Introducción
La integridad de la apófisis coronoides del cúbito es determinante en la estabilidad de la articulación del codo, pero existen ciertos patrones de inestabilidad que no están bien establecidos. Uno de los ejemplos lo tenemos en las fracturas aisladas de la apófisis coronoides, en las que tradicionalmente la clasificación de Regan y Morrey nos daba idea de la inestabilidad potencial de la lesión. Posteriormente, el mejor conocimiento de la anatomía, la biomecánica y los patrones de inestabilidad nos ha permitido estadificar mejor estas lesiones y, basándose en la clasificación de O’Driscoll, diferenciar las fracturas de apófisis coronoides no solo por la altura comprometida, sino por la extensión lateral y medial de la fractura de la coronoides. De esta manera, se han relacionado ciertos patrones de fractura con potencial lesión ligamentosa, que comprometería la estabilidad de la articulación del codo. Así, se relacionan las fracturas que afectan a la parte anteromedial de la apófisis coronoides con lesiones del complejo ligamentoso lateral. El ligamento colateral cubital comprende 4 componentes: el ligamento anular, el colateral radial, el colateral ulnar y el ligamento colateral accesorio. Este complejo ligamentoso contribuye a la estabilidad en varo, limitando el desplazamiento posterolateral.
Caso clínico
Presentamos el caso de una mujer de 46 años, diestra, sin patología crónica y que trabaja como auxiliar en una residencia geriátrica. Durante su jornada laboral sufre una caída casual presentando dolor y limitación funcional en su codo izquierdo. No presenta deformidades externas en el codo, ni lesiones vasculonerviosas. En el estudio radiológico, se sospecha una fractura de la punta de la apófisis coronoides del codo izquierdo, que correspondería, según la clasificación de Regan y Morrey, al tipo 1 (Figuras 1 y 2). Se comprueba que el codo es estable y se coloca una férula braquial, a la espera de realizar una tomografía computarizada (TC), que confirma la lesión. En la TC podemos visualizar mejor la morfología de la fractura de coronoides tanto en los cortes sagitales (Figura 3), como en los axiales (Figura 4).
Figura 1. Radiografía lateral del codo izquierdo. La silueta señalada corresponde a la fractura de la punta de la apófisis coronoides el día de la caída.

Conforme va recuperando el arco de movilidad, la paciente refiere sensación de inestabilidad, que ella lo refiere “como si se le saliera algo del sitio”. Con esta situación, es remitida a nuestras consultas, solicitándole una resonancia magnética (RM) de codo izquierdo.
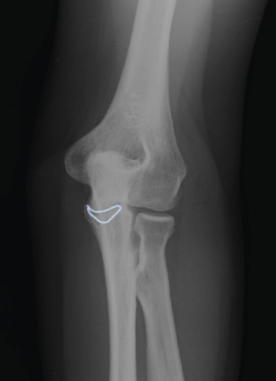
Figura 2. Radiografía anteroposterior del codo izquierdo. Se enmarca la línea de fractura de la apófisis coronoides que se extiende hacia ambos lados hacia la base de la misma.

La paciente nos relata claramente esos episodios de inestabilidad. La inestabilidad es máxima con el codo en extensión y el antebrazo en supinación. La realización del pivot-shift es difícil dado el traumatismo reciente, pero sí que muestra una clara aprehensión al realizarlo. Al explorar la estabilidad varo-valgo presenta una apertura al forzar el valgo atribuible a la inestabilidad rotacional.
Figura 3. Corte sagital de tomografía computarizada, realizado a los 10 días de la lesión. Vemos enmarcada la línea de fractura al nivel de la punta de la apófisis coronoides.

En las imágenes de RM podemos ver los signos de arrancamiento de la inserción proximal de ligamento colateral lateral, importante cantidad de derrame articular y el edema óseo localizado en toda la parte medial del humero distal y del cúbito y el radio proximales (Figura 5).
Nos encontramos con una fractura de coronoides, que alcanza la faceta anteromedial y que ha asociado una lesión ligamentosa del ligamento colateral lateral que debemos reparar. Proponemos la cirugía de inmediato, optando por la reinserción del ligamento colateral lateral sin realizar, dado el tamaño del fragmento, fijación de la apófisis coronoides del cúbito.
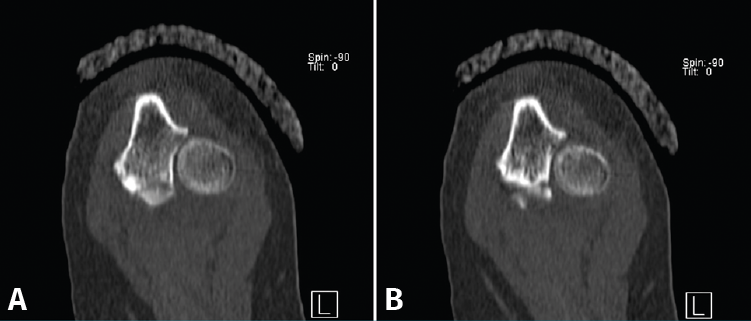
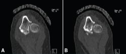
Figura 4. Cortes axiales de tomografía computarizada a los 10 días de la lesión. A: fractura de la punta de la coronoides que se extiende hacia la base de la coronoides; B: fractura conminuta al nivel de la faceta anteromedial de la coronoides.

Mediante un abordaje de Kocher, separamos el ancóneo en dirección posterior y el cubital posterior con el extensor común de los dedos hacia anterior. Nos encontramos con un ligamento avulsionado de su inserción proximal, adherido a la cápsula articular, que conserva sus inserciones distales. Identificamos y aislamos el ligamento, reinsertándolo en su lugar de origen, reforzando esta reparación con el cierre capsular. Mantenemos 2 semanas la inmovilización braquial y comenzamos el tratamiento rehabilitador permitiendo movilidad pasiva de flexión y extensión, e insistiendo en la protección contra el estrés en varo. A las 4 semanas comienza a realizar ejercicios activos de flexoextensión y pronosupinación, ejercicios isométricos y magnetoterapia. A los 2 meses y medio comienza la tonificación muscular progresiva, incluyendo, a partir de los 3 meses, trabajo con pesas. Es dada de alta a los 4 meses y medio con movilidad completa, refiriendo molestias vagas en la extensión forzada y con un codo estable tanto desde el punto de vista rotacional como varo-valgo.
Figura 5. Imagen coronal de resonancia magnética del codo izquierdo, realizada a las 3 semanas de la lesión. Observamos la avulsión proximal del ligamento colateral lateral, la subluxación de la cabeza radial y el edema óseo.

Actualmente, la paciente, tras 9 meses de seguimiento, no tiene dolor, no ha vuelto a presentar episodios de inestabilidad en su codo y presenta una movilidad solo limitada en los 10 últimos grados de extensión y flexión, la pronosupinación es completa y ha vuelto a desarrollar su trabajo habitual.
Discusión
La integridad de la apófisis coronoides del cúbito es un factor determinante para la estabilidad del codo, pero cuando se presenta una fractura aislada de la apófisis coronoides, la potencial inestabilidad de esta puede no estar tan clara. Los mecanismos y patrones de lesión de la inestabilidad traumática del codo no están bien establecidos, pero algunos conceptos parecen ser útiles para entender estas fracturas y guiarnos en el tratamiento de estas lesiones(1). Las tríadas terribles de codo (luxación de codo, fractura de coronoides y fractura de la cabeza radial) están asociadas con pequeñas fracturas de la punta de la coronoides, las lesiones por fuerzas varizantes posteromediales están asociadas con fracturas que afectan la faceta anteromedial de la coronoides y las fracturas luxaciones olecraneanas se asocian a grandes fragmentos coronoideos cerca de su base(2,3).
O’Driscoll propuso un nuevo sistema de clasificación de las fracturas de la coronoides basado no en la altura de la parte fracturada(4), sino en la localización anatómica de la fractura. De esta manera, se consideraría el mecanismo lesional que, junto a las fracturas y lesiones de las partes blandas asociadas, nos ayudarían a planificar el plan terapéutico(5).
Analizado nuestro caso, el mecanismo lesional habría sido una caída con el brazo extendido en la que se forzaría el varo, produciéndose una fuerza rotatoria posteromedial. Esto produciría una lesión del ligamento colateral lateral y una fractura de la faceta anteromedial de la coronoides. Según la clasificación de O’Driscoll, correspondería a una fractura del segundo grupo (tipo 2), que envuelve la faceta anteromedial y se extiende hasta la punta de la coronoides (subtipo 2).
Basándonos en las recomendaciones de tratamiento según el mecanismo lesional y la clasificación de la lesión, en nuestro caso, deberíamos haber reparado ambas lesiones: la fractura de la coronoides y la lesión del ligamento colateral lateral(1). Generalmente, el tamaño de los fragmentos de la coronoides no permite realizar una osteosíntesis estable; por ello, se propone la reinserción capsular mediante suturas a través de un abordaje medial y la reinserción del ligamento colateral lateral mediante un abordaje lateral. Dado que habían pasado 4 semanas desde la lesión y que no ha existido un desplazamiento de la fractura, consideramos únicamente tratar la lesión del complejo posterolateral, hecho que también apoyan algunos autores que en casos de fragmentos pequeños no consideran la fijación de la coronoides(6).
Inicialmente, se consideró el tratamiento ortopédico de esta fractura, atendiendo al pequeño tamaño del fragmento que, tratándose de un traumatismo de baja energía, no parecía que fuera a condicionar una inestabilidad residual en el codo. Se han publicado algunas series cortas de casos con fracturas aisladas de apófisis coronoides e inestabilidad rotatoria posteromedial tratadas sin cirugía con buenos resultados a los 2 años de seguimiento(7). Se trataba de casos seleccionados con fracturas de coronoides con mínimo o nulo desplazamiento y sin evidencia de subluxación de codo. Otros autores comparten este planteamiento e indican el tratamiento conservador de estas lesiones siempre que las fracturas de coronoides sean pequeñas, estén mínimamente desplazadas y demuestren que no existe subluxación de codo; la articulación debe ser congruente y demostrar un rango de movilidad estable hasta como mínimo los 30° de extensión(8).
Otras series publican buenos resultados del tratamiento no quirúrgico en el caso de fracturas aisladas de la apófisis coronoides, siempre que esta no afecte más del 50% de la altura coronoidea y que sea competente el tubérculo sublime(9).
Conclusiones
Las conclusiones que podemos obtener son varias. No debemos banalizar ninguna fractura aislada de apófisis coronoides. Será importante realizar estudios radiológicos que nos permitan el despistaje de estas lesiones, que deberemos completar con una TC para valorar mejor la extensión de la fractura de la coronoides. Esto nos ayudará a entender mejor el mecanismo lesional que, junto al tipo de fractura, nos podrá ayudar a sospechar la potencial inestabilidad de una lesión. En caso de fracturas aisladas de la apófisis coronoides que se extiendan hacia el tubérculo sublime, deberemos descartar una inestabilidad del codo. La exploración física deberá demostrar estabilidad en todo el rango de movilidad. La exploración de la estabilidad de la lesión puede ser difícil llevarla a cabo si se trata de un traumatismo reciente y, en ese sentido, podría ser válida la realización de una RM, que nos revelaría la lesión ligamentosa y el edema óseo asociado en los casos más graves de inestabilidad.
El tratamiento deberá ser individualizado y los objetivos del mismo serán restablecer la congruencia articular, conseguir la estabilidad articular y permitir la movilidad precoz.