Introducción
El codo es una articulación particularmente propensa a la rigidez debido a su anatomía y complejidad biomecánica. La rigidez del codo interfiere con las actividades de la vida diaria, como la higiene personal, comer y vestirse. El tratamiento de esta patología plantea un desafío para el traumatólogo. El codo como articulación tiene dos grados de libertad y los movimientos disponibles en el espacio son flexión, extensión, pronación y supinación(1).
Una articulación funcional también debe garantizar la estabilidad, que depende tanto de la compleja conformación de las superficies articulares como de las estructuras capsuloligamentosas y los músculos que se insertan a su alrededor.
El arco de movilidad funcional se considera 100° de flexoextensión (−30/130°) y de 50° en cada sentido de pronosupinación. La rigidez del codo se define como la pérdida de movimiento mayor de 30° en extensión y la pérdida de flexión de menos de 120°(1).
Las causas de la rigidez del codo se pueden clasificar como traumáticas o atraumáticas y como congénitas o adquiridas. Cualquier alteración que afecte a los elementos de estabilidad del codo también puede provocar una reducción del arco de movimiento.
La rigidez del codo es una complicación frecuente después de un traumatismo y puede ser secundaria a fracturas, luxaciones, lesiones de partes blandas y quemaduras cutáneas. Morrey postuló que el codo era especialmente vulnerable al desarrollo de rigideces debido a su compleja anatomía articular caracterizada por un alto grado de congruencia(2).
Las clasificaciones más utilizadas se basan en la ubicación anatómica de las lesiones (clasificación de Morrey) y en las estructuras involucradas (clasificación de Kay). Morrey(2) dividió las causas de rigidez del codo en intrínsecas, extrínsecas y mixtas, según la etiología y la ubicación. Las intrínsecas son de un origen intraarticular, como cuerpos libres, osteofitos, artritis, pseudoartrosis y adherencias intraarticulares. Las extrínsecas son típicamente extraarticulares, como por ejemplo la contractura capsular o muscular, las osificaciones heterotópicas, las barras óseas, pseudoartrosis extraarticulares y las contracturas por quemaduras cutáneas. Las formas mixtas pueden tener tanto elementos extrínsecos como intrínsecos.
La clasificación propuesta por Kay(3) se basa principalmente en la estructura anatómica que causa la rigidez, con 5 tipos: tipo 1, contractura de tejidos blandos; tipo 2, contractura de tejidos blandos con osificación heterotópica; tipo 3, fractura articular no desplazada con contractura de partes blandas; tipo 4, fractura intraarticular desplazada con contractura de tejidos blandos concomitante; y tipo 5, barras óseas postraumáticas.
La etiología de la rigidez es la base de su clasificación, diagnóstico, prevención y tratamiento: según si la causa es por rigidez de partes blandas, deformidades óseas u osificaciones heterotópicas, el tratamiento y su posible prevención serán distintos. En el caso de las osificaciones heterotópicas sería la indometacina una posible terapia preventiva y la exéresis con o sin radioterapia coadyuvante su tratamiento.
La rehabilitación temprana, el menor tiempo posible de inmovilización y la cirugía en determinadas ocasiones conforman el tratamiento fundamental de esta patología.
Diagnóstico
Las restricciones de movilidad de la articulación del codo deben analizarse cuidadosamente y relacionarse con los requisitos funcionales individuales del paciente, especialmente en el medio laboral. El dolor y la inestabilidad medial residual tras cicatrización parcial o elongación del complejo ligamentoso en el codo se toleran mejor que la rigidez o una inestabilidad posteromedial. Ante la disyuntiva de no poder asegurar una articulación estable, consideramos que la estabilidad tiene prioridad sobre la movilidad. En caso de que un tratamiento conlleve un riesgo de provocar una inestabilidad crónica, creemos que es preferible una restricción de movilidad de 20-40° a un codo inestable. En el momento de valorar cada caso debe tenerse en cuenta el estado de los tejidos blandos circundantes, ya que en ocasiones las cicatrices de la propia piel pueden provocar o agravar la pérdida de movimiento. Las cicatrices cutáneas posteriores más frecuentemente que las anteriores pueden provocar déficits de flexión si la piel pierde su elasticidad, sobre todo en el área olecraneana. Su tratamiento constituye a menudo parte fundamental para mejorar el resultado global.
Si se considera el tratamiento quirúrgico, se debe planificar de forma meticulosa el abordaje, teniendo en cuenta la calidad de la piel, la ubicación de incisiones previas y la vascularización local. Las lesiones cutáneas pueden requerir cirugía plástica, con el uso de colgajos locales de cobertura o injertos libres de piel.
La evaluación neurológica previa a la cirugía es imprescindible. El nervio cubital es particularmente sensible en los procesos de recuperación funcional, especialmente si se asocia con el trauma inicial, pudiendo ser causa propiamente de la rigidez por el dolor y las parestesias que provoca su lesión o compresión, especialmente si el balance articular que falta es en la flexión. En caso de grandes traumatismos o cicatrices, el deslizamiento y el estiramiento normales del nervio cubital durante los movimientos del codo pueden verse alterados y cualquier procedimiento que aumente la movilidad del codo puede crear o empeorar síntomas de neuropatía cubital, especialmente si el nervio está incluido en la formación de la cicatriz.
La liberación del nervio cubital en el canal epitrocleolecraneano es una parte integral del procedimiento y algunos autores incluso abogan por una transposición anterior como rutina profiláctica para prevenir los síntomas postoperatorios(4).
Los nervios radial y mediano se alteran con menor frecuencia al recuperarse el movimiento del codo, pero también pueden verse afectados por la formación de cicatrices en su trayecto después del trauma inicial y, si son sintomáticos, también necesitarán una liberación quirúrgica(2,3).
Los músculos alrededor del codo se ven afectados a menudo, pero no son frecuentes los desgarros totales o parciales, excepto en los casos donde se producen lesiones por heridas incisas, y sí lo son las desinserciones en el contexto de arrancamientos ligamentosos en las luxaciones, donde la musculatura flexopronadora y extensosupinadora es la más frecuentemente afectada.
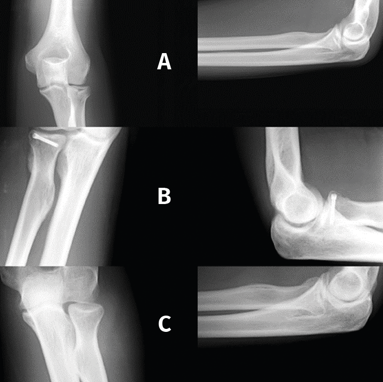
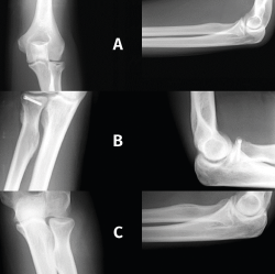
Las osificaciones heterotópicas limitan la movilidad, especialmente en las fracturas de la cabeza del radio por su situación anatómica y la complejidad del mecanismo de pronosupinación (Figura 1).
Figura 1. Calcificación heterotópica posfractura de la cabeza del radio. A: imágenes de la fractura; B: calcificación heterotópica en cuello; C: imagen tras la exéresis.

El uso de un correcto acceso quirúrgico para realizar los procedimientos disminuye la formación de cicatrices, con la consiguiente tensión y acortamiento capsular, ligamentoso y muscular; esto constituye un elemento que puede contribuir a la rigidez en caso de no realizarse correctamente.
Los procedimientos realizados para recuperar el movimiento que deban incluir la reparación o reinserción de los músculos para recuperar su morfología, tensión y función pueden contribuir a la rigidez articular por la necesidad de una inmovilización tras la reparación y, con ello, retrasar el inicio precoz de la recuperación funcional aumentando la rigidez; a pesar de no poderse evitar, se debe tener en consideración cuando se realizan estas operaciones.
Los complejos ligamentos colaterales medial y lateral junto con la cápsula articular deben evaluarse para identificar los componentes que contribuyen a la restricción del movimiento, pero también para determinar su competencia y así asegurar la estabilidad articular.
Las pruebas complementarias diagnósticas nos deben permitir orientar la causa de la rigidez y planificar el tratamiento, sea conservador o quirúrgico.
Los estudios de imagen para evaluar un codo rígido deben ser, en primer lugar, unas radiografías simples, que incluyan proyecciones anteroposterior, lateral y 2 oblicuas. Si se requieren más detalles de la superficie articular, se debe realizar una tomografía computarizada (TC) del codo con reconstrucciones tridimensionales que ayudará en la planificación quirúrgica para eliminar osteofitos y osificaciones heterotópicas (Figura 2).
Figura 2. Fibrosis articular, degeneración del cartílago y presencia de cuerpos libres no calcificados.

La resonancia magnética (RM) puede ser útil para valorar el cartílago articular, la fibrosis articular y periarticular, el estado ligamentoso y la presencia de cuerpos libres no calcificados (Figura 3).
La ecografía en manos expertas representa una prueba que ayuda a la valoración de la fibrosis alrededor de la cúpula radial que puede ser causa de limitación de la pronosupinación y también puede ayudar a diagnosticar las roturas y el estado de cicatrización de los complejos ligamentosos. Las electromiografías deben realizarse en caso de sospecha de afectación nerviosa durante la exploración física.
Figura 3. Fibrosis articular, imagen de resonancia magnética.

Los casos en los que estén presentes procesos subyacentes, como las artropatías inflamatorias u otras enfermedades sistémicas, deben controlarse médicamente antes y durante el tratamiento del codo rígido, con un tratamiento antiinflamatorio o biológico prescrito por el reumatólogo. Los pacientes hemofílicos o con enfermedades de base que afecten a la coagulación deben recibir una reposición adecuada de factores sanguíneos para prevenir la hemartrosis, que aumenta la fibrosis articular. La degeneración articular y la rigidez también pueden ser secundarias a un codo séptico, que debe ser tratado con antibioterapia endovenosa y desbridamientos quirúrgicos para disminuir la probabilidad de destrucción articular.
Para valorar la función del codo también debe tenerse en cuenta la función completa de la extremidad superior, ya que los trastornos de la cintura escapular, la muñeca y la mano pueden contribuir a la rigidez y perjudicar la recuperación funcional del codo y el antebrazo.
Las indicaciones para el tratamiento de la rigidez del codo son relativas y dependen de la apreciación del paciente del déficit funcional. Cualquier restricción medida en grados puede tener diferentes implicaciones para diferentes individuos dependiendo de la incomodidad y el grado de exigencia física que le suponga la actividad laboral al paciente.
Independientemente del tratamiento que se elija, un codo con una lesión grave nunca volverá a ser completamente normal; la explicación de las expectativas razonables que se pueden conseguir con el tratamiento propuesto es obligatoria para que el resultado funcional sea valorado como un éxito por parte del paciente.
Tratamiento
Tratamiento conservador
La elección del tratamiento conservador estará condicionada por muchos factores, como el modo de presentación, la gravedad, las comorbilidades y el grado de cumplimiento del paciente. En ausencia de conflictos mecánicos que causen un movimiento articular restringido, como una pseudoartrosis, luxación o una osificación heterotópica, se debe considerar el tratamiento no quirúrgico en primera instancia(5).
La base de la rehabilitación es la terapia manual del fisioterapeuta para recuperar el balance articular. Frecuentemente, el uso de analgésicos según el dolor que manifiesta el paciente es necesario y, en los casos en los que este dolor impida el progreso de la rehabilitación, se pueden realizar infiltraciones articulares o implantar catéteres axilares analgésicos junto con rehabilitación intensiva.
Dentro de esta fase inicial, la ferulización, ya sea estática o dinámica según el tipo de traumatismo, ha demostrado ser útil para tratar en la fase temprana la rigidez postraumática(6,7). El tratamiento no quirúrgico debe incluir la fisioterapia, ultrasonidos (US), la terapia manual para el tratamiento de cicatrices, el drenaje de los edemas y los ejercicios de rango guiado de movimiento junto con las movilizaciones pasivas. El artrómetro de movimiento pasivo continuo de codo también es una opción, pero es más controvertida, ya que en ocasiones podría aumentar el riesgo de hemorragias, la hinchazón global del codo y la inflamación secundaria del nervio cubital(8).
En esta primera fase, el objetivo es la mejora del balance articular hasta conseguir una movilidad funcional de al menos 100°; posteriormente, una vez el dolor y la inflamación han disminuido y se considere que la patología de base lo permite, se iniciarán los ejercicios de potenciación muscular realizados por el propio paciente mediante el uso de gomas y pesas para recuperar la plena funcionalidad del codo.
Si tras 3 a 6 meses de fisioterapia no se recupera un balance articular funcional, se tienen que analizar las causas. Realizar una nueva exploración completa y repetir las pruebas complementarias nos permitirá analizar las causas del fracaso y valorar, según el tipo de patología tratada, si se debe considerar el tratamiento quirúrgico(9).
En nuestra experiencia, a veces la patología que genera esta rigidez no es determinante para prever la evolución clínica de un paciente; en ocasiones, una fractura de la cabeza del radio no desplazada puede presentar una rigidez comparable a una fractura supracondílea. Los factores intrínsecos del paciente, como la tendencia a realizar fibrosis, la falta de tolerancia al dolor o los factores psicosociales, junto con la personalidad, pueden dificultar en gran medida la recuperación funcional del codo.
Tratamiento quirúrgico
Las series de casos que se describen en la literatura presentan mayoritariamente buenos resultados después de la liberación quirúrgica de las rigideces del codo. Existen diferentes métodos descritos para lograrlo, que van desde artrolisis abierta más o menos extensa, la liberación artroscópica y la artrolisis abierta combinada con fijación externa, con o sin distracción concomitante(10). Estos procedimientos se han combinado con diferentes regímenes postoperatorios. La gran diversidad de tipos de lesión que producen rigidez, los pacientes con diferentes requerimientos funcionales para realizar su trabajo y sobre todo el tipo y los grados de rigidez dificultan en gran medida la estandarización del tratamiento a realizar y condicionan la forma de evaluar los resultados.
La forma como medimos el rango de movimiento, el dolor residual y las complicaciones también representan un elemento de sesgo; en conjunto, todo esto dificulta las comparaciones y no podemos a menudo confiar en la literatura para encontrar el tratamiento ideal en cada caso individual.
Los resultados en las diversas series describen una ganancia en el movimiento del codo que oscila entre 40 y 80°, independientemente del método utilizado como tratamiento quirúrgico(10,11,12).
Las complicaciones notificadas, que van desde infecciones leves y recurrencia de la rigidez hasta complicaciones graves como daño nervioso permanente, fracturas e infecciones profundas, varían considerablemente. En su revisión sistemática, Kodde et al.(10) encontraron que la tasa de complicaciones parecía aumentar en relación con la agresividad del procedimiento. Otra revisión sistemática de Cai et al.(11) informó una tasa de complicaciones del 24% y una tasa de reintervención del 34%. También encontraron que un rango de movimiento preoperatorio menor y el sexo femenino tendían a estar asociados con una mayor tasa de complicaciones.
Artrolisis abierta
Es el procedimiento más utilizado y su complejidad o extensión depende del número y la localización de los elementos a tratar. El acceso utilizado debe estar relacionado con el tipo de rigidez y la ubicación de las adherencias, calcificaciones heterotópicas, osteofitos o deformidades a corregir, así como con la necesidad de realizar descompresiones nerviosas en el mismo procedimiento.
La disección cuidadosa y la localización de las estructuras neurovasculares antes de realizar la liberación articular permiten realizar de forma segura la cirugía y evitan la iatrogenia.
Los anteriores procedimientos y las cicatrices pueden limitar las opciones para nuevas incisiones. Habitualmente, el acceso sobre la columna lateral descrito por Mansat y Morrey(12) permite acceder a la parte anterior y posterior con cierta comodidad y seguridad para realizar la artrolisis. En caso de precisar liberación del nervio cubital o del complejo ligamentoso colateral medial, se requiere una incisión medial o posterior desde la cual se podría abordar tanto la cara medial como la lateral si se diseca la piel, pero no se podrá abordar la cara anterior del codo.
Artrolisis artroscópica
Los pacientes con rigideces secundarias a lesiones de partes blandas articulares, pero sin deformidades esqueléticas que necesiten ser tratadas, pueden ser candidatos adecuados para la artrolisis artroscópica. La necesidad de tratar otras lesiones situadas extraarticularmente requiere cirugía abierta y, en ese caso, la artroscopia pierde sus ventajas al alterar la anatomía y dificultar el procedimiento abierto. Sin embargo, en algunas situaciones una combinación de un procedimiento artroscópico para la parte intraarticular se puede utilizar junto con un acceso abierto limitado que no se vea entorpecido por el habitual edema; por ejemplo, la liberación del nervio cubital.
Las patologías más habituales tratadas por medio de una artrolisis artroscópica incluyen: la sinovectomía parcial, el desbridamiento intraarticular de adherencias o lesiones condrales y la liberación capsular y/o capsulotomía anterior y posterior. Los cuerpos libres se pueden extraer y también resecar los osteofitos, frecuentemente situados en coronoides, olécranon o en la foseta olecraneana humeral (Figura 4).
Figura 4. Exéresis de cuerpos libres articulares por artroscopia.

Los principales beneficios del método artroscópico son la agresión quirúrgica limitada, un inicio más precoz de la rehabilitación y la revisión detallada de la patología intraarticular. Este procedimiento es técnicamente exigente, precisa del uso de al menos 2 portales anterolaterales y mediales para abordar la cara anterior del codo (liberación capsular, limpieza de la fibrosis de la cabeza del radio, exéresis de cuerpos libres) y al menos 2 portales posteriores para trabajar en la foseta olecraneana, la parte posterior de la cabeza del radio y en la inserción del tríceps.
Esta cirugía debe ser realizada por cirujanos con experiencia dilatada en la artroscopia de codo; la proximidad de las estructuras neurovasculares hacen potencialmente peligroso el procedimiento, pero, si las indicaciones y contraindicaciones son respetadas, una artrolisis artroscópica del codo se considera un procedimiento seguro(13).
Fijación externa
El uso de la fijación externa en el tratamiento de las rigideces del codo quizás no está muy extendido en nuestro medio, pero ha sido defendido por diferentes razones. Zhou et al.(14) encontraron que después de una extensa liberación abierta el codo podía ser inestable y protegiendo su liberación con un fijador con bisagras mejoraban la estabilidad, permitían una movilidad precoz y evitaban la inestabilidad secundaria a este procedimiento.
En casos de artrosis postraumática con grave destrucción articular, la combinación de la liberación abierta, capsulectomía y artroplastia de interposición con tejido biológico autólogo o con aloinjertos, la protección con un fijador externo con bisagras puede ayudar en la recuperación funcional evitando una inmovilización postoperatoria que en estos casos es contraproducente(15). Este procedimiento se ha recomendado en pacientes más jóvenes y de alta demanda como alternativa al reemplazo protésico reservado para pacientes de más edad y con pocas demandas funcionales.
Manipulación bajo anestesia
La bibliografía sobre estos procedimientos y sus resultados es escasa; consideramos que el riesgo de fracturas iatrogénicas causado por la manipulación agresiva bajo anestesia sin liberación quirúrgica previa es elevado y no aconsejamos su uso rutinario. Por otro lado, si las causas de la rigidez se han podido eliminar, la movilización pasiva con fuerza suave a menudo es beneficiosa si se realiza al final del procedimiento(16).
Artroplastia total o parcial de codo
En el medio laboral, la artroplastia parcial o total de codo tiene unas indicaciones limitadas por la edad de nuestros pacientes y sus altos requerimientos funcionales que frecuentemente desaconsejan su uso. Su uso e indicación en el tratamiento de las rigideces de codo es excepcional(17,18,19).
Discusión
La efectividad de los diferentes métodos de tratamiento para la rigidez primaria o secundaria a traumatismos del codo está condicionada al tipo de lesión que la ha producido. Cuanto mayor sea el número de estructuras involucradas y su afectación, la rigidez puede ser más compleja de tratar, pero frecuentemente lesiones menores, como una fractura de la cabeza del radio, pueden provocar importantes limitaciones de la movilidad, siendo su tratamiento a priori más sencillo. El tipo de paciente y sus requerimientos funcionales también nos condicionarán la indicación y la agresividad del procedimiento, ya que, como hemos comentado, un codo con cierta rigidez pero sin dolor y estable es más útil que un codo con buena movilidad pero inestable que puede limitar en gran medida su uso en la actividad laboral.
El tratamiento conservador debe ser nuestra primera opción siempre que sea posible y, utilizando todos los recursos disponibles actualmente, constituye una buena opción que consigue resolver un gran número de rigideces independientemente de la patología de base que las motiva. Su duración e intensidad estarán condicionadas por los resultados que se obtengan con el paso de las semanas. En caso de no conseguir un resultado funcional satisfactorio en el plazo que se considere normal, habitualmente de 3 a 6 meses según la patología tratada, una revaloración del caso y el uso de la cirugía puede que estén indicadas.
La experiencia del cirujano en el uso de los distintos métodos de tratamiento condicionara el tipo escogido, pero, en general, la artrolisis artroscópica se reservará para tratar rigideces de partes blandas sin problemas óseos sintomáticos. Los tejidos blandos que provocan rigidez en el codo incluyen la falta de elasticidad y adherencia de la cápsula articular, los complejos ligamentosos y los músculos. La mayoría de estos problemas pueden abordarse artroscópicamente, la recuperación funcional es satisfactoria y las complicaciones son relativamente raras en manos expertas. La liberación artroscópica tiene la ventaja de ser menos agresiva sobre los tejidos blandos, permite una mejor visualización de las articulaciones y una recuperación funcional más rápida. Es fundamental identificar los problemas óseos antes de la cirugía y las pruebas complementarias, especialmente la RM y la TC con reconstrucción tridimensional, nos permiten decidir la idoneidad de este procedimiento para solucionar todos los problemas en cada caso particular.
La falta de elasticidad de la cápsula anterior conduce al déficit en flexión y la de la cápsula posterior conduce a la rigidez en extensión. La capsulectomía abierta o artroscópica descrita para su tratamiento se vuelve un procedimiento muy desafiante cuando hay adherencias entre la cápsula y la articulación y no hay espacio de trabajo para visualizar y liberar la articulación y, con ello, el riesgo de lesión nerviosa en estos casos se aumenta de forma significativa. Si la flexión del codo no mejora después de la capsulectomía, es necesario explorar y evaluar el ligamento colateral medial.
El nervio cubital puede provocar dolor y disestesias en los procesos de recuperación funcional y en ocasiones puede ser causa de rigidez; en estos casos, la descompresión en el canal epitrocleolecraneano y, según en qué casos, su transposición son necesarias. Una buena exploración neurológica preoperatoria y en ocasiones una electromiografía son necesarias para valorar la necesidad de añadir este procedimiento para tratar la rigidez.
Las adherencias tras una fractura de la cabeza del radio pueden ocurrir en el ligamento anular, lo que conduce a la limitación de la pronación y la supinación, precisando un tratamiento específico para mejorarla; en este caso, el procedimiento artroscópico presenta ventajas claras para su tratamiento.
Los complejos ligamentosos colaterales, especialmente el medial, también pueden afectar a la flexión y la extensión. Liberar su adherencia es técnicamente exigente y las lesiones intraoperatorias de estos ligamentos pueden conducir a la inestabilidad articular.
La adhesión entre los músculos y el húmero distal es común después de una fractura. Los 2 músculos que a menudo pueden afectar el movimiento del codo son el braquial anterior, que limita la extensión en la parte anterior, y el tríceps, que limita la flexión en la parte posterior. La adherencia localizada se puede liberar eficazmente con la artroscopia, pero las adherencias extensas precisan de importantes liberaciones que solamente se pueden realizar por cirugía abierta. La musculatura flexopronadora y extensosupinadora no constituye una causa frecuente de rigidez, pero sí que puede contribuir a la inestabilidad cuando se ve afectada en las lesiones en las que fracturas y luxaciones están presentes juntas, como por ejemplo en la fractura luxación de Monteggia.
En los codos rígidos sin problemas óseos, si los tejidos blandos se han identificado y se han resuelto contracturas o adherencias, debe lograrse un movimiento pasivo cercano al normal al final de la artrolisis, pero este aparente excelente resultado puede, por el propio proceso de cicatrización de la liberación realizada, tener alguna pérdida de movilidad al final del proceso de rehabilitación.
En los casos donde existe afectación ósea, si son osteofitos articulares de pequeño tamaño, se pueden resecar en el mismo procedimiento artroscópico de forma fiable y este además permite la evaluación de la mejora de la limitación una vez resecados. En el caso de deformidades secundarias a consolidaciones de fracturas o a osificaciones heterotópicas extraarticulares la cirugía abierta es mejor, al disminuir el riesgo de lesiones vasculonerviosas y permitir su corrección o exéresis(12).
La rehabilitación postoperatoria es fundamental para una buena recuperación funcional después de estos procedimientos; en nuestra experiencia, utilizar una CPM (continuous passive motion) en las primeras etapas después de la cirugía puede ser beneficioso junto con la terapia manual realizada por el fisioterapeuta y los tratamientos coadyuvantes.
Conclusión
La rigidez de la articulación del codo es frecuente debido a su complejidad anatómica y biomecánica, y puede ser debida a diversas patologías traumáticas y no traumáticas. El tratamiento de la rigidez en estas patologías puede representar un desafío por la dificultad para prever su evolución y la respuesta a los diferentes tipos de tratamiento. La etiología de la rigidez es la base de su clasificación, diagnóstico, prevención y tratamiento. La rehabilitación temprana, la mínima inmovilización y en ocasiones la cirugía son cruciales para la prevención y el tratamiento de estas lesiones. Actualmente, los tratamientos conservadores y quirúrgicos son considerados válidos; la elección depende de muchos factores, como el modo de presentación, la gravedad y el tipo de las lesiones, la presencia de comorbilidades y el grado de cumplimiento del paciente. En la traumatología laboral, el alto grado de exigencia de nuestros pacientes, por sus necesidades funcionales, en ocasiones puede motivar una mayor agresividad en las terapéuticas aplicadas, pero no debemos olvidar nuestra experiencia y el primum non nocere cuando tratemos esta patología.