Introducción
La inestabilidad posterolateral aguda de codo es una de las lesiones más graves del complejo articular del codo, comúnmente asociada con traumatismos de alta energía. Esta patología puede presentarse como una lesión aislada o más frecuentemente como parte de la llamada “tríada terrible” del codo, que consiste en una luxación posterior del codo asociada con fractura de la cabeza radial y fractura de la apófisis coronoides(1,2).
El objetivo de este artículo es abordar los aspectos etiopatogénicos, el diagnóstico y el tratamiento de la tríada terrible del codo.
Mecanismo de lesión
La mayoría de las luxaciones de codo se suelen producir por una caída de altura en la cual el hombro está en abducción y la muñeca en hiperextensión(3). De esta manera, el suelo ejerce una fuerza axial sobre el codo en supinación y en valgo forzado.
Este mecanismo da lugar a distintos estadios lesionales, afectándose primero el complejo ligamentoso lateral, posteriormente la cápsula articular y por último, en casos graves, el ligamento colateral medial (LCM)(4).

En la “tríada terrible”, este patrón de inestabilidad se acompaña de fractura de la cabeza radial, que impide la congruencia articular y la función de soporte, además de una fractura de la apófisis coronoides, que agrava la inestabilidad anterior del codo(5). Estas lesiones en conjunto generan una inestabilidad significativa que, si no es tratada adecuadamente, puede evolucionar hacia una artropatía grave o pérdida funcional crónica(6).
Exploración física
Los pacientes suelen presentarse con dolor agudo, siendo más llamativas la deformidad y la limitación funcional del codo, especialmente para la extensión y la supinación.

Estudios de imagen
- Radiografía simple: las radiografías anteroposterior y lateral, antes y después de la reducción, son fundamentales para evaluar la congruencia articular y la presencia de fracturas (Figura 1).
- Tomografía axial computarizada (TAC): en especial la reconstrucción 3D, que nos permite evaluar con detalle las fracturas. En el caso de la cabeza radial, su extensión y conminución, y en cuanto a la apófisis coronoides, su tamaño. De esta manera, la TAC permite una adecuada planificación preoperatoria, decidiendo aspectos como el abordaje o el tipo de osteosíntesis(7)(Figura 2).
- Resonancia magnética (RM): es el método de elección para la evaluación de las lesiones ligamentosas y el estado del cartílago, aunque en el contexto agudo puede no ser necesaria si las fracturas ya determinan el manejo quirúrgico.
Principios del tratamiento
El tratamiento de la inestabilidad posterolateral aguda del codo tiene como objetivo principal restaurar la estabilidad suficiente para permitir un rango de movimiento temprano, lo cual es crucial para una recuperación funcional óptima. Para lograrlo, se requiere un enfoque progresivo que proporcione la estabilidad necesaria para permitir la movilización temprana y reducir el riesgo de complicaciones. Este enfoque se basa en comprender los principios del tratamiento en urgencias, saber cuándo es apropiado optar por un tratamiento conservador y, en los casos que lo requieran, seguir un tratamiento quirúrgico secuencial según las pautas establecidas, que se detallan a continuación.
Tratamiento de urgencias
Una vez diagnosticada la luxación, comúnmente posterior, y antes de la reducción, debe evaluarse el estado neurovascular. Es relativamente frecuente la afectación del nervio cubital, en forma de neuroapraxia. También es importante, dada su gravedad, descartar afectación vascular valorando el pulso radial.
El manejo inicial requiere la reducción cerrada de la luxación, de forma ideal bajo sedación para poder evaluar correctamente la estabilidad, debiendo explorarse en todo su rango de flexoextensión, tanto en pronación como en supinación.
Tras la reducción y la inmovilización con férula braquiopalmar a 90° de flexión, se deben repetir las radiografías y la exploración neurovascular.
Para completar el estudio se realiza una TAC, dada su importancia para catalogar el alcance de la lesión y su tratamiento(8).
Tratamiento conservador
En un grupo reducido de pacientes, con mínimo desplazamiento de las fracturas de la cabeza del radio y la coronoides, podrá plantearse un manejo conservador siempre y cuando se cumplan los siguientes criterios(9):
- Fracturas sin desplazamiento y que no causen bloqueo articular en la pronosupinación.
- Articulación congruente tras la reducción.
- Arco de movilidad estable hasta 30° de flexión.
Estos pacientes seguirán el mismo tratamiento que una luxación simple de codo, con controles radiográficos seriados. Dado que se ha decidido tratamiento conservador por criterios que implican estabilidad articular, se ha de priorizar la movilización precoz. De manera ideal, el tratamiento rehabilitador se inicia a los 10 días, ya que el manejo no quirúrgico se asocia con alto riesgo de complicaciones, siendo la más frecuente la rigidez articular.
Tratamiento quirúrgico
Posición y abordajes
La mayoría de los pacientes con la tríada terrible requieren tratamiento quirúrgico.

La colocación del paciente puede ser en decúbito supino o decúbito lateral sobre el lado sano. Bajo anestesia troncular o general se coloca el manguito de isquemia (Figura 3).
El orden de reparación de las estructuras dañadas es el siguiente:
- Reducción de la luxación posterior del codo.
- Tratamiento de la fractura de la cabeza radial.
- Tratamiento de la fractura de la apófisis coronoides. Reparación del complejo ligamentoso colateral lateral.
- Reparación del complejo ligamentoso colateral medial.
Podemos realizar una incisión posterior universal o una doble incisión, primero lateral y posteriormente medial si el patrón de fractura lo requiere.

Para el tratamiento de las lesiones laterales (cabeza radial y ligamento colateral lateral), podemos emplear los abordajes de Kocher o Kaplan. El abordaje de Kaplan se realiza entre el extensor carpi radialis longus (ECRL)/extensor carpi radialis brevis (ECRB) y el extensor común de los dedos (EDC). El abordaje de Kocher se realiza entre el extensor carpi ulnaris (ECU) y el ancóneo (Figura 4). Se han descrito numerosas ventajas en la literatura(10) del abordaje de Kaplan frente al de kocher en este tipo de lesiones:
- Permite conservar la zona más anterior del ligamento ulnar colateral lateral (LUCL).
- Permite un mejor acceso a la cabeza del radio anterolateral, que es clave en la prevención de la luxación posterior.
- Permite una mayor visualización de la coronoides desde el abordaje lateral, al ser un abordaje más anterior.
A pesar de estas ventajas, si existen intervalos traumáticos provocados por la propia lesión, es preferible un abordaje por estos para evitar un daño adicional a los tejidos blandos.
El abordaje medial es utilizado para fracturas del proceso coronoideo y lesiones del LCM. Este abordaje ofrece acceso directo a la coronoides, lo que permite una fijación precisa de las fracturas y la reparación del complejo lateral medial.
Dentro de los abordajes mediales, el abordaje flexor carpi ulnaris (FCU)-splitting proporciona casi 3 veces más exposición ósea de la coronoides anteromedial y el cúbito proximal que el abordaje de Hotchkiss over-the-top(11). Además, la división del FCU conlleva una división natural entre las dos cabezas de los músculos FCU, mantiene el origen nativo de la masa flexora-pronadora y evita las estructuras neurovasculares anteriores.
Osteosíntesis
Tratamiento de la fractura de la cabeza radial
El tratamiento de la fractura de la cabeza radial es crucial para la estabilidad lateral del codo(12). El manejo depende del grado de conminución; en nuestro caso nos basamos en la clasificación de Mason (1954) y Johnston (1952)(13):
- Mason I: son aquellas fracturas sin desplazar o mínimamente desplazadas (< 2 mm) y sin bloqueo mecánico en la pronosupinación. El manejo adecuado sería conservador. En aquellos casos en los que exista un fragmento óseo (< 20%) que podría comprometer la recuperación postoperatoria se podría optar por una resección de este.
- Mason II: fracturas desplazadas > 2 mm o anguladas, y que podrían presentar un bloqueo mecánico a la rotación del antebrazo. Se opta por un tratamiento quirúrgico mediante reducción abierta y fijación interna con tornillos canulados o placas bloqueadas de bajo perfil(14).
- Mason III: fracturas conminutas, desplazadas, con bloqueo mecánico a la rotación y potencialmente irreparables. La fijación de aquellas fracturas de la cabeza del radio en 3 partes (diáfisis y 2 fragmentos articulares) es propensa a un fracaso temprano de la fijación, a una falta de consolidación y a una rotación limitada del antebrazo(15). Es por ello por lo que, en estos casos, puede ser preferible la resección de la cabeza radial seguida de la colocación de una prótesis modular. Doornberg et al.(16) han sugerido que el borde lateral de la coronoides es un punto de referencia útil para dimensionar la cabeza del radio y, en general, la prótesis no debe quedar más de 1 mm proximal a este punto de referencia (Figura 5).

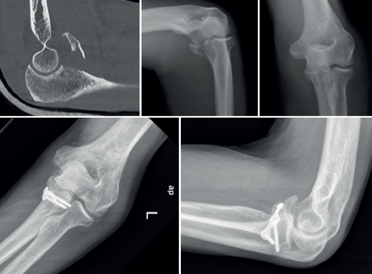
Tratamiento de la fractura de la apófisis coronoides
La apófisis coronoides es un factor clave en la estabilidad del codo, ya que contribuye significativamente a la estabilidad anterior y posterolateral. La reparación de la fractura debe ser prioritaria, después de la reducción de la luxación y la evaluación de la cabeza radial. Para guiar la intervención quirúrgica, utilizamos la clasificación de O’Driscoll(17)(Figura 6):
- Tipo I: fractura del vértice de la apófisis coronoides. Dentro de este tipo, se subclasfican en tipo I (< 2 mm) y tipo II (> 2 mm). Como referencia anatómica de importancia, la inserción de la cápsula anterior se sitúa 6,4 mm distal a la punta de la coronoides en promedio(18). Todavía existe controversia sobre la fijación o no de un pequeño fragmento de coronoides (tipo I). Terada N, et al.(19) abogan por una fijación sistemática para conseguir una reducción anatómica y restaurar la estabilidad. En un trabajo previo(20), Regan y Morrey no están a favor de una fijación quirúrgica en este tipo de lesiones. En nuestra experiencia, si es posible, se intenta una reparación para conseguir una reducción anatómica y una restauración de la columna anterior. La reparación se realiza bien con tornillos canulados interfragmentarios o con anclajes transóseos de sutura en aquellos fragmentos de menor tamaño(21,22). La capsulodesis de la cápsula anterior podría ser una alternativa en aquellos casos de inestabilidad posterior persistente o en aquellas fracturas pequeñas de coronoides irreparables que asocian una rotura anterior de la cápsula(23)(Figura 7).
- Tipo II: fractura anteromedial de la apófisis coronoides. Puede o no incluir el vértice la apófisis (II-2) o el tubérculo sublime (II-3) donde se inserta la banda anterior del LCM. Estas fracturas comprometen la estabilidad del codo debido a la pérdida de la función estabilizadora de la parte anteromedial de la apófisis. Es necesario fijar estas fracturas con tornillos o una placa anatómica conformada para coronoides(24,25)(Figura 7).
- Tipo III: fracturas que afectan más del 50% de la base de la apófisis coronoides. Las fracturas transolecraneanas que afectan a la base de la coronoides se clasificarían como un III-2. Generalmente, requieren una placa de bloqueo anatómica para estabilizar los fragmentos óseos o placas dobles si hay conminución grave(26)(Figura 8).

Reparación del complejo ligamentoso colateral lateral (LCL)
La lesión más común del LCL es la avulsión humeral(27,28). La reparación del ligamento colateral lateral puede realizarse mediante arpones o con suturas transóseas (Figura 9).
Reparación del ligamento colateral medial
Existen diversos test, como el drop sign o el hanging arm test, para evaluar la estabilidad intraoperatoria tras la reparación del LCL que nos permita tomar una decisión sobre la necesidad o no de reparación del LCM(29).

TakuHatta et al.(30) observaron que la reparación del LCM supone una mayor progresión de los hallazgos radiológicos compatibles con artrosis del compartimento medial, en comparación con aquellos casos en los que no se realiza reparación. Observaron, además, que la ganancia de movilidad y función es mínima en el grupo en el que se reparó el complejo medial.

Fijación externa
En aquellos casos complejos en los que no se consiga una correcta estabilización (luxación a partir de los −30° de extensión) tras la reparación quirúrgica de las estructuras dañadas, se considera una alternativa el uso de un fijador externo de manera temporal o el uso de un estabilizador interno provisional(31).

Postoperatorio y complicaciones
Protocolo de rehabilitación
Tras la cirugía, en las primeras 48 horas, se debe inmovilizar el codo con una férula braquioantebraquial en extensión. En el caso de suturarse únicamente el ligamento colateral radial, bastará con mantener el antebrazo en pronación; si se realizó sutura también de la zona cubital, deberá inmovilizarse con una pronosupinación neutra.
Durante la primera semana y hasta pasado el primer mes, es recomendable utilizar una ortesis articulada para permitir la movilización precoz, a ser posible asistida por un fisioterapeuta, varias veces al día(32).
A partir de las 4 semanas se puede retirar la ortesis y comenzar con maniobras que impliquen manejo de cargas para progresivamente ir recuperando la movilidad y la funcionalidad del codo intervenido.
Se estima que la incorporación a la actividad laboral previa es posible a las 12-16 semanas tras la intervención quirúrgica(33).
Seguimiento clínico-radiológico
El seguimiento radiológico es esencial para evaluar la correcta evolución posquirúrgica y debe realizarse de manera periódica. En las primeras semanas tras la cirugía, se recomienda realizar radiografías de control para verificar la correcta alineación de las estructuras óseas y descartar desplazamientos. Estas imágenes ayudan a detectar posibles complicaciones tempranas, como la falta de consolidación o la formación de un callo óseo anómalo.
El seguimiento clínico debe incluir evaluaciones regulares de la amplitud de movimiento, la fuerza y la funcionalidad del codo. Las revisiones se realizan típicamente cada 2-4 semanas durante los primeros 3 meses y se prolongan hasta los 6-12 meses, dependiendo de la evolución del paciente. Las pruebas funcionales pueden incluir el uso de escalas como la escala Disabilities of the Arm, Shoulder and Hand (DASH) para evaluar objetivamente la recuperación y la capacidad funcional(8).
Complicaciones
A pesar de los avances en el manejo quirúrgico, las complicaciones siguen siendo comunes. La rigidez del codo es la más frecuente, afectando hasta al 50% de los pacientes(34). La inestabilidad residual, que puede requerir cirugía adicional, es menos frecuente, pero significativa. La artrosis postraumática es otra complicación a largo plazo, especialmente en pacientes con fracturas conminutas de la cabeza radial o la apófisis coronoides.
Conclusiones
En los últimos años se ha avanzado mucho en el conocimiento de esta lesión y su forma adecuada de manejo. Sin embargo, la tríada terrible de codo sigue teniendo resultados no del todo satisfactorios en cuanto a funcionalidad, además de las complicaciones asociadas que ya hemos comentado.
Pese a ello, parece claro que una correcta identificación mediante TAC y una adecuada planificación quirúrgica, además de la precocidad en el tratamiento y la rehabilitación, son el camino a seguir para conseguir los mejores resultados posibles.
Búsqueda bibliográfica
Para la recopilación de la bibliografía utilizada en este artículo, se realizó una búsqueda exhaustiva en PubMed, utilizando el término en inglés terrible triad como palabra clave. Como palabras claves secundarias se utilizaron “luxación posterior de codo”, “fractura de cabeza radial” y “fractura de apófisis coronoides”. La estrategia de búsqueda se centró en identificar los artículos más relevantes y de mayor calidad en la literatura científica. Se priorizaron aquellos estudios con un número elevado de citaciones, lo que indica su impacto y relevancia en el campo, así como los artículos más recientes, con el fin de incorporar los avances más actuales en el tratamiento y el manejo de la tríada terrible del codo. Además, se dio preferencia a los estudios que presentaban un mayor nivel de evidencia, como los ensayos clínicos controlados y las revisiones sistemáticas.