Introducción
El lipoma arborescente (LA), también denominado lipomatosis sinovial o lipomatosis articular difusa, es una proliferación vellosa sinovial en la que ocurre una sustitución grasa del tejido subsinovial. Fue descrito inicialmente por Hoffa(1) en 1904, mientras que el término fue acuñado por Arzimanoglu(2) en 1957.
Existe una forma primaria, más rara y asociada con pacientes más jóvenes, y una forma secundaria, como resultado de otros procesos degenerativos articulares crónicos, como la artritis reumatoide y psoriásica(3), los traumatismos articulares repetitivos o incluso la artritis séptica(4). También ha sido descrito en coexistencia con diabetes mellitus o tuberculosis pulmonar, e incluso se ha sugerido como posible etiología los valores elevados de índice de masa corporal (IMC), en la que sería una enfermedad por depósito(5).
Si bien su etiología no ha sido claramente definida, es considerada un proceso reactivo de la sinovial a estímulos inflamatorios o traumáticos más que una neoplasia, como su nombre puede sugerir(5).
Existen menos de 200 casos referidos en la literatura(6), y supone del 3% al 5% de los lipomas(7), siendo probablemente una patología infradiagnosticada por la ausencia de su sospecha. Es por ello que consideramos interesante una revisión de dicha patología.
Material y métodos
Se revisaron todos los casos diagnosticados de LA intervenidos por nuestro servicio. Se analizaron variables como los datos demográficos, localización, pruebas de imagen, tiempo transcurrido desde el inicio de los síntomas hasta el tratamiento quirúrgico, comorbilidades, lesiones asociadas y reintervenciones o complicaciones.
Resultados
Se revisaron 5 casos de LA diagnosticados y tratados en nuestro servicio, con una distribución de 3 casos en hombro y 2 de casos en rodilla. La edad media de los pacientes fue de 54 años, siendo 3 varones y 2 mujeres. El IMC medio fue de 26,5 y el tiempo medio desde el inicio de los síntomas hasta el tratamiento quirúrgico fue de 17,4 meses.
La clínica referida por los pacientes fue de dolor articular en todos los casos, existiendo en 2 de ellos (hombro) limitación funcional con disminución del rango articular (con una media de 100° de antepulsión y 50° de abducción). Dicho dolor era referido ocasiones como un dolor que alteraba el sueño, de carácter continuo y que impedía realizar actividades de la vida diaria. En los casos cuya localización era la rodilla, también referían un derrame articular, e incluso una masa a nivel de tercio distal cuadricipital en la zona suprapatelar.
En las radiografías simples, en los casos de hombro se podían apreciar cambios artrósicos en mayor o menor medida en todos ellos, con la presencia de esclerosis cortical en la glena y geodas subcorticales en la zona del troquíter. En los casos de rodilla, además de un crecimiento de partes blandas en la zona suprapatelar, se pudo observar la presencia de pinzamiento articular.
Figura 1. Imágenes en corte coronal y sagital de la ventana STIR de la RM, evidenciando rotura masiva del manguito rotador y la presencia de unas vellosidades grasas hipointensas en el seno de la bursa subacromial (señaladas mediante flechas).

En la resonancia magnética (RM) de los hombros, los citados cambios degenerativos con quistes subcondrales en la cabeza humeral y presencia de cambios inflamatorios en cabeza y troquíter eran evidentes, observándose el LA como una infiltración grasa con vellosidades en la cavidad articular hiperintensas en T1 y T2, con imágenes hipointensas en las ventanas STIR y supresión grasa. También se observó el acúmulo de líquido en la zona de la bursa subacromial (Figura 1), presentando en ocasiones una discreta migración proximal de la cabeza humeral. En ocasiones se evidenció también una alteración de la señal en los tendones del manguito rotador, compatibles en algún caso con roturas. En la RM de los casos de rodilla se evidenció el LA como un crecimiento de partes blandas en la bursa suprapatelar de intensidad compatible con la grasa, asociada a la presencia de derrame articular (Figura 2). Dicha masa era heterogénea, irregular, adherida al plano anterior.
Figura 2. Imágenes en corte sagital y axial de las ventanas T1, T2 y supresión grasa de la RM, evidenciando una masa vellosa en el receso suprapatelar con intensidad de señal grasa, (señaladas mediante flechas), asociada a un derrame articular.

Todos los casos de hombro fueron tratados de manera artroscópica, y los hallazgos incluyeron la presencia de vellosidades características del LA (Figura 3), así como roturas en el seno del manguito rotador. Esta sinovitis proliferativa de aspecto graso se ubicaba predominantemente en la zona del intervalo rotador y en la periferia de la glena e inserción del tendón de la porción larga del bíceps.
Figura 3. Imágenes artroscópicas de las vellosidades del LA en el hombro, así como los cambios artrósicos en la articulación glenohumeral.

En los casos de la rodilla, con una intervención abierta (en el contexto de la colocación de una prótesis total de rodilla) y otra artroscópica, su localización fue predominantemente suprapatelar, si bien también se encontraron vellosidades (Figura 4).
Figura 4. Imágenes artroscópicas del LA en la rodilla, con presencia de vellosidades grasas en el receso suprapatelar e incluso en la zona supra- e inframeniscal.

En todos los casos se remitieron muestras de biopsia al Servicio de Anatomía Patológica (Figura 5). Se realizó, por tanto, una sinovectomía amplia y electrocauterización. En los casos de hombro en los que existía una rotura del supraespinoso suturable, se procedió a su reinserción. En un caso, ante una rotura masiva retraída, se decidió llevar a cabo una reconstrucción capsular superior. En los casos de rodilla, en un caso el desbridamiento y exéresis artroscópica fue suficiente al no existir lesiones asociadas, mientras que en el otro caso, ante la degeneración articular y la edad del paciente, se realizó un desbridamiento en el contexto de la implantación de una prótesis total de rodilla.
Figura 5. Imágenes de la toma de biopsia del LA durante la artroscopia de hombro, ubicada en la zona de la periferia del anclaje glenoideo de labrum y porción larga del bíceps, en el que cabe destacar una banda fibrosa a modo de envoltura.

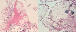
Los informes de anatomía patológica describían áreas de reacción fibrosa con infiltrado linfoplasmocitario moderado y proliferación vascular del endotelio (compatibles con sinovitis crónica), alternadas con áreas de morfología arborescente constituidas por tejido adiposo maduro y tapizadas por un epitelio plano poliestratificado compatible con membrana de tipo sinovial, compatible con LA (Figura 6). Por tanto, se informó como diagnóstico de LA con sinovitis reactiva.
Figura 6. Imágenes de la anatomía patológica del LA, con la presencia de las vellosidades de tejido adiposo maduro con reacción linfocitaria, teñidas con hematoxilina eosina.

El postoperatorio de todos los pacientes transcurrió sin incidencias, refiriendo todos ellos una mejoría franca del dolor. En ninguno de los casos ha existido recidiva del dolor o de los derrames articulares. Tampoco se ha evidenciado aflojamiento séptico o mecánico de la prótesis a los 5 años de seguimiento. Todos los pacientes se encontraban satisfechos con la cirugía y los resultados, siendo dados de alta en su totalidad, tras un tiempo de seguimiento medio de 2,6 años (rango: 1-6 años).
Discusión
El LA es una enfermedad que afecta sobre todo a pacientes adultos entre la 4ª y la 5ª décadas de la vida (aunque ha sido descrita también en niños), con igual distribución entre varones y mujeres(8). Su presentación es en general de manera monoarticular, afectando principalmente al receso suprapatelar de la rodilla(9), si bien también pueden presentarse como hallazgos incidentales en RM en pacientes asintomáticos. Se han descrito casos en otras localizaciones, como en el hombro (en la bursa subacromial(10) y la articulación glenohumeral(11)), la mano (en la sinovial de los
tendones extensores y en los huesos del carpo)(6), en la bursa bicipitorradial del codo(12), en el tobillo(13) y en la cadera.
Su aparición clínica es la de una tumoración blanda, indolora, de localización articular y cuyo crecimiento es lento y progresivo. Cursa principalmente con derrames articulares, y se diferencia de las monoartritis inflamatorias por carecer de su característico rubor y calor local. En ocasiones puede llegar a comprimir estructuras nerviosas, vasculares o tendinosas adyacentes. Las manifestaciones clínicas suelen tener un carácter cíclico, con exacerbaciones debidas al atrapamiento mecánico de las vellosidades(14).
La prueba más utilizada para el diagnóstico del LA es la RM, en la que son características las imágenes de vellosidades hiperintensas en T1 y T2, contrastando con las imágenes hipointensas en las ventanas STIR y de supresión grasa(9), similares a las encontradas en nuestra serie de casos. Se trata por tanto de un tejido isointenso a la grasa subcutánea en todas las ventanas. El contraste con gadolinio no realza el LA propiamente, sin embargo sí aumenta su captación la sinovial y, por tanto, puede dar imágenes hiperintensas en casos de sinovitis crónica en coexistencia con dicha lesión(11).
Si bien la presencia de la imagen típica del LA en la RM sería suficiente para su diagnóstico, la confirmación anatomopatológica de este se puede realizar mediante el análisis de una muestra de biopsia. En ella se observa un aspecto macroscópico de grasa amarillenta, mientras que en el aspecto microscópico existen múltiples vellosidades de aspecto frondoso compuestas por adipocitos maduros sin atipias, siendo típica la inflamación crónica de la sinovial que presenta un infiltrado perivascular focal de células inflamatorias mononucleadas en la sinovial, como linfocitos o histiocitos, en la cual también se observan capilares hipertróficos(15).
Su diagnóstico diferencial incluye el lipoma intraarticular, la sinovitis vellonodular pigmentada, osteocondromatosis sinovial y hemangioma sinovial. Se diferencia del lipoma intraarticular en que este posee una morfología de masa única redondeada, a diferencia de la proliferación vellosa del LA.
Además, el LA surge de la sinovial, mientras que el lipoma intraarticular no posee relación con la misma(14). La principal diferencia con la sinovitis vellonodular pigmentada es la ausencia de hemosiderina en el LA(16). El hemangioma sinovial se da en niños y adolescentes, y su aparición típica en la zona de grasa infrapatelar permite diferenciarla del LA, más frecuente en la edad adulta y en la zona suprapatelar(17). En la osteocondromatosis sinovial, pese a que los cuerpos libres intraarticulares pueden tener porciones con intensidades compatibles con grasa en RM (de manera similar al LA), poseen también porciones calcificadas hipointensas en T1 y T2 que los diferencia, haciéndolos visibles también en radiografías simples(18).
En radiografía simple es frecuente observar áreas radiolucentes sugestivas de la presencia de grasa en espacios articulares, y con menos frecuencia erosiones óseas.
Las pruebas de laboratorio en el LA (VSG, PCR, factor reumatoide y ácido úrico) son normales, estableciendo diferencias con las enfermedades de origen reumático. La artrocentesis es típicamente negativa, sin la presencia de cristales o microorganismos.
El tratamiento de elección en el LA sintomático es la sinovectomía, bien de manera abierta o artroscópica. También ha sido descrito el uso de infiltraciones intraarticulares de corticoides(14), así como de radioisótopos (90Y-citrato coloidal)(19) en dosis única, de manera conjunta con lidocaína y con posterior dosimetría(20). El enfoque terapéutico deberá abordar también, en los casos de LA secundario, el tratamiento de la enfermedad de base que lo haya originado.
Por la experiencia en nuestro servicio, la frecuencia esta patología parece estar infradiagnosticada, probablemente debido al bajo índice de sospecha y a la ausencia de toma de biopsias ante su aparición como hallazgo casual en una RM o incluso en una artroscopia. Según la bibliografía consultada, existen solamente 200 casos descritos(5), y sin embargo, al protocolizar la remisión a anatomía patológica de las sinovitis asociadas en el contexto de otro tipo de lesiones con indicación quirúrgica, hemos recogido 3 casos en los últimos 6 meses.
Si bien el pronóstico del LA es bueno al carecer de capacidad de malignización y presentar un escaso índice de recurrencia si se realiza su exéresis completa, sí que parece contribuir a la osteoartritis degenerativa si su tratamiento no se realiza de manera precoz(21). Del mismo modo, al tratarse de una sinovitis inflamatoria, es también causa de dolor, y no deberá tratarse como hallazgo incidental artroscópico si no se había detectado previamente con las pruebas de imagen, si no como una patología concomitante y fuente de dolor. Su desbridamiento y denervación mediante electrocauterización cuidadosa permitirá evitar la progresión hacia la degeneración articular, y condicionará el buen manejo analgésico y resultado final del tratamiento quirúrgico.
Conclusiones
El LA es una patología probablemente infradiagnosticada que se debe sospechar en pacientes con historia de dolor y derrames articulares de repetición. Ante hallazgos sugestivos en una RM o la visualización de imágenes sospechosas en la artroscopia, recomendamos confirmación mediante una biopsia, así como su tratamiento mediante desbridamiento y la electrocauterizacion. Esto permitirá un buen resultado clínico y evitará el progreso hacia la degeneración articular.
