Introducción
Rigidez y función del codo
La función del codo es situar, orientar y estabilizar la mano en el espacio cerca o lejos del cuerpo, mediante los movimientos de flexoextensión y pronosupinación, que no pueden suplirse con los proporcionados por otra articulación, como sería el caso de la escapulotorácica en la rigidez glenohumeral. Esto hace que, en casos de rigidez grave, el paciente presente una discapacidad importante en actividades básicas como el autocuidado o en actividades lúdicas o laborales.
Uno de los pasos fundamentales es esclarecer hasta qué punto la rigidez interfiere con la vida diaria del paciente como para indicar su tratamiento quirúrgico. El rango de movilidad normal de esta articulación es de 0° (extensión completa) a 145° (flexión completa), 75° de pronación y 85° de supinación. El codo puede desempeñar su función de manera adecuada para la mayoría de las actividades de la vida diaria con un rango de movilidad de al menos 100° en cada eje de movimiento, siempre que se conserve una extensión de al menos –30° y una flexión de 130°, 50° de pronación y otros 50° de supinación. Estos valores orientativos pueden tomarse como punto de referencia para indicar la cirugía, aunque no deben pasarse por alto requerimientos más exigentes para actividades más concretas. Se considera que cada grado de pérdida de flexión acarrea el doble de discapacidad con respecto a cada grado de pérdida de extensión(1).
Fisiopatología
Los factores que pueden desencadenar el desarrollo de una rigidez de codo son múltiples y de diferente naturaleza, desde fracturas o fracturas-luxaciones, lesiones ligamentosas con inestabilidad, cirugía, artrosis primaria o postraumática, artritis inflamatorias, quemaduras, traumatismos craneales u otras lesiones menores. El sangrado inmediato que se produce dentro de la articulación en cualquiera de estos procesos se continúa de edema difuso en horas o días, desarrollo de tejido de granulación y cambios en la matriz extracelular promovidos por mediadores de la inflamación alrededor de la semana y el desarrollo de fibrosis cicatricial a partir de la 4.ª semana del evento inicial(2).
Clasificación de la rigidez
Podremos utilizar 2 tipos de clasificaciones diferentes según cómo enfoquemos el problema.
En función de la localización de la rigidez:
- Intrínseca: cuando la causa se encuentra en la superficie articular (lesiones condrales, consolidaciones en mala posición, escalones articulares…).
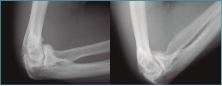
- Extrínseca: la patología no afecta a la superficie articular (engrosamiento capsular, osteofitos, retracciones de partes blandas, osificación heterotópica…) (Figura 1).
- Mixta: una combinación de ambas(3).
Figura 1. Ejemplo de rigidez extrínseca, por la presencia de osteofitos ocupando las fosas coronoidea, radial y olecraneana sin alteraciones en la alineación ni escalones articulares.

Por la dificultad del tratamiento:
- Simples: aquellos codos con un rango de movilidad menos afectado (arco de movilidad activo > 80°), que no se hayan sometido a cirugías previas, sin material de osteosíntesis, sin osificación ectópica, sin transposición previa del nervio cubital y con una arquitectura ósea respetada.
- Complejas: cuando encontremos cualquiera de las características anteriores(4).
Este último sistema de clasificación es útil a la hora de decidir si el tratamiento quirúrgico va a ser realizado de manera abierta o por artroscopia. Decir que una rigidez es compleja como para indicar una cirugía abierta dependerá mucho de la experiencia del cirujano, de manera que profesionales con mayor seguridad en los procedimientos artroscópicos tendrán un abanico de actuación más amplio incluyendo casos más difíciles(5).
Orientación diagnóstico-terapéutica
Cuando se presenta un paciente con una rigidez de codo, es fundamental en primera instancia recoger una historia clínica cuidadosa para reconocer a qué problema nos enfrentamos. En esta entrevista recogeremos datos como:
- Edad, miembro dominante, estado de salud, actividades laborales y recreacionales.
- Enfermedad actual: tipo de lesión precipitante, tratamientos previos, tiempo de evolución, curación de lesiones producidas en el evento inicial (fracturas, ligamentos…).
- Sintomatología: falta de movilidad, dolor, parestesias (especialmente en el territorio del nervio cubital, registrando si son permanentes o desencadenadas por los intentos de flexión o la fisioterapia).
La exploración física está dirigida a comprender el proceso patológico y la clínica del paciente. Deberá registrarse:
- Arco de movilidad: flexoextensión y pronosupinación, medidas con un goniómetro.
- Cicatrices previas (Figura 2).
- Dolor: si aparece con el rango medio de movimiento, indicará un daño de la superficie articular; si ocurre en los extremos de movimientos, irá más a favor de causas extraarticulares.
- Estabilidad articular: drawer test, pivot-shift test, estabilidad en varo/valgo…
- Medición de la fuerza en flexión, extensión y pronosupinación.
- Exploración neurovascular, prestando atención especial al nervio cubital mediante las maniobras de Tinel, localización de áreas de parestesia o hipoestesia o alteraciones de la fuerza de la musculatura intrínseca (test de Fröment). El sufrimiento del nervio cubital puede manifestarse con las parestesias e hipoestesia constante clásica (que suele tener una traducción patológica en la electromiografía –EMG–) o bien mediante la aparición de dolor en la cara medial del codo acompañado de parestesia con la flexión y periodos del día asintomáticos desde el punto de vista neurológico (el cual puede cursar con pruebas de EMG normales).
Figura 2. Cicatrices por cirugías previas con la posibilidad de existencia de material de osteosíntesis que nos pueden hacer pensar en un caso complejo de rigidez de codo.

Las pruebas de imagen más útiles en este contexto son la radiografía simple (Figura 3) y la tomografía computarizada (TC) (Figuras 4 y 5), que evalúan la congruencia de las superficies articulares, la presencia de osteofitos u osificación ectópica, o alteraciones de la alineación ósea. Además, se evaluará la consolidación de fracturas previas, si es el caso, o la posible implicación del material de osteosíntesis en la falta de movilidad (si está correctamente situado, no tiene por qué interferir con la movilidad del codo)(6).
Figura 3. Radiografía de paciente con rigidez de codo con presencia de material de osteosíntesis a nivel de cúbito proximal y protésico a nivel de radio proximal.

Figura 4. Artrosis de codo con formación osteofítica exuberante y fibrosis capsular, sin alteración del espacio o alineación articular, como ejemplo de rigidez extrínseca.

Figura 5. Reconstrucción sagital y tridimensional de una malunión de húmero distal, con alteración de la alineación de la superficie articular en extensión y malrotación interna, que condiciona una pérdida de flexión, como ejemplo de rigidez intrínseca.

La ausencia de leucocitosis y la negatividad de reactantes de fase aguda como la velocidad de sedimentación globular (VSG) y la proteína C reactiva (PCR) nos ayudan a descartar la presencia de rigidez articular secundaria a procesos infecciosos (si existe antecedente de cirugía abierta con osteosíntesis por fractura previa).
Tras la correcta orientación diagnóstica, en la entrevista con el paciente se abordarán las siguientes cuestiones:
- Expectativas del paciente: no es tan importante tener un movimiento articular completo como que sea funcional, debiendo descartarse para cirugía aquellos casos con rigidez que no interfiera con su vida diaria.
- Cumplimiento de las instrucciones postoperatorias: tras la cirugía será necesario realizar terapia física intensiva, así como el uso de máquinas de movilización pasiva continua.
- Momento de la cirugía: es fundamental agotar todas las posibilidades de tratamiento conservador. Debe haberse pasado el periodo inflamatorio y llegar a tener un codo “frío” con topes rígidos no elásticos e indoloro, teniendo que esperar al menos hasta el 4.º-6.º mes de evolución del cuadro.
Tratamiento
Indicación
Tras haber finalizado el proceso inflamatorio inicial (típicamente a los 4-6 meses), constatarse la ausencia de mejoría con el tratamiento conservador durante un mes y haber establecido la indicación de cirugía en función de la limitación funcional existente, debe decidirse el tipo de procedimiento quirúrgico más adecuado.
Un primer factor a tener en cuenta es la necesidad de tratar la superficie articular, lo cual necesitará la utilización de una artroplastia de interposición-distracción o de una prótesis total de codo, procedimientos que se realizan por cirugía abierta(2). Un segundo factor a considerar es la existencia de rigidez en pronosupinación. Cuando es necesario mejorar la rotación del antebrazo, el procedimiento de elección es la cirugía abierta, que permite una liberación circunferencial de la cabeza y el cuello del radio y que no debe realizarse por artroscopia debido al alto riesgo de lesión iatrogénica del nervio radial. Finalmente, si la rigidez es únicamente en flexión-extensión y no existe la necesidad de tratar la superficie articular, clasificaremos la rigidez como “simple o compleja”. En los casos “simples”, procederemos a realizar un tratamiento artroscópico y, en los casos “complejos”, un tratamiento con cirugía abierta. La clasificación en “simple y compleja” está modulada por los factores expuestos con anterioridad en el apartado de clasificación y por la experiencia del cirujano, de manera que los profesionales más experimentados se sentirán seguros con la artroscópica en casos de mayor dificultad(7)(Figura 6).
Figura 6. Algoritmo de decisión terapéutica ante un paciente con rigidez de codo. AOC: artroplastia osteocapsular; OH: osificación heterotópica; RM: resonancia magnética; Rx: radiografía; TC: tomografía computarizada.
Figura 6. Algoritmo de decisión terapéutica ante un paciente con rigidez de codo. AOC: artroplastia osteocapsular; OH: osificación heterotópica; RM: resonancia magnética; Rx: radiografía; TC: tomografía computarizada.

Planificación
Independientemente de si va a ser realizada de manera abierta o artroscópica, es fundamental tener claro cuál es la razón de la rigidez del paciente y prever y evitar posibles complicaciones, especialmente la lesión neurológica, tanto durante el procedimiento como durante el periodo postoperatorio. Los estudios de TC nos facilitarán información sobre la anatomía ósea implicada en la restricción de la movilidad: osteofitos, osificación ectópica, alteraciones de la alineación o del recorrido o tracking ulnohumeral o radiocapitelar.
Las partes blandas toman una importancia fundamental, siendo necesario tratarlas de manera habitual. En el estudio preoperatorio no es de utilidad, en este sentido, la obtención de pruebas de imagen y debe asumirse la presencia de una contractura capsular. El tratamiento de la contractura capsular consiste en una capsulectomía anterior para ganar extensión y posterior para ganar flexión. La liberación de la banda posterior del ligamento colateral medial en el lecho del nervio cubital es un factor muy importante para recuperar flexión. Además, debe eliminarse todo proceso cicatricial que ocupe las fosas radiales, coronoideas y olecranianas para que puedan alojar con comodidad a las respectivas estructuras óseas del antebrazo que choquen y restrinjan la movilidad.
Por último, el nervio cubital debe ser tratado siempre que se pretenda ganar flexión del codo, para evitar el desarrollo de una neuropatía cubital de inicio tardío provocada por la tracción del nervio durante los ejercicios postoperatorios de flexión. Se realizará una descompresión in situ profiláctica en aquellos casos sin síntomas neurológicos previos o bien una transposición subcutánea en los que sí los haya. Los síntomas del nervio cubital pueden estar presentes únicamente con la flexión de la articulación, en cuyo caso no suelen acompañarse de cambios patológicos en las pruebas de EMG(8).
Cirugía abierta
Los casos complejos o en los que sea necesario ganar pronosupinación del antebrazo serán tratados mediante cirugía abierta. El procedimiento indicado en estos casos será uno de los 2 siguientes, en función de la necesidad de realizar gestos adicionales o la presencia de cirugías previas:
- Procedimiento de la columna lateral. El más frecuente, caracterizado por el acceso a la cara anterior y posterior del húmero a través de una incisión lateral y el abordaje profundo entre la musculatura extensora anterior y posterior, y la columna lateral del húmero.
- Procedimiento de la columna medial. Si hay que realizar una cirugía adicional amplia que implique al nervio cubital (una transposición subcutánea) o la retirada de material en la cara medial del codo, escogeremos esta técnica, para evitar incisiones adicionales. Se caracteriza por el acceso a la cara anterior y posterior del húmero a través de una incisión medial y el abordaje profundo entre la musculatura flexopronadora anteriormente y el tríceps posteriormente, y la columna medial del húmero.
La descripción de estas técnicas está bien documentada en la literatura y escapa al objetivo del presente capítulo(9).
Cirugía artroscópica
La artroplastia osteocapsular artroscópica persigue los mismos objetivos que la cirugía abierta, con una serie de ventajas como son la menor incisión, la menor agresión para las partes blandas, la disminución del sangrado intraoperatorio y la mayor precisión en el fresado y recontorneado óseo, al contar con la magnificación proporcionada por la óptica, así como el mejor control del dolor del paciente en el postoperatorio y el comienzo precoz de la rehabilitación. Sin embargo, es un procedimiento demandante técnicamente que exige tener una amplia experiencia previa con procedimientos más simples. Los factores que aumentan la complejidad del procedimiento con respecto a otro tipo de artroscopias del codo son, dejando aparte los relacionados con la causa que desencadenó la rigidez, que ya fueron mencionados: el volumen articular reducido, la escasa distensibilidad de la cápsula engrosada y la presencia de cicatrices intraarticulares e hipertrofia sinovial, que dificultan de manera importante la visualización y el trabajo articular que tenemos que hacer. Esto, sumado a la restricción de 2 horas de isquemia como máximo de las que disponemos, puede poner en jaque a cirujanos inexpertos que tengan que terminar el procedimiento sin haber conseguido concluir los objetivos del tratamiento (Figura 7).
Figura 7. Sinovitis exuberante que no deja ver la articulación radiocapitelar desde el portal anteromedial proximal, en una artritis postraumática con volumen articular reducido.
Figura 7. Sinovitis exuberante que no deja ver la articulación radiocapitelar desde el portal anteromedial proximal, en una artritis postraumática con volumen articular reducido.

Artrolisis artroscópica de codo: técnica quirúrgica preferida por los autores
Material de trabajo
El material necesario para la técnica incluye el artroscopio estándar de 4,0 mm y 30°, palpador, Wissinger, separadores, vaporizador a 90°, sinoviotomo agresivo (4,8 mm), fresa agresiva (5 mm), caja de pinzas Basket y el instrumental básico para cirugía de partes blandas (una “caja de mano”). Se usará la caída libre de agua o bomba a 30-40 mmHg, a elección del cirujano. Un consejo es eliminar los tubos de succión del instrumental para evitar la aspiración de elementos vasculonerviosos durante el procedimiento, que pueden provocar lesiones graves inadvertidas de manera repentina. Para favorecer la salida de líquido de la articulación y el trabajo del instrumental, preferimos abrir la salida de líquido a través del sinoviotomo, fresa o vaporizador, para que sea la propia presión articular la que expulse el contenido articular a través de los instrumentos. Asimismo, recomendamos el uso de pedales tanto para el vaporizador como para el motor, para poder parar inmediatamente en caso de peligro y no tener que estar buscando interruptores en un momento delicado. Además, el pedal del motor proporciona la habilidad de regular la velocidad de giro de fresas y sinoviotomos, lo cual es útil en localizaciones cercanas a estructuras sensibles. Como campo, utilizamos un set convencional de artroscopia de rodilla con bolsa, para limitar la caída de agua al suelo. El uso de cánulas para mantener los portales sellados puede aumentar la presión intraarticular, favoreciendo la infiltración de las partes blandas y aumentando la dificultad del procedimiento, por lo cual no las utilizamos.
Anestesia
Como anestesia utilizaremos un bloqueo del plexo braquial a nivel infraclavicular, asociado a la colocación de un catéter que mantendremos durante los 2 primeros días del postoperatorio para proporcionar analgesia durante el uso de una máquina de movilización pasiva continua. Dada la duración del procedimiento, que en ocasiones llega a las 2 horas en los casos más complejos, es frecuente la necesidad de añadir sedación o anestesia general buscando la comodidad del paciente. El inconveniente de realizar el bloqueo regional de manera preoperatoria es que no se puede monitorizar la función nerviosa en el postoperatorio inmediato, por lo que una opción es realizar el bloqueo después de la cirugía, en el área de recuperación, tras comprobar la normalidad de la función de los nervios radial, mediano y cubital.
Posición y preparación del paciente
Nosotros preferimos colocar al paciente en decúbito lateral para la realización de este procedimiento. Antes de empezar, es importante asegurar que existe suficiente espacio para mover el instrumental alrededor del codo, ya que en ocasiones es necesario fresar osteofitos y extraer tejido en los márgenes articulares, para lo cual tendremos que colocar el instrumental en posiciones algo más forzadas de lo habitual y con orientaciones cercanas al eje longitudinal del húmero. También es importante comprobar que el codo puede flexionarse y extenderse completamente(10).
Tras drenar el miembro y subir la isquemia, típicamente 100 mmHg por encima de la presión arterial sistólica o a 250 mmHg, el manguito se sujeta al soporte específico mediante cinta adhesiva, para evitar el movimiento inesperado del miembro durante el procedimiento.
Nervio cubital
El primer gesto quirúrgico que realizaremos será el tratamiento, bien profiláctico, bien definitivo, del nervio cubital mediante descompresión in situ o transposición subcutánea formal para tratar de disminuir las complicaciones postoperatorias de este nervio, especialmente en casos con flexión < 90° o ante la existencia de signos de irritación nerviosa preoperatorios(8).
Procedimiento artroscópico
A continuación, procederemos con el trabajo artroscópico dentro de las cámaras del codo. Los portales empleados habitualmente son:
- Cámara anterior: anteromedial proximal y anterolateral para el uso intercambiable del artroscopio y del instrumental de trabajo, y el anterolateral proximal para el uso de un separador.
- Cámara posterior: posterolateral para la cámara, posterior para el instrumental de trabajo y posterolateral proximal para el uso de un separador.
- En los casos en los que sea necesario realizar algún trabajo en la gotiera externa, se añadirá un portal mediolateral de trabajo.
En todas y cada una de las cámaras o compartimentos en los que tengamos que trabajar realizaremos una misma secuencia de actuación:
- Visualizar la articulación, cerciorándonos de la correcta introducción del artroscopio y el instrumental de trabajo dentro de la articulación a través de los portales.
- Crear espacio de trabajo mediante sinovectomía, eliminación de cuerpos libres y adherencias.
- Trabajo óseo con extracción de cuerpos libres, fresado de osteofitos y recontorneado óseo, y recreación de fosas radial y coronoidea u olecraniana.
- Trabajo de partes blandas con capsulectomía o capsulotomía al final, pues la cápsula protege las partes blandas de lesiones producidas por el vaporizador o los instrumentos motorizados, especialmente durante el trabajo óseo con las fresas.
Preferimos empezar con la cámara anterior, ya que es la parte más compleja por la presencia del nervio radial y para evitar que las partes blandas no se infiltren con el suero empleado durante la artroscopia. Posteriormente, procederemos con el tratamiento en la cámara posterior.
Cámara anterior
En estos casos, con un volumen articular reducido y una cápsula articular endurecida, es importante inyectar suero para favorecer la penetración intraarticular con el introductor artroscópico, al ofrecer resistencia y evitar el colapso articular que impida perforar el tejido capsular. La distensión articular, además, hará que la cápsula aparte las estructuras neurovasculares del trayecto de los portales. Para ello, introducimos una aguja de calibre 18 en el portal mediolateral o en el posterior para inyectar solución salina hasta que la articulación se haya distendido por completo y se obtenga un flujo retrógrado elevado que haga retroceder el émbolo de la jeringa. A continuación, creamos el portal anteromedial proximal e introducimos nuestro artroscopio(11).
Acto seguido, realizamos nuestra secuencia de trabajo descrita anteriormente (visualización, creación de espacio, trabajo óseo y trabajo de partes blandas). El fresado óseo debe realizarse siempre con el instrumental motorizado orientado hacia el húmero, para evitar las lesiones de partes blandas. El uso de fresas o el sinoviotomo en modo no oscilante y a alta velocidad nos permitirá eliminar los osteofitos que interfieran con la movilidad, especialmente aquellos que ocupan la fosa radial o coronoidea (Figura 8). También es frecuente tener que eliminar osteofitos que aumentan la altura de la coronoides (Figura 9). Una vez eliminado el material óseo (Figura 10), flexionamos el codo para comprobar el aumento de flexión conseguido, que no será completo hasta que liberemos la cápsula posterior y la banda posterior del ligamento colateral medial. Como último paso en la cámara anterior, procedemos a la eliminación de la cápsula articular. Introducimos un Basket recto desde el portal anteromedial y vamos mordiendo la cápsula, atrapándola, cortándola y realizando un movimiento de batido hacia proximal para separar el fragmento capsular de las partes blandas anteriores. Progresamos lateralmente, descubriendo el vientre muscular del braquial anterior, hasta que aparezca tejido graso detrás de la cápsula resecada. En este momento, cambiamos los portales y miramos desde el portal anteromedial proximal y utilizamos la pinza Basket desde el portal anterolateral. Una vez realizada esta capsulotomía amplia, usamos el sinoviotomo para eliminar los restos capsulares proximales. Durante todo este proceso, utilizamos un retractor desde el portal anterolateral proximal para tensar la cápsula y proteger, sobre todo, el nervio radial, que queda situado justo en la grasa lateral al músculo braquial y anterior a la cabeza del radio, y a escasos milímetros de nuestro instrumental de trabajo; aunque no es aconsejable, es posible traccionar de él e introducirlo en la articulación con ayuda de un palpador introducido en la grasa que lo recubre. El nervio mediano se encuentra medial al músculo braquial, pero en un plano bastante más anterior, lo cual hace que esté mucho más protegido(12,13).
Figura 8. Osteofitos ocupando la fosa radial y coronoidea, observados desde el portal anteromedial proximal.
Figura 8. Osteofitos ocupando la fosa radial y coronoidea, observados desde el portal anteromedial proximal.

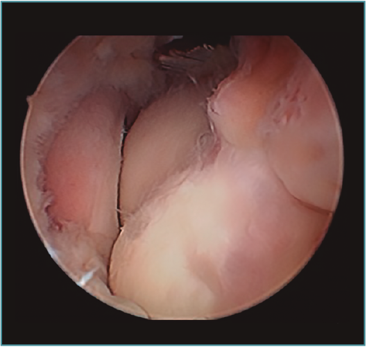
Figura 9. Osteofito coronoideo observado desde el portal anterolateral.
Figura 9. Osteofito coronoideo observado desde el portal anterolateral.

Figura 10. Mismo caso que en las Figuras 8 y 9 después del trabajo óseo. Obsérvese la recreación y fusión de ambas fosas radial y coronoidea con el típico aspecto de “tobogán” después del fresado de la cara anterior del húmero y la disminución de la altura de la coronoides. Todavía no se ha procedido a realizar la capsulectomía.
Figura 10. Mismo caso que en las Figuras 8 y 9 después del trabajo óseo. Obsérvese la recreación y fusión de ambas fosas radial y coronoidea con el típico aspecto de “tobogán” después del fresado de la cara anterior del húmero y la disminución de la altura de la coronoides. Todavía no se ha procedido a realizar la capsulectomía.

Cámara posterior
El trabajo es mucho más sencillo desde el punto de vista técnico. La única estructura neurovascular cercana es el nervio cubital, cuya situación puede ser comprobada, dado que habremos hecho previamente nuestra cirugía de descompresión o transposición. En el caso de las descompresiones in situ, es sencillo proteger el nervio interponiendo un separador entre el tríceps y el nervio, apoyado en la columna medial del húmero. Este gesto separa la articulación del nervio y es útil cuando estemos trabajando en la pared capsular posteromedial.
La secuencia de trabajo es la misma (visualización, creación de espacio, trabajo óseo y trabajo de partes blandas). Introducimos el artroscopio desde el portal posterolateral y trabajamos desde el portal posterior. Si es necesario el uso de un retractor, lo utilizamos desde el portal posterolateral proximal. El fresado óseo se centra en recrear la profundidad y dimensiones de la fosa olecraniana y eliminar los osteofitos de la punta del olécranon. La capsulectomía puede hacerse sin miedo en las regiones lateral, proximal y posterior, teniendo cuidado en la región medial con el nervio cubital. El último gesto consiste en la liberación de la banda posterior del ligamento colateral medial, para lo cual apartamos suavemente el cubital de su lecho para seccionar dicha estructura con ayuda de un bisturí frío y siempre limitando dicha sección a la región posterior al centro de la epitróclea. Este último gesto quirúrgico ha demostrado mejorar el rango de movimiento postoperatorio. Ruch et al. realizaron la liberación abierta aislada de los haces posterior y transverso de esta estructura para tratar a 14 pacientes con déficit de flexión del codo postraumática, consiguiendo una mejora tanto en la flexión (96 a 130°) como en la extensión (–43 a –22°), sin que la estabilidad del codo se viera afectada(14).
Drenajes y cierre
Dejamos 2 drenajes aspirativos en el codo. Uno anterior, desde el portal anterolateral proximal y otro posterior desde el posterolateral o el posterolateral proximal. No debe situarse el drenaje en el portal anterolateral por el riesgo de desarrollar una fístula articular. Estos portales deben cerrarse con puntos en U verticales para disminuir la posibilidad de desarrollo de una fístula articular y, además, ser fijados con suturas.
Protocolo de rehabilitación
El mismo día de la intervención o, como tarde, el día siguiente, se cambia el vendaje del paciente y se inicia terapia con máquina de movilización pasiva continua que se usa durante todo el día durante los 3 días que dura el ingreso. Esta terapia ayuda a disminuir el sangrado intraarticular y el edema de partes blandas y es de especial importancia aplicarla desde el periodo posquirúrgico inmediato. Los 2 primeros días se administra anestésico a través del catéter infraclavicular y, al tercer día, se retira el catéter y se usa la máquina sin anestesia. Los drenajes se retiran cuando hay un débito menor de 100 cada 12 horas, típicamente entre el segundo y el tercer día de la intervención. Al tercer día el paciente puede ser dado de alta y continúa en el domicilio con una máquina de movilización pasiva continua alquilada o se implementa rehabilitación junto con ejercicios domiciliarios vigorosos. No se restringe la actividad del paciente de manera concreta y se le estimula para recuperar pronto las actividades de la vida diaria. El uso de máquina domiciliaria se mantiene una media de 3 semanas, en función de la respuesta del paciente a la cirugía. Su utilidad no está del todo clara, aunque parece que proporciona beneficios en cuanto a la mejora de la flexión y del arco total de movimiento con respecto a pacientes control, no así en la extensión(15)(Figura 11).
Figura 11. Paciente en postoperatorio de cirugía artroscópica para rigidez de codo utilizando la máquina de movilización pasiva continua.

Utilizamos un protocolo de profilaxis de osificación ectópica mediante la administración de indometacina oral a dosis de 75 mg al día durante 3 semanas. También se aplica una sesión única preoperatoria el mismo día de la cirugía de 700 cGy únicamente en aquellos casos con antecedentes de osificación heterotópica.
Empleamos férulas estáticas ajustables, sobre todo nocturnas, hasta alcanzar el arco de movilidad deseado, únicamente en aquellos casos con más dificultades para mantener la movilidad proporcionada por la cirugía.
Resultados y complicaciones
La cirugía artroscópica de la rigidez ha demostrado ser eficaz para la recuperación de la movilidad del codo, con resultados reproducibles consistentes en varios estudios publicados en los últimos años (Tabla 1). Kim et al. en 1995 publican sus resultados tras tratamiento artroscópico en 25 pacientes con limitación de la movilidad del codo consiguiendo una mejoría de 7°de extensión y 17° de flexión (mejora en rango total de 24°), así como mejoría en la escala Elbow Rating Scale of Morrey (2,8-4,6)(16). Savoie et al. en 1999 publican sus resultados sobre 24 pacientes; informan de una flexión promedio de 139° sobre 90° preoperatorios, extensión promedio –8° sobre –40° preoperatorios, así como disminución en la escala visual analógica (8,2-2,2) en un promedio de 32 meses tras la cirugía(17). Resultados similares se han obtenido posteriormente por otros autores. En 2002, Ball et al. informan, sobre 14 pacientes consecutivos, un incremento en la flexión de 117,5 a 133° y en la extensión de –35,4 a –9.3°(11). Nguyen et al., en 2006, informan de resultados postoperatorios similares a los artículos anteriores en 22 pacientes, consiguiendo también mejoría en la escala American Shoulder and Elbow Surgeons Elbow Form (31 de 36) y mínima discapacidad en el cuestionario Disability of the Arm, Shoulder, and Hand(18). Kelly et al., en 2007, obtienen 14 resultados excelentes y 7 resultados buenos en 25 pacientes, con 21 de ellos experimentando un dolor mínimo o nulo(19). Cefo et al. consiguen una mejora en el rango de movimiento total de 99 a 125° con un incremento en la escala Elbow Function Assessment de 69 a 91(20).
Tabla 1. Resultados del tratamiento artroscópico de la rigidez de codo en la literatura

Sin embargo, las complicaciones existen, siendo las más graves las lesiones neurológicas. Las complicaciones más frecuentes incluyen las relacionadas con las heridas, como hematomas o fístulas articulares, y son similares en frecuencia al resto de los procedimientos artroscópicos de codo realizados por cualquier otro motivo, con una incidencia de infección superficial del 2% y de infección profunda del 0,8%, aproximadamente(21). Estas suelen resolverse de manera espontánea, aunque nosotros tratamos al paciente con una cefalosporina oral de segunda generación con acción antiestafilocócica hasta su cierre. La incidencia de lesiones nerviosas iatrogénicas es similar comparando cirugía abierta con artroscópica, aunque con una tasa más alta de lesiones permanentes con la cirugía artroscópica. Estas lesiones están limitadas en la literatura a unas pocas series de casos publicados en los últimos años(22,23), por lo que su incidencia exacta no se conoce y se cree que es mayor de la que está registrada. En un estudio reciente de Jinnah et al. se registran lesiones nerviosas periféricas en 12 de 227 pacientes, siendo 10 (4,4%) menores (transitorias) y 2 (0,9%) mayores (permanentes), que requirieron reparación nerviosa(24). En cuanto a la rigidez de codo preoperatoria, la contractura en flexión se ha detectado como un factor de riesgo para desarrollar lesión nerviosa en el postoperatorio(21). Para intentar evitar estas serias complicaciones nerviosas, el uso de suero a presión dentro de la articulación manteniendo la articulación distendida y los separadores capsulares disminuyen el riesgo de complicaciones neurológicas.
