Introducción
Las fracturas de apófisis coronoides aisladas son raras, generalmente las encontraremos asociadas a roturas ligamentosas o fracturas de otros huesos del codo. Existen 3 patrones de inestabilidad aguda de codo que asocian fracturas de apófisis coronoides con lesiones ligamentosas y óseas específicas. En función de la morfología de la fractura, podremos sospechar esas lesiones con anticipación y planificar la cirugía. Las radiografías simples son insuficientes para objetivar los fragmentos con claridad, pero es la primera prueba diagnóstica que debemos realizar. Comprobaremos si existe luxación o subluxación, y si hay apertura del espacio radiocapitelar o humerocubital que nos alerte de una posible lesión ligamentosa. Una tomografía axial computarizada (TAC) con reconstrucción 3D será imprescindible para visualizar los fragmentos. Una resonancia magnética (RM) nos dará más información sobre las lesiones de las partes blandas.
Recuerdo anatómico
El estabilizador primario principal del codo es la articulación humerocubital junto con los ligamentos colaterales lateral (LCL) y medial (LCM). En ese contexto, la apófisis coronoides juega un papel fundamental al ser el contrafuerte anterior de esta; junto con la cabeza del radio, impide que el codo se luxe hacia posterior. También es importante porque en ella se insertan ligamentos, músculos y la cápsula articular. El haz anterior del LCM, principal estabilizador contra el estrés en valgo, se inserta en el tubérculo sublime. El músculo braquial, un estabilizador dinámico, se inserta en la base volar de la coronoides. La cápsula articular se inserta a 2-6 mm de la punta y se adapta a la forma de las superficies articulares. Finalmente, el LCL, con su fascículo cubital principal, se inserta en la cresta supinadora, una prominencia ósea en la cara lateral del cúbito(1). La faceta anteromedial (AM) de la coronoides sobresale medialmente de la metáfisis del cúbito; el hecho de no estar sostenida por la metáfisis la hará susceptible de fractura cuando el estrés sea en varo(2).

Los mecanismos específicos de la fractura de coronoides (y la luxación del codo) son variados y pueden implicar fuerzas de rotación y flexión, así como de hiperextensión.

Clasificación
Regan y Morrey describieron 3 tipos de fracturas de coronoides según el tamaño del fragmento únicamente en el plano sagital. Las de tipo I son fracturas de la punta, las de tipo II las que afectan a menos del 50% de su altura y las de tipo III cuando el fragmento es mayor del 50% (Figura 1). Actualmente se usa la clasificación de O’Driscoll (Tabla 1), que la amplió teniendo en cuenta además la localización y el número de fragmentos (Figura 2)(3,4).
- Tipo I: fractura transversa de la punta.
- Subtipo 1: fragmento menor de 2 mm.
- Subtipo 2: fragmento mayor de 2 mm.
- Tipo II: fractura que afecta a la faceta AM.
- Subtipo 1: fractura del reborde AM.
- Subtipo 2: fractura del reborde y de la punta.
- Subtipo 3: fractura del reborde y del tubérculo sublime con o sin afectación de la punta.
- Tipo III: fractura que afecta a la base de la coronoides.
- Subtipo 1: fractura del cuerpo y la base.
- Subtipo 2: fractura transolecraneana.

Patrones de inestabilidad
Se han definido 3 patrones de lesión (Tabla 2). Las fracturas de tipo I de O’Driscoll son fracturas que afectan a la punta de la coronoides, están generalmente asociadas con la llamada tríada terrible (fractura de coronoides, fractura de la cabeza del radio y luxación posterior o posterolateral de codo)(5). Suelen acompañarse de rotura del LCL. Las fracturas de tipo II son las que afectan a la faceta AM. Están asociadas con el cuadro de inestabilidad rotatoria posteromedial en varo (VPMRI) y suceden generalmente tras un cuadro de subluxación (no luxación completa)(6). Las lesiones asociadas incluyen la avulsión del LCL del epicóndilo. La cabeza del radio no suele estar afectada. Las fracturas de tipo III son fracturas grandes que afectan al 50% o más de la altura de la coronoides y se asocian con fractura-luxación del olécranon. Las luxaciones por fractura del olécranon anterior presentan una luxación anterior del antebrazo con una articulación radiocubital proximal (RCP) intacta. La fractura de coronoides, en este patrón de tipo III, suele ser un único fragmento grande y los ligamentos suelen permanecer intactos (Figura 3). Se cree que las luxaciones por fractura del olécranon anterior son causadas por un golpe directo en la cara posterior del codo flexionado y con el impacto el húmero pasa a través de la escotadura troclear del cúbito. Las luxaciones por fractura del olécranon posterior se caracterizan por una conminución del olécranon y la apófisis coronoides, un desplazamiento posterior del radio con respecto al capitellum y una fractura de la cabeza del radio. El LCM suele estar intacto en la coronoides fracturada y el LCL sufre una avulsión proximal. Como vemos, en la gran mayoría de los casos tendremos que reparar el LCL, que puede estar afectado en cualquiera de los 3 patrones, además de tratar la fractura de coronoides, así como el resto de las lesiones si lo precisan. Algunos autores defienden que, en fracturas de tipo I y alguna de tipo II con articulación congruente, la reinserción del LCL sin fijación de la fractura de coronoides puede ser suficiente para mantener la estabilidad del codo(7).

Tratamiento
La actual recomendación es reparar las fracturas de apófisis coronoides siempre que se asocien a inestabilidad, independientemente del tamaño. Solo los pacientes con fracturas pequeñas de tipo I o II, con el codo estable y bien alineado y sin apertura de la articulación radiocapitelar podrían ser tratados de forma conservadora(8). La gran mayoría precisarán tratamiento quirúrgico.
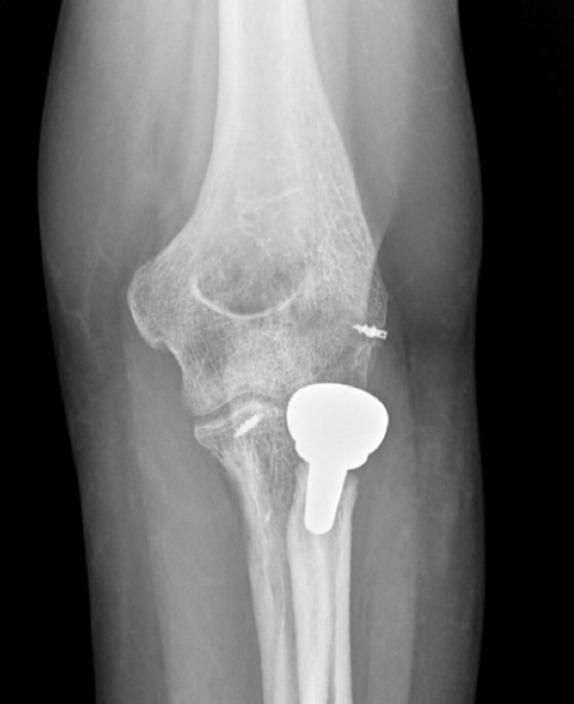
- Tipo I. Las fracturas de la punta de la coronoides son pequeñas y por lo general no son sintetizables. Usaremos un pasador de sutura para llevar una lazada desde el fragmento hasta la cortical posterior del cúbito a través de 2 orificios perforados con broca o bien reinsertaremos la cápsula mediante un arpón(9). Además habrá que tratar el resto de las lesiones cuando se vean involucradas: síntesis o reemplazo de la cabeza del radio, y reinserción o reparación del LCL(10). Si persiste la inestabilidad tendremos que revisar el LCM (Figura 4). Algunos autores han señalado buenos resultados con la reparación o reemplazo de la cabeza radial y reparación del LCL sin fijar la coronoides(11).
- Tipo II. Las fracturas de la faceta AM se tratan mejor con una placa de soporte y la reinserción del LCL (Figura 5). Si el tamaño lo permite, también podemos usar tornillos canulados parcialmente roscados. En algunos casos será suficiente con la reparación del LCL, siempre y cuando tengamos una reducción concéntrica en la radiografía sagital.
- Tipo III. Las fracturas basilares grandes suelen formar parte de una fractura-luxación del olécranon; por tanto, en todos los casos precisarán tratamiento quirúrgico. Podremos sintetizarlas directamente con un tornillo desde la placa posterior de osteosíntesis del cúbito y añadir tornillos interfragmentarios o canulados si es necesario (Figura 6). La reducción de los fragmentos conviene hacerla de forma secuencial, preferiblemente de distal a proximal. A veces precisan una placa medial adicional. Si hay un único fragmento grande, también se pueden fijar con un tornillo insertado de anterior a posterior.

Técnica quirúrgica
En función del tamaño, la localización y el número de fragmentos y de las lesiones asociadas decidiremos la vía de abordaje y el método de estabilización.

Con el paciente bajo anestesia y antes de proceder a la cirugía, se recomienda explorar la estabilidad del codo con ayuda de un intensificador de imágenes(12). En el plano sagital veremos si la articulación tiene una reducción concéntrica o se subluxa con la extensión. En el plano coronal comprobaremos el estado del LCL con el estrés en varo y el LCM aplicando la tensión a la inversa, en valgo.

El abordaje posterior en la línea media será una opción si hay que tratar lesiones en ambos lados o pensamos que será precisa una lazada desde la cortical posterior del cúbito. Claramente, será el abordaje de elección en las fracturas de tipo III cuando haya que sintetizar la fractura del olécranon. También podemos usar 2 abordajes lateral y medial independientes.

Si existe fractura de la cabeza del radio empezaremos la cirugía por la cara lateral. Esto nos permitirá la osteosíntesis de la fractura con tornillos o bien la sustitución protésica en caso de conminución grave o síntesis inestable. Además, nos permitirá reparar el LCL reinsertándolo con un arpón al epicóndilo lateral. En caso de precisar prótesis, al retirar los fragmentos podremos acceder a la punta de la coronoides, por lo que tendemos oportunidad de repararla desde un abordaje lateral.
Tras este primer paso, comprobaremos la estabilidad del codo y, si existe subluxación, procederemos a reparar la fractura de coronoides desde la cara medial. Tras la disección y teniendo el nervio cubital identificado, podemos acceder a la fractura través de 3 intervalos(13):
- El llamado por los anglosajones over the top y descrito por Hotchkiss, que divide la masa muscular flexora-pronadora más o menos por la mitad, por delante del palmaris longus o del flexor carpis ulnaris (FCU). Se puede ampliar el abordaje desinsertando parcialmente estos músculos del epicóndilo medial(14). Con este abordaje tendremos acceso directo a los fragmentos más anteriores.
- FCU splitting: entre las dos cabezas del FCU. Ideal para las fracturas que afectan al tubérculo sublime, con la desventaja de que se tiene que disecar por completo el nervio cubital. También lo usaremos cuando tengamos que reparar el LCM(15).
- Abordaje de Taylor-Scham: elevando toda la masa muscular flexora-pronadora de la cara dorsal del cúbito en dirección ventral. Ideal para las fracturas que afectan al olécranon y que suelen asociarse con fracturas grandes de la base.
Recientemente se ha descrito un cuarto abordaje, anterior, en el que tras incidir longitudinalmente el lacertus fibrosus, el bíceps se retrae radialmente y el braquial sirve de guía para llegar a la cápsula anterior. Tiene el inconveniente de que nos vamos a encontrar varias estructuras vasculonerviosas susceptibles de ser lesionadas, entre ellas el nervio mediano, la arteria y la vena braquiales, y el nervio cutáneo antebraquial medial y lateral. Además, el orificio puede quedar muy profundo, dificultando el acceso(16,17).
Una vez finalizada la cirugía, comprobaremos de nuevo la estabilidad del codo, con la ayuda de un fluoroscopio, en un rango de movilidad de 30-130° de flexoextensión. Si persiste la inestabilidad, repararemos el LCM. Si aun así el codo es inestable, añadiremos un fijador externo o interno de 4 a 6 semanas.
Cuidados postoperatorios
Colocaremos un compresivo o una férula posterior de yeso a 90° de flexión, en posición neutra del antebrazo, durante 1-2 semanas y, tras su retirada, iniciaremos movilidad pasiva y activa/asistida. En caso de haber reinsertado estructuras ligamentosas, evitaremos los últimos 30° de extensión durante 4 semanas. En las fracturas con inestabilidad en varo y para proteger el LCL en caso de reparación evitaremos la abducción del hombro con el antebrazo en pronación durante 1 mes. En fracturas complejas, si no queremos alargar la inmovilización, podemos colocar una ortesis articulada y realizar un protocolo de rehabilitación personalizado(18). Los ejercicios de potenciación se iniciarán cuando haya evidencia radiológica de consolidación.
La movilización temprana es deseable para evitar la rigidez, que es la complicación más frecuente. De todas maneras, es preferible un codo rígido a un codo inestable. El tratamiento de una inestabilidad crónica puede resultar mucho más complejo que el de una liberación de adherencias o artrólisis, ya sea abierta o artroscópica.
Conclusiones
Las fracturas de apófisis coronoides generalmente irán asociadas a otras lesiones que podremos sospechar en función de 3 patrones de inestabilidad. Para obtener unos resultados óptimos, nuestro objetivo debe centrarse en conseguir un codo estable y congruente. Para ello, tendremos que reparar en la gran mayoría de los casos las fracturas de coronoides y las lesiones asociadas. Esto permitirá una movilización precoz, que a su vez evitará la rigidez articular y a largo plazo la aparición de artritis postraumática o dolor por inestabilidad persistente.