Introducción
El hombro es la articulación con más movilidad del cuerpo humano en todos los ejes del espacio, estando en constante equilibrio entre la movilidad y la estabilidad(1). Es la articulación que más frecuentemente sufre luxaciones, con una tasa entre 24 y 1,1 por 100.000 personas/año, según diferentes series(2,3,4).
El principal desafío en el manejo de la inestabilidad glenohumeral (IGH) es mejorar la alta tasa de recurrencia o fallo tras el tratamiento primario, especialmente en pacientes jóvenes y activos. Durante décadas, el gold standard en el tratamiento quirúrgico de la IGH fue la reparación abierta de Bankart (inestabilidades traumáticas) o el retensado capsulolabral (inestabilidades multidireccionales atraumáticas). Los avances de las técnicas artroscópicas han permitido una transición progresiva y constante hacia estas técnicas mínimamente invasivas para el manejo quirúrgico de la IGH(5,6).
Los índices de recidivas de la IGH tras el tratamiento oscilan entre un 58% en las luxaciones recidivantes tratadas no quirúrgicamente y del 4 al 21% en las tratadas quirúrgicamente, en seguimientos de entre 3 y 10 años(7). Estos porcentajes varían mucho entre unos autores y otros, y según los criterios que se utilicen para considerar “fallo o recidiva”.
Las causas de recurrencia de la IGH son múltiples, unas están relacionadas con el paciente y su actividad, otras con el tipo de lesión responsable de la IGH (defectos óseos y estado de las partes blandas), otras se relacionan con las técnicas quirúrgicas y con el manejo posquirúrgico. Según Hawkins(8), en un 38,7% de los pacientes con recurrencia de la IGH tras el tratamiento quirúrgico se debió a un error diagnóstico (falta de reconocimiento de lesiones diferentes a la lesión de Bankart) o por una incorrecta interpretación de los defectos óseos (unipolares o bipolares) y del estado de las partes blandas, fundamentalmente de la hiperlaxitud capsuloligamentosa glenohumeral.
En el presente artículo intentamos describir los puntos debatidos y consensuados en la Jornada de Actualización en Artroscopia de Hombro AEA-LATAM del 8 de febrero de 2019, sobre las causas de la recidiva tras la cirugía primaria de la IGH y el manejo terapéutico de estos fracasos.
Causas del fracaso del tratamiento de la inestabilidad glenohumeral
Concepto de fracaso o fallo
La primera cuestión que nos planteamos es definir el concepto de fracaso o fallo en el tratamiento primario de un paciente con IGH. Consideramos fallo o fracaso de una cirugía primaria de IGH cuando apreciamos alguno de los siguientes hallazgos: nuevos episodios de luxación o subluxación, sintomatología aprensiva, dolor e insatisfacción del paciente. Si consideramos la presencia de cualquiera de estos hallazgos como fracaso del tratamiento de una IGH, los índices de fallo en el tratamiento primario de la IGH podrían ser muy superiores a los porcentajes publicados en la literatura. ¿Debemos considerar la aprensión y/o subluxación como fracaso igual que la reluxación que precise ayuda externa? El consenso entre los participantes fue unánime, ya que tanto la subluxación como la aprensión generan una limitación funcional en el paciente, no pudiendo volver a desarrollar su actividad laboral o deportiva previa a su estado prelesional(9) y en la mayoría de los casos nos obliga a realizar nuevos tratamientos.
Causas del fracaso o fallo
Las causas del fracaso en el tratamiento primario de la IGH son múltiples (Tabla 1) pero, ante la pregunta ¿cuáles son los 3 principales factores de fracaso en una reparación primaria por luxación recidivante de hombro?, se concluyó que las principales causas de fracaso en una reaparición primaria son: la mala técnica quirúrgica, la incorrecta valoración de las lesiones, especialmente la medición y cuantificación de los defectos óseos(10), y la hiperlaxitud. Otras causas se relacionan con un mal protocolo de rehabilitación e incumplimiento de las instrucciones médicas por parte del paciente de las pautas de rehabilitación, incorporación precoz a la actividad deportiva y laboral…
Tabla 1. Causas relacionadas con la recidiva tras la cirugía primaria de la inestabilidad glenohumeral (IGH)

Diagnóstico de la recidiva de una reparación primaria
Teniendo en cuenta que una recidiva o fallo de una reparación primaria de una IGH obedece a datos objetivos y subjetivos, el diagnóstico de recidiva se basa en la clínica y en la exploración física para valorar sobre todo los signos subjetivos, y en las pruebas radiológicas para la cuantificación de los signos objetivos (déficit óseo y lesiones de partes blandas).
La anamnesis recogerá las sensaciones de aprensión y limitación funcional del paciente (incapacidad para realizar las actividades deportivas y físicas prelesionales)(10) y, para la exploración clínica, la prueba más concluyente es el test de aprensión descrito Rowe y Zarins(11), con el paciente en decúbito dorsal, hombro en 90° de abducción y realizamos rotación externa máxima. El test es positivo cuando el paciente refiere aprensión o dolor. El test de recolocación fue descrito por Jobe(12) con el paciente en decúbito dorsal, hombro en 90° de abducción y rotación externa hasta que el paciente refiera dolor o inestabilidad; el explorador realiza en ese momento una fuerza en la cabeza humeral en dirección posterior. El test es positivo cuando desaparece la sintomatología producida por el test de aprensión.
Figura 1. Best-fit circle method: reconstrucción 3D-TAC sin la cabeza humeral. “D” es el diámetro anteroposterior más ancho del círculo de la glena y “d” es la medición del defecto óseo en el sentido anteroposterior en milímetros. d/D × 100 (%) = porcentaje del defecto. GT = 0,84 × D – d (0,84 × 29) – 4 = 20,36 mm.

Una maniobra de aprensión-recolocación positiva en un paciente con sintomatología subjetiva de inestabilidad nos debe orientar hacia el diagnóstico de fallo o recidiva de la cirugía primaria de la IGH.
Las principales pruebas diagnósticas por imagen deben analizar las 2 principales causas de fracaso de una reparación primaria, los defectos óseos unipolares o bipolares y el estado de las partes blandas (deterioro o hiperlaxitud). La tomografía axial computarizada (TAC) nos permitirá cuantificar el defecto óseo a nivel de la glenoides y de la cabeza humeral y la artrorresonancia magnética (artro-RM) el estudio de las partes blandas.
Figura 2. El defecto óseo en la cabeza humeral se mide en porcentajes con la fórmula (X/Y) × 100% en una radiografía o tomografía axial computarizada, donde “Y” es el perímetro de cartílago articular de la cabeza humeral y “X” es el perímetro del defecto de la lesión de Hill-Sachs.

Las principales indicaciones de la artro-RM(13) son la evaluación de lesiones del labrum glenoideo y los ligamentos glenohumerales. En caso de fallo en la reparación, además de evaluar posibles defectos óseos, es fundamental conocer el estado de las estructuras capsuloligamentosas (lesiones por elongación o laxitud ligamentosa o redundancia capsular) no correctamente reconocidas en la valoración previa a la cirugía primaria (incorrecta valoración de las lesiones). La causa más frecuente de luxaciones recidivantes glenohumerales es la lesión de Bankart(14), pero existen otras lesiones que pueden ser el motivo de la IGH y cuya falta de reconocimiento y por tanto de tratamiento puede ser causa de fracaso del tratamiento artroscópico(15). Estas lesiones pueden ser: la lesión ALPSA (anterior labroligamentous periosteal sleeve avulsion), la lesión HAGL (humeral avulsion of the glenohumeral ligaments), la lesión GLAD (glenolabral articular disruption), la lesión de Bankart inverso y lesiones capsuloligamentosas posteriores. La artro-RM tiene una sensibilidad del 82% y una especificidad del 98% en la detección de lesiones capsulolabrales(16).
Figura 3. Orientación de la lesión de Hill-Sachs (LHS). Si el eje mayor de la LHS es paralelo al borde anterior al hacer abducción/rotación externa, mayor probabilidad de ser una “lesión enganchante” (A) que si es perpendicular (B).

Diferentes métodos se utilizan para medir los defectos óseos de la glena; el más utilizado por su sencillez es el best-fit circle method (método del círculo)(17), donde, en una reconstrucción 3D-TAC sin la cabeza humeral, se dibuja un círculo por la porción más inferior de la glena representando la forma original de la glenoides. La medición lineal (linear measurement) es un sistema sencillo de medición del defecto óseo de la glena, donde medimos “D”, que corresponde al diámetro anteroposterior más ancho del círculo de la glena, y “d”, que es la medición del defecto óseo en el sentido anteroposterior en milímetros. La fórmula d/D × 100 (%) nos permite calcular el porcentaje del defecto(16)(Figura 1). Hay autores que consideran estos sistemas clásicos de medición del defecto óseo poco fiables para la toma de decisión quirúrgica(17,18).
El defecto óseo en la cabeza humeral se mide en porcentajes con la fórmula (X/Y) × 100% en una radiografía o TAC axial, donde “Y” es el perímetro de cartílago articular de la cabeza humeral y “X” es el perímetro del defecto de la lesión de Hill-Sachs (LHS) (Figura 2). En los defectos óseos de la cabeza humeral, además de medir el tamaño, es importante valorar la orientación del defecto, fundamentalmente al realizar abducción y rotación externa. Lesiones de Hill-Sachs con un eje largo paralelo al borde glenoideo anterior suelen ser “lesiones enganchantes”, donde el defecto de la cabeza del hombro se engancha o encaja sobre el borde anterior de la glena en posición de abducción y rotación externa, predisponiendo a luxaciones y subluxaciones. Las lesiones de Hill-Sachs con el eje largo no paralelo al borde anterior de la glena no suelen engancharse al realizar abducción y rotación externa, “lesiones no enganchantes”(19,20)(Figura 3).
Figura 4. Distancia desde el margen medial de Hill-Sachs (HS) al margen medial foot print del manguito (línea azul) comparada con la medición del glenoid track (GT) (línea roja). A: lesión de HS on-track o no enganchante, LHS < GT; B: lesión HS off-track o enganchante, LHS > GT.

Burkhart y De Beer(19,20) enfatizaron el papel de la artroscopia como herramienta para el diagnóstico dinámico y definitivo de las lesiones “no enganchantes y enganchantes”, y la falta de una correcta interpretación de los defectos óseos era la causa de muchos fracasos en la reparación primaria de una IGH por error en la técnica quirúrgica adecuada.
Muchos autores defienden que lesiones de entre un 20 y un 40% de defecto en la cabeza humeral son un factor de riesgo para recidivas(21). Estudios posteriores en laboratorio sugieren que defectos de la cabeza humeral de entre un 12,5 y un 25% son considerados factores de riesgo(22).
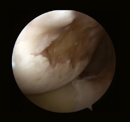
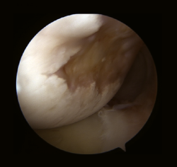
Figura 5. Lesión de Hill-Sachs on-track/no enganchante.

Itoi et al. estudiaron la relación anatómica exacta entre la cabeza humeral y la glenoides en diferentes posiciones críticas(23,24), surgiendo el concepto de glenoid track (GT), como el área de contacto de la cabeza humeral con la glena al desplazarse esta de inferomedial a superolateral al realizar un movimiento de abducción de 0, 30 y 90°, y rotación externa(25,26). El GT fue calculado por Yamamoto et al.(26) en cadáveres y su longitud era de 18,4 ± 2,5 mm, que corresponde al 84 ± 14% del área total de la glena (distancia desde el margen medial de la inserción del manguito rotador en la tuberosidad y el margen medial del área de contacto). Omori et al.(27) hacen la misma medición en un estudio dinámico en personas vivas y concluyen que el GT es del 84 ± 14% con el brazo en abducción de 90° y rotación externa, quedando el valor del 84% como el estándar para la medición de las lesiones con defecto óseo. Para saber si una lesión es on-track/off-track, es decir, que la lesión del Hill-Sachs esté dentro del recorrido de la cabeza sobre la glena (on-track) o fuera (off-track), debemos hacer la medición del GT con 3D-TAC comparando el hombro sano con el lesionado, de forma que: el ancho de la glena (D) en el hombro sano sin defecto óseo es del 100%, en el hombro lesionado con defecto en la glena (d) es D – d; por tanto, el GT = 0,84 × D – d. Esta medición se compara con la longitud de la lesión del Hill-Sachs medida en el corte coronal de la 3D-TAC desde el margen medial de la inserción del manguito hasta el borde medial de la LHS, de forma que nos podremos encontrar 2 situaciones (Figura 4):
- LHS on-track o no enganchable: tamaño de la longitud de la LHS es menor que la longitud de la GT (LHS < GT).
- LHS off-track o enganchable: LHS > GT.
Las mediciones on-track y off-track son valores comparables a los conceptos de “lesión no enganchante o enganchante” de Burkart et al.(19), la diferencia es que las primeras se miden con una 3D-TAC antes de la cirugía, permitiendo establecer la indicación de la técnica quirúrgica más apropiada antes de la cirugía (reparación de partes blandas vs. tope óseo), y la valoración de las lesiones “no enganchantes o enganchantes” se realiza artroscópicamente (Figuras 5 y 6).
En la Jornada de Actualización en Artroscopia de Hombro AEA-LATAM, ante la pregunta ¿cuál es la prueba diagnóstica de elección en la recidiva de la inestabilidad tras la cirugía?, la mayoría de los participantes destacaron como primera prueba la TAC para estudiar y medir los defectos óseos unipolares o bipolares y poder cuantificar si una lesión es on-track/off-track y establecer la indicación de la nueva estrategia quirúrgica. Como una de las principales causas de recidiva tras la cirugía primaria es la lesión de partes blandas, se considera que la prueba de imagen más sensible/específica es la artro-RM.
Figura 6. Lesión de Hill-Sachs off-track/enganchante.

Burkhart et al.(20) definen como defecto óseo glenoideo significativo o crítico cuando el aspecto de la cara articular de la glena de anterior a posterior pasando por el centro de máxima presión en la misma adopta el aspecto de pera invertida (inverted pear) y se correlaciona con pérdidas óseas en el reborde glenoideo anteroinferior mayores de un 25%, considerándolo un factor de alto riesgo para la aparición de recidiva si se actuaba quirúrgicamente solo sobre las partes blandas. El porcentaje de pérdida ósea crítica en la glena sigue siendo motivo de controversia; lo que sí es evidente es que este 25% de defecto de la glena de Burkhart progresivamente ha ido disminuyendo(28) llegando a considerarse el defecto crítico pérdidas óseas del 15%. A la pregunta a nuestros colegas de ¿cuál es el defecto crítico que debemos considerar en la glena y/o en la cabeza humeral?, se consensuó que debemos considerar defectos críticos a los defectos de la glena de un 20% y los defectos en la cabeza humeral del 10% si hay defecto glenoideo de más del 15%. Además, en los defectos de la glena se debe considerar la dirección del eje longitudinal de la LHS respecto al borde anterior de la glena cuando el hombro está en abducción de 90° y rotación externa. La correcta valoración de los defectos óseos antes de una cirugía primaria de IGH nos ayuda a tomar la mejor decisión quirúrgica para evitar recidivas por error en la indicación. Las lesiones óseas aparecen tras el primer episodio de luxación en un 65% (LHS) y un 20% (lesión de Bankart), y en luxaciones recidivantes la LHS aparece en entre un 84 y un 93%(23). Las lesiones bipolares tienen una incidencia del 64 al 74% en el primer episodio y del 79-84% en inestabilidades recurrentes(29).
Tratamiento del fracaso del tratamiento de la inestabilidad glenohumeral
Dado el alto índice de recidivas tras reparación primaria de una IGH, la primera pregunta que nos hicimos en el Grupo de Consenso AEA-LATAM fue: ¿cuál es momento ideal para intervenir una luxación de hombro en un paciente sin altas demandas deportivas ni laborales y en un paciente deportista con movimientos de repetición por encima de la cabeza y altas demandas funcionales? La mayoría de los participantes distinguían entre pacientes con alta demanda funcional laboral o deportiva y los de baja demanda(9). En los primeros, pacientes con deportes de contacto o actividades físicas de repetición por encima de la cabeza(30), se indicaba cirugía reparadora en el primer episodio de luxación glenohumeral, pudiéndose demorar hasta el final de la temporada en consenso con las necesidades del deportista(30,31). En su defecto, si se desestima la cirugía en el primer episodio de luxación glenohumeral por parte del paciente o del cirujano, se recomendará siempre que haya un segundo episodio. En pacientes con baja demanda, generalmente está indicado tratamiento conservador tras el primer episodio y recomendamos cirugía tras el segundo episodio, fundamentalmente en pacientes jóvenes y con lesiones óseas (unipolares o bipolares) y/o de partes blandas. Es una evidencia que indicar cirugías tras más de 3 episodios de luxaciones de hombro en cualquier tipo de pacientes ensombrece el pronóstico de la reparación y el futuro de la articulación glenohumeral por lesiones asociadas del cartílago articular.
Hemos aceptado que la pérdida ósea crítica de la glena es de un 20% en la parte inferior del diámetro de la glena y establece el límite para indicar técnicas quirúrgicas de tope óseo, con injerto coracoideo (técnica de Latarjet), injerto iliaco o aloinjerto(32,33) . Una de las clasificaciones más utilizada universalmente para establecer el tipo de tratamiento en las IGH es la clasificación ISIS (Instability Severity Index Score) de Boileau(34,35)(Tabla 2), pero son también muchos los autores que consideran que es una clasificación falta de validación y con sesgo hacia técnicas de tope óseo. A la pregunta ¿utilizamos el ISIS score de Boileau y utilizamos tope óseo con más de 4 puntos?, la respuesta de los ponentes a esta jornada de consenso fue, en todos los casos, no. Por considerarla mayoritariamente como una clasificación con sesgo hacia técnicas de tope óseo.
Tabla 2. ISIS (Instability Severity Index Score) de Boileau

Sin embargo, no hay pautas claras de cómo manejar las IGH con defectos óseos bipolares, a nivel de la glena y de la cabeza humeral simultáneamente, ya que pueden interaccionar geométricamente en determinadas posiciones luxantes del hombro(36), facilitando y predisponiendo a nuevos episodios de luxaciones glenohumerales. Por este motivo, preguntamos a nuestros expertos ¿cuál debe ser el algoritmo en el manejo de las lesiones bipolares? Mayoritariamente, recomendaban el algoritmo terapéutico propuesto por Di Giacomo para el manejo de las lesiones bipolares (Figura 7), que establece cuándo debemos realizar reparaciones de partes blandas y cuándo técnicas de tope óseo.
Figura 7. Defectos óseos bipolares o combinados. Algoritmo de Di Giacomo, modificando el defecto glenoideo a < 20% en vez del 25%.

Di Giacomo establece el defecto crítico en la glena en un 25%, nosotros bajamos ese defecto a un 20% de la glena o del 15% de la glena con defecto mayor del 10% de la cabeza humeral, estableciendo el límite para indicar entre técnica de tope óseo o de partes blandas. Si se trata de un caso agudo, con lesión de Bankart óseo, reincorporaremos el fragmento óseo a la reparación según la técnica de Sugaya(37).
En casos crónicos (pera invertida), indicaremos cirugía con tope óseo (técnica de Latarjet principalmente o autoinjerto de cresta iliaca). Cuando preguntamos a los participantes a la jornada ¿ha cambiado tu planteamiento ante una inestabilidad recidivada con lo publicado en estos últimos 5 años?, admitieron en general que sí, incrementado el número de indicaciones de tope óseo en el tratamiento primario de la IGH, teniendo en consideración cada vez más los defectos críticos de la glena y/o la cabeza humeral comentados anteriormente y el alto índice de recidivas en reparaciones de partes blandas en pacientes con lesiones óseas críticas o muy demandantes. En los casos de IGH por mala calidad del complejo capsulolabral es fundamental ser agresivos en las plicaturas anteroinferiores, añadiendo un refuerzo con la parte superior del subescapular y la plicatura capsulolabral posteroinferior.
En caso de recidiva tras una cirugía primaria, si esta estaba bien realizada, la causa de la recidiva es un traumatismo que la justifique y no hay defectos óseos críticos, se puede plantear una reparación de partes blandas (reparación de Bankart) asociada a remplissage(38,39) en todos los casos.
Si la recidiva no está justificada por un traumatismo o por la presencia de defectos óseos críticos, debemos realizar cirugía de tope óseo: Latarjet abierto o artroscópico según la experiencia y criterio del cirujano, o autoinjerto de cresta iliaca. En casos de defectos severos de la cabeza humeral al procedimiento de tope óseo puede ser necesario añadir un remplissage y en casos extremos con pérdidas de más del 40% de la cabeza humeral estarían indicados aloinjertos osteocondrales de la cabeza humeral en pacientes jóvenes o cirugía artroplastia en pacientes mayores.
Y, cuando todo falla, reparación de Bankart, remplissage, Latarjet, tope óseo… ¿qué hacemos en un paciente con IGH y cuadros de luxaciones de hombro incapacitantes? Afortunadamente, estos casos son muy poco frecuentes, pero ocurren y la artrodesis glenohumeral como cirugía de rescate sería la mejor indicación a pesar de las limitaciones funcionales que genera.
Conclusiones
El fracaso de los procedimientos primarios de estabilización del hombro es debido a diferentes causas, que debemos tener presentes para cuando indiquemos una reparación primaria por IGH. El siguiente decálogo son las conclusiones de esta Jornada de Actualización:
- El momento ideal para indicar una cirugía de luxación de hombro es tras el segundo episodio. La cirugía estaría indicada tras un primer episodio de luxación en pacientes jóvenes con alta demanda funcional con deportes de repetición por encima de la cabeza y deportes de contacto.
- El algoritmo que recomendamos en el manejo de las lesiones bipolares es el descrito por Giovanni Di Giacomo modificado.
- Consideramos fallo o recidiva de una cirugía primaria de IGH a la reluxación o subluxación, aprensión, dolor postratamiento de la inestabilidad e insatisfacción del paciente.
- Los principales factores de fracaso de una reparación primaria son la mala técnica quirúrgica, la mala valoración de las lesiones y la hiperlaxitud.
- La exploración clínica más concluyente en una inestabilidad recidivada de hombro es el test de aprensión-recolocación.
- Las pruebas de diagnóstico de elección en luxación recidivante de hombro y en la recidiva son TAC y artro-RM.
- Debemos cuantificar siempre los defectos óseos y valorar la laxitud ligamentosa del paciente.
- No debemos utilizar el ISIS de Boileau por sesgo hacia tope óseo.
- El defecto crítico para indicar una intervención de partes blandas o tope óseo lo establecemos en defectos de glenoides mayores del 20% o del 15% asociados con defecto mayor del 10% de la cabeza humeral.
- Las cirugías de tope óseo y Latarjet se utilizan en nuestros entornos como cirugía de rescate tras el fracaso de cirugías primarias o como cirugía primaria en pacientes con importantes defectos óseos y de alto riesgo de recidiva, según el algoritmo Di Giacomo modificado.
