Introducción
Las fracturas-luxaciones del codo, especialmente las que incluyen fractura del cúbito proximal, son lesiones que generan confusión en cuanto a su clasificación, precisan una comprensión en cuanto a qué estructuras se han lesionado para aplicar el tratamiento adecuado y no están exentas de complicaciones.
Las fracturas del cúbito proximal con afectación de la cortical dorsal y luxación del codo se han denominado clásicamente “fracturas-luxaciones transolecraneanas” o “fracturas variantes de Mongeggia”(1,2), generando confusión en lesiones que son diferentes. En ambas, hay un subgrupo en el que se fractura la coronoides, elemento esencial en la estabilidad del codo. La subclasificación de la lesión de Monteggia de tipo II realizada por Jupiter et al.(3) define el subtipo IIA como fractura del olécranon con fractura de la coronoides y el subtipo IID como fractura conminuta del cúbito proximal con afectación de la coronoides. O’Driscoll et al.(4) describieron la fractura de la coronoides asociada a las fracturas-luxaciones transolecraneanas como “fractura de la base, subtipo 2”. Haller et al.(5), en su revisión de 35 fracturas-luxaciones transolecraneanas, concluyen que los pacientes con fractura de coronoides (23/35) tuvieron peor resultado funcional que los que sufrieron una fractura-luxación transolecraneana simple. Probablemente, los patrones lesionales son similares pero no iguales, lo que lleva a confusión y a su descripción con diferente terminología. No obstante, los hallazgos en todos los casos definidos como fractura-luxación transolecraneana son la fractura completa del olécranon y la luxación de la articulación humerocubital.
Clasificación y patrones de lesión
Hildebrand et al.(6) clasificaron las luxaciones del codo con la presencia o ausencia de fracturas y la dirección del desplazamiento del cúbito y del radio con respecto al húmero. Las luxaciones simples solo contemplaban lesiones en los tejidos blandos, mientras las luxaciones complejas asociaban además fracturas del codo. El desplazamiento en las luxaciones simples podía ser anterior, posterior, lateral o divergente y, en las luxaciones complejas, anterior o posterior. Las luxaciones simples eran más frecuentes que las complejas y el desplazamiento en la mayoría de los casos fue posterior o posterolateral.
Bado(7) describió 4 tipos de fractura-luxación de Monteggia en función del desplazamiento de la cabeza del radio hacia anterior (tipo 1), posterior o posterolateral (tipo 2), lateral o anterolateral (tipo 3) y anterior asociada a fractura de las diáfisis de cúbito y radio al mismo nivel (tipo 4). Jupiter et al.(3) subclasificaron las lesiones de Monteggia posteriores en las que existía un fragmento triangular o cuadrangular en o cerca de la coronoides como tipo IIA cuando la fractura del cúbito proximal incluye el olécranon distal y la coronoides, tipo IIB si la fractura del cúbito proximal se localiza en la zona metafisodiafisaria distal a la coronoides, tipo IIC en los casos en los que la fractura cubital es diafisaria y tipo IID si la fractura del cúbito proximal es conminuta; además, todos los 13 pacientes asociaban una luxación de la articulación radiocubital proximal.

Recientemente, se han publicado diferentes clasificaciones de estas lesiones, haciendo hincapié en la fractura de la coronoides, su localización y la existencia de lesiones ligamentosas. La Mayo Classification publicada por Barlow et al.(8) tras analizar 90 fracturas-luxaciones transcubitales proximales categorizaba estas lesiones en 3 tipos en función de dónde quede situada la coronoides y si está fracturada o no lo está; así, denomina fractura-luxación transolecraneana a aquella en la que el olécranon está fracturado pero la coronoides permanece unida a la metáfisis cubital, variante de la fractura-luxación de Monteggia si la metáfisis cubital está fracturada pero la coronoides está unida al olécranon y fractura-luxación transcubital por la base de la coronoides en los casos con fractura de la coronoides con separación de la metáfisis cubital y del olécranon. Con la misma intención que los autores anteriores, Ghori et al.(9) analizaron 177 pacientes con fracturas luxaciones del codo que comprenden inestabilidad humerocubital y radiocubital proximal con y sin lesiones ligamentosas asociadas y elaboraron el sistema de clasificación CURL (coronoid, proximal ulna, radius y ligament component), que incluye todos los espectros lesionales posibles, desde una lesión relativamente benigna con una fractura aislada del cúbito proximal hasta lesiones que afectan a los elementos osteoligamentosos estabilizadores del codo. En relación con la coronoides, puede estar intacta, tener una fractura simple o una fractura compleja. La fractura del cúbito proximal, intraarticular o extraarticular, puede ser simple o compleja (múltiples fragmentos). La fractura de la cabeza del radio puede ser simple (cuello del radio sin desplazar o parcial con menos de 3 fragmentos de la cabeza del radio) o compleja (cuello del radio desplazado, cualquier fractura de la cabeza del radio completa desplazada o parcial con más de 3 fragmentos). Los ligamentos pueden estar intactos, con lesiones simples (aisladas del ligamento colateral medial o del ligamento colateral lateral) o complejas (lesión de ambos ligamentos). Nieboer et al.(10) realizaron una revisión sistemática utilizando la Mayo Classification que incluyó 296 fracturas-luxaciones transcubitales proximales. Las fracturas de la base de la coronoides subtipo II de la clasificación de O’Driscoll el al.(4) o Reagan/Morrey de tipo III(11) y las lesiones de Monteggia de tipos IIA y IID de Jupiter et al.(3) se clasificaron como fracturas-luxaciones transcubitales por la base de la coronoides. Los resultados del trabajo arrojaron 44 fracturas-luxaciones transolecraneanas, 82 variantes de la fractura-luxación de Monteggia y 177 fracturas-luxaciones transcubitales por la base de la coronoides; estas últimas se asociaron con unos peores resultados funcionales, menor rango de movilidad y mayor tasa de complicaciones.

Las clasificaciones mencionadas describen patrones de fractura similares con diferente terminología sin diferenciar si la luxación de la articulación humerocubital es aislada o coincidente con una luxación de la articulación radiocubital proximal. Jupiter et al.(3) no establecieron una relación directa entre la fractura de la coronoides y la fractura-luxación transolecraneana. La Mayo Classification(8) no diferencia claramente la fractura-luxación del cúbito proximal y la fractura-luxación transolecraneana, incluyendo esta última como uno de los tipos de fractura-luxación del cúbito proximal e interpretando en algunos de los casos utilizados en el trabajo que los desplazamientos del cúbito sin luxación de la articulación humerocubital se corresponden con una variante de la fractura-luxación de Monteggia. El sistema de clasificación CURL(9) describe todas las lesiones potenciales que pueden estar presentes en una fractura-luxación de codo, pero no establece las diferencias entre estas y las fracturas-luxaciones transolecraneanas. De espacial relevancia es la importancia que tiene la fractura de la coronoides en estas lesiones. O’Driscoll et al.(4) las clasifica atendiendo a la morfología y su relación con las inserciones de la cápsula y los ligamentos en: fracturas de la punta, de la zona anteromedial y de la base. Doornberg y Ring(12) observaron que las fracturas de la punta son más frecuentes en los patrones lesionales con inestabilidad rotatoria posterolateral en valgo y la “tríada terrible de codo”, las de la zona anteromedial en los patrones de inestabilidad rotatoria posteromedial en varo y las de la base en las fracturas-luxaciones transolecrananas y las lesiones de Monteggia.

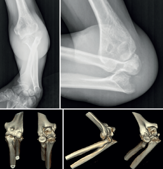
A pesar de que no existe un consenso en relación con la clasificación de las fracturas-luxaciones del codo y ateniéndonos al concepto fractura-luxación transolecraneana, en estas lesiones debe existir una fractura intraarticular del olécranon, con solución de continuidad en la cortical posterior del cúbito, en la que se ve comprometida la estabilidad humerocubital. Si no existe una luxación de la articulación radiocubital proximal, el término adecuado es “fractura-luxación transolecraneana” y, si se asocia una luxación de la articulación radiocubital proximal, “fractura-luxación variante de Monteggia” (Figura 1). Los estudios radiológicos no siempre permiten diferenciar claramente los patrones de fractura por lo que la tomografía axial computarizada (TAC) y especialmente las reconstrucciones tridimensionales son imprescindibles para su diagnóstico.

El desplazamiento del cúbito y del radio con respecto al húmero puede ser anterior o posterior tanto en la fractura-luxación transolecraneana como en la fractura-luxación variante de Monteggia (Figuras 2, 3 y 4). En los adultos, las fracturas-luxaciones transolecraneanas anteriores son menos frecuentes que las posteriores y se diferencian más fácilmente de las fracturas-luxaciones variante de Monteggia de tipo I que las fracturas-luxaciones transolecraneanas posteriores, que frecuentemente se confunden con fracturas-luxaciones variante de Monteggia de tipo II. En ambas lesiones existe una fractura intraarticular del olécranon, pueden asociar una fractura y/o luxación de la cabeza del radio y una fractura de la coronoides y, en las fracturas-luxaciones variante de Monteggia de tipo II, puede asociarse una lesión del ligamento colateral lateral(1,2,13,14,15).
Las fracturas transolecraneanas anteriores son consecuencia de un mecanismo de alta energía en el que la tróclea impacta con el olécranon mientras el codo está flexionado, produciendo un desplazamiento anterior del antebrazo con respecto al olécranon, que puede tener una fractura simple o con mayor frecuencia ser conminuta(14). No hay lesión de la articulación radiocubital proximal, ni de la cabeza del radio ni de los ligamentos estabilizadores de la articulación humerocubital y la fractura de la coronoides es menos frecuente que en los casos con desplazamiento posterior. Las lesiones que mayor confusión suscitan son las fracturas-luxaciones transolecraneanas posteriores, que con frecuencia se confunden con las fracturas-luxaciones de Monteggia posteriores, donde el hecho diferenciador es la luxación de la articulación radiocubital proximal en estas últimas y su preservación en las primeras. El mecanismo lesional puede ser de baja energía (por ejemplo, caída de la persona desde su propia altura) en personas de edad avanzada, mayoritariamente mujeres con osteoporosis, o de alta energía (caídas desde grandes alturas o accidentes de tráfico) en jóvenes, que asocian politraumatismo y fracturas abiertas. Las fracturas y/o luxaciones de la cabeza del radio, las fracturas de la coronoides y la afectación de la porción cubital del ligamento colateral lateral son frecuentes en las fracturas-luxaciones transolecraneanas y las fracturas-luxaciones variante de Monteggia con desplazamiento posterior(1,2,13,14,15).
Epidemiología
La incidencia de estas fracturas-luxaciones es difícil de establecer debido a la confusión en cuanto a considerarlas fracturas-luxaciones del cúbito proximal, fracturas-luxaciones transolecraneanas o fracturas-luxaciones de Monteggia(2,13,16). Haller et al.(5) en su trabajo solo contemplaron fracturas-luxaciones transolecraneanas con desplazamiento anterior, siendo estas relativamente raras, con una incidencia inferior al 6% de las fracturas del cúbito proximal.
Tratamiento
El objetivo del tratamiento en las fracturas-luxaciones transolecraneanas es la restauración y la estabilidad de la articulación humerocubital, mientras que en las fracturas-luxaciones variante de Monteggia, la finalidad es conseguir la reducción anatómica y la fijación de la fractura del cúbito(13,15). En general, la reducción y la fijación de la fractura del olécranon en las fracturas-luxaciones transolecraneanas restablece la estabilidad del codo. Cuando el desplazamiento es posterior, tanto en las fracturas-luxaciones variante de Monteggia como fracturas-luxaciones transolecranianas, la estabilidad de la articulación humerocubital puede verse comprometida y la reparación del ligamento colateral lateral ser necesaria en los casos donde, a pesar de la reducción y la fijación del cúbito, la fijación o en su caso la sustitución por una prótesis de la cabeza del radio no consigue la estabilidad del codo(13). Las fracturas de la coronoides se localizan en la base y se corresponden con los tipos IIA o IID de Jupiter et al.(3), con “fracturas de la base, subtipo 2” de O’Driscoll et al.(4) y con fracturas de tipo III o con menor frecuencia de tipo II de Reagan y Morrey(11). Doornberg et al.(15) analizaron 26 fracturas-luxaciones de codo en las que se incluían casos con y sin afectación de la articulación radiocubital proximal, en 10 el desplazamiento era anterior y en 16 fue posterior; la fractura de la coronoides estaba presente en todos los casos de desplazamiento posterior y solo en 5 con desplazamiento anterior, y la fractura de la cabeza del radio solo en un caso con desplazamiento anterior y en 13 con desplazamiento posterior.
Los principios sobre los que se asienta el tratamiento quirúrgico de estas lesiones son los siguientes:
- Reducción y fijación del cúbito, con especial atención a la coronoides.
- Tratamiento de la fractura y/o luxación de la cabeza del radio.
- Valoración de la inestabilidad del codo.
Con el paciente en posición de decúbito supino, el brazo apoyado sobre el tórax y manguito de isquemia en el brazo, el abordaje posterior del codo con prolongación distal de la incisión siguiendo el borde subcutáneo del cúbito permite, a través de colgajos subcutáneos, el acceso a las estructuras mediales o laterales si fuera necesario. La musculatura extensora y flexora son separadas de los bordes lateral y medial de la cresta del cúbito, con la precaución de no realizar una desperiostización agresiva para no desvitalizar los fragmentos óseos.
Reducción y fijación del cúbito, con especial atención a la coronoides
Si no existe fractura de la coronoides, la restauración de la longitud y la alineación del cúbito y la fijación interna son suficiente en las fracturas-luxaciones transolecraneanas. En las fracturas-luxaciones variante de Monteggia, la reducción anatómica del cúbito con la restitución del ángulo PUDA (proximal ulna dorsal angulation) consigue la reducción de la articulación radiocubital proximal y es raro que el ligamento anular o los tejidos blandos se interpongan y eviten la reducción de la cabeza del radio. Si no se consigue la reducción de la articulación radiocubital proximal, se debe revaluar la reducción de la fractura del cúbito y/o la posible interposición de tejidos blandos.

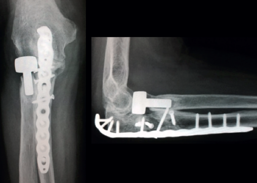
Las placas colocadas en la superficie posterior del cúbito son el sistema de fijación recomendado, proporcionando una fijación más resistente que los cerclajes con agujas de Kirschner y además permiten la fijación adicional de los fragmentos óseos y de la coronoides con tornillos o placas ortogonales en las superficies medial o lateral en los casos con gran conminución metafisaria(1,2,17). Las placas especialmente diseñadas de olécranon (Figuras 5 y 6) o las placas de compresión dinámica de contacto limitado (LC-DCP) de 3,5 mm conformadas para adaptarse a la morfología del cúbito son preferibles a las placas semitubulares, al aportar una fijación más estable(2,18,19).

Cuando la fractura del olécranon incluye una fractura de la coronoides, la reducción y la fijación de esta es condición imperativa para conseguir la estabilidad humerocubital (Figuras 7, 8 y 9). La reducción puede llevarse a cabo a través de la fractura del olécranon o por medio de un abordaje medial, separando o a través de la musculatura flexora/pronadora, teniendo identificados y protegidos el nervio cubital y el fascículo anterior del ligamento colateral medial. En los casos en los que es necesario realizar la sustitución de la cabeza del radio por una prótesis, también es posible el acceso lateral a la fractura de la coronoides. En general, el fragmento permite la fijación con tornillos desde posterior a anterior, a través de la placa posterior o independientes de esta, o en ocasiones desde anterior a posterior. La utilización de placas de 2,7 mm o específicas de coronoides, y técnicas de suturas no reabsorbibles atadas sobre el cúbito proximal o sobre la placa de fijación del cúbito son otras opciones(13,17). Para los grandes defectos óseos o fracturas irreconstruibles de la coronoides, se han descrito injertos óseos de la cresta ilíaca e injertos osteocondrales de la cabeza del radio con resultados impredecibles debido a la osificación heterotópica y a la reabsorción ósea del injerto(20,21).

Las fracturas complejas del cúbito que afectan al olécranon o a la coronoides pueden fijarse de “proximal a distal”(1) o de “distal a proximal”(22) en función de lo que resulte más fácil en cada caso. En la fijación de “proximal a distal”, el fragmento proximal del olécranon se fija temporalmente a la tróclea con una o varias agujas de Kirschner de 1,5 mm y el cúbito se reduce sobre el fragmento de olécranon proximal. La fijación de “distal a proximal” se centra inicialmente en la reducción y la fijación de los fragmentos distales del cúbito con objeto de simplificar los trazos de fractura y finalmente proceder a la reducción y la fijación con el fragmento proximal del olécranon. En la reconstrucción de la escotadura mayor del olécranon, se deben tener en cuenta la relación anatómica normal de la coronoides con el olécranon y la existencia de la zona desprovista de cartílago en la escotadura mayor. La incongruencia articular en las fracturas conminutas tiene menos impacto en el resultado clínico que la falta de alineación, altura y rotación de la escotadura mayor del olécranon(1).

Tratamiento de la fractura y/o luxación de la cabeza del radio
Las opciones de tratamiento para las fracturas de la cabeza del radio en este tipo de lesiones incluyen la reducción y la fijación interna, la artroplastia y la escisión de pequeños fragmentos. La clasificación de Mason(23) y el número de fragmentos son los factores que condicionan el tratamiento, que en última instancia dependerá de la decisión del cirujano (Figuras 10 y 11). Una reducción o una fijación inadecuadas pueden acompañarse de más complicaciones que la escisión y sustitución por una prótesis al acabar en pseudoartrosis o consolidaciones viciosas que limitan la pronosupinación del antebrazo y producen dolor(3).

Tras levantar un colgajo lateral fasciocutáneo, se tiene acceso a la musculatura extensora del antebrazo y la incisión lateral (entre los tendones de los músculo extensor carpi ulnaris –ECU– y ancóneo, o a través del músculo extensor digitorum communis –EDC–) separada de la incisión posterior para acceder a la articulación radiocapitelar evita la aparición de sinostosis(17). La utilización de prótesis de vástago liso o de encaje por press-fit depende de la preferencia del cirujano y el diámetro de la cabeza conviene que sea 2 mm menor que el de la cabeza nativa(17).

Valoración de la estabilidad del codo
Tras la fijación interna del cúbito y de la cabeza del radio o la sustitución de esta por una prótesis, se valora la estabilidad del codo realizando movimientos de flexoextensión mientras se mantiene el antebrazo en rotación neutra, pronación y supinación. La fluoroscopia intraoperatoria ayuda a confirmar la estabilidad o inestabilidad durante la exploración clínica. Si el codo permanece estable, se puede iniciar la movilidad de forma inmediata, aunque es recomendable retrasarla unos días o hasta la retirada de los puntos de sutura. Si se detecta inestabilidad(18,24) hay que considerar los siguientes aspectos como causas posibles:
- Reducción ósea inadecuada. De todos los fragmentos fracturados del cúbito, el correspondiente a la coronoides es crítico y puede ser causa de limitación del movimiento o de inestabilidad si no se ha conseguido una correcta reducción, en cuyo caso es preciso volver a reducir la fractura. La reducción no anatómica o una fijación insuficiente del cúbito suele acompañarse de inestabilidad humerocubital y/o radiocapitelar.
- Resección de la cabeza del radio sin artroplastia. En estos casos, la colocación de una prótesis solventa la inestabilidad.
- Rotura o insuficiencia de la porción cubital del ligamento colateral lateral. Lo más común es que esté desinsertado del epicóndilo humeral y la reparación puede realizarse con ayuda de anclajes óseos en el punto isométrico del epicóndilo o con técnicas transóseas y sutura en la cortical posterior del capitellum (Figura 12). Se comprueba el rango de flexoextensión y de rotación del antebrazo en el que el codo es estable y el movimiento puede iniciarse a partir de la segunda semana tras la cirugía.
- Aflojamiento de la fijación interna por osteoporosis. Esta situación suele detectarse en el periodo postoperatorio.
Si, a pesar de haber realizado la valoración de todas las posibles causas de inestabilidad, el codo sigue siendo inestable, la utilización de fijadores externos, fijador interno o 2 agujas de Kirschner de 1,5 mm desde la cortical posterior del olécranon a la tróclea humeral son las opciones disponibles para mantener el codo reducido(25,26). Los fragmentos del cúbito pueden dificultar la colocación de los pines del fijador externo y obligar a colocarlos alejados de la articulación del codo. El fijador interno tiene una placa que se fija al cúbito proximal y se articula con un pin transóseo a través del punto isométrico que sigue el eje de rotación del codo. Los fijadores externos y el fijador interno se mantienen durante 6 semanas y permiten una movilidad inmediata del codo, mientras que las agujas de Kirschner obligan a inmovilizar el codo durante un periodo de alrededor de 4 semanas.

Resultados y complicaciones
A pesar de la complejidad de estas lesiones, se pueden obtener buenos resultados funcionales tras una reducción anatómica y una adecuada fijación de las fracturas que permita una movilidad temprana del codo. En general, la fractura-luxación transolecraneana y la variante de Monteggia con desplazamiento posterior tienen peores resultados que las que tienen el desplazamiento anterior(2,13,15). Las complicaciones incluyen pérdida de movilidad, inestabilidad del codo, fracaso de la osteosíntesis, artrosis postraumática, osificación heterotópica, sinostosis radiocubital y molestias relacionadas con el material de osteosíntesis(13).

En la fractura-luxación transolecraneana anterior, la afectación de la cabeza del radio no es frecuente, es raro que sea necesario reparar el ligamento colateral lateral y, si la coronoides está fracturada, el fragmento es grande y permite una fijación estable consiguiendo estabilidad humerocubital con la reducción y la fijación del cúbito. La pérdida de movilidad es más acusada en el arco de flexoextensión que en el de pronosupinación y la incidencia de artrosis oscila entre el 0 y el 29% en función de la escala para medir la degeneración articular y el tiempo de seguimiento(1,15,16). Los resultados de la fractura-luxación variante de Monteggia anterior son generalmente mejores que en la variante con desplazamiento posterior(2,27).
La fractura-luxación transolecraneana posterior y la variante de Monteggia posterior, a pesar de ser lesiones diferentes, frecuentemente se confunden en la literatura y la primera se suele considerar un subtipo de la fractura-luxación de Monteggia posterior(2). La limitación de movilidad en los arcos de flexoextensión y de pronosupinación, la incidencia de artrosis y la sinostosis radiocubital son más frecuentes que en las lesiones con desplazamiento anterior(15).
Conclusiones
La fractura-luxación transolecraneana supone una fractura completa a través del olécranon con luxación de la articulación humerocubital; en los casos en los que además existe una luxación de la articulación radiocubital proximal, se trataría de una fractura-luxación variante de Monteggia. La reducción anatómica y la osteosíntesis estable del cúbito, con especial atención a la coronoides, generalmente proporcionan estabilidad del codo. La fractura de la cabeza del radio, más frecuente en las lesiones con desplazamiento posterior, requiere fijación interna o el reemplazo por una prótesis para restituir la estabilidad. La reparación del ligamento colateral lateral es necesaria cuando no se consigue un codo estable tras haber tratado de forma adecuada las fracturas del cúbito y de la cabeza del radio. Las complicaciones son más frecuentes en las fracturas-luxaciones con desplazamiento posterior que en las que se desplazan hacia anterior.