Introducción
La luxación acromioclavicular (LAC) se produce por traumatismo directo por caída sobre el hombro. Es un tipo de lesión frecuente en jóvenes deportistas o tras accidentes de tráfico(1). Frente a las conocidas técnicas clásicas de fijación(2), tratamos estas lesiones mediante técnica de artroscopia de suspensión cortical(3), cuando así lo indicamos.
Atendiendo a la clasificación de Rockwood(1), como la más aceptada, las lesiones de grados I y II son tratadas siempre de forma ortopédica. Existe acuerdo en que los tipos IV, V y VI se tratan habitualmente de forma quirúrgica. El tratamiento en fase aguda de las lesiones de tipo III es el más controvertido. Aunque se tratan frecuentemente de forma conservadora y ortopédica, pueden ser igualmente tratadas de forma quirúrgica. La elección del tipo de tratamiento depende en estos casos de las demandas del paciente y, en ello, suelen influir la ocupación laboral y los requisitos deportivos. Habitualmente, se hace más hincapié en la indicación quirúrgica para los denominados tipos IIIB que asocian discinesia escapulohumeral y acabalgamiento de la clavícula, y que generan mayor número de casos con inestabilidad residual sintomática(4).
El empleo habitual de la artroscopia aporta especialmente las conocidas ventajas de las técnicas artroscópicas sobre las abiertas, al tiempo que se han ido simplificando y afianzando con la aparición de nuevos materiales. Ello nos permite además la posibilidad del diagnóstico de lesiones asociadas y el tratamiento de estas, cuando las hay, en el mismo acto quirúrgico(2,3,5,6,7).
El propósito del presente trabajo se centra en valorar algunas de las principales cuestiones en discusión en torno a la indicación de tratamiento quirúrgico de este tipo de lesiones de grado III: incidencia de lesiones asociadas, tiempos de recuperación, inestabilidad residual y satisfacción de los pacientes.
La principal hipótesis al comienzo de la revisión es que el tratamiento artroscópico permite reanudar de forma inmediata determinadas actividades laborales y deportivas, que la técnica es reproducible sin complicaciones significativas y que ello permite un alto índice de satisfacción de los pacientes.
Métodos
Se realiza una revisión retrospectiva de 22 lesiones de grado III tratadas de forma aguda (entre 1 y 21 días; media: 6) en 21 pacientes en los últimos 5 años (junio de 2013 a junio de 2018). La demora dependió exclusivamente del momento en que fueron valorados los pacientes remitidos desde los Servicios de Urgencias. Un paciente fue intervenido de sus 2 hombros en diferentes momentos del periodo del estudio.
En la valoración preoperatoria prevaleció, como criterio de inclusión, el hecho de que los pacientes optaran por el tratamiento quirúrgico-artroscópico frente al tratamiento conservador-ortopédico tras ser informados sobre los pros y contras de cada una de las opciones. Los principales motivos para optar por el tratamiento quirúrgico por parte de los pacientes fueron: iniciar rápidamente el ejercicio físico sin contacto (como la bicicleta estática), minimizar las posibilidades de secuelas y motivos estéticos.
Para dar uniformidad al estudio, se excluyeron de la serie lesiones de tipo IV y/o V, así como aquellos casos con fracturas concomitantes torácicas y/o escapulares. También se excluyeron lesiones crónicas con más de 3 semanas de evolución.
Figura 1. Caso demostrativo de la luxación con la sujeción por parte del paciente de 2 kg de peso.

La exploración clínica se realizó mediante la valoración del denominado signo de la “tecla” (desplazamiento vertical) y del desplazamiento horizontal. Se completó el diagnóstico mediante radiografía simple anteroposterior (AP) comparativa de ambos hombros. En los casos de duda en relación con el grado de la lesión, esta proyección se realizó con la sujeción por parte del paciente de 2 kg de peso (Figura 1). No se creyó necesaria la realización sistemática de tomografía axial computarizada (TAC) ya que la exploración y la exploración bajo anestesia permiten establecer las direcciones y la importancia del desplazamiento. Tampoco se realizó resonancia, dado que la artroscopia permitiría, como así se demostró, diagnosticar posibles lesiones asociadas.
Técnica artroscópica
Figura 2. Inserción de las agujas-guía en el extremo clavicular al comienzo de la intervención en que los relieves óseos son fácilmente apreciables. Hombro derecho.

La técnica artroscópica empleada fue la denominada de cerclaje de suspensión cortical coracoclavicular(2). Por encontrarnos más habituados, empleamos la posición de decúbito lateral y los portales de artroscopia posterior, anterolateral y 2 portales anteriores realizados para abordar el espacio subcoracoideo bajo visión directa, según la técnica descrita(5,6,7). En los 6 primeros casos empleamos el dispositivo AC TightRope® (Arthrex, Inc., Naples, Florida). A pesar de su analogía, pero motivado por el cambio de diseño realizado en dicho dispositivo y por el menor orificio requerido, en los 16 restantes casos hemos utilizado el dispositivo AC EndoButton TwinBrigde® (Smith & Nephew, London, England). En los casos con lesiones acompañantes, se emplearon los dispositivos OsteoRaptor 2,3® (Smith & Nephew, London, England) para la reconstrucción de las lesiones de tipo SLAP y el dispositivo TwinFix PK 5,5® (Smith & Nephew, London, England) para el tratamiento de las lesiones de los tendones del manguito rotador. En los últimos 6 casos hemos desestimado el empleo de las guías diseñadas para la implantación de estos dispositivos. Encontramos que su empleo es engorroso, dificulta la selección de los puntos de realización de los túneles óseos y prolonga el tiempo quirúrgico. Optamos por la inserción de las agujas-guía en el extremo clavicular al comienzo de la intervención (Figura 2). En este momento los relieves óseos son fácilmente apreciables. La selección del punto en el cuello de la coracoides se realiza de forma percutánea bajo visión directa (Figura 3). Tras realizar los túneles óseos por taladrado sobre las agujas-guía en la forma habitual, estos se conectan mediante un hilo Vicryl® n.º 2 (Ethicon Endo-Surgery Inc., Cincinnati, Ohio, United States) que hace de pasador final del dispositivo elegido (Figura 4). Si es necesario, se completa la reparación de la fascia trapeciodeltoidea y/o de la cápsula acromioclavicular superior a través del miniabordaje superior asociado.
Figura 3. Realizamos la selección del punto en el cuello de la coracoides de forma percutánea bajo visión directa artroscópica. Hombro derecho con la óptica en un abordaje anterolateral. Clav: extremo distal de la clavícula; Co: cuello de la coracoides.

Durante la etapa postoperatoria, portaron un cabestrillo con fines exclusivamente antiálgicos y se les permitió reanudar actividades con elevación de los brazos por debajo de la horizontal, entre ellas el pedaleo en bicicleta estática. Los ejercicios por encima de la horizontal y las rotaciones se permitieron a partir de la tercera semana. La actividad de riesgo se permitió a partir del tercer mes. Los pacientes que presentaron lesiones concomitantes de tipo SLAP o roturas tendinosas requirieron un mayor tiempo de inmovilización (3 a 4 semanas) y los tiempos de recuperación y reincorporación se dilataron en relación con la presencia y el tratamiento de estas lesiones.
Figura 4. Los túneles óseos taladrados en el extremo distal de la clavícula (Clav) y el cuello de la coracoides (Co) se conectan entre sí mediante un hilo Vicryl® que hace de pasador final del dispositivo elegido. Hombro derecho con la óptica en un abordaje anterolateral.

Protocolo de seguimiento
Los pacientes fueron valorados en consulta a la tercera y sexta semanas, y, posteriormente, cada 6 semanas hasta el alta. Se registró el momento en que reanudaron sus actividades y se cumplimentó en cada una de estas consultas el test de Constant, solamente los apartados de dolor y función en la 1.ª y 2.ª consultas y el apartado de fuerza-resistencia a partir de la 3.ª consulta a las 12 semanas. Para la valoración de la fuerza, empleamos como referencia la medición en el hombro sano contralateral, según hemos adaptado y aplicado en nuestro centro para la valoración de las distintas patologías del hombro(8).
En la valoración del resultado postoperatorio se tuvo especialmente en cuenta el momento en que alcanzaron una puntuación de 95 puntos o superior en la escala de Constant, situación que permitió la reincorporación a las actividades de riesgo. Se realizó igualmente una radiografía postoperatoria y, en los casos que aceptaron, se realizó un estudio de resonancia para evaluar el grado de cicatrización de los ligamentos coracoclaviculares. En la última consulta, se registró también el grado de satisfacción de los pacientes, especialmente respondiendo a la pregunta de si volverían a optar por el mismo tipo de tratamiento.
Análisis estadístico
Todos los datos obtenidos fueron introducidos en un fichero Excel® y se empleó el método de Kolmogorov-Smirnov, objetivándose en todas las series una distribución normal de los valores registrados. Ello posibilitó el cálculo de medias y desviación estándar.
Resultados
Veinte pacientes fueron varones y solamente uno mujer. El hombro derecho se vio afectado en 10 casos; en 12, el izquierdo, siendo tratado un paciente de ambos hombros en diferentes lesiones separadas en el tiempo. Por el origen del traumatismo: 16 fueron lesiones deportivas, 12 de ellas en ciclistas, 2 fueron traumatismos de esquí, uno de patinaje de competición y uno de hockey sobre hielo; 4 fueron accidentes por colisión de ciclomotor y los 2 restantes fueron accidentes laborales por caída por unas escaleras. La edad media de los pacientes fue de 39 años, siendo muy abierto el rango, entre 22 y 65 años. Todos los pacientes fueron dados de alta hospitalaria en un plazo igual o inferior a 24 horas. No se detectaron complicaciones en el periodo postoperatorio.
Figura 5. Leve pérdida de la reducción con subluxación, que se detectó en 3 casos.

Como lesiones concomitantes y de carácter agudo, se diagnosticaron y trataron 4 lesiones de SLAP de tipo II y 3 lesiones de los tendones del manguito rotador, 2 roturas pequeñas del supraespinoso y una rotura parcial del subescapular. Se trataron de la forma expuesta en el apartado de método y suponen un porcentaje sobre el total de los hombros intervenidos del 31,82%.
Figura 6. Aspecto clínico de subluxación residual que no se tradujo en deformidad aparente ni pérdida de fuerza.

Excepto estos 7 pacientes con lesiones concomitantes, el resto inició el pedaleo en bicicleta estática y actividades con movilidad de brazo por debajo de la horizontal dentro de la primera semana, incluida la actividad quirúrgica en un caso de paciente cirujano plástico. Alcanzaron la puntuación de 95 o superior de la escala de Constant en un plazo que oscilaba entre las 8 y las 18 semanas con un valor medio de 12 semanas, correspondiendo los tiempos más dilatados (entre 16 y 18 semanas) a los pacientes de mayor edad y/o a los lesionados en accidente de tráfico. La reincorporación de los pacientes con lesiones concomitantes se produjo entre las 18 y las 24 semanas, con una media de 18,28. Todos los pacientes refirieron un alto grado de satisfacción y manifestaron que, de volverse a encontrar en la misma situación de elección, optarían igualmente por el tratamiento quirúrgico.
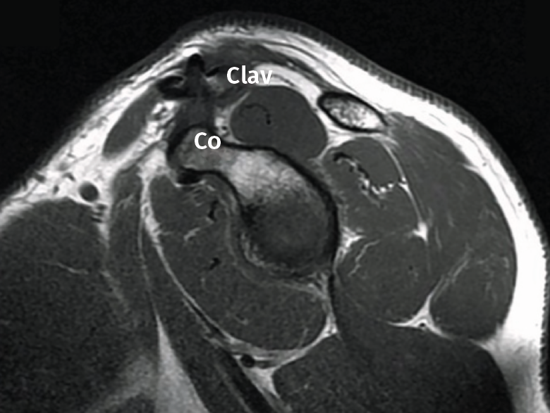
Figura 7. Aspecto de la resonancia a las primeras 4 semanas en que se aprecia la continuidad de fibras de los ligamentos conoide y trapezoide entre el extremo clavicular (Clav) y la coracoides (Co), aunque edematizados, en buena posición anatómica.

En cuanto al resultado radiográfico, 3 pacientes (13,63%) presentaban una leve pérdida de la reducción con subluxación (Figura 5) que no se tradujo en deformidad aparente (Figura 6) o sintomatología de dolor o pérdida de fuerza.
Figura 8. Aspecto de la resonancia practicada transcurridos más de 12 meses de la intervención: integridad anatómica con desaparición de los signos cicatriciales y edematosos.

En cuanto a los 2 casos en que se ha realizado estudio de resonancia dentro de las primeras 4 semanas, se apreció la continuidad de fibras de los ligamentos conoide y trapezoide y, aunque edematizados, en buena posición anatómica (Figura 7). La resonancia realizada en 2 casos transcurridos más de 12 meses de la intervención muestran la misma integridad anatómica, con desaparición de los signos cicatriciales y edematosos (Figura 8).
Discusión
El número de técnicas descritas en la literatura para la estabilización quirúrgica de la LAC es prácticamente innumerable y no nos vamos a referir a ellas por estar suficientemente documentadas(2). El objetivo de este tipo de técnicas se centra en obtener de forma reproducible y fiable la estabilidad de la articulación lesionada con la menor morbilidad y el menor número de complicaciones. El desarrollo de la fijación mediante técnicas de artroscopia parece haber logrado este objetivo(3). Con las actuales técnicas de fijación por artroscopia, el retorno al nivel deportivo previo se produce en un alto porcentaje de los casos, según atestiguan recientes revisiones de la literatura(9). Así parece confirmarlo también este trabajo en un grupo uniforme de pacientes con lesiones agudas de grado III en los que el tratamiento artroscópico permitió reanudar de forma inmediata determinadas actividades laborales y deportivas con un alto índice de satisfacción de los pacientes y sin complicaciones significativas. Aunque todos nuestros deportistas realizan actividades sin elevación ni contacto, no hubo variaciones en función de la edad y/o la ocupación, siendo la presencia de lesiones concomitantes el único factor a tener en cuenta como responsable de tiempos más largos de recuperación. Es importante también recordar que existen, sin embargo, trabajos que señalan pobres resultados en series de pacientes con baja demanda funcional(10).
Quizás uno de los primeros pasos previos para alcanzar estos resultados lo constituyó la descripción de la ventaja de colocar la fijación a través, y no alrededor, del cuello de la coracoides(11). Con ello se puede conseguir una mejor reducción y fijación, pero se aumenta el riesgo de producir complicaciones como la rotura de la pared del túnel o la fractura del cuello de la coracoides(12,13). Para minimizar este tipo de riesgos, realizamos un cambio en el dispositivo a utilizar y desechamos el empleo de guías, como hemos señalado en el apartado de método.
También es importante conocer que la fijación temporal permite la formación de tejido de granulación y la reconstitución de los ligamentos, aunque estos permanecerán elongados si se ha perdido la reducción(14). El dispositivo es capaz de mantener la reducción reproduciendo el recorrido del ligamento conoide y permitiendo la posterior cicatrización(7). Los casos en los que hemos podido realizar resonancia así lo atestiguan también. Por ello, en los casos agudos parece perfectamente suficiente con mantener temporalmente la reducción y no se haría necesario el empleo de injertos y/o de montajes más complejos que, como se ha señalado previamente, aumentan el riesgo de complicaciones con los túneles óseos(12,13). La pérdida parcial de la fijación estaría más bien relacionada con una pérdida de la tensión del implante o con una insuficiente reducción inicial. Sin embargo, no ha supuesto en nuestros casos una merma en el resultado de acuerdo con otros trabajos previos(14,15).
Es importante señalar que no hemos registrado ninguna complicación postoperatoria, que el porcentaje de pérdida parcial de reducción del 13% es similar al de otras series, inferior incluso al de técnicas clásicas, como la de Weaver-Dunn en torno al 25%(16), y que tampoco ha constituido en sí un factor adverso. No hemos detectado tampoco el elevado porcentaje de dolor o artrosis acromioclaviculares descrito(15). No podemos descartar que se produzcan en un futuro, pero quizás la más correcta reducción que se puede obtener por artroscopia y el carácter menos invasivo de esta técnica expliquen la ausencia de dicha complicación en nuestra serie. Así, estos pacientes reanudaron parcialmente sus actividades de forma inmediata eludiendo incómodas inmovilizaciones y explicando el alto grado de satisfacción final.
En cuanto al porcentaje de lesiones concomitantes, aunque las diferentes series publicadas ofrecen una alta variabilidad de porcentajes(17,18,19), todos los autores parecen estar de acuerdo en que, si el procedimiento no es realizado de forma artroscópica, su diagnóstico se retrasaría o no sería finalmente realizado(17). El 31,82% encontrado en nuestra serie se encuentra en la media de los trabajos referidos y, aunque pudiera indicarse su carácter degenerativo, especialmente las lesiones de manguito, ninguno de los pacientes refirió patología previa de sus hombros. Este hecho nos reafirma en la necesidad de abordar estos casos mediante artroscopia o, en caso de desestimarse el tratamiento quirúrgico, realizar un estudio complementario de resonancia.
Conclusiones
Parece razonable recomendar el tratamiento quirúrgico de la LAC de grado III, tanto en los pacientes con demandas físicas laborales o deportivas como también en general en aquellos que no quieran utilizar incómodas inmovilizaciones y deseen reanudar de forma inmediata, aunque sea parcialmente, sus actividades.
Limitaciones
Como limitaciones al presente trabajo, habría que señalar que se trata de una serie pequeña. Sin embargo, el hecho de ser bastante uniforme en relación con el tipo (agudas de grado III), la modalidad de actividades a reiniciar de forma inmediata y la ausencia de complicaciones avala la posibilidad de considerar de forma menos conservadora el tratamiento de estas lesiones.
El seguimiento inferior a 4 años no nos permite descartar complicaciones de las denominadas tardías, pero tampoco aparecen de forma significativa en las series tratadas de forma artroscópica, lo que nos hace pensar en que, de aparecer finalmente, su porcentaje será muy inferior al de las series de tratamiento quirúrgico convencional.
