La rodilla es una articulación compleja desde el punto de vista biomecánico.
El dolor de rodilla es una de las quejas más frecuentes en las consultas médicas e incluye un amplio número de patologías. En la mayoría de los casos se puede atribuir a lesiones de meniscos, ligamentos y cartílago articular. Pero las estructuras extraarticulares también pueden estar involucradas.
Después de unas correctas anamnesis y exploración clínica, contamos con una serie de pruebas de imagen complementarias que nos pueden ayudar a llegar el diagnóstico.
Las pruebas complementarias deben ser solicitadas para una indicación clínica específica, deben ser lo bastante exactas como para resultar eficaces en esa indicación y deben ser lo menos peligrosas posible.
Ninguna prueba diagnóstica es totalmente exacta y los resultados de todas ellas deben valorarse con cautela.
Hemos seleccionado 4 pruebas de imagen que tenemos a nuestro alcance: la radiología, la ecografía, la tomografía axial computarizada (TAC) y la resonancia magnética (RM), para mostrar las patologías que mejor se pueden diagnosticar con cada una de ellas.
Radiología
El diagnóstico radiológico consiste en la realización de una radiografía sobre una zona del organismo para el estudio de los órganos que se encuentran en su interior.
Las estructuras densas, como los huesos, bloquean la mayor parte de estos fotones y se ven de color blanco. El metal y los medios de contraste también se verán de color blanco. Las estructuras que contienen aire se mostrarán negras y los músculos, la grasa y los líquidos como sombras de color gris.
La única contraindicación es el embarazo, dados los efectos teratógenos de los rayos X.
La radiología es útil para el diagnóstico de las fracturas, luxaciones, osteoartritis o para cuantificar las desviaciones axiales y planificar las cirugías de realineación(1).
Es el procedimiento de imagen empleado generalmente como primera elección y es muy útil para la visualización de los elementos óseos, con la limitación que supone la superposición en un mismo plano de todas las estructuras atravesadas por los rayos X.
Deben hacerse proyecciones anteroposterior (AP) y lateral, generalmente con flexión de 30°, y axial de la rótula cuando se sospeche patología de esta; y proyecciones especiales oblicuas o laterales, proyecciones forzadas de varo o valgo, y AP en 45°, para valorar mejor la interlínea articular(2).
1. Lesiones traumáticas
1.1. Fracturas
1.1.1. Fémur (Figura 1)
Figura 1. Radiografías anteroposterior y lateral de rodilla: fractura longitudinal del fémur extendida a la articulación.

1.1.2. Tibia (Figura 2)
Figura 2. Radiografías anteroposterior y lateral de rodilla: fractura con varios trazos de meseta tibial externa.

1.1.3. Rótula (Figura 3)
Figura 3. Radiografías anteroposterior y lateral de rodilla: fractura del polo superior de la rótula.

1.2. Luxación femorotibial
La luxación traumática de rodilla es una entidad poco frecuente, que representa menos del 0,5% del total de las luxaciones articulares(3).
Requiere un tratamiento precoz, ya que una de sus complicaciones más graves es la lesión de la arteria poplítea, para cuyo diagnóstico se recomienda realizar un estudio de angio-TAC (Figura 4).
Figura 4. Radiografías anteroposterior y lateral de rodilla: luxación anterior de tibia y peroné.

2. Condrocalcinosis
El diagnóstico de los depósitos de pirofosfato de calcio se basa en el estudio radiológico, confirmado con la identificación de estos cristales en el estudio del líquido sinovial(4).
La radiografía es imprescindible en estos casos, pues la RM no los detecta (Figura 5).
Figura 5. Radiografía anteroposterior: calcificación en ambos meniscos por condrocalcinosis.

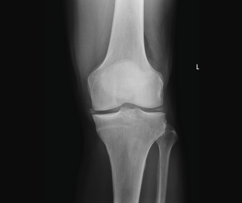
3. Artrosis
La gonartrosis es la causa más frecuente del dolor de rodilla después de los 50 años. En la radiografía se observa una reducción de la interlínea femorotibial o femoropatelar, y una osteofitosis marginal (Figura 6).
Figura 6. Radiografías anteroposterior y lateral de rodilla: osteofitos en compartimentos femorotibial y femoropatelar.

Ecografía
El ultrasonido se puede usar en el diagnóstico de numerosas patologías y puede guiar en procedimientos diagnósticos y terapéuticos(5).
Su indicación fundamental es en el diagnóstico de las lesiones de partes blandas superficiales.
Las estructuras específicas más adecuadas para este estudio incluyen tendones, músculos y ligamentos, además de masas periarticulares de tejidos blandos. Es útil para el diagnóstico de derrame articular, engrosamiento sinovial, bursitis, cuerpos libres intraarticulares, gangliones, quistes, roturas ligamentosas y tendinosas, tendinitis y fracturas ocultas(6).
En el estudio musculoesquelético se utiliza una sonda lineal con alta frecuencia, de entre 9 y 13 mHz.
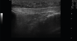
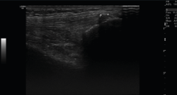
1. Ligamentos
Tanto el ligamento lateral interno (LLI) como el ligamento lateral externo (LLE) pueden ser valorados por ecografía (Figura 7).
Figura 7. Corte coronal de una ecografía de rodilla. A: engrosamiento del ligamento lateral externo en la inserción proximal por un esguince de grado I; B: engrosamiento del ligamento lateral interno.

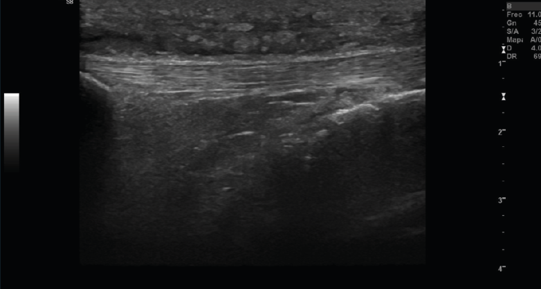
2. Tendones
2.1. Tendinitis
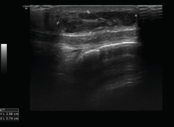
Con ecografía Doppler pueden aparecer áreas de hiperemia intratendinosa o peritendinosa (Figura 8).
Figura 8. Corte sagital de una ecografía de rodilla del tendón rotuliano: engrosamiento del tendón con aumento difuso de ecogenicidad.

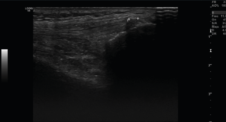
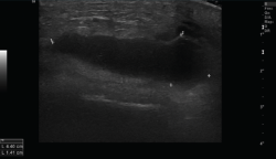
2.2. Roturas
Se observan áreas hipoecoicas de solución de continuidad de las fibras tendinosas(7), con retracción de los márgenes con la contracción muscular cuando la rotura tendinosa es completa (Figuras 9 y 10).
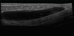
Figura 9. Corte sagital de una ecografía de rodilla: foco hipoecoico por rotura parcial del tendón cuadricipital.

Figura 10. Corte sagital de una ecografía de rodilla: ausencia del tendón rotuliano por rotura completa, con hematoma señalado en el trayecto del tendón.

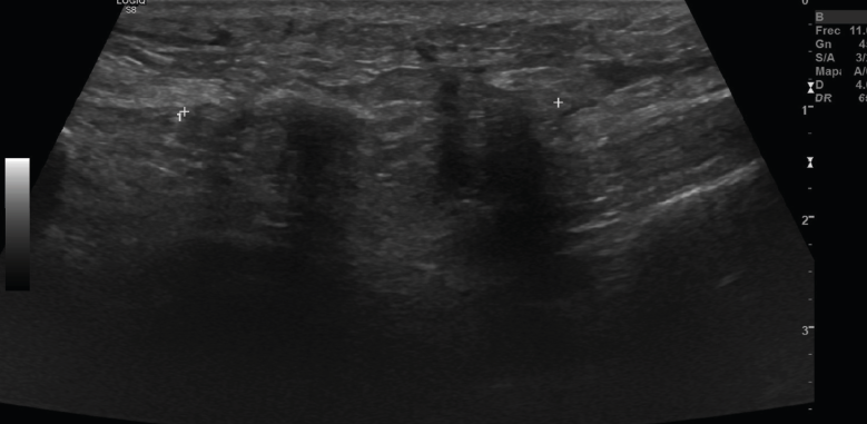
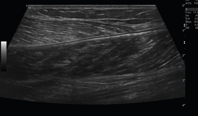
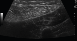
3. Músculos
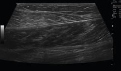
Figura 11. Corte sagital de una ecografía de pierna: imagen de fibras musculares normales del gemelo.

El músculo sano, ecográficamente, presenta una ecogenicidad inferior a la del tejido celular subcutáneo y una disposición de finas líneas paralelas ecogénicas, múltiples, en cortes longitudinales, en “pluma de ave”.
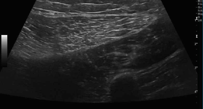
Figura 12. Corte transversal de una ecografía de la pierna: aumento de la ecogenicidad difusa del gemelo externo por sobrecarga.

Se describen 4 grados de lesión muscular: grado 0, con ecografía negativa a pesar de tener clínica sugestiva; grado 1, con hiperecogenicidad en la lesión; y los grados 2 y 3, con regiones hipoecoicas por líquido adyacente a las fibras musculares. Cuando hay cicatrización, desaparece la región hipoecoica(8)(Figuras 11, 12, 13 y 14).
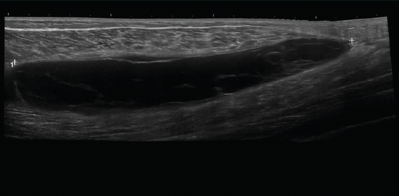
Figura 13. Corte sagital panorámico de una ecografía de la pierna con sonda lineal: gran rotura musculoaponeurótica entre el gemelo interno y el sóleo.

Figura 14. Corte transversal de una ecografía de pierna: imagen de cicatrización de una rotura musculoaponeurótica.

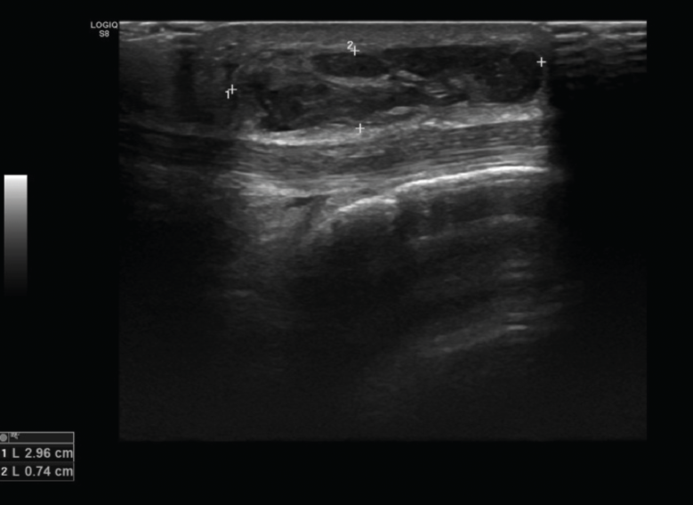
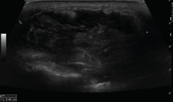
4. Bultomas
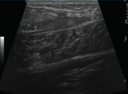
Figura 15. Corte axial con sonda lineal del tercio proximal de la pierna: gran colección flemonosa intramuscular del gemelo.

Se observa una colección hipo- o anecoica con refuerzo acústico en lesiones líquidas y sin refuerzo acústico en lesiones sólidas. También puede ser hiperecoica en casos de contenido graso (Figuras 15, 16 y 17).
Figura 16. Corte transversal de una ecografía de pierna: colección hipoecoica intramuscular por hematoma que traduce rotura.

Figura 17. Corte transversal de una ecografía de pierna: colección hipoecoica prepatelar por bursitis muy heterogénea.

Tomografía axial computarizada
Es un método de diagnóstico médico que permite observar el interior del cuerpo humano, a través de cortes milimétricos transversales al eje cefalocaudal, mediante la utilización de los rayos X(9).
El principio básico de la TAC es que la estructura interna de un objeto puede reconstruirse a partir de múltiples proyecciones de ese objeto.
La imagen se adquiere combinando la rotación continua del tubo de rayos X con el desplazamiento lineal de la mesa de exploración.
Los equipos modernos (TAC helicoidal o multicorte) permiten obtener imágenes volumétricas isotrópicas, lo que significa que la reconstrucción multiplanar en cada uno de los ejes tiene la misma resolución. Además, permite hacer reconstrucciones tridimensionales.
Entre las ventajas de la TAC, cabe destacar que permite obtener imágenes de hasta 1 mm y que, debido a la amplia gama de tonos grises que maneja, permite identificar con precisión los diferentes tejidos estudiados.
Entre sus inconvenientes, hay que tener en cuenta que a veces es necesario el uso de contraste intravenoso y que utiliza radiaciones ionizantes.
1. Fracturas
Es esencialmente útil en la valoración de los trazos de fractura, de su extensión, del escalón intraarticular y el desplazamiento. También es importante en la planificación del tratamiento de las fracturas intraarticulares complejas.
Los nuevos equipos, con múltiples detectores, permiten realizar cortes finos (submilimétricos) y reconstrucciones en cualquier plano del espacio o tridimensionales (3D) de gran calidad, que facilitan la valoración de estas lesiones(7).
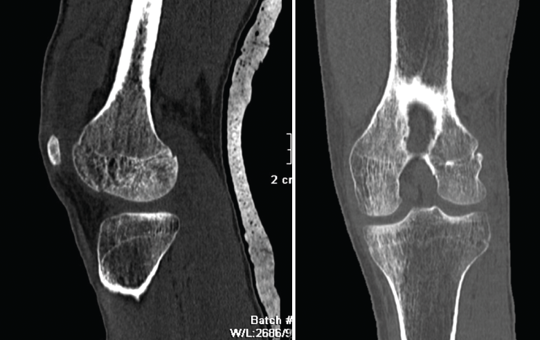
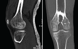
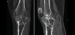
1.1. Fémur (Figuras 18 y 19)
Figura 18. A: corte de reconstrucción coronal; B: axial; y C: reconstrucción 3D de tomografía axial computarizada de rodilla: fractura longitudinal del fémur extendida al techo intercondilar.

Figura 19. Corte de reconstrucción sagital y coronal de tomografía axial computarizada de rodilla: fractura de Hoffa del fémur, del cóndilo femoral externo, de difícil diagnóstico en las radiografías.

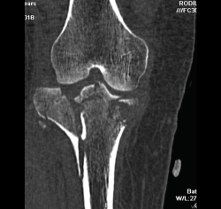
1.2. Tibia (Figura 20)
Figura 20. Corte de reconstrucción coronal de tomografía axial computarizada de rodilla: fractura de ambas mesetas tibiales.

2. Complicaciones de las fracturas
2.1. Injertos
En las fracturas que requieren un aporte de injerto, la TAC es útil para valorar el porcentaje de su asimilación al hueso (Figura 21).
Figura 21. Corte de reconstrucción sagital y coronal de tomografía axial computarizada de rodilla: fragmentos cálcicos incorporados a la medular tibial diafisaria.

2.2. Pseudoartrosis
La pseudoartrosis se define cuando, transcurridos al menos 6 meses desde la fractura, no se produce su consolidación y se evidencian muy pocos o ninguno de los signos de evolución radiográfica (Figura 22).
Figura 22. Corte de reconstrucción coronal y sagital de tomografía axial computarizada de rodilla: fractura metafisoepifisaria tibial sin consolidación después de 6 meses.

2.3. Retardo de la consolidación
El retardo de la consolidación es un enlentecimiento de la velocidad esperada (de 3 a 6 meses) del proceso de consolidación de una fractura, pero esta llegará a producirse de forma normal y definitiva (Figura 23).
Figura 23. Corte de reconstrucción coronal y sagital de tomografía axial computarizada de rodilla: fractura de epífisis proximal tibial con puente óseo insuficiente por retraso de la consolidación.

2.4. Consolidación viciosa
Se produce cuando los fragmentos consolidan en mala posición, con deformidades que alteran el eje del miembro inferior (Figura 24).
Figura 24. Corte de reconstrucción sagital y coronal de tomografía axial computarizada de rodilla: consolidación viciosa de la epífisis tibial proximal.

2.5. Afectación vascular
Aunque es rara la afectación de los vasos poplíteos, tanto en las fracturas como en las luxaciones, el estudio con angio-TAC permite el diagnóstico de estas lesiones. La afectación arterial es poco frecuente y la trombosis venosa profunda la lesión más común (Figura 25).
Figura 25. Reconstrucción MIP (proyección de máxima intensidad) de angio-TAC de miembros inferiores: son frecuentes los desplazamientos arteriales de los vasos comprimidos por los fragmentos de las fracturas como en la imagen central. Figura derecha: reconstrucción 3D.

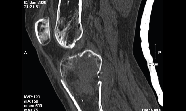
3. Tumores (Figura 26)
Figura 26. Corte de reconstrucción sagital de tomografía axial computarizada de rodilla: masa tumoral en la meseta tibial interna, con fractura patológica epifisaria.

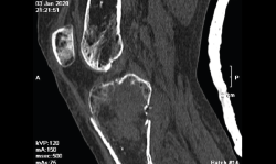
4. Prótesis (Figura 27)
Figura 27. Corte de reconstrucción sagital y coronal de tomografía axial computarizada de rodilla: se valoran los componentes femoral y tibial de la prótesis total.

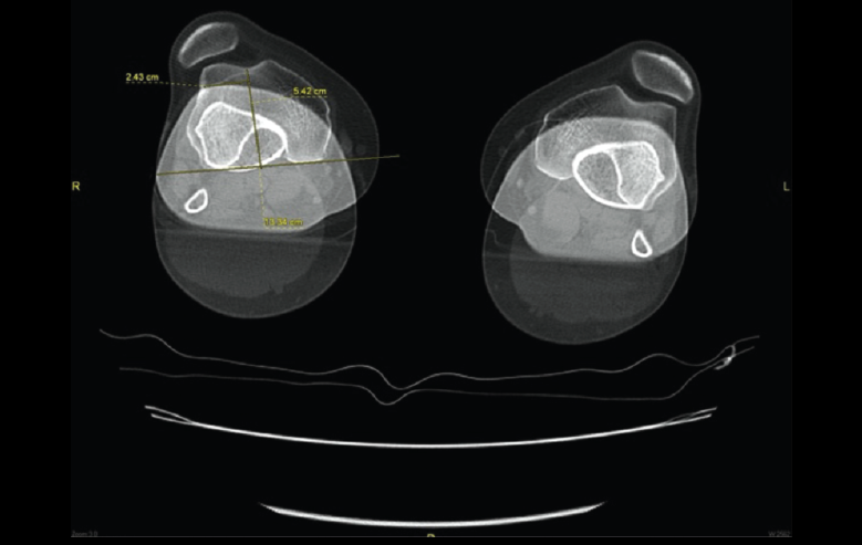
5. Mediciones
5.1. TA-GT (tuberosidad tibial anterior-garganta de la tróclea)
En pacientes sintomáticos con inestabilidad rotuliana, la TAC es útil para medir la TA-GT(10). La distancia TA-TG es una medida radiológica propuesta por Goutallier y Bernageau que sirve para cuantificar el ángulo Q. Consiste en medir la distancia en milímetros de la tuberosidad tibial anterior a la garganta de la tróclea proyectadas sobre una línea que pasa por los bordes posteriores de ambos cóndilos femorales, superponiendo 2 cortes axiales de TAC. Es una medida fiable y reproducible pero poco precisa, con un margen de error de más de 4 mm. La distancia TA-GT es mayor de 20 mm en el 56% de las inestabilidades rotulianas y tan solo en el 3% de la población sana(11)(Figura 28).
Figura 28. Corte axial de tomografía axial computarizada con superposición de imágenes con rótula y parte posterior de cóndilos y tuberosidad tibial anterior, que nos permite medir la distancia TA-GT, en condiciones normales hasta 2 cm.

5.2. Balance rotuliano
Mide la inclinación de la rótula en relación con el borde posterior de los cóndilos femorales (Figura 29).
Figura 29. Corte axial de tomografía axial computarizada con superposición de imágenes con rótula y parte posterior de cóndilos y tuberosidad tibial anterior, que nos permite medir el tilt o balance rotuliano, en condiciones normales hasta 20°.

Resonancia magnética
Se basa en la propiedad que poseen los núcleos de hidrógeno de absorber energía electromagnética cuando están sometidos a un campo magnético intenso. La RM representa un mapa de la densidad de protones, o sea, de la distribución de agua por el organismo(12).
Se consiguen unas imágenes de alta resolución para la valoración de meniscos, ligamentos y tendones. Además, es especialmente útil en las rodillas operadas, lesiones tumorales, evaluación del cartílago y la visualización de los nervios(13).
La RM tiene importantes ventajas sobre otros procedimientos de imagen, ya que:
- Se reduce el riesgo de mutaciones celulares o cáncer, al no utilizar radiación ionizante.
- Se realizan con cortes muy finos (1/2 o 1 mm), permitiendo observar detalles anatómicos no apreciables con otro tipo de estudio.
- Obtiene imágenes multiplanares (axial, sagital, coronal) sin necesidad de cambiar de postura al paciente.
- Estudia las estructuras intraarticulares que no pueden visualizarse de otra forma.
- De forma precoz, identifica los cambios en el contenido tisular de agua, mostrando así la inflamación, el derrame, la infección o el tumor.
Como desventajas, podemos destacar que no puede emplearse en pacientes con marcapasos; que, a pesar de existir RM abiertas, hay personas con claustrofobia en las que solo se puede realizar con una sedación previa; es preciso que el paciente se retire cualquier objeto metálico y, en el caso de la presencia de implantes, se puede producir su calentamiento y pueden aparecer artefactos.
El material de contraste utilizado en los exámenes de RM tiene menos probabilidades de producir una reacción alérgica que los materiales a base de yodo, utilizados para rayos X convencionales y exploraciones por TAC(14).
Está indicada en el estudio de las estructuras intra- y extraarticulares, siendo muy valorado su empleo en la realización de protocolos diagnósticos terapéuticos(15).
1. Estudio de las estructuras intraarticulares
Es la prueba no invasiva de elección para valorar las lesiones internas de la rodilla(2). Aunque el estudio por RM es a menudo considerado como la prueba diagnóstica de elección para la detección de alteraciones meniscales, se asocia en ocasiones con errores diagnósticos(16).
1.1. Meniscos
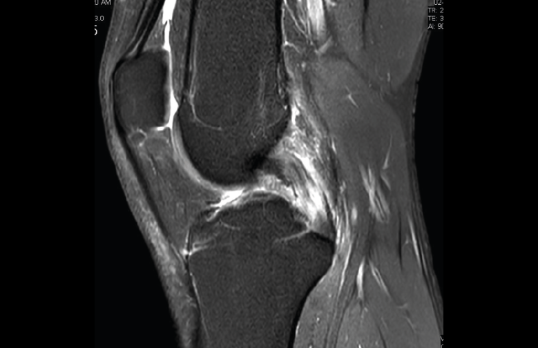
Figura 30. Corte de secuencia sagital T2 Fat-Sat de resonancia magnética de rodilla: menisco externo normal.

Se identifican como estructuras hipointensas en todas las secuencias, con asta anterior y posterior de morfología triangular.
Figura 31. Corte de secuencia sagital T2 Fat-Sat de resonancia magnética de rodilla: menisco interno normal.

La RM es la técnica de elección en el diagnóstico de la patología meniscal(17)(Figuras 30, 31, 32, 33, 34 y 35).
Figura 32. Corte de secuencia coronal T2 Fat-Sat de resonancia magnética de rodilla: rotura de menisco interno horizontal.

Figura 33. Corte de secuencia sagital T2 Fat-Sat de resonancia magnética de rodilla: menisco interno con cambios mucoides.

Figura 34. Corte de secuencia sagital T2 Fat-Sat de resonancia magnética de rodilla: rotura en asa de cubo desplazada al asta anterior del menisco externo.

Figura 35. Corte de secuencia coronal y sagital de resonancia magnética de rodilla: rotura en asa de cubo del menisco interno con fragmento desplazado al intercóndilo.

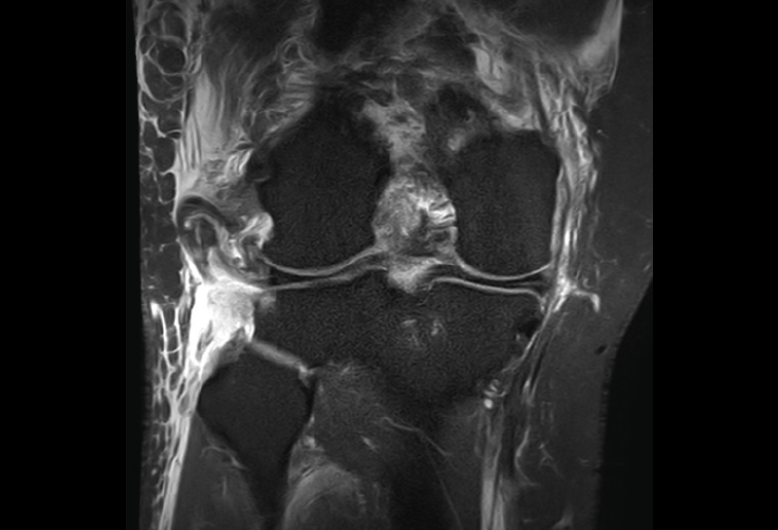
1.2. Ligamentos
Se visualizan como estructuras lineales hipointensas en todas las secuencias.
1.2.1. Ligamentos laterales
Figura 36. Corte de secuencia coronal T2 Fat-Sat: ligamentos colaterales normales.

Ligamento lateral interno (LLI) y ligamento lateral externo (LLE) (Figuras 36, 37, 38 y 39).
Figura 37. Corte de secuencia coronal T2 Fat-Sat de rodilla: pequeño edema en el LLI, banda medial por esguince del LLI de grado I.

Figura 38. Corte de secuencia coronal T2 Fat-Sat de resonancia magnética de rodilla: edema y pequeña rotura de fibras mediales del ligamento lateral interno (LLI). Esguince del LLI de grado II.

Figura 39. Corte de secuencia coronal T2 Fat-Sat de resonancia magnética de rodilla: edema y rotura del ligamento lateral externo de su inserción peroneal con retracción ligamentosa. Esguince de grado III.

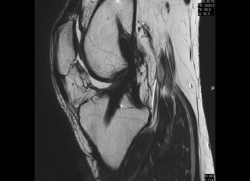
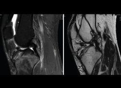
1.2.2. Ligamento cruzado anterior (LCA) (Figuras 40, 41, 42, 43 y 44)
Figura 40. Corte de secuencia sagital T2 Fat-Sat de resonancia magnética de rodilla: ligamento cruzado anterior normal.

Figura 41. Cortes de secuencia sagital T2 Fat-Sat de resonancia magnética de rodilla: rotura central del ligamento cruzado anterior.

Figura 42. Cortes de secuencia sagital T2 Fat-Sat: rotura proximal del ligamento cruzado anterior.

Figura 43. Corte sagital oblicuo T2 de resonancia magnética de rodilla: plastia del ligamento cruzado anterior íntegra.

Figura 44. Corte de secuencia sagital T2 Fat-Sat y T2 de resonancia magnética de rodilla: rotura de plastia del LCA.

1.2.3. Ligamento cruzado posterior (LCP) (Figuras 45 y 46)
Figura 45. Corte de secuencia sagital T2 Fat-Sat de resonancia magnética: ligamento cruzado posterior normal.

Figura 46. Corte de secuencia sagital T2 Fat-Sat de resonancia magnética: rotura de ligamento cruzado posterior distal.

2. Fracturas
Se observa una hiposeñal de la médula ósea en secuencias T1 e hiperseñal en STIR o saturación grasa T2.
2.1. Edema óseo y fractura subcondral (Figura 47)
Figura 47. Corte de secuencia coronal T2 Fat-Sat de RM de rodilla: zona de edema óseo en la meseta tibial externa por contusión.

2.2. Fractura reciente (Figura 48)
Figura 48. Corte de secuencia coronal T2 Fat-Sat de resonancia magnética de rodilla: edema de médula ósea en la meseta tibial externa que ayuda al diagnóstico de fractura reciente en caso de duda.

2.3. Fractura de estrés (Figura 49)
Figura 49. Corte de secuencia sagital T1 de RM de rodilla: imagen lineal en el cóndilo femoral externo por fractura de estrés.

3. Infecciones
El empleo de gadolinio es particularmente útil para la evaluación de abscesos, demostrar la presencia de fístulas y diferenciar el engrosamiento sinovial del derrame(18)(Figura 50).
Figura 50. Corte de secuencia sagital T2 Fat-Sat de RM: colección de contenido líquido con imágenes hipointensas de aire por infección en el seno del músculo recto anterior femoral.

4. Lesiones isquémicas
4.1. Necrosis avascular (NAV)
En la NAV (aséptica, isquémica u osteonecrosis), hay una pérdida del flujo de sangre en el tejido óseo que hace que el hueso muera.
Se produce por un trastorno de la irrigación sanguínea o por lesiones celulares en el hueso y en la médula ósea.
Puede observarse en la RM la disminución de la intensidad de la lesión mucho antes de que se aprecie con otras pruebas diagnósticas (Figura 51).
Figura 51. Corte de secuencia T2 Fat-Sat coronal: lesión osteocondral con necrosis avascular del fragmento óseo.

4.2. Infartos
Los infartos medulares óseos aparecen en el 0,06% de los pacientes a quienes se les ha realizado una RM del aparato locomotor. Se presentan como lesiones segmentarias, puramente medulares, sin afección cortical, normalmente múltiples y que afectan predominantemente a los huesos largos de las extremidades, sobre todo las inferiores. La RM es esencial en el diagnóstico por imagen, apareciendo como lesiones óseas intramedulares de contornos serpiginosos hipo- o isointensos en secuencias T1 e hiperintensos en T2. Por tanto, la RM es el instrumento crucial en las fases iniciales, ya que permite caracterizar las lesiones y proceder a su diagnóstico temprano(19)(Figura 52).
Figura 52. A: corte de secuencia coronal T2 Fat-Sat con infartos óseos en el fémur y la tibia; B: corte de secuencia sagital T1 con infartos óseos en el fémur y la tibia.

4.3. Osteocondritis
En la osteocondritis se aprecia una lesión subcondral caracterizada por resorción ósea, colapso y la formación de un secuestro.
El estudio por RM es una herramienta valiosa para diagnosticar e identificar las lesiones del cartílago. Conocer el aspecto del cartílago y saber cuánto y cuándo se lesiona, basándose en las clasificaciones actuales, permiten al radiólogo proporcionar la máxima información al clínico(20).
Figura 53. Corte de secuencia sagital (A) y axial (B) T2 Fat-Sat de RM de rodilla: lesiones osteocondrales en el fémur y la rótula.

Numerosos estudios demuestran la utilidad de la RM para definir la estabilidad o inestabilidad de la lesión en la osteocondritis, destacando su carácter no invasivo y la capacidad de valorar la progresión y la respuesta al tratamiento(21)(Figuras 53 y 54).
Figura 54. Corte de secuencia T1 y T2 Fat-Sat coronal de resonancia magnética: gran osteocondritis en el cóndilo femoral interno con edema en la medular adyacente.

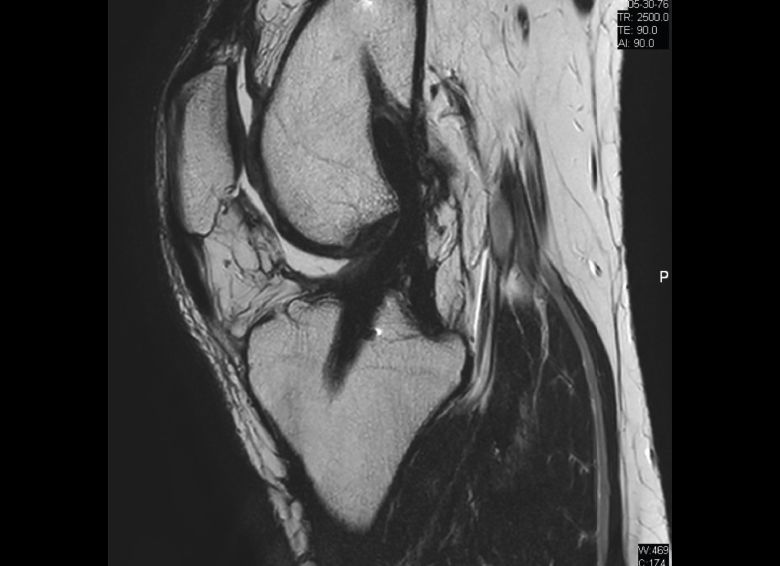
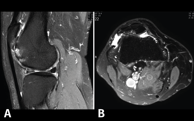
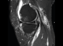
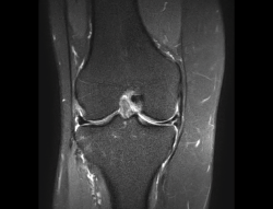
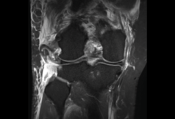
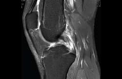
5. Tumores: óseos y de partes blandas
Figura 55. Corte de secuencia coronal T1 y STIR de resonancia magnética de rodilla: masa metafisaria tibial con fractura sobreañadida en la epífisis tibial proximal.

La RM es útil en las lesiones tumorales para determinar la extensión local (Figuras 55 y 56).
Figura 56. Corte de secuencia T2 Fat-Sat de resonancia magnética de rodilla: masa con intensidad de señal de grasa por gran lipoma localizado en la parte alta de la bursa suprapatelar.