De todos es conocido que con la cirugía percutánea se pueden ir resolviendo cada vez casos más complejos del antepié. Una indicación reciente de la cirugía percutánea es la artrodesis de la articulación del hallux en casos de hallux rigidus muy evolucionados. La artrodesis es la opción gold standard para el tratamiento del dolor del hallux rigidus evolucionado(1)(2) y explicaremos la técnica con detalle de la cirugía percutánea en estos casos.
En cuanto a la osteosíntesis, en estos momentos en que en la cirugía abierta hay debate sobre si es preferible 2 tornillos canulados o la placa dorsal(3)(4), nosotros apostamos por unas mini-incisiones, con la mínima agresión cutánea y la utilización de 2 tornillos canulados introducidos de forma percutánea y cruzados al nivel de la articulación del hallux.
Fue Bauer(5) en 2010 el primero que publicó la técnica de la artrodesis percutánea del hallux utilizando exclusivamente el material de cirugía percutánea. La dificultad de esta técnica radica en que se debe resecar toda la superficie cartilaginosa y los osteofitos sin poder ver directamente, sino ayudados por el Fluoroscan®. La técnica quirúrgica necesita de una curva de aprendizaje importante y trabajar con el motor de percutánea a bajas revoluciones para evitar la quemadura de la piel y, secundariamente, la infección del portal.
Para realizar una artrodesis percutánea de la articulación metatarsofalángica del primer radio es aconsejable, al principio, escoger casos con poca desaxación. Con la experiencia, se puede acceder a casos más desaxados, como algunos pacientes con hallux varus rígido. Esta técnica es ideal en pies de pacientes con patología previa como diabetes mellitus, hipertensión arterial e insuficiencia arterial y venosa. Es posible realizar artrodesis percutánea en pacientes sin pulsos periféricos y con importante compromiso vascular.
Técnica quirúrgica
El material necesario para la cirugía consiste en el motor de baja revolución, raspas, fresa de tipo Shannon® 44 y fresa pino. También se necesita el bisturí Beaver® Blade y los tornillos canulados de doble rosca de 3 mm.
El paciente se coloca en decúbito supino con las piernas separadas. Se realiza un bloqueo anestésico al nivel del tobillo y no se utiliza la isquemia. Se prescribe cefazolina 2 g preoperatoriamente. No utilizamos heparina profiláctica en el postoperatorio si no hay antecedentes de trombosis venosa profunda (TVP).
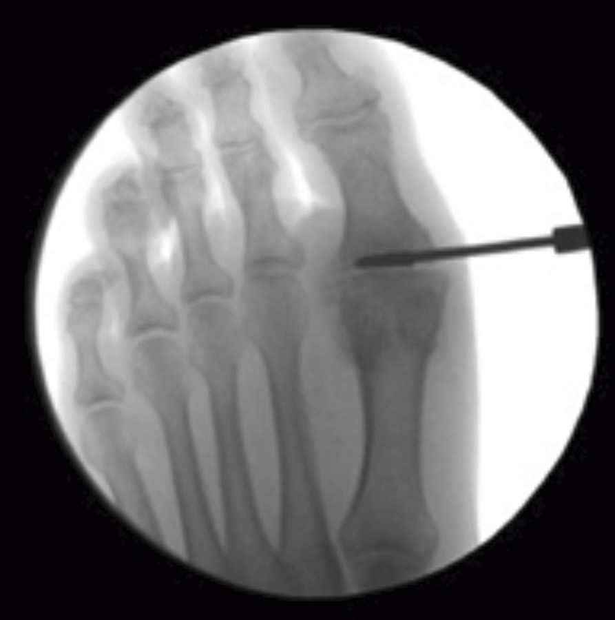
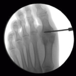
Se debe acceder a la articulación mediante 1 o 2 portales articulares situados a ambos extremos de la articulación a nivel dorsal (Figura 1). Deben ser unos portales un poco más grandes de lo normal, de 2 a 3 mm, que nos permitan un buen acceso a la articulación y poder extraer los fragmentos de cartílago que no podamos triturar. La fresa a utilizar es la Shannon® larga o Shannon® 44, que permite acceder a toda la articulación (Figura 2). En ocasiones, podemos utilizar la fresa de tipo pino (llamada así por su forma).
Figura 1. Portal articular a través del cual la fresa Shannon® elimina el cartílago y prepara las superficies articulares.

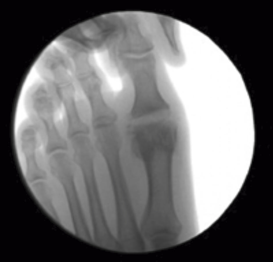
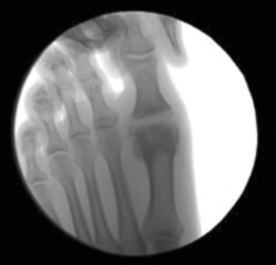
Figura 2. Cruentación de las superficies articulares con la fresa Shannon® bajo control radiológico.

Se debe ser muy ordenado y cruentar bien la superficie articular de la cabeza del metatarsiano y, después, de la falange. Al utilizar una fresa y no una sierra, es posible realizar mínimas resecciones óseas. Esto es especialmente útil cuando la falange es muy pequeña, por ejemplo, en secuelas de intervención de tipo Brandes-Keller.
Podemos hacer distracción del dedo para ir resecando fragmentos de cartílago, los cuales se extraen por el portal. Una vez resecado el cartílago, se cruentan las superficies articulares (Figura 3). La papilla ósea, al ser muy osteogénica, se deja en la articulación.
La posición de la artrodesis se determina utilizando la proyección de perfil con el Fluoroscan®, para evitar subluxaciones de la misma. Es con la visión de perfil cuando se colocan las agujas de Kirschner para los tornillos canulados y, después, se comprueba que la posición es correcta con la visión de frente. De forma percutánea, se colocan 2 agujas de Kirschner, una desde la primera falange y otra desde el metatarsiano en forma de X, cruzándose al nivel de la articulación (Figura 4). Es útil comprimir los dos huesos con la mano mientras se pasan las agujas.
Figura 3. Distracción de la articulación. Superficies articulares preparadas para la artrodesis.

Figura 4. Los 3 portales necesarios para la artrodesis percutánea de la articulación metatarsofalángica del primer dedo. El portal más proximal y el más distal se utilizan para la introducción de los tornillos canulados.

La fijación de la artrodesis se realizará mediante 2 tornillos canulados de 3 mm de diámetro a través de las agujas. Utilizamos tornillos a compresión de doble rosca sin cabeza.
En casos con desaxaciones severas, se puede alinear los huesos a través del portal o portales liberando la cápsula articular y manipulando de forma externa para obtener una correcta alineación.
Durante toda la cirugía es necesaria la utilización del aparato de rayos X de tipo Fluoroscan® (Figura 5).
Figura 5. Imagen del Fluoroscan® al acabar la intervención. Puede observarse la correcta alineación y coaptación ósea y, también, restos de papilla ósea alrededor de la articulación.
Figura 5. Imagen del Fluoroscan® al acabar la intervención. Puede observarse la correcta alineación y coaptación ósea y, también, restos de papilla ósea alrededor de la articulación.

Postoperatorio
En cuanto a los cuidados postoperatorios, el paciente deberá llevar el vendaje posquirúrgico durante 10 días. Desde el momento del alta, el paciente deambulará con la zapatilla de suela rígida plana durante 5 semanas.
A los 10 días, se retira el vendaje posquirúrgico y se coloca una banda metatarsal que tiene un velcro que permite apretar o aflojar según el edema del pie (Figura 6). Esta faja metatarsal proporciona estabilidad a la artrodesis y el paciente es autorizado a realizar carga completa con el zapato ortopédico y la faja hasta las 5 semanas.
Figura 6. Faja estabilizadora para antepié utilizada en el postoperatorio de la intervención de artrodesis. También es utilizada en postoperatorio de cirugía del hallux valgus.

La primera radiografía de control se realiza a las 5 semanas, momento en el que ya se suele apreciar un callo óseo inicial. A partir de esta semana, se permite el uso de una zapatilla de running que debería ser blanda y con suela rígida en forma de rodillo, que permite las 3 fases de la marcha.