realizar la comparación, a diferencia de nuestro protocolo de estudio.
Mohammed et al.(27) realizaron la fijación sindesmal aislada en 12 pacientes con fracturas Weber C reportando buenos a excelentes resultados en el 83% de los casos. Utilizaron la puntuación de Olerud y Molander. Nosotros utilizamos la de la AOFAS, obteniendo un promedio de 85,7 puntos. A diferencia de nuestra serie, los autores realizaron la fijación a través de una incisión miniinvasiva y con tan solo 1 tornillo tricortical. A su vez, no detallan la evaluación radiográfica utilizada.
Según el estudio cadavérico de Gardner et al.(28) de 2013, una placa bloqueada de 2 orificios con 2 tornillos de 3,2 mm proporciona una estabilidad significativamente mayor a la sindesmosis al compararla con la fijación con 1 tornillo cuadricortical de 4,5 mm. Cabe destacar que, en concordancia con dicho autor, empleamos una reparación similar asociada a la restitución de la estabilidad medial en todos los casos, ya sea a través de la fijación interna de la fractura del maléolo medial o la plástica ligamentosa del deltoideo (fundamental estabilizador de la traslación lateral del talo). Es probable que por tal motivo no hayamos observado ningún caso de diástasis del ECM en nuestros pacientes en el postoperatorio.
Sipahioglu et al.(29) en 2017 publicaron una serie de fracturas Weber C en 23 pacientes en donde se realizó la fijación sindesmal aislada con un seguimiento promedio de 49 meses. Reportan buenos resultados con la estabilización mediante 1 tornillo maleolar sindesmal tricortical a través de una incisión mínima lateral y bajo control con intensificador de imágenes. Al igual que el trabajo de Pelton et al.(26), no realizaron mediciones radiográficas en el tobillo sano.
Según nuestro conocimiento, existe escasa evidencia de reducciones sindesmales aisladas en fracturas suprasindesmales. No encontramos en la literatura un consenso en el manejo quirúrgico de estas lesiones, describiéndose diferentes tipos de reducciones (percutánea, mínimamente invasiva o abierta) y fijaciones sindesmales (1 o 2 tornillos, placa y tornillos) con métodos de evaluación clínico-radiológicos y resultados dispares (Tabla 4).
Por último, realizamos un detallado análisis de las complicaciones: 3 pacientes desarrollaron cierto grado de degeneración articular en el seguimiento radiológico, sin requerir al momento de la realización de este trabajo algún procedimiento de revisión. Al igual que Mohammed et al.(27) tuvimos 1 solo caso de diástasis tibiofibular tras la extracción de los tornillos. Por ello, recomendamos, tal y como advierte Ebraheim et al.(30), retirar el implante una vez confirmada la consolidación de la fractura, sobre todo en aquellos pacientes con lesión del ligamento deltoideo.
Nuestro estudio tiene limitaciones, entre ellas, el carácter retrospectivo, el tamaño de la muestra, el seguimiento relativamente corto y la falta de control tomográfico en el postoperatorio.
Por otra parte, podemos enumerar a nuestro criterio varias fortalezas: realizamos mediciones radiográficas comparativas ampliamente utilizadas y avaladas en la literatura, describimos de manera precisa las lesiones asociadas, así como también los métodos de fijación empleados. En todos los casos utilizamos el mismo tipo de fijación sindesmal, describiendo minuciosamente la técnica quirúrgica empleada por el mismo equipo quirúrgico.
Conclusión
De los datos y el análisis llevados a cabo en nuestro trabajo, podemos afirmar que es posible restaurar la congruencia articular tibiofibular al reducir y fijar de manera aislada la sindesmosis sin necesidad de abordar las fracturas suprasindesmales del tobillo. Para ello, consideramos imprescindible la reducción abierta bajo visión directa.