Introducción
Las fracturas intraarticulares del calcáneo se han tratado clásicamente mediante un abordaje lateral ampliado en L que permite una exposición adecuada y una reducción de la articulación subastragalina posterior de forma precisa. Esta vía ampliada, sin embargo, se asocia con mayor frecuencia a complicaciones por daño o afectación de los tejidos blandos. La incidencia de estas complicaciones en la herida quirúrgica con este abordaje abierto oscila en las series entre el 2 y el 30%(1,2,3,4,5,6,7,8,9).
El empleo de un abordaje lateral limitado en determinados casos puede ser una buena alternativa para reducir la agresión y la disrupción de partes blandas. Existen diversas modificaciones del abordaje lateral limitado publicadas en la literatura, como son el abordaje de Palmer(10), el abordaje de Ollier(11) y el abordaje del seno del tarso(3,4,12,13,14,15,16,17,18,19).
El objetivo del presente estudio ha sido evaluar la efectividad del abordaje del seno del tarso en la reducción de las fracturas articulares de calcáneo, el mantenimiento de la reducción y las complicaciones asociadas a esta vía quirúrgica.
Material y método
Se llevó a cabo un estudio observacional retrospectivo en el que se incluyeron pacientes con fracturas de calcáneo tratadas en nuestro centro hospitalario, en las que se utilizó el abordaje del seno del tarso. Se incluyeron pacientes entre 18 y 60 años de edad, tratados desde enero de 2018 hasta julio de 2019. Se excluyeron: pacientes con fracturas de calcáneo abiertas, fracturas asociadas y fracturas de Sanders de tipo IV.
Las cirugías fueron realizadas por diferentes cirujanos. El consentimiento informado de todos los pacientes fue registrado.
Evaluación
Se evaluaron los datos demográficos de los pacientes: edad, sexo, estado fumador. Las fracturas se caracterizaron utilizando la clasificación de Sanders(20) mediante la realización de tomografía computarizada (TC) en el momento de urgencia a todos los pacientes. También se recogió el tiempo hasta la cirugía (días), el tiempo de ingreso (días) y el tiempo en descarga (semanas).
Clínicamente, se evaluó a los pacientes documentando las complicaciones relacionadas con la herida quirúrgica, lesión asociada del nervio sural y necesidad de nuevas intervenciones.
Radiológicamente, se evaluó la reducción conseguida, mediante la medición del ángulo de Böhler poscirugía, y el mantenimiento de dicha reducción midiendo dicho ángulo a los 3 meses poscirugía. El ángulo de Böhler(21) se mide en una radiografía lateral del tobillo tomando la intersección de una línea trazada desde la cara superior de la tuberosidad del calcáneo posterior a la superficie articular subastragalina superior y una línea trazada desde la superficie articular subastragalina superior a la cara superior del proceso anterior del calcáneo (Figura 1). Se considera este ángulo dentro de la normalidad cuando se obtienen unos ángulos entre 20 y 40°, siendo los ángulos < 20° sugerentes de fractura.
Figura 1. Abordaje del seno del tarso de 2-3 cm. Se realiza una línea que va desde el cuarto metatarsiano (4th) al peroné. F: fíbula.

Técnica quirúrgica
El momento en el que realizamos la cirugía viene determinado por la evolución de las partes blandas. Cuando aparece el “signo de la arruga” (aparecen arrugas en la zona del calcáneo), es señal de que la inflamación ha disminuido y, por tanto, ha disminuido el riesgo de dehiscencia de la herida y de infección.
Figura 2. Trayecto del nervio sural (con vessel loop) y de los tendones peroneos (*) en riesgo durante el abordaje.

Se coloca al paciente en decúbito lateral con la pierna contralateral doblada y la pierna del tobillo que se va a operar extendida, con manguito de isquemia en dicha pierna. Esta posición facilita tanto el abordaje como la visualización de la radiografía en proyección lateral y axial.
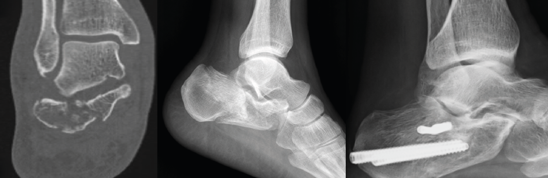
Figura 3. Varón de 59 años con fractura del calcáneo de Sanders de tipo IIA tras caída de 2 m de altura. Ángulo de Böhler precirugía de 6,3°, ángulo de Böhler poscirugía de 20,7° y a los 3 meses de 22,3°. No presentó ninguna complicación.

Para realizar el abordaje del seno del tarso(13) se sigue una línea imaginaria que discurre desde el eje del cuarto metatarsiano hasta la punta del maléolo lateral, realizando una la incisión de 2-3 cm sobre esta línea (se puede ampliar la incisión tanto hacia proximal como a distal) (Figura 1). La disección se debe realizar con cuidado para no dañar el nervio sural ni a los tendones peroneos que cruzan la incisión (Figura 2). Finalmente, se debe abrir el ligamento peroneo-calcáneo para acceder a la articulación subastragalina posterior; este paso no ha demostrado provocar inestabilidad de tobillo durante la evolución posterior.
Figura 4. Proyección axial del calcáneo. Steinmann en la tuberosidad posterior para corregir el varo-valgo.

La retirada de la pared lateral del calcáneo, ya fracturada, también facilita la visualización de la articulación.
Cuando tenemos todos los fragmentos en su posición anatómica, habiéndose conseguido la reducción de la superficie subastragalina posterior, se fijan de manera provisional dichos fragmentos con agujas de Kirschner (aK) de 1,0 o 1,2. Estas aK fijan los fragmentos laterales de la fractura a la zona medial que normalmente está intacta. Se comprueba bajo fluoroscopio (proyección lateral) que se ha restablecido el ángulo de Böhler (Figura 3) y se fija de forma definitiva con 2 o 3 tornillos canulados de lateral a medial.
Figura 5. Varón de 37 años con fractura del calcáneo de Sanders de tipo IIB tras caída de altura. En la imagen de la tomografía computarizada se observa hundimiento de la zona lateral de la subastragalina posterior y un trazo posterior “en lengua”. Ángulo de Böhler precirugía de 8,5°.

A la hora de corregir el varo-valgo y la longitud del calcáneo colocamos un pin Steinmann o aK de 3,0 o 4,0 en la tuberosidad posterior y damos angulación varo o valgo (Figura 4) según necesite cada caso y siempre comprobando con la fluoroscopia (proyección axial). Una vez conseguida la angulación correcta, se fija de forma definitiva con 2 tornillos canulados de posterior a anterior (Figuras 5 y 6).
Finalmente, se realiza lavado de la herida y cierre por capas.
Figura 6. Se fijó con 2 tornillos canulados de lateral a medial, 2 tornillos de posterior a anterior y 1 tornillo cerrando el trazo en lengua. Ángulo de Böhler poscirugía de 30,9° y a los 3 meses de 32°. No presentó ninguna complicación.

Se realiza vendaje compresivo de la pierna que se mantiene 1 o 2 días hasta que deje de sangrar y posteriormente se cambia por un apósito que facilita la movilización del tobillo.
Se insiste al paciente en que movilice el tobillo desde el momento de salir del quirófano. El paciente está en descarga entre 6 y 10 semanas y, posteriormente, comienza carga parcial hasta conseguir apoyo total 4 semanas después.
Análisis estadístico
Los datos se expresan estadísticamente utilizando media ± desviación estándar. Todos los análisis se llevaron a cabo utilizando GraphPad® Prism 6 (GraphPad Software Inc., San Diego, CA).
Resultado
Dieciséis pacientes con 18 fracturas se incluyeron finalmente en el estudio. Los pacientes presentaban una media de edad de 46 ± 10,5 años (32-60 años). Los datos demográficos de los pacientes se incluyen en la Tabla 1.
Tabla 1. Datos demográficos de los pacientes con fracturas del calcáneo incluidos en el estudio (16 pacientes)

La media de tiempo desde la fractura hasta la cirugía fue de 15,7 ± 6,5 días (8-28 días) y la media de tiempo de ingreso fue de 3 ± 1 días (1-6 días).
Los pacientes estuvieron en descarga una media de 7,7 ± 1,1 semanas (6-10 semanas).
El tiempo de seguimiento mínimo de los pacientes ha sido de 6 meses.
En todos los casos se consiguió una adecuada reducción de la fractura consiguiendo restaurar la altura, la anchura y la longitud del calcáneo, así como una reducción anatómica de la articulación subastragalina posterior.
Complicaciones
Ningún paciente tuvo problemas de dehiscencia o necrosis de la herida quirúrgica. Tres pacientes presentaron problemas de disestesias en el territorio del nervio sural, de los cuales 2 se resolvieron a los 2 meses de forma espontánea y un paciente requirió revisión en quirófano para realizar neurectomía secundaria.
No tuvimos ningún caso de síndrome regional complejo.
Tres pacientes requirieron una infiltración (anestésico más corticoide) en la articulación subastragalina, durante el primer año de seguimiento, por dolor, que se resolvió en 2 de los casos. En el otro caso, el paciente requirió una artrodesis subastragalina pasado el año de seguimiento.
Ningún paciente requirió retirada de los tornillos por molestias del material.
Evaluación radiológica
Se consiguió una mejoría del ángulo de Böhler en todos los pacientes. El ángulo de Böhler pasó de ser de 15,1 ± 8,8° antes de la cirugía, a 25,2 ± 7,8° poscirugía. En 3 pacientes se mejoró el ángulo de Böhler, pero no alcanzo rango de normalidad.
A los 3 meses tras la cirugía, cuando el paciente ya cargaba peso, el ángulo Böhler se mantuvo: 26 ± 8,9°.
Discusión
Las fracturas de calcáneo constituyen hasta el 60% de las fracturas de los huesos del tarso en adultos(22,23,24). El tratamiento quirúrgico clásico de estas fracturas mediante reducción abierta y fijación interna se ha abordado tradicionalmente mediante una incisión ampliada en L retromaleolar (descrita por Letournel y modificada posteriormente por Benirschke). Este abordaje proporciona una exposición amplia que permite una reducción más precisa de la articulación subastragalina. Sin embargo, el fino colgajo de tejido sobre el que se aborda la pared lateral del calcáneo puede resultar con frecuencia dañado. Es por ello que la principal desventaja de esta reducción abierta por vía ampliada es la alta tasa de complicaciones que pueden surgir al nivel de la herida quirúrgica(25).
El reciente empleo de vías de abordaje más limitadas que disminuyan la posible afectación de partes blandas ha supuesto una importante evolución en el manejo de estas fracturas(3,4,10,11,12,13,14,15,16,17,18,19). A. J. Kline et al.(26) describe como principales ventajas del abordaje mínimamente invasivo una menor incidencia de complicaciones de la herida quirúrgica y de cirugías secundarias. Concluye, no obstante, que los resultados clínicos son similares con ambos abordajes.
De entre los abordajes mínimamente invasivos descritos en la bibliografía reciente destaca el del seno del tarso. En una revisión sistemática reciente de T. Schepers(3), en la que se valoran 8 estudios recientes con este abordaje, destaca que los resultados funcionales y la tasa de complicaciones con este abordaje son similares o superiores al abordaje extendido. Incide en la importancia de elegir de forma correcta el tipo o patrón de fractura y de paciente. Consideramos, por tanto, que es un abordaje idóneo para aquellos pacientes con afectación del estado de las partes blandas previo o con presencia de enfermedades o situaciones que nos hagan prever problemas con la herida quirúrgica (tales como la diabetes mellitus –DM– o pacientes fumadores).
Al igual que en la mayoría de los artículos publicados hasta la fecha, consideramos este abordaje apropiado para fracturas de Sanders de tipo II y en algunos casos de tipo IIIA. Somos conscientes, no obstante, de la problemática surgida alrededor de esta clasificación y su variabilidad interobservador(27).
Se han publicado recientemente 2 metaanálisis que comparan el abordaje ampliado clásico frente al abordaje más limitado del seno del tarso(28,29). Concluyen ambos que el abordaje del seno del tarso se asocia a una menor incidencia de complicaciones y a un menor tiempo quirúrgico.
En cuanto al método de fijación empleado somos partidarios del uso de tornillos canulados en lugar de las placas de estabilidad angular convencionales. Esto nos permite minimizar el riesgo de daño de las partes blandas proporcionando, a nuestro modo de ver, una forma efectiva de lograr la estabilidad deseada.
La disposición de estos tornillos es, según se describe en la técnica quirúrgica: 2 o 3 en dirección de lateral a medial (logrando a modo de empalizada un soporte suficiente para la faceta subastragalina posterior) y 1 o 2 tornillos en sentido longitudinal controlando la longitud y el eje varo/valgo del retropié. En ocasiones, cuando la fractura presenta un trazo en el plano sagital que afecta la anchura del calcáneo, disponemos otro tornillo en sentido superoinferior. Hemos encontrado, por último, algún patrón de fractura con afectación de la tuberosidad posterior (o patrones en “lengua”), que exigen, por tanto, reducción y fijación con otro tornillo canulado.
En aquellos pacientes en los que nos encontramos ante un defecto óseo mayor de 1,5-2 cm al nivel de la articulación subastragalina posterior, asociamos en el mismo acto quirúrgico el relleno del defecto con sustitutos óseos que proporcionen soporte posterior y mantenimiento, colocando posteriormente los tornillos.
Existen ciertas limitaciones en este estudio: presenta un diseño retrospectivo, con un seguimiento limitado en el tiempo y sin un grupo de casos control que permita obtener datos comparativos. Existen, sin embargo, pocos estudios(30,31) publicados hasta la fecha que correlacionen el resultado funcional y la calidad de la reducción de la faceta posterior de fracturas intraarticulares del calcáneo.
Un estudio comparativo podría proporcionar en el futuro datos sobre las diferencias en resultados funcionales de ambas vías de abordaje.
Conclusión
El abordaje del seno del tarso es una vía de abordaje efectiva en la restauración de la articulación subastragalina posterior, con bajo porcentaje de complicaciones relacionadas con las partes blandas y de lesión nerviosa; sin embargo, se trata de una vía exigente que requiere entrenamiento.