Resumen
Las fracturas del extremo proximal de cúbito y radio tienen una alta incidencia dentro de la patología aguda del codo en el mundo laboral. Conocer la anatomía y la biomecánica será de suma importancia para plantear las posibilidades terapéuticas. Saber el papel clave que tienen ciertas estructuras en la estabilidad de la articulación permitirá proceder al tratamiento idóneo en cada caso y prevenir en la medida de lo posible las complicaciones.
El diagnóstico es clínico; las pruebas de imagen no solo confirmarán el diagnóstico, sino que nos ayudarán a descartar lesiones asociadas y a planificar la cirugía cuando sea necesaria.
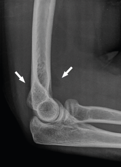
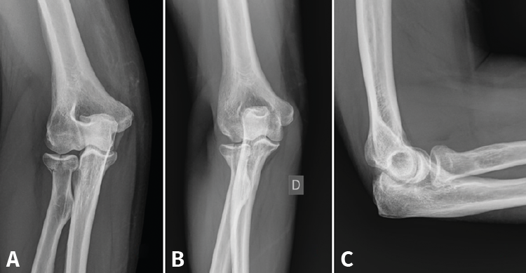
Repasaremos los tipos de fracturas que afectan a la cabeza del radio y al extremo proximal del cúbito, que diferenciaremos entre fracturas de olécranon y fracturas de la apófisis coronoides.
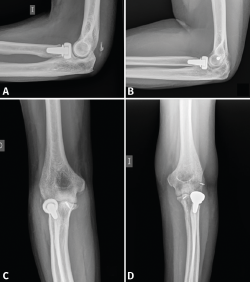
Las fracturas de la cabeza del radio las trataremos de forma conservadora si son simples y estables, y mediante reducción abierta y fijación interna si son más complejas. La resección parcial o completa será una posibilidad siempre y cuando no existan lesiones ligamentosas asociadas y la artroplastia total será la opción cuando no obtengamos una fijación estable o en caso de conminución severa.
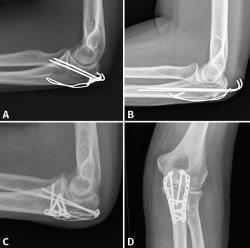
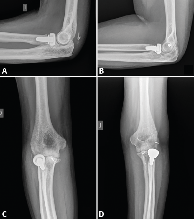
Las fracturas del olécranon serán quirúrgicas cuando exista desplazamiento de los fragmentos, ya sea mediante cerclaje de alambre o colocando placas anatómicas si presentan extensión metafisaria.
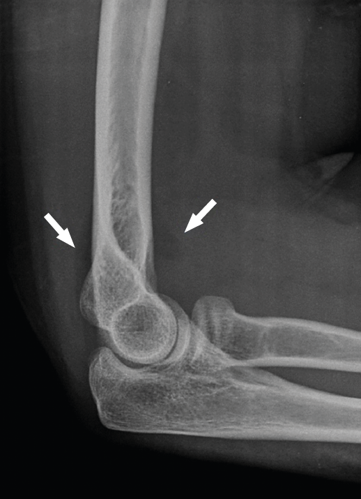
En cuanto al tratamiento quirúrgico de las fracturas de coronoides, será imprescindible dentro del contexto de lesiones complejas que afecten a la estabilidad del codo y no solo tendremos en cuenta el tamaño, sino también la localización de los fragmentos.
Abstract
Proximal radius and ulna fractures have a high incidence among acute elbow occupational injuries. Precise anatomy and biomechanical knowledge is essential when considering management and treatment options. We must know the key role of certain anatomical structures in elbow stability in order to choose the most suitable treatment for each case and prevent potential complications as much as possible.
Diagnosis will be essentially based on physical examination. Imaging tests will be helpful to confirm this diagnosis, detection of associated injuries and preoperative planning when needed.
This article is a review about radial head and proximal ulna (olecranon and coronoid process) fracture types.
Non-operative treatment will be first choice for simple and stable radial head fractures. Surgery may be needed in more complex cases. Partial or full excision is indicated if there are no associated ligamentous injuries. Total arthroplasty may be an option in severe cases or when a stable fixation is not possible.
Operative treatment in olecranon fractures is mandatory when fragments are displaced. Tension band systems is the most common form of internal fixation for non-comminuted fractures. Anatomical plates may be used in more complex cases.
Coronoid process surgical treatment is indicated in complex elbow injuries when joint stability is compromised. We must consider fragment size and location in order to choose the most appropriate repairing technique.
Artículo
Figuras y tablas
Referencias
Descargas
Licencia
Este contenido es de acceso abierto (Open-Access) y se ha distribuido bajo los términos de la licencia Creative Commons CC BY-NC-ND (Reconocimiento-NoComercial-SinObraDerivada 4.0 Internacional) que permite usar, distribuir y reproducir en cualquier medio siempre que se citen a los autores y no se utilice para fines comerciales ni para hacer obras derivadas.
 
 
 
 
 
 
 
 
 
 
 
 
 
 
 
