Introducción
El tratamiento de la inestabilidad de hombro traumática ha evolucionado a lo largo de los años. Inicialmente, se le dio más importancia a la reparación de los tejidos blandos, especialmente gracias a la evolución de la técnica artroscópica, y se consideraba la magnitud del defecto glenoideo como la que determinaba si el tratamiento final sería artroscópico o abierto(1). Con el tiempo, otros autores propusieron también considerar las lesiones de Hill-Sachs como otro posible factor asociado a recidivas o fracaso de la cirugía de la inestabilidad(2,3).
La coexistencia de defectos óseos en la cabeza humeral y en la glena se denomina lesión bipolar. El comportamiento de las lesiones bipolares de hombro y su influencia en la inestabilidad han sido estudiados por varios autores. El mecanismo de interacción más aceptado actualmente es el del recorrido o tracking glenoideo, descrito por Yamamoto, Itoi y otros autores(4). El tracking glenoideo hace referencia a la interacción entre las superficies de la cabeza humeral y la glenoides en la posición de luxación (abducción, elevación y rotación externa). Se estima que el contacto de la cabeza humeral a lo largo del recorrido para llegar a la posición de luxación abarca aproximadamente el 83% de la anchura de la glena. Para calcular el tracking glenoideo, debe realizarse por medio de las pruebas radiológicas una estimación de la posición y del tamaño de los defectos óseos tanto de la cabeza humeral como de la glenoides(5). Si el tamaño y posición de las lesiones óseas no interfieren el movimiento entre las dos superficies de la articulación, se considera que esta es estable. Esto se define como lesión on track. En cambio, si los defectos óseos son lo suficientemente grandes o su localización hace que en la posición de luxación el contacto entre ambas superficies articulares se interrumpa, se produce la denominada lesión off track. Las lesiones off track favorecen que el húmero se “enganche” con la glena en la posición de luxación, favoreciendo la inestabilidad y una posible luxación(5). La teoría del tracking glenoideo ha permitido un mejor entendimiento de la dinámica del hombro en presencia de defectos óseos(6). Varios autores han encontrado asociación entre la alteración del tracking glenoideo y el riesgo de recurrencia de la inestabilidad de hombro después de una estabilización quirúrgica(7,8,9).
La práctica de deportes de contacto, de impacto o de lanzamiento se ha asociado a recidivas después de una intervención quirúrgica para reparar la inestabilidad de hombro(3). En el rugby, las caídas o los impactos con el hombro son frecuentes. En el balonmano existe un componente de contacto, sobre todo en acciones de bloqueo o forcejeo. El fútbol es un deporte en el que el hombro no tiene un papel predominante, pero las lesiones por caída o por contacto con otro rival son relativamente frecuentes. La incidencia de defectos óseos glenoideos o humerales en deportistas de contacto, así como el tamaño de los mismos, no se ha considerado de forma específica en la literatura en este tipo de deportes. En el caso del balonmano, existe una mayor proporción de gangliones, quistes subcondrales o lesiones osteocondrales en la cabeza humeral encontrados en resonancia magnética en jugadores en activo, sin clínica de inestabilidad(10,11). Sin embargo, el tamaño de los defectos óseos en la cabeza humeral o en la glena podría influir en el pronóstico del tratamiento quirúrgico. Esto se ha visto en otros deportes. En un estudio realizado en jugadores de fútbol americano, se ha encontrado que defectos óseos glenoideos inferiores al límite clásicamente establecido del 25% de la superficie de la glena están asociados a recurrencia de la inestabilidad(12). Otros autores refieren que lesiones de Hill-Sachs muy grandes deben ser estabilizadas por el mismo motivo(13).
El objetivo del presente estudio es tratar de determinar si practicar deportes de contacto supone un mayor riesgo de aparición de lesiones bipolares en el hombro con respecto a practicar otro tipo de deportes; y si la magnitud de esas lesiones puede suponer una alteración del tracking glenoideo que lleve a un mayor riesgo de recurrencia después de la estabilización quirúrgica.
Material y métodos
Se realizó una revisión retrospectiva de los pacientes deportistas intervenidos de inestabilidad anterior traumática de hombro en nuestro centro entre 2013 y 2017. Se incluyeron pacientes deportistas habituales, con clínica de luxación recidivante comprobada (episodios de luxación de hombro documentada por asistencias en urgencias) y con historia de lesión inicial relacionada con la práctica de su deporte. Se excluyeron los pacientes mayores de 50 años, los deportistas ocasionales, los que presentaban un mecanismo de lesión inicial no relacionado con la práctica de su deporte y los pacientes con clínica de inestabilidad sin luxaciones completas demostradas. En todos los pacientes se determinó la edad de los mismos, el deporte que practicaban habitualmente y si se trataba del brazo dominante o no dominante. Se separó a los pacientes en dos grupos diferentes: un primer grupo formado por practicantes de deporte de contacto o de impacto (fútbol, balonmano y rugby) y practicantes de deporte sin contacto o impacto (gimnasia, fitness, ciclismo, escalada y otros) y se evaluaron las lesiones que presentaban en la resonancia magnética (RM).
Evaluación clínica y tratamiento quirúrgico
El grado de inestabilidad clínica en el momento que se indicó la intervención se clasificó de 1 a 3 según los criterios expuestos en la Tabla 1, siendo el grado 1 un episodio de luxación con episodios de subluxación o inestabilidad posteriores, y considerando el grado 3 como luxaciones recurrentes en relación con actividades de mínimo esfuerzo.
Tabla 1. Clasificación del grado de afectación clínica de la inestabilidad de los pacientes

Todos los pacientes presentaban lesiones del labrum glenoideo de extensión variable (lesión de Bankart) en la RM, asociados a defectos óseos de diferente magnitud que fueron determinados de acuerdo a lo expuesto más adelante. Los pacientes fueron intervenidos mediante reparación de la lesión de Bankart por vía artroscópica. Todas las intervenciones fueron realizadas por los dos primeros autores del estudio, en posición de decúbito lateral, realizando plicatura capsular y reanclaje del labrum glenoideo a la glenoides mediante 3 o 4 implantes reabsorbibles. En 4 pacientes se asoció remplissage de la cabeza humeral por encontrar una lesión de Hill-Sachs de gran tamaño. En 2 pacientes se reparó una lesión de SLAP que acompañaba a la rotura del labrum anterior (SLAP tipo V); y en un paciente se asoció una ligamentoplastia anterior. El postoperatorio de la cirugía incluyó 2 semanas de reposo con el brazo en cabestrillo, seguidas de 2 semanas de ejercicios pasivos de hombro, para iniciar la rehabilitación con ejercicios asistidos a las 4 semanas de la intervención.
Aunque la mayoría de los registros de historia clínica de los pacientes abarcaban entre los 6 meses y el año posterior a la intervención, se contactó telefónicamente a los pacientes intervenidos para valorar su evolución a largo plazo. Aquellos pacientes que pudieron acudir a consulta fueron valorados en nuestro centro. Los que por motivos personales no pudieron acudir fueron evaluados por medio de encuesta telefónica. Se analizó si se produjeron en ese periodo fracasos de la cirugía por aparición de nuevos episodios de luxación de hombro, y si estos precisaron de nueva intervención quirúrgica, y se trató de evaluar el retorno a la actividad deportiva y la función del hombro mediante la aplicación de la escala de Rowe(14).
Determinación de los defectos óseos
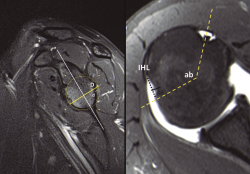
Para realizar la determinación del tracking glenoideo se revisaron las RM preoperatorias de todos los pacientes de acuerdo al método adaptado por Gyftopoulos para su aplicación en resonancia(15). El tamaño de la lesión de Hill-Sachs se estimó mediante la medición del intervalo de Hill-Sachs (IHL)(6) y la medición del ángulo del bíceps modificado (ABM), descrita también por Gyftopoulos(16). El defecto glenoideo se estimó por el método circular modificado: después de determinar el centro de la glenoides, se calcula el diámetro de la glena de acuerdo a un círculo que delimite adecuadamente el borde inferior de la misma. Se calcula el diámetro total y el defecto óseo que quedaría, y se calcula la superficie glenoidea de contacto de acuerdo al algoritmo propuesto por Giacomo(6,15)(Figura 1).
Figura 1. Aplicación de los métodos de medición ósea determinados por Gyftopoulos y cols. Izquierda: determinación del defecto glenoideo mediante el método circular modificado: la línea vertical entre el tubérculo glenoideo y el borde inferior de la glena determina el centro de la misma. D: diámetro total; d: defecto óseo. Para estimar el defecto glenoideo se calcula el algoritmo: Tracking = 0,83D – d. Derecha: Mediciones sobre la cabeza humeral en cortes transversos. El intervalo de Hill-Sachs (IHS) comprende el diámetro anteroposterior del defecto de la cabeza humeral (línea punteada). También se puede estimar la profundidad (línea continua). Ab: ángulo bicipital. Se extiende desde el centro del surco bicipital al borde medial de la lesión de Hill-Sachs.

El análisis estadístico se realizó mediante la determinación de chi-cuadrado para las variables cualitativas, y el análisis de la varianza en las variables cuantitativas. Se consideraron significativos valores de p menores de 0,05 (p < 0,05).
Resultados
Se incluyeron un total de 39 pacientes intervenidos en nuestro servicio, 36 hombres y 3 mujeres. La edad media fue 25 ± 6 años (18-41) y en 19 casos (48,7%) se trataba del brazo dominante. Siete pacientes (18%) presentaban afectación clínica en grado 1, 14 (35,9%) en grado 2, y 18 (46,1%) en grado 3. Veintidós pacientes (56,4%) eran practicantes de deporte de contacto (fútbol, rugby, balonmano); y 17 (43,6%) practicaban deporte sin contacto/impacto. Se evaluaron las resonancias magnéticas de los 39 pacientes. Respondieron al cuestionario para realizar el seguimiento clínico, bien telefónicamente, bien acudiendo a la consulta, 28 de los 39 pacientes. El seguimiento medio de todos los pacientes fue de 30,9 meses (6-68 meses).
Estudio por tipo de deporte
Los resultados del estudio de la muestra por tipo de deporte están reflejados en la Tabla 2. Tanto en deportistas de impacto como de no impacto la clínica se manifestó de forma similar, sin que hubiera diferencia entre ellos.
Tabla 2. Resultados en función del tipo de deporte practicado

Los pacientes deportistas de contacto presentaron una incidencia ligeramente mayor de lesiones off-track (40% frente a 35%), sin que dicha diferencia fuera significativa. Los valores radiológicos de medición de los defectos óseos fueron similares en ambos grupos: un ABM medio de 151,25 ± 11,25° (149,5° en deportistas de contacto, 153,66° en deporte sin contacto); un DG medio de 10,1 ± 7,03% (11,8% en deportistas de contacto frente a 9% en el otro grupo) y un IHS de 1,7 ± 0,56 cm de media (1,71 cm en deporte de contacto frente a 1,79 cm en deporte sin contacto).
En el grupo de deportistas de contacto se registraron 8 recidivas en los meses posteriores a la cirugía (36%) frente a una única recidiva en practicantes de deporte sin contacto, siendo esta diferencia estadísticamente significativa (p = 0,025). El tiempo medio de recidiva fue de 12,4 meses (4-36 meses tras la lesión). En 8 de los 9 pacientes se produjo un nuevo traumatismo en relación con la práctica deportiva. El paciente restante se luxó el hombro debido a una crisis epiléptica de nueva aparición (sin antecedentes previos). Siete de los 9 pacientes fueron reintervenidos, asociando un remplissage de la lesión de Hill-Sachs o un ligamento artificial en 5 de los casos, mientras que 2 pacientes se trataron mediante técnica de Latarjet. Dos pacientes que presentaban lesiones off track no fueron reintervenidos por razones ajenas al estudio (tratamiento en otro centro o problemas con coberturas sanitarias).
Estudio del tracking glenoideo
Los resultados del estudio de la muestra en función del tracking glenoideo se expresan en la Tabla 3.
Tabla 3. Resultados en función del tracking glenoideo

Clasificando los pacientes en función de los resultados de la medición del tracking glenoideo, se encontraron 24 lesiones on track (61,5%) y 15 lesiones off track (38,5%). Considerando los pacientes por el grado de afectación clínica, se aprecia que mientras en el grupo on track existía una incidencia similar de los tres grados clínicos (7 en grado 1; 10 en grado 2; 7 en grado 3), 11 de los 15 pacientes del grupo off track (70%) tenían un grado 3 de afectación (p = 0,012).
Los defectos óseos hallados en el grupo off track fueron significativamente mayores que en el grupo on track: el ABM medio fue de 146,24° en el grupo on track frente a 158,94° en el grupo off track; el IHL, 1,48 cm frente a 2,15 cm (mayor en el grupo off track); y el DG fue del 15,42% en lesiones off track frente al 6,9% en lesiones on track (p < 0,001 en las tres variables).
Asimismo, existía un mayor número de recidivas en el grupo off track respecto al grupo on track, siendo esta diferencia significativa (6 en el grupo off track, 3 en el grupo on track; p = 0,047), reinterviniendo a 7 de los 9 pacientes (5 en el grupo off track y 2 en el grupo on track).
Seguimiento clínico y escala de Rowe
De los 28 pacientes incluidos para la valoración clínica, 16 eran practicantes de deporte de contacto y 12 realizaban deporte sin contacto. El resultado total de la escala de Rowe fue mayor en el grupo de deportistas sin contacto respecto a los deportistas de contacto (87,9 ± 12,1 en deportistas sin contacto; 78 ± 17,4 en deportistas de contacto; p > 0,05) (Figura 2), sin que hubiera diferencias significativas en ninguno de los pacientes. Todos los ítems del cuestionario dieron resultados similares en ambos grupos: retorno a la práctica deportiva (40,62 puntos en deportistas de contacto frente a 43,75 en deportistas sin contacto), dolor (9,06 frente a 9,16) o movilidad (7,8 frente a 7,1). En la puntuación del apartado estabilidad la diferencia era mayor (20,6 en deportistas de contacto frente a 27,5 en deportistas sin contacto), aunque la diferencia no era significativa (p = 0,47).
Figura 2. Escalas de función de Rowe en los pacientes en función de su tipo de deporte (izquierda) y al tracking glenoideo (derecha). "No contacto" hace referencia a deportistas sin contacto. Los ítems del cuestionario son: retorno a la práctica deportiva; dolor, estabilidad del hombro; movilidad del hombro.

A la hora de valorar el retorno a la actividad deportiva, 15 de los 28 pacientes (53%) pudieron volver a su actividad habitual; 6 pacientes (21%) volvieron a hacer deporte, pero no pudieron volver a su nivel previo; 3 pacientes (10%) dejaron su deporte por motivos ajenos al hombro y 4 (14%) estaban francamente limitados para realizar deporte. Tres de estos 4 últimos pacientes habían sufrido recidivas y habían sido reintervenidos.
Entre los deportistas de contacto, volvieron a hacer su deporte 11 de 16 (68%); 8 de ellos (50%) a pleno rendimiento y 3 (18%) por debajo de su nivel previo. Entre los deportistas sin contacto, volvieron a su deporte 10 de los 12 pacientes (83%); 7 pacientes a pleno rendimiento (58%) y 3 pacientes por debajo del nivel previo (25%). A pesar de las diferencias aparentemente favorables al segundo grupo, no se encontraron diferencias significativas (p = 0,83).
Valorando el tracking glenoideo en los pacientes que seguimos clínicamente, nuevamente se observan altas puntuaciones en el total de la escala de Rowe, pero más favorable en pacientes con lesión on track frente a la lesión off track (87 puntos en los primeros, 78,1 en los segundos). Los pacientes con lesión on track volvieron a la práctica deportiva en mayor proporción: 12 de 15 pacientes (80%) frente al grupo off track, donde volvieron 9 de 13 pacientes (69%). En ambos grupos, el 53% de los pacientes volvieron a su actividad deportiva al 100%, mientras que 4 pacientes del grupo on track (26%) y 2 del grupo off track (15%) volvieron a su deporte a un nivel menor. En cualquier caso, no hubo diferencias significativas entre grupos (p = 0,81). De entre los demás ítems del cuestionario, nuevamente se dieron más diferencias de puntuación en el apartado de la inestabilidad (27 puntos de media en el grupo on track frente a 19,9 puntos de media en el grupo off track), pero en ninguno de los ítems del cuestionario hubo diferencias significativas.
Discusión
Hasta la introducción del concepto del tracking glenoideo, las únicas herramientas que permitían predecir el riesgo de recurrencia de la inestabilidad tras la intervención eran escalas de evaluación preoperatoria, como el Instability Severity Index Score (ISIS) o el Western Ontario Shoulder Instability Index (WOSI). Aunque algunos autores niegan la eficacia de estas escalas como predictoras de recurrencia(17), varios estudios avalan el uso de las mismas, principalmente del ISIS(18,19). Esta escala considera como factores de riesgo la edad del paciente, la presencia de defectos óseos en la glena o la cabeza humeral, así como la práctica de deporte de contacto o de lanzamiento(3). La aplicación del concepto del tracking glenoideo en la inestabilidad de hombro, a diferencia del ISIS, considera los defectos óseos como entidades separadas al tener en cuenta la interacción entre ambas lesiones(20). Diferentes estudios han tratado de relacionar diversos factores con la incidencia de lesiones off track y el posible riesgo de recurrencia que conllevan. Yang y cols.(7) encontraron mayor riesgo de recidiva en pacientes con mayores defectos óseos. El estudio de Locher y cols.(8) refleja que en lesiones off track la incidencia de cirugías de revisión es de hasta un 33%. Shaha(21) encontró que la estimación del tracking glenoideo era mejor predictor de recidiva posquirúrgica que considerar de forma aislada el defecto glenoideo. Del mismo modo, Mook(22) determinó que el tracking glenoideo era buen predictor de estabilidad posquirúrgica después de una intervención de Latarjet, y Plath(23) encontró relación entre la operación de Latarjet y la reversión de las lesiones off track a on track.
Tras la intervención, a una media de 30 meses (2 años y medio) se aprecian buenos resultados globales en la escala de Rowe en los dos grupos de deportistas, con una ligeramente mejor puntuación en el caso de deportistas sin impacto. A la hora de examinar la vuelta al deporte, se aprecian tasas muy altas de reincorporación (83%) en pacientes sin impacto y más bajas (68%) en deportistas de contacto, si bien no hay diferencias entre grupos. Aun así, tanto en un grupo como en otro la tasa de pacientes que se reincorporan al deporte a pleno rendimiento es de algo más del 50% tanto en deportistas de impacto como en deportistas sin impacto. La inestabilidad de hombro y su tratamiento pueden comprometer la práctica deportiva. Existen estudios que han analizado el rendimiento de pacientes deportistas después de una estabilización quirúrgica del hombro. Estudios realizados en jugadores de futbol americano sometidos a cirugía por inestabilidad reflejan un bajo índice de participación en su primer año de práctica profesional, sin que haya diferencias entre el tipo de operación(24,25). Berenger y cols. encontraron que un 21% de pacientes cambian de deporte después de someterse a cirugía de inestabilidad, y que los jugadores de deportes de lanzamiento o de contacto retornaban a un menor nivel de práctica(26). Pavlik y cols. encontraron que hasta un 22% de pacientes retornan a la práctica deportiva a nivel inferior al previo y un 12% se retiran después de someterse a una reparación de Bankart artroscópica(27). Los trabajos que evalúan los resultados quirúrgicos en términos de retorno a la práctica deportiva no consideran el tracking glenoideo en sus muestras. En nuestro caso, considerando el tracking glenoideo, se aprecia también –aunque no hay significación estadística– que hay mejores resultados en la escala funcional y en el apartado específico de la vuelta a la práctica deportiva. En ambos casos, tanto por tipo de deporte como en el tracking glenoideo, llama la atención que las lesiones on track y los deportistas no de contacto puntúan mejor en el apartado de la estabilidad posquirúrgica. Esta estabilidad se mide teniendo en cuenta la apreciación subjetiva del paciente, por lo que no se amolda a una exploración física objetiva y resulta una limitación para evaluar objetivamente los resultados, pero creemos que resulta llamativa y pensamos que se podría evaluar con estudios más específicos.
Nuestro estudio ratifica, de forma similar a la escala de Boileau, que la práctica deportiva y la magnitud de los defectos óseos glenoideos o humerales son factores de riesgo de recidiva independientes entre sí(3). La hipótesis de nuestro trabajo trataba de establecer relación entre el deporte de impacto y la aparición y el tamaño de las lesiones bipolares. La mayor incidencia de traumatismos, como impactos o caídas, que se darían sobre el hombro en deporte de contacto físico propiciaría que los defectos óseos observados fueran mayores en este tipo de atletas. Los resultados, sin embargo, demuestran que no hay diferencias significativas entre los defectos óseos observados y que la incidencia de lesiones off track es similar tanto en los sujetos practicantes de deporte de contacto como en aquellos que no lo son. Los dos grupos presentan incidencia similar en cuanto a manifestaciones clínicas y a la presentación de las lesiones radiológicas. Sí se aprecia, sin embargo, que en deportistas de contacto el riesgo de recidiva después de la intervención quirúrgica es mayor, pero estas recidivas no parecen asociadas a mayor tamaño de los defectos óseos en deportistas de contacto, por lo que la recurrencia de luxaciones podría tener más relación con el contacto físico intenso que se produce en la práctica deportiva.
Al estimar el tracking glenoideo de los pacientes independientemente del deporte realizado, se observa que la lesión off track presenta claramente una mayor asociación con diferentes factores de riesgo que las lesiones on track. Para empezar, los pacientes con historia clínica de luxaciones múltiples tienen un mayor riesgo de lesión off track. El estudio de Lau y cols.(28) también arrojó esta misma conclusión, determinando que los pacientes jóvenes y la historia de luxaciones múltiples eran factores de riesgo de aparición de una lesión off track. Los episodios múltiples de luxación acabarían generando defectos más grandes y alterarían la dinámica de contacto entre húmero y glena, independientemente de la intensidad del deporte practicado. El riesgo de recidiva también es claramente mayor en las lesiones off track frente a las on track (40% frente a 12%), lo que refuerza la idea de considerar el tracking glenoideo como un factor de riesgo de recidiva en sí mismo. Los parámetros radiológicos también están alterados de forma significativa en las lesiones off track con respecto a las lesiones on track, aunque consideramos que esta información no aporta en sí nada nuevo: estos parámetros miden el tamaño de los defectos óseos y su valor aumenta cuanto más grandes sean dichos defectos. Es lógico pensar que, cuanto más grandes sean las lesiones óseas, mayor riesgo habrá de que se produzca el “enganche” entre los mismos en la posición de luxación(29).
Limitaciones
Entre las principales limitaciones en el presente estudio está el hecho de que sea una revisión retrospectiva. Serían necesarios estudios que determinen la capacidad del tracking glenoideo de predecir recidivas de forma prospectiva. También podría evaluarse la incidencia de defectos óseos en pacientes practicantes de deporte de contacto sin inestabilidad, para determinar si el deporte de contacto está relacionado con una mayor presencia de defectos óseos en el hombro sin asociación con los episodios de luxación.
La dificultad para obtener datos completos en la revisión retrospectiva nos ha llevado a decantarnos por realizar una valoración clínica de forma transversal, no pudiendo comparar en función de escalas previas. A la hora de valorar los resultados clínicos nos hemos inclinado por la escala de Rowe dentro de todas las posibles opciones(14) por dos motivos: primero, porque su sencillez posibilita la aplicación de la misma en una revisión a largo plazo de pacientes que en algunos casos son más difíciles de contactar; y segundo, porque tiene un apartado específico para valorar la vuelta a la práctica deportiva que no se da en otras escalas de valoración del hombro.
La estimación del tracking glenoideo mediante resonancia magnética podría ser menos precisa que la hecha por tomografía(4,30). Aunque se considera la tomografía computarizada como la prueba de elección para analizar los defectos óseos, la resonancia magnética ha demostrado ser también un sistema fiable para aplicar los sistemas de medición clásicamente descritos para medir el tracking glenoideo(15).
Aunque la recomendación general para deportistas de impacto es la intervención mediante tope óseo de tipo Bristow-Latarjet(23), en nuestro caso no hemos elegido una técnica de tope óseo de entrada en los pacientes para poder contar con una opción de cirugía de revisión en caso de recidiva, y por el variable grado de contacto de unos deportes a otros. El término “deporte de contacto” en nuestro medio abarca deportes de características muy diferentes entre sí. Los tres deportes de contacto que hemos incluido en nuestra muestra cuentan con características comunes, como ser deportes de equipo en los que existe la posibilidad de sufrir traumatismos, caídas o lesiones en el hombro con el concurso de un jugador rival. Sin embargo, el fútbol presenta un riesgo de contacto o traumatismo menor que otros deportes como el rugby, en el que se sufren impactos directos con mucha más frecuencia, y es el deporte mayoritario en nuestro medio. En el caso del balonmano, el grado de contacto es alto, pero las limitaciones de movilidad que puede dejar una intervención de inestabilidad en el brazo dominante, con la consiguiente pérdida de potencia de lanzamiento, hacen que elegir el procedimiento adecuado para reincorporarse con éxito al deporte sea un verdadero desafío. El rugby es el deporte que menos peso tenía en nuestra muestra, pero es cierto que es el más traumático de los tres y donde a priori sería más recomendable plantear una intervención de tipo Latarjet.
Aunque excede el objeto de este estudio, consideramos que sería interesante para futuros estudios analizar la inestabilidad traumática, los patrones de afectación ósea y el resultado de los tratamientos quirúrgicos en el contexto específico de cada deporte.
El concepto de tracking glenoideo permite aportar un nuevo enfoque a la evaluación preoperatoria de los pacientes deportistas con inestabilidad de hombro, complementando a las escalas de valoración preexistentes, y dando una estimación más precisa de la patoanatomía de los defectos óseos en pacientes con inestabilidad. La alteración del tracking glenoideo con presencia de lesión off track en un paciente deportista puede suponer un riesgo de recurrencia si en la intervención quirúrgica no se procede a tratar los defectos óseos existentes. Sin embargo, aunque el tracking glenoideo permite valorar el riesgo de recurrencia, pueden existir otros factores de riesgo que deben ser también considerados.
Conclusión
En deportistas de contacto con inestabilidad de hombro la magnitud de los defectos óseos es similar a la de otros deportistas. La presencia de una lesión off track y la práctica de deporte de contacto son factores de riesgo de fracaso de la intervención quirúrgica y ambos deben ser tenidos en cuenta de forma independiente al evaluar al paciente. En pacientes con lesión off track y practicantes de deporte de contacto, podría ser aconsejable asociar técnicas adicionales a la reparación de Bankart, como un remplissage o una glenoplastia o técnica de tope oseo en función de los defectos que se presenten, dado el mayor riesgo de recidiva.
