Introducción
El hallux valgus (HV) es una deformación del antepié cuya prevalencia estimada a nivel mundial en la población general alcanza el 25%(1).
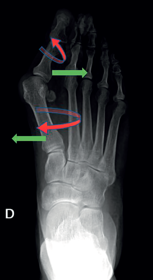
Consiste en una alteración de la articulación metatarsofalángica (MTF) del primer radio del pie. Es una deformidad compleja que incluye, por un lado, la desviación del primer dedo del pie (hallux o dedo gordo) hacia el resto del pie, alejándolo de la línea media del cuerpo (abducto), con una rotación en el plano frontal (pronación del primer dedo). Por otro lado, también incluye la desviación del primer metatarsiano (M1), aproximándolo a la línea media del cuerpo (varo de M1), con una pequeña rotación externa, como se puede ver en la Figura 1. Esta modificación de la articulación afecta a todas las estructuras anatómicas próximas, como la cápsula articular, los ligamentos colaterales, los huesos sesamoideos, la musculatura intrínseca y la extrínseca)(2).

Con respecto a su etiología, el origen de esta dolencia es multifactorial. Existe una base genética, pero la causa que se considera principal es el uso de calzado. Este uso de calzado afecta, más que por el confinamiento y la presión que ejerce sobre el antepié, como pudiera ser la idea más extendida, por la atrofia muscular consecuencia de la inactividad de los dedos. Otra causa que se asocia al HV son los síndromes que cursan con hiperlaxitud ligamentosa, que sería el origen de la insuficiencia capsuloligamentosa medial en la articulación MTF o de la inestabilidad de la articulación cuneometatarsiana, la cual asociaría el HV con un pie plano adquirido en la edad adulta(3).
La clínica predominante del HV está representada por deformidad y dolor. Estos se pueden encontrar localizados en torno al bunion y el primer dedo o, por el contrario, aparecer como metatarsalgia secundaria, afectando al antepié en su totalidad. Además, otro motivo de consulta habitual es la dificultad para calzarse o incluso la sensación de parestesias en el primer dedo por afectación de la rama capsular del nervio cutáneo dorsomedial del hallux(4).
Al realizar una exploración física se debe valorar el nivel de deformidad, la existencia de hiperqueratosis plantares, que serían indicativas de sobrecarga metatarsal, y la posible presencia de deformaciones asociadas en los dedos menores, así como bursitis local a nivel de la articulación MTF por roce con el calzado(5).

Para realizar una correcta evaluación radiológica se deben realizar al menos 2 proyecciones en carga, una proyección dorsoplantar y una lateral del pie (Figura 2).
Opciones terapéuticas en el hallux valgus
Para tratar el HV se puede recurrir a distintos tratamientos, siendo recomendable en la mayoría de los casos comenzar por tratamientos no invasivos. En el caso de que estos no sean efectivos se puede valorar la indicación de tratamiento quirúrgico, basándose fundamentalmente en el nivel de afectación clínico-funcional del paciente respecto al HV y teniendo en cuenta otras comorbilidades que puedan afectar a su salud global. En cualquier caso, nunca se deberá atender únicamente a fines estéticos, ni intervenir en función de parámetros radiológicos sin que el paciente presente clínica asociada(2).
Con respecto a los tratamientos quirúrgicos, existen multitud de técnicas para tratar el HV. La elección de una u otra se determinará teniendo en cuenta factores como el grado de afectación radiográfica, la corrección angular que se deba conseguir, las demandas funcionales del paciente o la preferencia del cirujano por una determinada técnica(3,4).
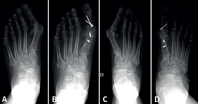
Entre todas las técnicas quirúrgicas que se emplean para el tratamiento destaca la osteotomía de Scarf, debido a que es una técnica muy versátil a la hora de abordar el tratamiento quirúrgico del HV en sus diferentes grados de deformidad(6). Esta técnica quirúrgica, descrita inicialmente por Meyer a principios del siglo XX y popularizada posteriormente por Samuel Barouk junto con Lowell Weil(7), consiste en la realización de un corte longitudinal largo y 2 cortes transversales en sus extremos. Los ángulos y direcciones de estos se modificarán en función de la acción principal que se quiera realizar: acortar, alargar, desrotar, descender, etc. Con el tiempo, la técnica inicial descrita por S. Barouk ha sido modificada para optimizar la corrección, la estabilidad y las posibles complicaciones de la cirugía(8).

Esta técnica suele ser complementada con una osteotomía de falange proximal del primer dedo (Akin) para corregir la rotación del primer dedo. Algunos ejemplos de pacientes intervenidos en nuestro centro se recogen en la Figura 3.
Calidad de vida relacionada con la salud
Como se ha expuesto previamente, la eliminación del dolor, junto con la restauración de la máxima funcionalidad posible, constituyen los principales objetivos de una intervención quirúrgica. De hecho, la satisfacción del paciente tras una cirugía suele encontrarse íntimamente relacionada con el alivio o la completa desaparición del dolor(9,10). Ligada a esa disminución del dolor, se produce un efecto positivo sobre la calidad de vida relacionada con la salud (CVRS), un indicador importante en las actividades sanitarias, ya que su disminución se asocia con una mayor frecuencia de hospitalización y con mayor mortalidad(11).
En la bibliografía no existe una definición única para el término CVRS, sino que hay muchas definiciones que en algunas circunstancias pueden dar lugar a confusión(9). En lo que sí existe cierto consenso es en la consideración de que se trata de un concepto multifactorial que incluye, como mínimo, los síntomas físicos, los aspectos psicológicos y los aspectos sociales que engloba una enfermedad y su tratamiento(11,12,13).
Como consecuencia del HV se produce también una modificación importante en la estética del pie que puede afectar al paciente de manera psicológica, agravando estadios previos de afectación del estado de ánimo ya diagnosticados y/o en tratamiento. El bienestar psicológico de los pacientes es un factor al que cada vez se concede mayor importancia y se ve influenciado tanto por el aspecto estético como por la existencia de dolor, cuya eliminación, como se ha comentado, es uno de los objetivos de las cirugías ortopédicas de pie y tobillo(2).
Para realizar una valoración de la calidad de vida de los pacientes se pueden utilizar diferentes cuestionarios, a partir de cuyas respuestas se obtienen datos normalizados. Uno de los más comunes es el General Short Form-36 (SF-36), que es la medida de salud global más generalizada en la literatura médica, ya que permite revelar variaciones en la salud de multitud de patologías médicas y quirúrgicas. Este cuestionario valora 8 aspectos de salud diferentes, como son dolor corporal, función física, rol físico, salud general, vitalidad, función social, comportamiento emocional y salud mental(12). Dada la complejidad que supone el cálculo estadístico de todos estos factores, se utiliza de forma habitual su versión abreviada, a pesar de que la potencia de esta es menor(10). Esta versión abreviada es el Short Form-12 (SF-12), que a través de 12 preguntas proporciona información tanto del componente mental (MCS-12) como del físico (PCS-12)(12). Las puntuaciones se calibran de modo que 50 sea la puntuación o norma promedio, siendo 0 la peor puntuación (nula calidad de vida) y 100 la mejor (máxima calidad de vida).
También existen otros cuestionarios más específicos, que valoran la calidad de vida en función de la patología del paciente. Estos se pueden utilizar para evaluar los resultados de intervenciones a diferentes niveles (cadera, rodilla, hombro, etc.). Para la valoración de resultados en pie y tobillo, hay gran variedad de cuestionarios descritos en la literatura, pero no existe un consenso general sobre la validez, la fiabilidad y la aplicabilidad de cada uno de ellos(14). Algunos de los cuestionarios más utilizados son: Manchester-Oxford Foot Questionnaire (MOXFQ), Foot and Ankle Outcome Score (FAOS), Lower Extremity Functional Scale (LEFS) o American Orthopaedic Foot and Ankle Society Scoring System (AOFAS)(14). El cuestionario MOXFQ recoge a través de 16 preguntas los resultados reportados por los pacientes en relación con problemas para caminar o pararse, dolor e interacción social causados por diferentes patologías de pie y tobillo. A cada pregunta se le otorga una puntuación de 0 a 4, por lo que puede alcanzar un valor máximo de 100, que corresponde con la mayor gravedad percibida por el paciente.
El resultado postoperatorio puede verse afectado de forma negativa por un estado de salud preoperatoria en el que predominen la fatiga, la ansiedad o la depresión, algo común en pacientes de edad avanzada en los que es frecuente la multimorbilidad. Estos pacientes reciben de forma habitual tratamiento con fármacos dirigidos al sistema nervioso. Se han realizado estudios que demuestran que los resultados en cirugías electivas son peores en pacientes diagnosticados de depresión y en tratamiento para esta patología(15,16). Esto ha sido demostrado en los trabajos realizados por McHugh et al.(17) y Berliner et al.(18), donde el bienestar mental preoperatorio podría utilizarse como factor pronóstico para el resultado funcional posquirúrgico, particularmente en cirugías de cadera y rodilla. Aunque esto mismo no esté tan claramente relacionado en estudios realizados en pacientes intervenidos de HV(15), en ciertos estudios sí se ha demostrado que la corrección quirúrgica del HV se asoció con una mejora en las puntuaciones del componente mental y en el nivel de dolor en pacientes con síntomas depresivos y satisfacción general. Sin embargo, los pacientes con síntomas depresivos mostraron menor mejoría de la funcionalidad y menores niveles de satisfacción con el dolor postoperatorio después de la corrección quirúrgica del HV en comparación con pacientes sin síntomas depresivos(19).
Objetivo
La hipótesis de trabajo de este estudio es que el dolor de pie, evaluado con la escala MOXFQ, y la calidad de vida, evaluada con la escala SF-12, tras una cirugía programada de HV dependen de la ingesta previa de antidepresivos (AD). Por tanto, el objetivo principal de este estudio es evaluar la relación entre la satisfacción y la calidad de vida postoperatorias en pacientes tras una cirugía programada de HV en función de la toma previa o no de AD. El objetivo secundario es comparar los resultados de calidad de vida y dolor en el pie entre los dos grupos.
Material y métodos
Se realizó un estudio retrospectivo de casos y controles en el que se incluyeron pacientes intervenidos quirúrgicamente de HV mediante una combinación de las técnicas Scarf y Akin (Scarf-Akin). Las intervenciones fueron realizadas en la Unidad de Pie y Tobillo del Servicio de Cirugía Ortopédica y Traumatología del Complejo Asistencial Universitario de León entre los años 2020 y 2022. Todos los pacientes otorgaron su consentimiento verbal y escrito para poder ser incluidos en el estudio y rellenaron los cuestionarios expuestos anteriormente (SF-12 y MOXFQ) al ser incluidos en lista de espera para la intervención. Al ser un estudio exclusivamente observacional, los cuestionarios postintervención fueron recogidos por vía telefónica, solicitando de nuevo su consentimiento de forma verbal para continuar con el estudio.
Se incluyó a pacientes mayores de edad intervenidos de HV que requirieron corrección quirúrgica únicamente del primer radio del pie y que aceptaron responder telefónicamente la encuesta SF-12 y MOXFQ postintervención. Se establecieron 2 grupos en función de la toma previa de AD.
Se excluyeron aquellos pacientes con HV intervenidos únicamente del primer radio que se negaron a responder telefónicamente los cuestionarios. También fue motivo de exclusión aquellos pacientes que requirieron algún gesto quirúrgico sobre los dedos menores o a nivel proximal, como la liberación del gastrocnemio medial.
Entre las variables recogidas se incluyeron variables independientes: demografía (sexo, edad), comorbilidad (hipertensión arterial –HTA–), diabetes mellitus de tipo 2 –DM2–, dislipemia –DL–) y el uso de tratamiento AD, en pacientes diagnosticados de episodio depresivo leve, moderado o grave sin síntomas psicóticos y trastorno bipolar, y número total de este tipo de fármacos pautados. Las variables dependientes recogidas fueron: dolor postoperatorio (MOXFQ) y satisfacción global (SF-12).
El seguimiento se realizó durante al menos 2 años tras la intervención. Cada revisión incluyó tanto control clínico como radiográfico del pie intervenido. La primera revisión se realizó a las 3-4 semanas tras la intervención quirúrgica (IQ) y posteriormente a los 3, 6, 12 y 24 meses. Se evaluaron las posibles complicaciones asociadas con mayor frecuencia a este tipo de intervención, como son la ausencia de consolidación de las osteotomías, metatarsalgia de transferencia, necrosis avascular de la cabeza del primer metatarsiano e infección del sitio quirúrgico.
Los cálculos estadísticos se realizaron utilizando el programa SPSS® Statistics versión 28 (IBM, IBM, Armonk, NY, EE. UU.). Se realizó un análisis descriptivo de las variables incluidas en el estudio. Se calcularon la media, la desviación estándar (DE) y los valores máximo y mínimo de las variables cuantitativas: edad, SF-12 pre- y postintervención, y MOXFQ pre- y postintervención. Se utilizó la prueba t de Student para muestras independientes para evaluar las diferencias entre variables. Se estableció el nivel de significación estadística para un valor de p < 0,05.
Resultados
Análisis descriptivo de la población de estudio
En primer lugar, se realizó un análisis descriptivo de la población, para luego pasar al análisis estadístico comparativo. El número total de pacientes sometidos a un tratamiento quirúrgico por HV incluidos en este estudio fue de 70 personas, de los cuales 65 fueron mujeres y 5 hombres. La media de edad de los pacientes incluidos en el estudio fue de 62,14 años, con un rango de edad comprendido entre los 38 y los 87 años.

La población objeto del estudio se dividió en 2 grupos en función de si tomaban o no algún tipo de AD. Se estableció un grupo de 35 individuos que no estaban bajo tratamiento con AD y otro de 35 que sí tuvieron pautados este tipo de medicamentos. Los datos relativos al número de AD que tomaron los participantes del estudio aparecen recogidos en la Tabla 1. Dentro del grupo de pacientes que tomaban AD, 21 pacientes fueron tratados con un único fármaco, 7 pacientes con 2 fármacos y, en menor porcentaje, pacientes con 3 o más fármacos pautados. No se tuvo en cuenta el número de fármacos AD y/o ansiolíticos necesarios para controlar la sintomatología del estado de ánimo, englobándose en el mismo grupo los pacientes que recibían tratamiento con uno o varios de estos medicamentos.

La incidencia de ciertas enfermedades sistémicas previas en los pacientes intervenidos se recoge en la Tabla 2. La DL fue la patología concomitante presente en un mayor número de pacientes, 24 casos (34,29%), seguida de la HTA con un total de 23 casos (32,86%) y, finalmente, la DM2 con 7 casos (10%). Se recogieron únicamente estas 3 enfermedades por ser las 3 más prevalentes en la población adulta de nuestro entorno(20).
Análisis comparativo entre grupos de estudio
En el grupo de los pacientes que no se encontraba bajo tratamiento con AD, la edad media registrada fue de 60,97 años. Respecto a la distribución por sexos, 31 pacientes fueron mujeres y 4 hombres.

El grupo de los pacientes que se encontraba bajo tratamiento con AD presentó una edad media de 63,31 años. De los 35 pacientes de este grupo, 34 fueron mujeres y solo hubo un varón. No se encontraron diferencias estadísticamente significativas entre ambos grupos en las variables demográficas, como se recoge en la Tabla 3.

La incidencia de enfermedades previas tampoco presentó diferencias estadísticamente significativas entre grupos. El grupo sin tratamiento AD presentó un total de 10 pacientes con HTA, 2 con DM2 y 11 con DL. El grupo de pacientes bajo tratamiento con AD incluyó 13 pacientes con HTA, 5 con DM2 y 13 con DL. La distribución por grupos de estas enfermedades concomitantes queda reflejada en la Tabla 4.
Tras realizar el análisis estadístico se obtuvieron resultados no estadísticamente significativos entre ambos grupos, por lo tanto, ambos grupos resultaron comparables entre sí.
Calidad de vida. Cuestionario SF-12
En la Tabla 5 se presenta un análisis comparativo de los resultados del cuestionario SF-12, aplicado antes (SF-12 PRE) y después (SF-12 POST) de la intervención de HV, diferenciando entre 2 grupos: con depresión y sin depresión.

Antes de la intervención, los valores medios del cuestionario SF-12 fueron similares entre ambos grupos. La media del grupo sin AD fue de 48,5, mientras que la media del grupo con AD fue de 45.
Respecto al SF-12 pre-IQ, realizando la prueba t de Student de 2 muestras independientes se obtuvo un valor estadísticamente no significativo (p = 0,084), pudiendo afirmar que los resultados de los cuestionarios SF-12 antes de la IQ no difieren entre los 2 grupos (con toma de AD y sin toma de AD).
Tras la intervención, se observó un cambio más marcado entre grupos, presentando el grupo sin AD una puntuación media de 52,45 y el grupo de AD de 40,73.
En cuanto al SF-12 post-IQ, realizando la misma prueba se observó un cambio más marcado entre grupos, presentando el grupo sin AD una puntuación media de 52,45 y el grupo de AD de 40,73, resultando un valor estadísticamente significativo (p < 0,001). Por ello, se puede afirmar que los resultados de los cuestionarios SF-12 posteriores a la IQ difieren entre los 2 grupos con toma de AD y sin toma de AD.
Por tanto, los datos muestran que, aunque antes de la intervención no existían diferencias significativas entre los grupos, después de la intervención las puntuaciones mejoraron notablemente en el grupo sin AD, mientras que el grupo con AD presentó un descenso o menor mejoría en los resultados del cuestionario SF-12. Esto sugiere que la salud global tras la intervención de HV es peor en el grupo de pacientes que tomaban AD.
Dolor en el pie operado. Cuestionario MOXFQ
La Tabla 6 presenta los resultados del cuestionario MOXFQ antes y después de la intervención de cada grupo de pacientes.

Antes de la intervención, ambos grupos mostraron valores bajos, aunque el grupo con depresión presentó una puntuación media más alta (26,39) frente al grupo sin depresión (8,03), por lo que se reflejó que el grupo con AD presentó una mayor afectación o un peor estado funcional. Del mismo modo, se analizaron los resultados de los cuestionarios MOXFQ aplicando la prueba t de Student. Se obtuvo un valor estadísticamente no significativo (p = 0,195) para los resultados del cuestionario preintervención, pudiendo afirmar que los resultados de los cuestionarios MOXFQ y, por tanto, el dolor en el pie asociado a las actividades básicas de la vida diaria, antes de la intervención quirúrgica no presentaron diferencias significativas entre los grupos.
Sin embargo, los resultados tras la intervención mostraron una clara divergencia entre grupos. El resultado medio en el grupo sin AD fue de 7,43 frente a una media de 32,08 en el grupo con AD, presentando diferencias estadísticamente significativas (p < 0,001) entre los grupos de estudio una vez llevada a cabo la intervención. Esto muestra una mejoría notable en el grupo sin depresión, mientras que el grupo con depresión mantuvo valores altos, reflejando mayor limitación o peor recuperación funcional. Se puede afirmar que los pacientes que tomaron AD presentan un mayor dolor de pie postintervención que aquellos que no los tenían pautados.
Discusión
Diversos estudios han señalado que existen múltiples enfermedades que pueden afectar el estado de ánimo, como la depresión, la ansiedad, los trastornos adaptativos, la fibromialgia, el síndrome de fatiga crónica o las neuralgias, entre otras. Todas ellas pueden tener un impacto significativo en los resultados percibidos tras procedimientos quirúrgicos ortopédicos, como la cirugía de HV. Por tanto, pueden actuar como factores de confusión en la interpretación de resultados, ya que dificultan diferenciar si una menor mejoría postoperatoria se debe al procedimiento quirúrgico en sí o al impacto de una alteración del estado de ánimo subyacente. En este sentido, la identificación y el control de estas variables resultan fundamentales para interpretar adecuadamente los resultados funcionales y de calidad de vida tras la cirugía de HV.
Las expectativas de los pacientes, en lo que se refiere a resultados postintervención, pueden llegar a ser muy variables y, por tanto, se deben considerar únicas de cada individuo. Los pacientes con alteraciones emocionales tienden a presentar una menor percepción de mejoría, mayor dolor postoperatorio y una recuperación funcional más lenta. Pese a esta evidencia, el uso de cuestionarios o de encuestas estandarizadas validadas desde hace años permite, en cierta medida, cuantificar los resultados obtenidos. Entre estos cuestionarios cabe destacar el uso del SF-12 o el MOXFQ, más específico para patología del pie, entre otros. Asimismo, de forma posterior a dicha cuantificación, es posible realizar una comparativa de estos resultados y analizar así la satisfacción postoperatoria. La asociación de un mal estado físico y psicológico existentes antes de una intervención quirúrgica electiva con los resultados esperados y/o alcanzados por el paciente ha sido demostrada en estudios previos, tanto en casos de pacientes intervenidos de cirugía de pie y tobillo(21) como en otro tipo de intervenciones realizadas por cirujanos ortopédicos, como es el caso de la artroplastia total de cadera(22,23), la artroplastia total de rodilla(24) o también en cirugías de la mano(25).
Se ha demostrado que las expectativas de los pacientes que se intervienen de afecciones tanto de pie como de tobillo se relacionan con factores muy diversos. Entre dichos factores, los que se han asociado con mejores resultados esperados han sido los siguientes: una menor edad, el sexo femenino, una mayor comorbilidad y una mayor sintomatología depresiva(26,27).
En lo relativo a nuestro estudio, la muestra estaba compuesta por un total de 70 personas, la mayoría de las cuales eran mujeres. Esta gran incidencia del sexo femenino frente al masculino entre los pacientes del estudio se explica como consecuencia de una mayor prevalencia de HV en mujeres frente a hombres(2). La edad media del grupo de estudio era de 62,14 años, con un rango de dispersión amplio, entre 38 y 87 años. Esto también concuerda con lo publicado por Easley et al.(3) respecto al aumento de la prevalencia de la patología con la edad. A medida que el pie sufre cambios y se convierte en un pie plano adquirido en la edad adulta, aumenta la predisposición al desarrollo de HV.
La mayoría de los pacientes que precisaban del uso de AD tenían pautado un único fármaco, descendiendo progresivamente el número de pacientes que precisaban más de un fármaco AD a medida que aumenta el número de AD hasta alcanzar un único paciente que tenía pautados 5 AD. No se encontraron en nuestro estudio diferencias estadísticamente significativas entre la presencia de HV asociada con depresión entre sexos ni en función del número de AD pautados. Así pues, el sexo no condicionó la relación entre la toma de AD y la satisfacción postintervención, como ya publicó López et al.(28) en su estudio para determinar la asociación de pacientes con diversos grados de afectación del HV con la depresión utilizando el Inventario de Depresión de Beck en 2016.
En cuanto a la presencia de enfermedades previas en el total de la muestra, su incidencia es comparable a la registrada en el Instituto Nacional de Estadística(20). En el análisis por grupos, entre los pacientes sin AD, estas enfermedades concomitantes presentaron cifras similares en comparación con el grupo que sí estaban medicados con fármacos AD. De este modo, teniendo en cuenta que no existieron diferencias estadísticamente significativas de patología entre ambos grupos (p > 0,05) en lo referente a enfermedades concomitantes, se pudieron considerar los grupos homogéneos. La mayoría de los estudios publicados hasta la fecha no tuvieron en cuenta la presencia de estas comorbilidades. Sin embargo, Cody et al.(26) ya describieron la ausencia de correlación entre la presencia de comorbilidades y las expectativas de pacientes sometidos a intervenciones de pie y tobillo. Del mismo modo, como se ha podido comprobar en este estudio, las enfermedades previas no presentaron relación directa con la toma o no de AD y, por tanto, con los resultados de los cuestionarios utilizados.
Los resultados de los cuestionarios previos a la intervención reflejaron un valor medio para el cuestionario SF-12 de 46,92 puntos. Estos valores ponen de manifiesto que la población estudiada tenía una salud física y mental ligeramente peor que la población general de referencia (46,92 frente a 50,0 que se corresponde con la media poblacional)(12). Este valor es similar al valor promedio obtenido por Cody et al.(27) en su estudio sobre las expectativas preoperatoria en relación con cirugías de pie y tobillo. Mientras que en el cuestionario MOXFQ preintervención, la media fue de 10,65 puntos, siendo la puntuación más alta de este cuestionario de 100, que corresponde con el mayor deterioro. Por tanto, se puede considerar que, en función de las respuestas a este cuestionario, la sensación subjetiva de bienestar del grupo de estudio fue muy buena. Por otro lado, los resultados postintervención mostraron una puntuación media para el SF-12 de 46,59 y para el MOXFQ de 20,91 puntos. Al ser el valor de SF-12 postintervención ligeramente inferior a los publicados por Shakked et al.(19), parece indicar que la sensación de los pacientes sobre su salud empeoró tras la IQ.
También se realizó el análisis de estos datos por separado, en función de la toma o no de AD. En el cuestionario SF-12, aunque no se encontraron diferencias estadísticamente significativas (p = 0,084) entre grupos, sí se pudo observar que en el grupo con tratamiento AD tenían peor calidad de vida. No ocurrió de igual forma cuando se realizó el análisis de los resultados del SF-12 postintervención. En este caso, el grupo sin AD presentó una puntuación media mejor que la población general de referencia(12) frente a 40,73 puntos registrados en el grupo con AD. En este caso existen diferencias estadísticamente significativas entre ambos grupos (p < 0,001). Esto significa que, efectivamente, la toma de AD influyó en los resultados postintervención, como ya reflejaron en sus estudios Means-Christensen et al.(29,30) y Hanel et al.(31). Este hallazgo concuerda con la evidencia previa, que indica que el estado de ánimo puede influir tanto en la experiencia del dolor como en la satisfacción con el tratamiento.
Siguiendo con el análisis en función del cuestionario utilizado: en lo referente al MOXFQ preintervención, la diferencia entre la toma o no de AD no resultó estadísticamente significativa (p = 0,195), a pesar de presentar una puntuación media diferente entre ambos grupos; también peor en el grupo de pacientes con tratamiento AD. En cambio, la diferencia en la puntuación media de MOXFQ postintervención sí resultó estadísticamente significativa entre ambos grupos (p < 0,001). Datos similares presentó Shakked et al. en 2018, cuando observó que la satisfacción con el dolor postoperatorio fue menor en aquellos pacientes con síntomas depresivos en comparación con los pacientes sin estos síntomas(19).
Conclusiones
Como principal conclusión que se puede extraer tras la realización de este estudio, destaca que la satisfacción de los pacientes con los resultados posquirúrgicos en intervenciones de HV y el dolor residual en el pie están íntimamente relacionados con el estado de ánimo previo de dichos pacientes.
Tanto la salud global analizada con el cuestionario SF-12 como el dolor específico en el pie analizado con el cuestionario MOXFQ presentan peores resultados postintervención en los pacientes que padecen alteraciones del estado de ánimo y que necesitan tratamiento con fármacos AD y/o ansiolíticos para hacerlas frente. Por tanto, nuestros resultados reflejan la relación directa entre el consumo de AD y la sensación personal subjetiva de peores resultados en las intervenciones quirúrgicas sobre el HV.
Posibles limitaciones del estudio y futuras líneas de investigación
Los resultados de este estudio deben ser tratados con precaución puesto que existen ciertos condicionantes que es necesario superar:
- Por un lado, cabe mencionar la limitación en el número de pacientes intervenidos en el servicio. El pequeño tamaño muestral se debe a los rigurosos criterios de inclusión que hacen que sea muy difícil tener una muestra de mayor tamaño. Ya que, en la patología del pie, en la mayoría de las ocasiones no solo se interviene el HV, sino que se realizan gestos quirúrgicos sobre otros dedos, como dedos en martillo, o sobre otros metatarsianos.
- Asimismo, toda la población de estudio pertenece únicamente al área de salud de León. Pueden existir diferencias en el estado de ánimo en función de la región de origen de las personas. De esta manera, existe un sesgo de selección intrínseco que no puede ser eliminado y no se debe obviar. Para mitigarlo sería necesario realizar un estudio coordinado multicéntrico, lo cual permitiría atenuar dicho sesgo y fortalecer la validez y la generalización de los hallazgos.
- No se ha tenido en cuenta en la valoración el número de AD pautados en cada paciente. Se recoge el dato en el estudio descriptivo, pero no se analiza la influencia del mayor o menor número de AD en los resultados subjetivos de la intervención. No se ha realizado un estudio del subgrupo de pacientes que toman AD en función del número de fármacos que consumen debido al limitado tamaño muestral.
- Otro elemento disruptivo en el estudio es el posible desarrollo de enfermedades concomitantes que influyan en la sensación subjetiva de los pacientes. De hecho, en algunas ocasiones los mismos pacientes hacen referencia a esto, indicando que presentan dolor en otras zonas del cuerpo.
Como fortalezas de este estudio cabe destacar la homogeneidad de la muestra y de la técnica quirúrgica (osteotomía Scarf complementada con osteotomía de Akin), realizada por un mismo cirujano, que de igual modo siguió el mismo protocolo posquirúrgico en todos los casos. Por otro lado, los cuestionarios utilizados para interrogar a los pacientes acerca de su impresión con respecto a su calidad de vida relacionada con la salud (SF-12) o el dolor causado por su patología en las actividades de la vida cotidiana (MOXFQ) son instrumentos validados desde hace tiempo. Este factor también ha de considerarse como otra de las fortalezas de este trabajo, por la amplia trayectoria que evidencia su uso.
Como propuestas para continuar profundizando en este estudio, se plantea tener en cuenta la familia a la que pertenecen los fármacos AD que toman los pacientes. Existen diversos tipos de AD que actúan sobre elementos concretos: inhibidores selectivos de la recaptación de serotonina, inhibidores de la recaptación de serotonina y noradrenalina, AD tricíclicos, inhibidores de la monoaminooxidasa o AD atípicos, entre otros. Esto podría tener influencia en la valoración subjetiva de los resultados de las intervenciones quirúrgicas.